JavaScript is disabled in your browser. Please enable JavaScript to view this website.
AB272175

Anti-BST2/Tetherin antibody [EPR23597-202] - BSA and Azide free

Be the first to review this product! Submit a review

|

(0 Publication)

Rabbit Recombinant Monoclonal BST2/Tetherin antibody. Carrier free. Suitable for IHC-P, IP, Flow Cyt, ICC/IF and reacts with Mouse samples.

View Alternative Names

CD317, Bone marrow stromal antigen 2, BST-2, HM1.24 antigen, Bst2

7 Images
Immunohistochemistry (Formalin/PFA-fixed paraffin-embedded sections) - Anti-BST2/Tetherin antibody [EPR23597-202] - BSA and Azide free (AB272175)
  • IHC-P

Unknown

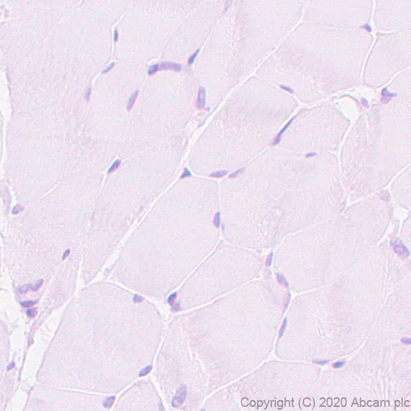
Immunohistochemistry (Formalin/PFA-fixed paraffin-embedded sections) - Anti-BST2/Tetherin antibody [EPR23597-202] - BSA and Azide free (AB272175)

Immunohistochemical analysis of paraffin-embedded Mouse skeletal muscle tissue labeling BST2/Tetherin with ab246508 at 1/2000 dilution followed by a ready to use Rabbit specific IHC polymer detection kit HRP/DAB (ab209101). Negative control : No staining on mouse skeletal muscle (PMID : 19903902). The section was incubated with ab246508 for 30 mins at room temperature. The immunostaining was performed on a Leica Biosystems BOND® RX instrument. Counterstained with Hematoxylin.

Secondary antibody only control : Secondary antibody is a ready to use Rabbit specific IHC polymer detection kit HRP/DAB (ab209101).

Heat mediated antigen retrieval with Citrate buffer (pH 6.0, epitope retrieval solution 1) for 20 mins.

This data was developed using the same antibody clone in a different buffer formulation containing PBS, BSA, glycerol, and sodium azide (ab246508).

Flow Cytometry - Anti-BST2/Tetherin antibody [EPR23597-202] - BSA and Azide free (AB272175)
  • Flow Cyt

Unknown

Flow Cytometry - Anti-BST2/Tetherin antibody [EPR23597-202] - BSA and Azide free (AB272175)

Flow cytometric analysis of Mouse splenocyte cells labelling BST2/Tetherin with ab246508 at 1/500 dilution (Right) compared with a Rabbit monoclonal IgG (ab172730) isotype control (Left).A Goat anti rabbit IgG (Alexa Fluor® 488, ab150077) at 1/2000 dilution was used as the secondary antibody.

Cells were stained with rabbit IgG (Left) or ab246508 (Right). Then stained with anti-CD45R conjugated to Alexa Fluor® 647.

Gated on viable cells.

This data was developed using the same antibody clone in a different buffer formulation containing PBS, BSA, glycerol, and sodium azide (ab246508).

Immunocytochemistry/ Immunofluorescence - Anti-BST2/Tetherin antibody [EPR23597-202] - BSA and Azide free (AB272175)
  • ICC/IF

Unknown

Immunocytochemistry/ Immunofluorescence - Anti-BST2/Tetherin antibody [EPR23597-202] - BSA and Azide free (AB272175)

Immunofluorescent analysis of 4% Paraformaldehyde-fixed, 0.1% Triton X-100 permeabilized Mouse splenocyte cells labelling BST2/Tetherin with ab246508 at 1/100 dilution, followed by ab150077 Goat Anti-Rabbit IgG H&L (Alexa Fluor® 488) antibody at 1/1000 dilution (Green). Confocal image showing cytoplamic staining in mouse splenocyte ab195889 Anti-alpha Tubulin antibody (Alexa Fluor® 594) was used to counterstain tubulin at 1/200 dilution (Red). The Nuclear counterstain was DAPI (Blue).

Secondary antibody only control : Secondary antibody is ab150077 Goat Anti-Rabbit IgG H&L (Alexa Fluor® 488) at 1/1000 dilution.

This data was developed using the same antibody clone in a different buffer formulation containing PBS, BSA, glycerol, and sodium azide (ab246508).

Immunohistochemistry (Formalin/PFA-fixed paraffin-embedded sections) - Anti-BST2/Tetherin antibody [EPR23597-202] - BSA and Azide free (AB272175)
  • IHC-P

Unknown

Immunohistochemistry (Formalin/PFA-fixed paraffin-embedded sections) - Anti-BST2/Tetherin antibody [EPR23597-202] - BSA and Azide free (AB272175)

Immunohistochemical analysis of paraffin-embedded Mouse spleen tissue labeling BST2/Tetherin with ab246508 at 1/2000 dilution followed by a ready to use Rabbit specific IHC polymer detection kit HRP/DAB (ab209101). Positive staining on mouse spleen (PMID : 19903902).The section was incubated with ab246508 for 30 mins at room temperature.The immunostaining was performed on a Leica Biosystems BOND® RX instrument Counterstained with Hematoxylin.

Secondary antibody only control : Secondary antibody is a ready to use Rabbit specific IHC polymer detection kit HRP/DAB (ab209101).

Heat mediated antigen retrieval with Citrate buffer (pH 6.0, epitope retrieval solution 1) for 20 mins.

This data was developed using the same antibody clone in a different buffer formulation containing PBS, BSA, glycerol, and sodium azide (ab246508).

Immunocytochemistry/ Immunofluorescence - Anti-BST2/Tetherin antibody [EPR23597-202] - BSA and Azide free (AB272175)
  • ICC/IF

Unknown

Immunocytochemistry/ Immunofluorescence - Anti-BST2/Tetherin antibody [EPR23597-202] - BSA and Azide free (AB272175)

Immunofluorescent analysis of 100% methanol-fixed EL.4 cells labelling BST2/Tetherin with ab246508 at 1/100 dilution, followed by ab150077 Goat Anti-Rabbit IgG H&L (Alexa Fluor® 488) antibody at 1/1000 dilution (Green). Confocal image showing cytoplasmic staining in EL.4 cell line. 100% methanol fixation is recommended. ab195889 Anti-alpha Tubulin antibody (Alexa Fluor® 594) was used to counterstain tubulin at 1/200 dilution (Red). The Nuclear counterstain was DAPI (Blue).

Secondary antibody only control : Secondary antibody is ab150077 Goat Anti-Rabbit IgG H&L (Alexa Fluor® 488) at 1/1000 dilution.

This data was developed using the same antibody clone in a different buffer formulation containing PBS, BSA, glycerol, and sodium azide (ab246508).

Immunoprecipitation - Anti-BST2/Tetherin antibody [EPR23597-202] - BSA and Azide free (AB272175)
  • IP

Unknown

Immunoprecipitation - Anti-BST2/Tetherin antibody [EPR23597-202] - BSA and Azide free (AB272175)

BST2/Tetherin was immunoprecipitated from 0.35 mg Mouse spleen tissue lysate with ab246508 at 1/30 dilution (2ug in 0.35mg lysates). Western blot was performed on the immunoprecipitate using ab246508 at 1/1000 dilution. VeriBlot for IP Detection Reagent (HRP)(ab131366) was used at 1/5000 dilution.

Lane 1 : Mouse spleen tissue lysate 10ug

Lane 2 : ab246508 IP in Mouse spleentissue lysate

Lane 3 : Rabbit monoclonal IgG (ab172730) instead of ab246508 in mouse spleen tissue lysate

Blocking and dilution buffer and concentration : 5% NFDM/TBST.

Exposure time : 15 seconds

BST2 is type II transmembrane glycoprotein with a molecular mass of 28-40 KD, which is consistent to the literature(PMID : 22520941; PMID : 19737401).

This data was developed using the same antibody clone in a different buffer formulation containing PBS, BSA, glycerol, and sodium azide (ab246508).

All lanes:

Immunoprecipitation - Anti-BST2/Tetherin antibody [EPR23597-202] (<a href='/en-us/products/primary-antibodies/bst2-tetherin-antibody-epr23597-202-ab246508'>ab246508</a>)

Predicted band size: 20 kDa

Observed band size: 28-40 kDa

false

Immunoprecipitation - Anti-BST2/Tetherin antibody [EPR23597-202] - BSA and Azide free (AB272175)
  • IP

Unknown

Immunoprecipitation - Anti-BST2/Tetherin antibody [EPR23597-202] - BSA and Azide free (AB272175)

BST2/Tetherin was immunoprecipitated from 0.35 mg EL4 (mouse lymphoma T lymphocyte), whole cell lysate with ab246508 at 1/30 dilution (2ug in 0.35mg lysates). Western blot was performed on the immunoprecipitate using ab246508 at 1/1000 dilution. VeriBlot for IP Detection Reagent (HRP)(ab131366) was used at 1/5000 dilution.

Lane 1 : EL4 (mouse lymphoma T lymphocyte), whole cell lysate 10 ug

Lane 2 : ab246508 IP in EL4 whole cell lysate

Lane 3 : Rabbit monoclonal IgG (ab172730) instead of ab246508 in EL4 whole cell lysate

Blocking and dilution buffer and concentration : 5% NFDM/TBST.

Exposure time : 15 seconds

BST2 is type II transmembrane glycoprotein with a molecular mass of 28-40 KD, which is consistent to the literature(PMID : 22520941; PMID : 19737401).

This data was developed using the same antibody clone in a different buffer formulation containing PBS, BSA, glycerol, and sodium azide (ab246508).

All lanes:

Immunoprecipitation - Anti-BST2/Tetherin antibody [EPR23597-202] (<a href='/en-us/products/primary-antibodies/bst2-tetherin-antibody-epr23597-202-ab246508'>ab246508</a>)

Predicted band size: 20 kDa

Observed band size: 28-40 kDa

false

Key facts

Host species

Rabbit

Clonality

Monoclonal

Clone number

EPR23597-202

Isotype

IgG

Carrier free

Yes

Reacts with

Mouse

Applications

Flow Cyt, IHC-P, ICC/IF, IP

applications

Immunogen

The exact immunogen used to generate this antibody is proprietary information.

Reactivity data

{ "title": "Reactivity Data", "filters": { "stats": ["", "Species", "Dilution Info", "Notes"], "tabs": { "all-applications": {"fullname" : "All Applications", "shortname": "All Applications"}, "IHCP" : {"fullname" : "Immunohistochemistry (Formalin/PFA-fixed paraffin-embedded sections)", "shortname":"IHC-P"}, "IP" : {"fullname" : "Immunoprecipitation", "shortname":"IP"}, "FlowCyt" : {"fullname" : "Flow Cytometry", "shortname":"Flow Cyt"}, "WB" : {"fullname" : "Western blot", "shortname":"WB"}, "ICCIF" : {"fullname" : "Immunocytochemistry/ Immunofluorescence", "shortname":"ICC/IF"} }, "product-promise": { "all": "all", "testedAndGuaranteed": "tested", "guaranteed": "expected", "predicted": "predicted", "notRecommended": "not-recommended" } }, "values": { "Human": { "IHCP-species-checked": "notRecommended", "IHCP-species-dilution-info": "", "IHCP-species-notes": "<p></p>", "IP-species-checked": "notRecommended", "IP-species-dilution-info": "", "IP-species-notes": "", "FlowCyt-species-checked": "notRecommended", "FlowCyt-species-dilution-info": "", "FlowCyt-species-notes": "", "WB-species-checked": "notRecommended", "WB-species-dilution-info": "", "WB-species-notes": "<p></p>", "ICCIF-species-checked": "notRecommended", "ICCIF-species-dilution-info": "", "ICCIF-species-notes": "" }, "Mouse": { "IHCP-species-checked": "testedAndGuaranteed", "IHCP-species-dilution-info": "", "IHCP-species-notes": "<p></p>", "IP-species-checked": "testedAndGuaranteed", "IP-species-dilution-info": "", "IP-species-notes": "<p></p>", "FlowCyt-species-checked": "testedAndGuaranteed", "FlowCyt-species-dilution-info": "", "FlowCyt-species-notes": "<p></p>", "WB-species-checked": "notRecommended", "WB-species-dilution-info": "", "WB-species-notes": "<p></p>", "ICCIF-species-checked": "testedAndGuaranteed", "ICCIF-species-dilution-info": "", "ICCIF-species-notes": "<p></p>" }, "Rat": { "IHCP-species-checked": "notRecommended", "IHCP-species-dilution-info": "", "IHCP-species-notes": "<p></p>", "IP-species-checked": "notRecommended", "IP-species-dilution-info": "", "IP-species-notes": "", "FlowCyt-species-checked": "notRecommended", "FlowCyt-species-dilution-info": "", "FlowCyt-species-notes": "", "WB-species-checked": "notRecommended", "WB-species-dilution-info": "", "WB-species-notes": "<p></p>", "ICCIF-species-checked": "notRecommended", "ICCIF-species-dilution-info": "", "ICCIF-species-notes": "" } } }

Product details

ab272175 is the carrier-free version of ab246508.

Patented technology
Our RabMAb® technology is a patented hybridoma-based technology for making rabbit monoclonal antibodies. For details on our patents, please refer to RabMAb® patents.

What are the advantages of a recombinant monoclonal antibody?
This product is a recombinant monoclonal antibody, which offers several advantages including:

  • - High batch-to-batch consistency and reproducibility
  • - Improved sensitivity and specificity
  • - Long-term security of supply
  • - Animal-free batch production

For more information, read more on recombinant antibodies.

Conjugation ready
Our carrier-free antibodies are typically supplied in a PBS-only formulation, purified and free of BSA, sodium azide and glycerol. This conjugation-ready format is designed for use with fluorochromes, metal isotopes, oligonucleotides, and enzymes, which makes them ideal for antibody labelling, functional and cell-based assays, flow-based assays (e.g. mass cytometry) and Multiplex Imaging applications.

Use our conjugation kits for antibody conjugates that are ready-to-use in as little as 20 minutes with 1 minute hands-on-time and 100% antibody recovery: available for fluorescent dyes, HRP, biotin and gold.

Compatibility
This product is compatible with the Maxpar® Antibody Labeling Kit from Fluidigm, without the need for antibody preparation. Maxpar® is a trademark of Fluidigm Canada Inc.

Properties and storage information

Form
Liquid
Purification technique
Affinity purification Protein A
Storage buffer
pH: 7.2 - 7.4 Constituents: PBS
Shipped at conditions
Blue Ice
Appropriate short-term storage conditions
+4°C
Appropriate long-term storage conditions
+4°C
Storage information
Do Not Freeze

Product protocols

For this product, it's our understanding that no specific protocols are required. You can visit:

Target data

IFN-induced antiviral host restriction factor which efficiently blocks the release of diverse mammalian enveloped viruses by directly tethering nascent virions to the membranes of infected cells. Acts as a direct physical tether, holding virions to the cell membrane and linking virions to each other. The tethered virions can be internalized by endocytosis and subsequently degraded or they can remain on the cell surface. In either case, their spread as cell-free virions is restricted. Its target viruses belong to diverse families, including retroviridae : human immunodeficiency virus type 1 (HIV-1), mouse mammary tumor virus (MMTV) and murine leukemia virus (MLV), filoviridae : ebola virus (EBOV), arenaviridae : lassa virus (LASV), and rhabdoviridae : vesicular stomatitis virus (VSV). Can inhibit cell surface proteolytic activity of MMP14 causing decreased activation of MMP15 which results in inhibition of cell growth and migration. Can stimulate signaling by LILRA4/ILT7 and consequently provide negative feedback to the production of IFN by plasmacytoid dendritic cells in response to viral infection. Plays a role in the organization of the subapical actin cytoskeleton in polarized epithelial cells.
See full target information Bst2

Product promise

We are committed to supporting your work with high-quality reagents, and we're here for you every step of the way. In the unlikely event that one of our products does not perform as expected, you're protected by our Product Promise.
For full details, please see our Terms & Conditions

Please note: All products are 'FOR RESEARCH USE ONLY. NOT FOR USE IN DIAGNOSTIC OR THERAPEUTIC PROCEDURES'.

For licensing inquiries, please contact partnerships@abcam.com