JavaScript is disabled in your browser. Please enable JavaScript to view this website.
AB122174

Anti-BROX antibody

Be the first to review this product! Submit a review

|

(1 Publication)

Rabbit Polyclonal BROX antibody. Suitable for IHC-P, WB, ICC/IF and reacts with Human samples. Cited in 1 publication. Immunogen corresponding to Recombinant Fragment Protein within Human BROX.

View Alternative Names

BROFTI, C1orf58, BROX, BRO1 domain-containing protein BROX, BRO1 domain- and CAAX motif-containing protein

3 Images
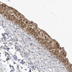
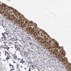
Immunohistochemistry (Formalin/PFA-fixed paraffin-embedded sections) - Anti-BROX antibody (AB122174)
  • IHC-P

Unknown

Immunohistochemistry (Formalin/PFA-fixed paraffin-embedded sections) - Anti-BROX antibody (AB122174)

ab122174, at 1/500 dilution, staining BROX in paraffin-embedded human urinary bladder tissue by Immunohistochemistry.

Immunocytochemistry/ Immunofluorescence - Anti-BROX antibody (AB122174)
  • ICC/IF

Unknown

Immunocytochemistry/ Immunofluorescence - Anti-BROX antibody (AB122174)

Immunofluorescent staining of human cell line U-2 OS shows positivity in nucleus but not nucleoli, cytoplasm and golgi apparatus. Recommended concentration of ab122174 1-4 μg/ml. Cells treated with PFA/Triton X-100.

Western blot - Anti-BROX antibody (AB122174)
  • WB

Unknown

Western blot - Anti-BROX antibody (AB122174)

All lanes:

Western blot - Anti-BROX antibody (ab122174) at 1/250 dilution

Lane 1:

RT 4 lysate

Lane 2:

U 251 MG lysate

Lane 3:

Human plasma lysate

Lane 4:

Human liver lysate

Lane 5:

Human tonsil lysate

Predicted band size: 46 kDa

true

Key facts

Host species

Rabbit

Clonality

Polyclonal

Isotype

IgG

Carrier free

No

Reacts with

Human

Applications

IHC-P, ICC/IF, WB

applications

Immunogen

Recombinant Fragment Protein within Human BROX. The exact immunogen used to generate this antibody is proprietary information.

Q5VW32

Reactivity data

{ "title": "Reactivity Data", "filters": { "stats": ["", "Species", "Dilution Info", "Notes"], "tabs": { "all-applications": {"fullname" : "All Applications", "shortname": "All Applications"}, "IHCP" : {"fullname" : "Immunohistochemistry (Formalin/PFA-fixed paraffin-embedded sections)", "shortname":"IHC-P"}, "WB" : {"fullname" : "Western blot", "shortname":"WB"}, "ICCIF" : {"fullname" : "Immunocytochemistry/ Immunofluorescence", "shortname":"ICC/IF"} }, "product-promise": { "all": "all", "testedAndGuaranteed": "tested", "guaranteed": "expected", "predicted": "predicted", "notRecommended": "not-recommended" } }, "values": { "Human": { "IHCP-species-checked": "testedAndGuaranteed", "IHCP-species-dilution-info": "1/500 - 1/1000", "IHCP-species-notes": "<p></p> Perform heat-mediated antigen retrieval with citrate buffer pH 6 before commencing with IHC staining protocol.", "WB-species-checked": "testedAndGuaranteed", "WB-species-dilution-info": "1/250 - 1/500", "WB-species-notes": "<p></p>", "ICCIF-species-checked": "testedAndGuaranteed", "ICCIF-species-dilution-info": "1-4 µg/mL", "ICCIF-species-notes": "<p>Recommend PFA Fixation and Triton X-100 treatment</p>" } } }

Properties and storage information

Form
Liquid
Purification technique
Affinity purification Immunogen
Storage buffer
pH: 7.2 Preservative: 0.02% Sodium azide Constituents: PBS, 40% Glycerol (glycerin, glycerine)
Shipped at conditions
Blue Ice
Appropriate short-term storage conditions
+4°C
Appropriate long-term storage conditions
-20°C
Aliquoting information
Upon delivery aliquot
Storage information
Avoid freeze / thaw cycle

Product protocols

For this product, it's our understanding that no specific protocols are required. You can visit:

Target data

Nuclear envelope-associated factor that is involved in the nuclear envelope ruptures during interphase (NERDI) repair, where it is locally recruited by CHMP5 and reduces cytoskeletal stress through its action on SYN2 to help reseal the ruptured membrane.
See full target information BROX

Publications (1)

Recent publications for all applications. Explore the full list and refine your search

International journal of oncology 64: PubMed38426627

2024

Characterization of KIF20B as a novel prognostic biomarker and therapeutic target for breast cancer.

Applications

Unspecified application

Species

Unspecified reactive species

Regina Wachuka Mbugua,Atsushi Takano,Bayarbat Tsevegjav,Tomoyuki Yokose,Toshinari Yamashita,Yohei Miyagi,Yataro Daigo
View all publications

Product promise

We are committed to supporting your work with high-quality reagents, and we're here for you every step of the way. In the unlikely event that one of our products does not perform as expected, you're protected by our Product Promise.
For full details, please see our Terms & Conditions

Please note: All products are 'FOR RESEARCH USE ONLY. NOT FOR USE IN DIAGNOSTIC OR THERAPEUTIC PROCEDURES'.

For licensing inquiries, please contact partnerships@abcam.com