JavaScript is disabled in your browser. Please enable JavaScript to view this website.
AB248854

Anti-BTBD17 antibody [EPR9593(B)] - BSA and Azide free

Be the first to review this product! Submit a review

|

(1 Publication)

Rabbit Recombinant Monoclonal BTBD17 antibody. Carrier free. Suitable for IHC-P, WB and reacts with Human samples. Cited in 1 publication.

View Alternative Names

BTB/POZ domain-containing protein 17, Galectin-3-binding protein-like, BTBD17

3 Images
Immunohistochemistry (Formalin/PFA-fixed paraffin-embedded sections) - Anti-BTBD17 antibody [EPR9593(B)] - BSA and Azide free (AB248854)
  • IHC-P

Unknown

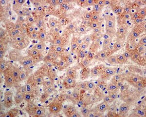
Immunohistochemistry (Formalin/PFA-fixed paraffin-embedded sections) - Anti-BTBD17 antibody [EPR9593(B)] - BSA and Azide free (AB248854)

This data was developed using ab138507, the same antibody clone in a different buffer formulation.

Immunohistochemical analysis of paraffin embedded Human liver tissue labelling BTBD17 with ab138507 antibody at a dilution of 1/50.

Perform heat mediated antigen retrieval before commencing with IHC staining protocol.

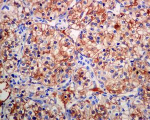
Immunohistochemistry (Formalin/PFA-fixed paraffin-embedded sections) - Anti-BTBD17 antibody [EPR9593(B)] - BSA and Azide free (AB248854)
  • IHC-P

Unknown

Immunohistochemistry (Formalin/PFA-fixed paraffin-embedded sections) - Anti-BTBD17 antibody [EPR9593(B)] - BSA and Azide free (AB248854)

This data was developed using ab138507, the same antibody clone in a different buffer formulation.

Immunohistochemical analysis of paraffin embedded Human kidney clear cell carcinoma tissue labelling BTBD17 with ab138507 antibody at a dilution of 1/50.

Perform heat mediated antigen retrieval before commencing with IHC staining protocol.

Western blot - Anti-BTBD17 antibody [EPR9593(B)] - BSA and Azide free (AB248854)
  • WB

Unknown

Western blot - Anti-BTBD17 antibody [EPR9593(B)] - BSA and Azide free (AB248854)

This data was developed using ab138507, the same antibody clone in a different buffer formulation.

All lanes:

Western blot - Anti-BTBD17 antibody [EPR9593(B)] (<a href='/en-us/products/primary-antibodies/btbd17-antibody-epr9593b-ab138507'>ab138507</a>) at 1/1000 dilution

Lane 1:

Human colon cancer lysate at 10 µg

Lane 2:

Human fetal kidney tissue lysate at 10 µg

Lane 3:

Human bladder lysate at 10 µg

Secondary

All lanes:

HRP labelled goat anti-rabbit at 1/2000 dilution

Predicted band size: 52 kDa

false

Key facts

Host species

Rabbit

Clonality

Monoclonal

Clone number

EPR9593(B)

Isotype

IgG

Carrier free

Yes

Reacts with

Human

Applications

IHC-P, WB

applications

Immunogen

The exact immunogen used to generate this antibody is proprietary information.

Reactivity data

{ "title": "Reactivity Data", "filters": { "stats": ["", "Species", "Dilution Info", "Notes"], "tabs": { "all-applications": {"fullname" : "All Applications", "shortname": "All Applications"}, "IHCP" : {"fullname" : "Immunohistochemistry (Formalin/PFA-fixed paraffin-embedded sections)", "shortname":"IHC-P"}, "IP" : {"fullname" : "Immunoprecipitation", "shortname":"IP"}, "WB" : {"fullname" : "Western blot", "shortname":"WB"}, "ICCIF" : {"fullname" : "Immunocytochemistry/ Immunofluorescence", "shortname":"ICC/IF"} }, "product-promise": { "all": "all", "testedAndGuaranteed": "tested", "guaranteed": "expected", "predicted": "predicted", "notRecommended": "not-recommended" } }, "values": { "Human": { "IHCP-species-checked": "testedAndGuaranteed", "IHCP-species-dilution-info": "", "IHCP-species-notes": "<p></p>", "IP-species-checked": "notRecommended", "IP-species-dilution-info": "", "IP-species-notes": "<p></p>", "WB-species-checked": "testedAndGuaranteed", "WB-species-dilution-info": "", "WB-species-notes": "<p></p>", "ICCIF-species-checked": "notRecommended", "ICCIF-species-dilution-info": "", "ICCIF-species-notes": "<p></p>" } } }

Product details

ab248854 is the carrier-free version of ab138507.

Species reactivity
Mouse, Rat: We have preliminary internal testing data to indicate this antibody may not react with these species.
Please contact us for more information.

Patented technology
Our RabMAb® technology is a patented hybridoma-based technology for making rabbit monoclonal antibodies. For details on our patents, please refer to RabMAb® patents.

What are the advantages of a recombinant monoclonal antibody?
This product is a recombinant monoclonal antibody, which offers several advantages including:

  • - High batch-to-batch consistency and reproducibility
  • - Improved sensitivity and specificity
  • - Long-term security of supply
  • - Animal-free batch production

For more information, read more on recombinant antibodies.

Conjugation ready
Our carrier-free antibodies are typically supplied in a PBS-only formulation, purified and free of BSA, sodium azide and glycerol. This conjugation-ready format is designed for use with fluorochromes, metal isotopes, oligonucleotides, and enzymes, which makes them ideal for antibody labelling, functional and cell-based assays, flow-based assays (e.g. mass cytometry) and Multiplex Imaging applications.

Use our conjugation kits for antibody conjugates that are ready-to-use in as little as 20 minutes with 1 minute hands-on-time and 100% antibody recovery: available for fluorescent dyes, HRP, biotin and gold.

Compatibility
This product is compatible with the Maxpar® Antibody Labeling Kit from Fluidigm, without the need for antibody preparation. Maxpar® is a trademark of Fluidigm Canada Inc.

Properties and storage information

Form
Liquid
Purification technique
Affinity purification Protein A
Storage buffer
pH: 7.2 - 7.4 Constituents: PBS
Shipped at conditions
Blue Ice
Appropriate short-term storage conditions
+4°C
Appropriate long-term storage conditions
+4°C
Storage information
Do Not Freeze

Product protocols

For this product, it's our understanding that no specific protocols are required. You can visit:

Publications (1)

Recent publications for all applications. Explore the full list and refine your search

Journal of personalized medicine 12: PubMed35207643

2022

Detyrosinated α-Tubulin, Vimentin and PD-L1 in Circulating Tumor Cells (CTCs) Isolated from Non-Small Cell Lung Cancer (NSCLC) Patients.

Applications

Unspecified application

Species

Unspecified reactive species

Spyridoula D Katsarou,Ippokratis Messaritakis,Anastasia Voumvouraki,Stavros Kakavogiannis,Athanasios Κotsakis,Saad Alkahtani,Christos Stournaras,Stuart S Martin,Vassilis Georgoulias,Galatea Kallergi
View all publications

Product promise

We are committed to supporting your work with high-quality reagents, and we're here for you every step of the way. In the unlikely event that one of our products does not perform as expected, you're protected by our Product Promise.
For full details, please see our Terms & Conditions

Please note: All products are 'FOR RESEARCH USE ONLY. NOT FOR USE IN DIAGNOSTIC OR THERAPEUTIC PROCEDURES'.

For licensing inquiries, please contact partnerships@abcam.com