JavaScript is disabled in your browser. Please enable JavaScript to view this website.
AB115475

Anti-BRSK1 antibody

Be the first to review this product! Submit a review

|

(2 Publications)

Rabbit Polyclonal BRSK1 antibody. Suitable for IHC-P, WB and reacts with Human samples. Cited in 2 publications. Immunogen corresponding to Synthetic Peptide within Human BRSK1.

View Alternative Names

KIAA1811, SAD1, SADB, BRSK1, Serine/threonine-protein kinase BRSK1, Brain-selective kinase 1, Brain-specific serine/threonine-protein kinase 1, Serine/threonine-protein kinase SAD-B, Synapses of Amphids Defective homolog 1, BR serine/threonine-protein kinase 1, SAD1 homolog, hSAD1

2 Images
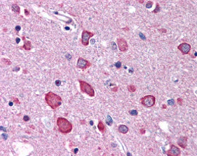
Immunohistochemistry (Formalin/PFA-fixed paraffin-embedded sections) - Anti-BRSK1 antibody (AB115475)
  • IHC-P

Unknown

Immunohistochemistry (Formalin/PFA-fixed paraffin-embedded sections) - Anti-BRSK1 antibody (AB115475)

ab115475, at 5μg/ml, staining BRSK1 in formalin-fixed, paraffin-embedded Human brain cortex tissue by immunohistochemistry using a biotinylated anti-rabbit IgG secondary antibody, alkaline phosphatase-streptavidin and chromogen.

Western blot - Anti-BRSK1 antibody (AB115475)
  • WB

Supplier Data

Western blot - Anti-BRSK1 antibody (AB115475)

Lane 1:

Western blot - Anti-BRSK1 antibody (ab115475) at 0.5 µg/mL

Lane 2:

Western blot - Anti-BRSK1 antibody (ab115475) at 1 µg/mL

All lanes:

Human brain tissue lysate

Predicted band size: 87 kDa

false

Key facts

Host species

Rabbit

Clonality

Polyclonal

Isotype

IgG

Carrier free

No

Reacts with

Human

Applications

WB, IHC-P

applications

Immunogen

Synthetic Peptide within Human BRSK1. The exact immunogen used to generate this antibody is proprietary information.

Q8TDC3

Reactivity data

{ "title": "Reactivity Data", "filters": { "stats": ["", "Species", "Dilution Info", "Notes"], "tabs": { "all-applications": {"fullname" : "All Applications", "shortname": "All Applications"}, "IHCP" : {"fullname" : "Immunohistochemistry (Formalin/PFA-fixed paraffin-embedded sections)", "shortname":"IHC-P"}, "WB" : {"fullname" : "Western blot", "shortname":"WB"} }, "product-promise": { "all": "all", "testedAndGuaranteed": "tested", "guaranteed": "expected", "predicted": "predicted", "notRecommended": "not-recommended" } }, "values": { "Human": { "IHCP-species-checked": "testedAndGuaranteed", "IHCP-species-dilution-info": "5 µg/mL", "IHCP-species-notes": "<p></p> Perform heat-mediated antigen retrieval with citrate buffer pH 6 before commencing with IHC staining protocol.", "WB-species-checked": "testedAndGuaranteed", "WB-species-dilution-info": "0.5-1 µg/mL", "WB-species-notes": "<p></p>" }, "Mouse": { "IHCP-species-checked": "predicted", "IHCP-species-dilution-info": "", "IHCP-species-notes": "", "WB-species-checked": "predicted", "WB-species-dilution-info": "", "WB-species-notes": "" }, "Rat": { "IHCP-species-checked": "predicted", "IHCP-species-dilution-info": "", "IHCP-species-notes": "", "WB-species-checked": "predicted", "WB-species-dilution-info": "", "WB-species-notes": "" } } }

Properties and storage information

Form
Liquid
Purification technique
Affinity purification Immunogen
Storage buffer
pH: 7.4 Preservative: 0.02% Sodium azide Constituents: PBS
Shipped at conditions
Blue Ice
Appropriate short-term storage duration
1-2 weeks
Appropriate short-term storage conditions
+4°C
Appropriate long-term storage conditions
-20°C
Aliquoting information
Upon delivery aliquot

Product protocols

For this product, it's our understanding that no specific protocols are required. You can visit:

Target data

Serine/threonine-protein kinase that plays a key role in polarization of neurons and centrosome duplication. Phosphorylates CDC25B, CDC25C, MAPT/TAU, RIMS1, TUBG1, TUBG2 and WEE1. Following phosphorylation and activation by STK11/LKB1, acts as a key regulator of polarization of cortical neurons, probably by mediating phosphorylation of microtubule-associated proteins such as MAPT/TAU at 'Thr-529' and 'Ser-579'. Also regulates neuron polarization by mediating phosphorylation of WEE1 at 'Ser-642' in postmitotic neurons, leading to down-regulate WEE1 activity in polarized neurons. In neurons, localizes to synaptic vesicles and plays a role in neurotransmitter release, possibly by phosphorylating RIMS1. Also acts as a positive regulator of centrosome duplication by mediating phosphorylation of gamma-tubulin (TUBG1 and TUBG2) at 'Ser-131', leading to translocation of gamma-tubulin and its associated proteins to the centrosome. Involved in the UV-induced DNA damage checkpoint response, probably by inhibiting CDK1 activity through phosphorylation and activation of WEE1, and inhibition of CDC25B and CDC25C.
See full target information BRSK1

Publications (2)

Recent publications for all applications. Explore the full list and refine your search

Journal of cancer research and clinical oncology 149:8803-8815 PubMed37140697

2023

BRSK1 confers cisplatin resistance in cervical cancer cells via regulation of mitochondrial respiration.

Applications

Unspecified application

Species

Unspecified reactive species

Guo Liu,Li Li,Dandan Shang,Chao Zhou,Chuanhou Zhang

Cancers 12: PubMed31905726

2020

Loss of Ing3 Expression Results in Growth Retardation and Embryonic Death.

Applications

Unspecified application

Species

Unspecified reactive species

Dieter Fink,Tienyin Yau,Arash Nabbi,Bettina Wagner,Christine Wagner,Shiting Misaki Hu,Viktor Lang,Stephan Handschuh,Karl Riabowol,Thomas Rülicke
View all publications

Product promise

We are committed to supporting your work with high-quality reagents, and we're here for you every step of the way. In the unlikely event that one of our products does not perform as expected, you're protected by our Product Promise.
For full details, please see our Terms & Conditions

Please note: All products are 'FOR RESEARCH USE ONLY. NOT FOR USE IN DIAGNOSTIC OR THERAPEUTIC PROCEDURES'.

For licensing inquiries, please contact partnerships@abcam.com