JavaScript is disabled in your browser. Please enable JavaScript to view this website.
AB236159

Anti-BTF antibody [EPR9980(2)] - BSA and Azide free

Be the first to review this product! Submit a review

|

(1 Publication)

Rabbit Recombinant Monoclonal BTF antibody. Carrier free. Suitable for WB, ICC/IF, IHC-P and reacts with Mouse, Rat, Human samples. Cited in 1 publication.

View Alternative Names

BTF, KIAA0164, BCLAF1, Bcl-2-associated transcription factor 1, Btf, BCLAF1 and THRAP3 family member 1

7 Images
Immunocytochemistry/ Immunofluorescence - Anti-BTF antibody [EPR9980(2)] - BSA and Azide free (AB236159)
  • ICC/IF

Unknown

Immunocytochemistry/ Immunofluorescence - Anti-BTF antibody [EPR9980(2)] - BSA and Azide free (AB236159)

Immunocytochemistry/ Immunofluorescence analysis of MCF7 (Human breast adenocarcinoma epithelial cell) cells labeling BTF with Purified ab181240 at 1 : 1000 dilution (1.5 μg/ml). Cells were fixed in 4% Paraformaldehyde and permeabilized with 0.1% tritonX-100. Cells were counterstained with ab195889 Anti-alpha Tubulin antibody [DM1A] - Microtubule Marker (Alexa Fluor® 594) 1 : 200 (2.5 μg/ml). Goat anti rabbit IgG (Alexa Fluor® 488, ab150077) was used as the secondary antibody at 1 : 1000 (2 μg/ml) dilution. DAPI nuclear counterstain. PBS instead of the primary antibody was used as the secondary antibody only control.

This data was developed using the same antibody clone in a different buffer formulation containing PBS, BSA, glycerol, and sodium azide (ab181240).

Immunohistochemistry (Formalin/PFA-fixed paraffin-embedded sections) - Anti-BTF antibody [EPR9980(2)] - BSA and Azide free (AB236159)
  • IHC-P

Supplier Data

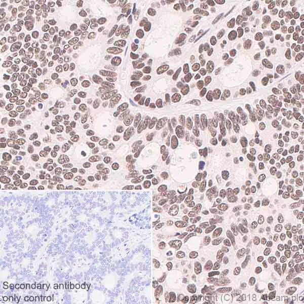
Immunohistochemistry (Formalin/PFA-fixed paraffin-embedded sections) - Anti-BTF antibody [EPR9980(2)] - BSA and Azide free (AB236159)

Immunohistochemical analysis of paraffin-embedded Human ovarian cancer tissue labeling BTF with unpurified ab181240 at 1/100 dilution followed by prediluted HRP Polymer for Rabbit IgG. Counter stained with hematoxylin.

This data was developed using the same antibody clone in a different buffer formulation containing PBS, BSA, glycerol, and sodium azide (ab181240).

Immunohistochemistry (Formalin/PFA-fixed paraffin-embedded sections) - Anti-BTF antibody [EPR9980(2)] - BSA and Azide free (AB236159)
  • IHC-P

Unknown

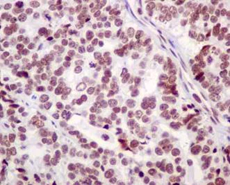
Immunohistochemistry (Formalin/PFA-fixed paraffin-embedded sections) - Anti-BTF antibody [EPR9980(2)] - BSA and Azide free (AB236159)

Immunohistochemistry (Formalin/PFA-fixed paraffin-embedded sections) analysis of Human gastric cancer tissue sections labeling BTF with Purified ab181240 at 1 : 500 dilution (3.08 μg/ml). Heat mediated antigen retrieval was performed using using ab93684 (Tris/EDTA buffer, pH 9.0). ImmunoHistoProbe one step HRP Polymer (ready to use) was used as the secondary antibody.

Negative control : PBS instead of the primary antibody.

Hematoxylinwas used as a counterstain

This data was developed using the same antibody clone in a different buffer formulation containing PBS, BSA, glycerol, and sodium azide (ab181240).

Immunohistochemistry (Formalin/PFA-fixed paraffin-embedded sections) - Anti-BTF antibody [EPR9980(2)] - BSA and Azide free (AB236159)
  • IHC-P

Unknown

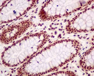
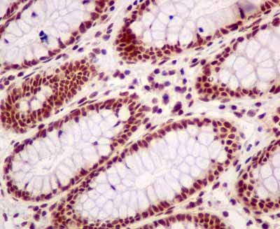
Immunohistochemistry (Formalin/PFA-fixed paraffin-embedded sections) - Anti-BTF antibody [EPR9980(2)] - BSA and Azide free (AB236159)

Immunohistochemical analysis of paraffin-embedded Human colon tissue labeling BTF with ab181240 at 1/100 dilution followed by prediluted HRP Polymer for Rabbit IgG. Counter stained with hematoxylin.

This data was developed using the same antibody clone in a different buffer formulation containing PBS, BSA, glycerol, and sodium azide (ab181240).

Immunocytochemistry/ Immunofluorescence - Anti-BTF antibody [EPR9980(2)] - BSA and Azide free (AB236159)
  • ICC/IF

Lab

Immunocytochemistry/ Immunofluorescence - Anti-BTF antibody [EPR9980(2)] - BSA and Azide free (AB236159)

Immunocytochemistry/Immunofluorescence analysis of HepG2 cells labelling BTF with unpurified ab181240 at 1/500. Cells were fixed with 4% Paraformaldehyde. ab150077, an Alexa Fluor® 488-conjugated goat anti-rabbit IgG (1/1000) was used as the secondary antibody.

Control : PBS only.
Nuclear counter stain : DAPI.

This data was developed using the same antibody clone in a different buffer formulation containing PBS, BSA, glycerol, and sodium azide (ab181240).

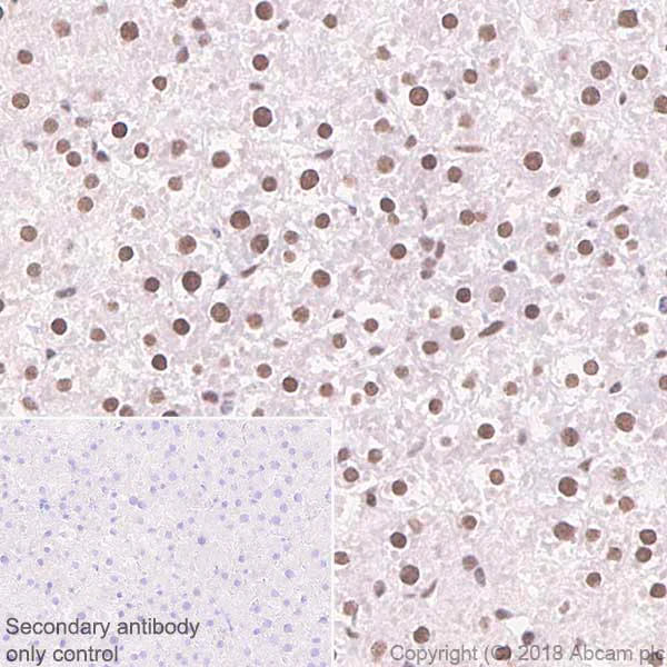
Immunohistochemistry (Formalin/PFA-fixed paraffin-embedded sections) - Anti-BTF antibody [EPR9980(2)] - BSA and Azide free (AB236159)
  • IHC-P

Unknown

Immunohistochemistry (Formalin/PFA-fixed paraffin-embedded sections) - Anti-BTF antibody [EPR9980(2)] - BSA and Azide free (AB236159)

Immunohistochemistry (Formalin/PFA-fixed paraffin-embedded sections) analysis of rat liver tissue sections labeling BTF with Purified ab181240 at 1 : 500 dilution (3.08 μg/ml). Heat mediated antigen retrieval was performed using ab93684 (Tris/EDTA buffer, pH 9.0). ImmunoHistoProbe one step HRP Polymer (ready to use) was used as the secondary antibody.

Negative control : PBS instead of the primary antibody.

Hematoxylin was used as a counterstain.

This data was developed using the same antibody clone in a different buffer formulation containing PBS, BSA, glycerol, and sodium azide (ab181240).

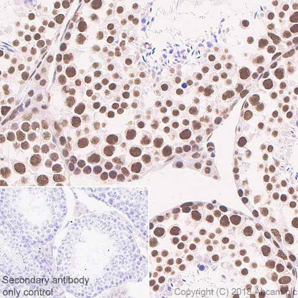
Immunohistochemistry (Formalin/PFA-fixed paraffin-embedded sections) - Anti-BTF antibody [EPR9980(2)] - BSA and Azide free (AB236159)
  • IHC-P

Unknown

Immunohistochemistry (Formalin/PFA-fixed paraffin-embedded sections) - Anti-BTF antibody [EPR9980(2)] - BSA and Azide free (AB236159)

Immunohistochemistry (Formalin/PFA-fixed paraffin-embedded sections) analysis of Mouse testis tissue sections labeling BTF with Purified ab181240 at 1 : 500 dilution (3.08 μg/ml). Heat mediated antigen retrieval was performed using ab93684 (Tris/EDTA buffer, pH 9.0). ImmunoHistoProbe one step HRP Polymer (ready to use)was used as the secondary antibody.

Negative control : PBS instead of the primary antibody.

Hematoxylin was used as a counterstain

This data was developed using the same antibody clone in a different buffer formulation containing PBS, BSA, glycerol, and sodium azide (ab181240).

Key facts

Host species

Rabbit

Clonality

Monoclonal

Clone number

EPR9980(2)

Isotype

IgG

Carrier free

Yes

Reacts with

Mouse, Rat, Human

Applications

IHC-P, WB, ICC/IF

applications

Immunogen

The exact immunogen used to generate this antibody is proprietary information.

Reactivity data

{ "title": "Reactivity Data", "filters": { "stats": ["", "Species", "Dilution Info", "Notes"], "tabs": { "all-applications": {"fullname" : "All Applications", "shortname": "All Applications"}, "WB" : {"fullname" : "Western blot", "shortname":"WB"}, "ICCIF" : {"fullname" : "Immunocytochemistry/ Immunofluorescence", "shortname":"ICC/IF"}, "IHCP" : {"fullname" : "Immunohistochemistry (Formalin/PFA-fixed paraffin-embedded sections)", "shortname":"IHC-P"} }, "product-promise": { "all": "all", "testedAndGuaranteed": "tested", "guaranteed": "expected", "predicted": "predicted", "notRecommended": "not-recommended" } }, "values": { "Human": { "WB-species-checked": "guaranteed", "WB-species-dilution-info": "", "WB-species-notes": "<p></p>", "ICCIF-species-checked": "testedAndGuaranteed", "ICCIF-species-dilution-info": "", "ICCIF-species-notes": "<p></p>", "IHCP-species-checked": "testedAndGuaranteed", "IHCP-species-dilution-info": "", "IHCP-species-notes": "<p></p>" }, "Mouse": { "WB-species-checked": "guaranteed", "WB-species-dilution-info": "", "WB-species-notes": "<p></p>", "ICCIF-species-checked": "predicted", "ICCIF-species-dilution-info": "", "ICCIF-species-notes": "", "IHCP-species-checked": "predicted", "IHCP-species-dilution-info": "", "IHCP-species-notes": "" }, "Rat": { "WB-species-checked": "guaranteed", "WB-species-dilution-info": "", "WB-species-notes": "<p></p>", "ICCIF-species-checked": "predicted", "ICCIF-species-dilution-info": "", "ICCIF-species-notes": "", "IHCP-species-checked": "predicted", "IHCP-species-dilution-info": "", "IHCP-species-notes": "" } } }

Product details

ab236159 is the carrier-free version of ab181240.

Patented technology
Our RabMAb® technology is a patented hybridoma-based technology for making rabbit monoclonal antibodies. For details on our patents, please refer to RabMAb® patents.

What are the advantages of a recombinant monoclonal antibody?
This product is a recombinant monoclonal antibody, which offers several advantages including:

  • - High batch-to-batch consistency and reproducibility
  • - Improved sensitivity and specificity
  • - Long-term security of supply
  • - Animal-free batch production

For more information, read more on recombinant antibodies.

Conjugation ready
Our carrier-free antibodies are typically supplied in a PBS-only formulation, purified and free of BSA, sodium azide and glycerol. This conjugation-ready format is designed for use with fluorochromes, metal isotopes, oligonucleotides, and enzymes, which makes them ideal for antibody labelling, functional and cell-based assays, flow-based assays (e.g. mass cytometry) and Multiplex Imaging applications.

Use our conjugation kits for antibody conjugates that are ready-to-use in as little as 20 minutes with 1 minute hands-on-time and 100% antibody recovery: available for fluorescent dyes, HRP, biotin and gold.

Compatibility
This product is compatible with the Maxpar® Antibody Labeling Kit from Fluidigm, without the need for antibody preparation. Maxpar® is a trademark of Fluidigm Canada Inc.

Properties and storage information

Form
Liquid
Purification technique
Affinity purification Protein A
Storage buffer
pH: 7.2 - 7.4 Constituents: PBS
Shipped at conditions
Blue Ice
Appropriate short-term storage conditions
+4°C
Appropriate long-term storage conditions
+4°C
Storage information
Do Not Freeze

Supplementary information

This supplementary information is collated from multiple sources and compiled automatically.

The biological target BTF also known as BTF band or BTF 2 is a protein with an approximate mass of 42 kDa. It is highly expressed in various tissues including the brain and liver indicating its wide importance in cellular functions. BTF operates mechanically as a transcriptional regulator binding DNA sequences to control the transcription of specific genes. Additionally it interacts with other transcription factors assisting in the precise modulation of gene expression.
Biological function summary

BTF plays important roles in cellular proliferation and differentiation often as part of a larger transcriptional regulatory complex. Its activity helps to control gene expression during cell cycle progression and differentiation processes. The protein is essential for the accurate functioning of transcriptional machinery often being involved in the assembly of transcription pre-initiation complexes and modulating RNA polymerase activity.

Pathways

BTF acts centrally in the regulation of two significant pathways: the Wnt signaling pathway and the NF-kB signaling pathway. In both pathways BTF modulates the downstream transcription of responsive genes via its interaction with other pathway proteins like Beta-catenin in Wnt and RelA in NF-kB. These interactions help maintain proper cellular responses to extracellular signals ensuring balanced pathway activity and cellular responses.

BTF involvement has been linked to cancer and neurodegenerative diseases. Its dysregulation in transcriptional control can lead to the aberrant expression of genes related to oncogenesis or neuronal function. In cancer alterations in BTF activity may contribute to tumor progression and resistance to apoptosis through its connection with proteins like p53. In neurodegenerative diseases misregulation may affect neuronal growth and survival often interacting with proteins like tau which are linked to these conditions.

Product protocols

For this product, it's our understanding that no specific protocols are required. You can visit:

Target data

Death-promoting transcriptional repressor. May be involved in cyclin-D1/CCND1 mRNA stability through the SNARP complex which associates with both the 3'end of the CCND1 gene and its mRNA.
See full target information BCLAF1

Publications (1)

Recent publications for all applications. Explore the full list and refine your search

Nature communications 13:7099 PubMed36402816

2022

The non-catalytic role of DNA polymerase epsilon in replication initiation in human cells.

Applications

Unspecified application

Species

Unspecified reactive species

Sameera Vipat,Dipika Gupta,Sagun Jonchhe,Hele Anderspuk,Eli Rothenberg,Tatiana N Moiseeva
View all publications

Product promise

We are committed to supporting your work with high-quality reagents, and we're here for you every step of the way. In the unlikely event that one of our products does not perform as expected, you're protected by our Product Promise.
For full details, please see our Terms & Conditions

Please note: All products are 'FOR RESEARCH USE ONLY. NOT FOR USE IN DIAGNOSTIC OR THERAPEUTIC PROCEDURES'.

For licensing inquiries, please contact partnerships@abcam.com