JavaScript is disabled in your browser. Please enable JavaScript to view this website.
AB196017

Anti-BSND antibody [EPR14270] - C-terminal

Be the first to review this product! Submit a review

|

(8 Publications)

Anti-BSND antibody [EPR14270] - C-terminal (ab196017) is a rabbit monoclonal antibody detecting BSND in Western Blot, IHC-P. Suitable for Human, Mouse, Rat.

- Biophysical QC for unrivalled batch-batch consistency

View Alternative Names

BART, BSND, Barttin

5 Images
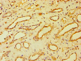
Immunohistochemistry (Formalin/PFA-fixed paraffin-embedded sections) - Anti-BSND antibody [EPR14270] - C-terminal (AB196017)
  • IHC-P

Supplier Data

Immunohistochemistry (Formalin/PFA-fixed paraffin-embedded sections) - Anti-BSND antibody [EPR14270] - C-terminal (AB196017)

Immunohistochemical analysis of paraffin-embedded Human kidney tissue labeling BSND with ab196017 at 1/2000. Secondary antibody : Goat Anti-Rabbit IgG H&L (HRP) (ab97051) at 1/500.

Inset image : negative control obtained using PBS instead of ab196017 and secondary antibody only.
Note : Membrane and cytoplasm staining on human kidney tissue was observed.

Perform heat mediated antigen retrieval with Tris/EDTA buffer pH 9.0 before commencing with IHC staining protocol.

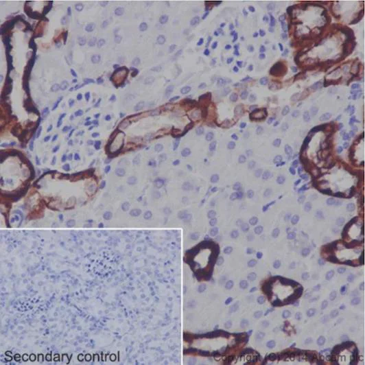
Immunohistochemistry (Formalin/PFA-fixed paraffin-embedded sections) - Anti-BSND antibody [EPR14270] - C-terminal (AB196017)
  • IHC-P

Supplier Data

Immunohistochemistry (Formalin/PFA-fixed paraffin-embedded sections) - Anti-BSND antibody [EPR14270] - C-terminal (AB196017)

Immunohistochemical analysis of paraffin-embedded Rat kidney tissue labeling BSND with ab196017 at 1/2000. Secondary antibody : Goat Anti-Rabbit IgG H&L (HRP) (ab97051) at 1/500.

Inset image : negative control obtained using PBS instead of ab196017 and secondary antibody only.
Note : Membrane and cytoplasm staining on rat kidney tissue was observed.

Perform heat mediated antigen retrieval with Tris/EDTA buffer pH 9.0 before commencing with IHC staining protocol.

Immunohistochemistry (Formalin/PFA-fixed paraffin-embedded sections) - Anti-BSND antibody [EPR14270] - C-terminal (AB196017)
  • IHC-P

Supplier Data

Immunohistochemistry (Formalin/PFA-fixed paraffin-embedded sections) - Anti-BSND antibody [EPR14270] - C-terminal (AB196017)

Immunohistochemical analysis of paraffin-embedded Mouse kidney tissue labeling BSND with ab196017 at 1/2000. Secondary antibody : Goat Anti-Rabbit IgG H&L (HRP) (ab97051) at 1/500.

Inset image : negative control obtained using PBS instead of ab196017 and secondary antibody only.
Note : Membrane and cytoplasm staining on mouse kidney tissue was observed.

Perform heat mediated antigen retrieval with Tris/EDTA buffer pH 9.0 before commencing with IHC staining protocol.

Western blot - Anti-BSND antibody [EPR14270] - C-terminal (AB196017)
  • WB

Supplier Data

Western blot - Anti-BSND antibody [EPR14270] - C-terminal (AB196017)

This protein is expressed primarily in kidney.

5% NFDM/TBST : Blocking and diluting buffer.

All lanes:

Western blot - Anti-BSND antibody [EPR14270] - C-terminal (ab196017) at 1/1000 dilution

All lanes:

Human fetal kidney lysate at 20 µg

Secondary

All lanes:

Goat Anti-Rabbit IgG, (H+L), Peroxidase conjugated at 1/1000 dilution

Predicted band size: 35 kDa

Observed band size: 40 kDa

false

Western blot - Anti-BSND antibody [EPR14270] - C-terminal (AB196017)
  • WB

Supplier Data

Western blot - Anti-BSND antibody [EPR14270] - C-terminal (AB196017)

This protein expressed primarily in kidney.

5% NFDM/TBST : Blocking and diluting buffer.

All lanes:

Western blot - Anti-BSND antibody [EPR14270] - C-terminal (ab196017) at 1/1000 dilution

Lane 1:

Mouse spleen lysate at 10 µg

Lane 2:

Rat kidney lysate at 10 µg

Secondary

All lanes:

Goat Anti-Rabbit IgG, (H+L), Peroxidase conjugated at 1/1000 dilution

Predicted band size: 35 kDa

Observed band size: 40 kDa

false

  • Carrier free

    Anti-BSND antibody [EPR14270] - BSA and Azide free

  • 519 Alexa Fluor® 488

    Alexa Fluor® 488 Anti-BSND antibody [EPR14270] - C-terminal

  • 665 Alexa Fluor® 647

    Alexa Fluor® 647 Anti-BSND antibody [EPR14270] - C-terminal

  • 565 Alexa Fluor® 555

    Alexa Fluor® 555 Anti-BSND antibody [EPR14270] - C-terminal

  • 617 Alexa Fluor® 594

    Alexa Fluor® 594 Anti-BSND antibody [EPR14270] - C-terminal

  • 578 PE

    PE Anti-BSND antibody [EPR14270] - C-terminal

  • 660 APC

    APC Anti-BSND antibody [EPR14270] - C-terminal

  • 775 Alexa Fluor® 750

    Alexa Fluor® 750 Anti-BSND antibody [EPR14270] - C-terminal

Key facts

Host species

Rabbit

Clonality

Monoclonal

Clone number

EPR14270

Isotype

IgG

Carrier free

No

Reacts with

Mouse, Rat, Human

Applications

WB, IHC-P

applications

Immunogen

The exact immunogen used to generate this antibody is proprietary information.

Reactivity data

{ "title": "Reactivity Data", "filters": { "stats": ["", "Species", "Dilution Info", "Notes"], "tabs": { "all-applications": {"fullname" : "All Applications", "shortname": "All Applications"}, "WB" : {"fullname" : "Western blot", "shortname":"WB"}, "IHCP" : {"fullname" : "Immunohistochemistry (Formalin/PFA-fixed paraffin-embedded sections)", "shortname":"IHC-P"} }, "product-promise": { "all": "all", "testedAndGuaranteed": "tested", "guaranteed": "expected", "predicted": "predicted", "notRecommended": "not-recommended" } }, "values": { "Human": { "WB-species-checked": "testedAndGuaranteed", "WB-species-dilution-info": "1/1000", "WB-species-notes": "<p></p>", "IHCP-species-checked": "testedAndGuaranteed", "IHCP-species-dilution-info": "1/2000", "IHCP-species-notes": "<p></p>" }, "Mouse": { "WB-species-checked": "testedAndGuaranteed", "WB-species-dilution-info": "1/1000", "WB-species-notes": "<p></p>", "IHCP-species-checked": "testedAndGuaranteed", "IHCP-species-dilution-info": "1/2000", "IHCP-species-notes": "<p></p>" }, "Rat": { "WB-species-checked": "testedAndGuaranteed", "WB-species-dilution-info": "1/1000", "WB-species-notes": "<p></p>", "IHCP-species-checked": "testedAndGuaranteed", "IHCP-species-dilution-info": "1/2000", "IHCP-species-notes": "<p></p>" } } }

Product details

What is this antibody validated in?
Anti-BSND antibody [EPR14270] - C-terminal (ab196017) is a rabbit recombinant monoclonal antibody and is validated for use in Western Blot (WB), Immunohistochemistry (IHC-P) in Human, Mouse, Rat samples.

What is the molecular weight of BSND?
Anti-BSND [EPR14270] - C-terminal (ab196017) specifically detects a band for BSND (UniProt: Q8WZ55) at a molecular weight of 35kDa.

Trial sizes available!
Test your antibody or perform pre-screening before committing to a larger quantity. Sold in 10µl. Discover our selection of trial-size antibodies.

Other related products
We have a range of other formats of antibody clone [EPR14270] also available for your convenience: ab196017, Carrier free - ab242408, Alexa Fluor® 488 - ab320220, Alexa Fluor® 647 - ab320221, Alexa Fluor® 555 - ab320222, Alexa Fluor® 594 - ab320223, PE - ab320224, APC - ab320225, Alexa Fluor® 750 - ab321336

Patented technology
Our RabMAb® technology is a patented hybridoma-based technology for making rabbit monoclonal antibodies. For details on our patents, please refer to RabMAb® patents.

What are the advantages of a recombinant monoclonal antibody?
This product is a recombinant monoclonal antibody, which offers several advantages including:

  • - High batch-to-batch consistency and reproducibility
  • - Improved sensitivity and specificity
  • - Long-term security of supply
  • - Animal-free batch production

For more information, read more on recombinant antibodies.

Properties and storage information

Form
Liquid
Purification technique
Affinity purification Protein A
Storage buffer
pH: 7.2 - 7.4 Preservative: 0.01% Sodium azide Constituents: PBS, 40% Glycerol (glycerin, glycerine), 0.05% BSA
Shipped at conditions
Blue Ice
Appropriate short-term storage duration
1-2 weeks
Appropriate short-term storage conditions
+4°C
Appropriate long-term storage conditions
-20°C
Aliquoting information
Upon delivery aliquot
Storage information
Avoid freeze / thaw cycle

Product protocols

For this product, it's our understanding that no specific protocols are required. You can visit:

Target data

Regulatory subunit of anion-selective CLCNKA : BSND and CLCNKB : BSND heteromeric channels involved in basolateral chloride conductance along the nephron to achieve urine concentration and maintain systemic acid-base homeostasis, and in the stria vascularis of the inner ear to establish the endocochlear potential necessary for normal hearing (PubMed : 11734858, PubMed : 12111250, PubMed : 12574213, PubMed : 16849430, PubMed : 18776122, PubMed : 19646679, PubMed : 20538786, PubMed : 26013830). Most likely acts as a chaperone that allosterically regulates proper sorting of CLCNKA : BSND and CLCNKB : BSND channels at the basolateral plasma membrane domain and functional switch to ion conducting state. Mediates constitutive opening of channel common gates (PubMed : 11734858, PubMed : 12111250, PubMed : 12574213, PubMed : 16849430, PubMed : 18776122, PubMed : 19646679, PubMed : 20538786, PubMed : 26013830).
See full target information BSND

Publications (8)

Recent publications for all applications. Explore the full list and refine your search

Bio-protocol 15:e5399 PubMed40741390

2025

Isolation and Culture of Ferret Airway Stem Cells.

Applications

Unspecified application

Species

Unspecified reactive species

Ziying Yan,John F Engelhardt,Feng Yuan

Cell reports methods 5:101055 PubMed40441150

2025

Quiescent horizontal basal stem cells act as a niche for olfactory neurogenesis in a mouse 3D organoid model.

Applications

Unspecified application

Species

Unspecified reactive species

Juliana Gutschow Gameiro,Constantin A Hintschich,Agnès Dekeyser,Valérie Hox,James E Schwob,Eric H Holbrook,Marco Aurélio Fornazieri,Brian Lin

The Journal of clinical investigation 133: PubMed37581935

2023

CFTR-rich ionocytes mediate chloride absorption across airway epithelia.

Applications

Unspecified application

Species

Unspecified reactive species

Lei Lei,Soumba Traore,Guillermo S Romano Ibarra,Philip H Karp,Tayyab Rehman,David K Meyerholz,Joseph Zabner,David A Stoltz,Patrick L Sinn,Michael J Welsh,Paul B McCray,Ian M Thornell

Nature 621:857-867 PubMed37730992

2023

Transgenic ferret models define pulmonary ionocyte diversity and function.

Applications

Unspecified application

Species

Unspecified reactive species

Feng Yuan,Grace N Gasser,Evan Lemire,Daniel T Montoro,Karthik Jagadeesh,Yan Zhang,Yifan Duan,Vitaly Ievlev,Kristen L Wells,Pavana G Rotti,Weam Shahin,Michael Winter,Bradley H Rosen,Idil Evans,Qian Cai,Miao Yu,Susan A Walsh,Michael R Acevedo,Darpan N Pandya,Vamsidhar Akurathi,David W Dick,Thaddeus J Wadas,Nam Soo Joo,Jeffrey J Wine,Susan Birket,Courtney M Fernandez,Hui Min Leung,Guillermo J Tearney,Alan S Verkman,Peter M Haggie,Kathleen Scott,Douglas Bartels,David K Meyerholz,Steven M Rowe,Xiaoming Liu,Ziying Yan,Adam L Haber,Xingshen Sun,John F Engelhardt

eLife 12: PubMed36994985

2023

Autofluorescence imaging permits label-free cell type assignment and reveals the dynamic formation of airway secretory cell associated antigen passages (SAPs).

Applications

Unspecified application

Species

Unspecified reactive species

Viral S Shah,Jue Hou,Vladimir Vinarsky,Jiajie Xu,Manalee V Surve,Charles P Lin,Jayaraj Rajagopal

Experimental hematology & oncology 12:6 PubMed36635772

2023

CTP synthase 2 predicts inferior survival and mediates DNA damage response via interacting with BRCA1 in chronic lymphocytic leukemia.

Applications

Unspecified application

Species

Unspecified reactive species

Xinting Hu,Yang Han,Jiarui Liu,Hua Wang,Zheng Tian,Xin Zhang,Ya Zhang,Xin Wang

Scientific reports 12:19811 PubMed36396805

2022

Development of the stria vascularis in the common marmoset, a primate model.

Applications

Unspecified application

Species

Unspecified reactive species

Makoto Hosoya,Tsubasa Kitama,Kaho Iwabu,Takanori Nishiyama,Naoki Oishi,Hideyuki Okano,Hiroyuki Ozawa

American journal of physiology. Cell physiology 319:C331-C344 PubMed32432926

2020

TNFα and IL-17 alkalinize airway surface liquid through CFTR and pendrin.

Applications

Unspecified application

Species

Unspecified reactive species

Tayyab Rehman,Ian M Thornell,Alejandro A Pezzulo,Andrew L Thurman,Guillermo S Romano Ibarra,Philip H Karp,Ping Tan,Michael E Duffey,Michael J Welsh
View all publications

Product promise

We are committed to supporting your work with high-quality reagents, and we're here for you every step of the way. In the unlikely event that one of our products does not perform as expected, you're protected by our Product Promise.
For full details, please see our Terms & Conditions

Please note: All products are 'FOR RESEARCH USE ONLY. NOT FOR USE IN DIAGNOSTIC OR THERAPEUTIC PROCEDURES'.

For licensing inquiries, please contact partnerships@abcam.com