JavaScript is disabled in your browser. Please enable JavaScript to view this website.
AB227086

Anti-BS69 antibody

Be the first to review this product! Submit a review

|

(2 Publications)

Rabbit Polyclonal BS69 antibody. Suitable for WB, IHC-P, ICC/IF and reacts with Human samples. Cited in 2 publications. Immunogen corresponding to Recombinant Fragment Protein within Human ZMYND11.

View Alternative Names

BRAM1, BS69, ZMYND11, Zinc finger MYND domain-containing protein 11, Adenovirus 5 E1A-binding protein, Bone morphogenetic protein receptor-associated molecule 1, Protein BS69

3 Images
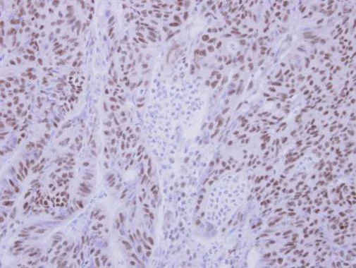
Immunohistochemistry (Formalin/PFA-fixed paraffin-embedded sections) - Anti-BS69 antibody (AB227086)
  • IHC-P

Supplier Data

Immunohistochemistry (Formalin/PFA-fixed paraffin-embedded sections) - Anti-BS69 antibody (AB227086)

Paraffin-embedded human colon carcinoma tissue stained for BS69 using ab227086 at 1/250 dilution in immunohistochemical analysis.

Immunocytochemistry/ Immunofluorescence - Anti-BS69 antibody (AB227086)
  • ICC/IF

Supplier Data

Immunocytochemistry/ Immunofluorescence - Anti-BS69 antibody (AB227086)

4% paraformaldehyde-fixed A431 (human epidermoid carcinoma cell line) cells stained for BS69 (green) using ab227086 at 1/500 dilution in ICC/IF.

Blue : Hoechst 33342 staining.

Western blot - Anti-BS69 antibody (AB227086)
  • WB

Supplier Data

Western blot - Anti-BS69 antibody (AB227086)

7.5% SDS-PAGE gel.

All lanes:

Western blot - Anti-BS69 antibody (ab227086) at 1/1000 dilution

Lane 1:

Non-transfected HEK-293T (human epithelial cell line from embryonic kidney transformed with large T antigen) cell lysate

Lane 2:

BS69 transfected HEK-293T cell lysate

Predicted band size: 71 kDa

false

Key facts

Host species

Rabbit

Clonality

Polyclonal

Isotype

IgG

Carrier free

No

Reacts with

Human

Applications

WB, ICC/IF, IHC-P

applications

Immunogen

Recombinant Fragment Protein within Human ZMYND11. The exact immunogen used to generate this antibody is proprietary information.

Q15326

Reactivity data

{ "title": "Reactivity Data", "filters": { "stats": ["", "Species", "Dilution Info", "Notes"], "tabs": { "all-applications": {"fullname" : "All Applications", "shortname": "All Applications"}, "WB" : {"fullname" : "Western blot", "shortname":"WB"}, "IHCP" : {"fullname" : "Immunohistochemistry (Formalin/PFA-fixed paraffin-embedded sections)", "shortname":"IHC-P"}, "ICCIF" : {"fullname" : "Immunocytochemistry/ Immunofluorescence", "shortname":"ICC/IF"} }, "product-promise": { "all": "all", "testedAndGuaranteed": "tested", "guaranteed": "expected", "predicted": "predicted", "notRecommended": "not-recommended" } }, "values": { "Human": { "WB-species-checked": "testedAndGuaranteed", "WB-species-dilution-info": "1/500 - 1/3000", "WB-species-notes": "<p></p>", "IHCP-species-checked": "testedAndGuaranteed", "IHCP-species-dilution-info": "1/100 - 1/1000", "IHCP-species-notes": "<p></p>", "ICCIF-species-checked": "testedAndGuaranteed", "ICCIF-species-dilution-info": "1/100 - 1/1000", "ICCIF-species-notes": "<p></p>" }, "Mouse": { "WB-species-checked": "predicted", "WB-species-dilution-info": "", "WB-species-notes": "", "IHCP-species-checked": "predicted", "IHCP-species-dilution-info": "", "IHCP-species-notes": "", "ICCIF-species-checked": "predicted", "ICCIF-species-dilution-info": "", "ICCIF-species-notes": "" }, "Rat": { "WB-species-checked": "predicted", "WB-species-dilution-info": "", "WB-species-notes": "", "IHCP-species-checked": "predicted", "IHCP-species-dilution-info": "", "IHCP-species-notes": "", "ICCIF-species-checked": "predicted", "ICCIF-species-dilution-info": "", "ICCIF-species-notes": "" }, "Rhesus monkey": { "WB-species-checked": "predicted", "WB-species-dilution-info": "", "WB-species-notes": "", "IHCP-species-checked": "predicted", "IHCP-species-dilution-info": "", "IHCP-species-notes": "", "ICCIF-species-checked": "predicted", "ICCIF-species-dilution-info": "", "ICCIF-species-notes": "" } } }

Properties and storage information

Form
Liquid
Purification technique
Affinity purification Immunogen
Storage buffer
pH: 7 Preservative: 0.01% Thimerosal (merthiolate) Constituents: 10% Glycerol (glycerin, glycerine), 1.21% Tris, 0.75% Glycine
Shipped at conditions
Blue Ice
Appropriate short-term storage duration
1-2 weeks
Appropriate short-term storage conditions
+4°C
Appropriate long-term storage conditions
-20°C
Aliquoting information
Upon delivery aliquot
Storage information
Avoid freeze / thaw cycle

Product protocols

For this product, it's our understanding that no specific protocols are required. You can visit:

Target data

Chromatin reader that specifically recognizes and binds histone H3.3 trimethylated at 'Lys-36' (H3.3K36me3) and regulates RNA polymerase II elongation. Does not bind other histone H3 subtypes (H3.1 or H3.2) (By similarity). Colocalizes with highly expressed genes and functions as a transcription corepressor by modulating RNA polymerase II at the elongation stage. Binds non-specifically to dsDNA (PubMed : 24675531). Acts as a tumor-suppressor by repressing a transcriptional program essential for tumor cell growth.. (Microbial infection) Inhibits Epstein-Barr virus EBNA2-mediated transcriptional activation and host cell proliferation, through direct interaction.
See full target information ZMYND11

Publications (2)

Recent publications for all applications. Explore the full list and refine your search

iScience 28:112295 PubMed40264797

2025

Fate plasticity of interneuron specification.

Applications

Unspecified application

Species

Unspecified reactive species

Mohammed A Mostajo-Radji,Walter R Mancia Leon,Arnar Breevoort,Jesus Gonzalez-Ferrer,Hunter E Schweiger,Julian Lehrer,Li Zhou,Matthew T Schmitz,Yonatan Perez,Tanzila Mukhtar,Ash Robbins,Julia Chu,Madeline G Andrews,Frederika N Sullivan,Dario Tejera,Eric C Choy,Mercedes F Paredes,Mircea Teodorescu,Arnold R Kriegstein,Arturo Alvarez-Buylla,Alex A Pollen

Cell stem cell 28:877-893.e9 PubMed33631116

2021

Regional identity of human neural stem cells determines oncogenic responses to histone H3.3 mutants.

Applications

Unspecified application

Species

Unspecified reactive species

Raul Bardini Bressan,Benjamin Southgate,Kirsty M Ferguson,Carla Blin,Vivien Grant,Neza Alfazema,Jimi C Wills,Maria Angeles Marques-Torrejon,Gillian M Morrison,James Ashmore,Faye Robertson,Charles A C Williams,Leanne Bradley,Alex von Kriegsheim,Richard A Anderson,Simon R Tomlinson,Steven M Pollard
View all publications

Product promise

We are committed to supporting your work with high-quality reagents, and we're here for you every step of the way. In the unlikely event that one of our products does not perform as expected, you're protected by our Product Promise.
For full details, please see our Terms & Conditions

Please note: All products are 'FOR RESEARCH USE ONLY. NOT FOR USE IN DIAGNOSTIC OR THERAPEUTIC PROCEDURES'.

For licensing inquiries, please contact partnerships@abcam.com