JavaScript is disabled in your browser. Please enable JavaScript to view this website.
AB85051

Anti-BTG2/PC3 antibody

3

(1 Review)

|

(14 Publications)

Rabbit Polyclonal BTG2/PC3 antibody. Suitable for WB, IHC-P and reacts with Human samples. Cited in 14 publications. Immunogen corresponding to Synthetic Peptide within Human BTG2.

View Alternative Names

PC3, BTG2, Protein BTG2, BTG family member 2, NGF-inducible anti-proliferative protein PC3

3 Images
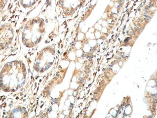
Immunohistochemistry (Formalin/PFA-fixed paraffin-embedded sections) - Anti-BTG2/PC3 antibody (AB85051)
  • IHC-P

Supplier Data

Immunohistochemistry (Formalin/PFA-fixed paraffin-embedded sections) - Anti-BTG2/PC3 antibody (AB85051)

Immunohistochemistry (Formalin/PFA-fixed paraffin-embedded sections) analysis of human fetal colon tissue labelling BTG2/PC3 with ab85051 at a dilution of 1/100.

Western blot - Anti-BTG2/PC3 antibody (AB85051)
  • WB

Unknown

Western blot - Anti-BTG2/PC3 antibody (AB85051)

All lanes:

Western blot - Anti-BTG2/PC3 antibody (ab85051) at 1/250 dilution

All lanes:

HepG2 cell lysates

Predicted band size: 17 kDa

Observed band size: 18 kDa

false

Western blot - Anti-BTG2/PC3 antibody (AB85051)
  • WB

CiteAb

Western blot - Anti-BTG2/PC3 antibody (AB85051)

BTG2/PC3 western blot using anti-BTG2/PC3 antibody ab85051. Publication image and figure legend from Shang, D., Xie, C., et al., 2020, J Cell Mol Med, PubMed 31724333.

ab85051 was used in this publication in western blot. This may not be the same as the application(s) guaranteed by Abcam. For a full list of applications guaranteed by Abcam for ab85051 please see the product overview.

PANC-1-exo carries miR-27a into HMVEC. A, The structure of exosomes identified by TEM (20 000×). B and C, The level of exosome surface marker CD63 in with or without exosomes measured by flow cytometry. D, The expression of miR-27a in exosomes extracted from H6c7 and PANC-1 cells. E, The uptake of exosomes by HMEC-1 cells following the delivery of Exo-depl, PANC-1-exo or miR-27a mimic (400×). F, VEGF level in the co-culture medium of PANC-1-exo and HMEC-1 cells following the delivery of Exo-depl, PANC-1-exo or miR-27a mimic, as measured by ELISA. G, The expression of miR-27a and BTG2 in HMEC-1 cells following the delivery of Exo-depl, PANC-1-exo or miR-27a mimic. H and I, Protein level of BTG2 in HMEC-1 cells following the delivery of Exo-depl, PANC-1-exo or miR-27a mimic. *p < .05 vs the treatment without exosomes or with exosomes secreted by H6c7. The above data are measurement data and described as mean ± standard deviation. Comparisons among multiple groups are analysed by one-way analysis of variance. n = 12. The experiment was repeated 3 times independently. miR-27a, microRNA-27a; exo, exosomes; BTG2, B-cell translocation gene 2; PC, pancreatic cancer; HMVEC, human microvascular endothelial cell; VEGF, vascular endothelial growth factor; TEM, transmission electron microscope; ELISA, enzyme-linked immunoassay

false

Key facts

Host species

Rabbit

Clonality

Polyclonal

Isotype

IgG

Carrier free

No

Reacts with

Human

Applications

WB, IHC-P

applications

Immunogen

Synthetic Peptide within Human BTG2. The exact immunogen used to generate this antibody is proprietary information.

P78543

Reactivity data

{ "title": "Reactivity Data", "filters": { "stats": ["", "Species", "Dilution Info", "Notes"], "tabs": { "all-applications": {"fullname" : "All Applications", "shortname": "All Applications"}, "WB" : {"fullname" : "Western blot", "shortname":"WB"}, "IHCP" : {"fullname" : "Immunohistochemistry (Formalin/PFA-fixed paraffin-embedded sections)", "shortname":"IHC-P"} }, "product-promise": { "all": "all", "testedAndGuaranteed": "tested", "guaranteed": "expected", "predicted": "predicted", "notRecommended": "not-recommended" } }, "values": { "Human": { "WB-species-checked": "testedAndGuaranteed", "WB-species-dilution-info": "1/200 - 1/1000", "WB-species-notes": "<p></p>", "IHCP-species-checked": "testedAndGuaranteed", "IHCP-species-dilution-info": "1/100 - 1/500", "IHCP-species-notes": "<p></p>" } } }

Properties and storage information

Form
Lyophilized
Reconstitution
reconstitute with water at 200µL
Purification technique
Affinity purification Immunogen
Storage buffer
Preservative: 0.02% Sodium azide Constituents: 2% BSA
Shipped at conditions
Blue Ice
Appropriate short-term storage duration
1-2 weeks
Appropriate short-term storage conditions
+4°C
Appropriate long-term storage conditions
-20°C
Aliquoting information
Upon delivery aliquot
Storage information
Avoid freeze / thaw cycle

Supplementary information

This supplementary information is collated from multiple sources and compiled automatically.

BTG2 also known as PC3 is a protein encoded by the BTG2 gene. The protein has a molecular weight of approximately 18-20 kDa. It mainly functions as a tumor suppressor and is involved in the regulation of the cell cycle. This protein modulates the transcriptional activity of genes associated with cell growth and differentiation. BTG2 is broadly expressed in various tissues including the brain liver and spleen where it contributes to maintaining normal cellular functions.
Biological function summary

The BTG2 protein plays an important role in controlling cell cycle progression and apoptosis. It negatively regulates the transition from the G1 phase to the S phase of the cell cycle by interacting with cyclin D1 and E2F-1 transcription factors which are critical for DNA synthesis initiation. Additionally BTG2 does not operate as part of a larger protein complex but can impact the activity and stability of other transcription factors and proteins. Its ability to modulate different cellular processes highlights its importance in maintaining normal cell function and preventing uncontrolled proliferation.

Pathways

BTG2 is integrated into the tumor suppressor network and influences gene transcription and mRNA degradation pathways. It is connected to the p53 pathway where it functions downstream of p53 a protein that responds to stress signals and maintains genomic stability. BTG2's relationship with the p53 pathway also aligns it with proteins such as MDM2 which helps regulate p53 turnover. This pathway connection showcases BTG2's role in mediating DNA damage responses and maintaining cellular integrity.

BTG2's tumor-suppressive functions associate it particularly with cancer. Abnormal expression or mutations in the BTG2 gene can contribute to the progression of breast and prostate cancers. The loss of BTG2 function leads to unregulated cell proliferation aiding cancer development. Furthermore BTG2's connection to the p53 protein and the latter's involvement in multiple types of cancers establishes a critical link in tumor suppression mechanisms highlighting potential therapeutic targets where BTG2 might play a role.

Product protocols

For this product, it's our understanding that no specific protocols are required. You can visit:

Target data

Anti-proliferative protein; the function is mediated by association with deadenylase subunits of the CCR4-NOT complex. Activates mRNA deadenylation in a CNOT6 and CNOT7-dependent manner. In vitro can inhibit deadenylase activity of CNOT7 and CNOT8. Involved in cell cycle regulation. Could be involved in the growth arrest and differentiation of the neuronal precursors (By similarity). Modulates transcription regulation mediated by ESR1. Involved in mitochondrial depolarization and neurite outgrowth.
See full target information BTG2

Publications (14)

Recent publications for all applications. Explore the full list and refine your search

Frontiers in pharmacology 16:1559546 PubMed40115255

2025

Targeting glycolysis in esophageal squamous cell carcinoma: single-cell and multi-omics insights for risk stratification and personalized therapy.

Applications

Unspecified application

Species

Unspecified reactive species

Yan Wang,Yunjie Shi,Xiao Hu,Chenfang Wang

Cell reports. Medicine 5:101777 PubMed39413736

2024

Modeling lung adenocarcinoma metastases using patient-derived organoids.

Applications

Unspecified application

Species

Unspecified reactive species

Yuan Liu,Manendra Lankadasari,Joel Rosiene,Kofi E Johnson,Juan Zhou,Samhita Bapat,Lai-Fong L Chow-Tsang,Huasong Tian,Brooke Mastrogiacomo,Di He,James G Connolly,Harry B Lengel,Raul Caso,Elizabeth G Dunne,Cameron N Fick,Gaetano Rocco,Smita Sihag,James M Isbell,Mathew J Bott,Bob T Li,Piro Lito,Cameron W Brennan,Mark H Bilsky,Natasha Rekhtman,Prasad S Adusumilli,Marty W Mayo,Marcin Imielinski,David R Jones

Discover oncology 15:401 PubMed39225900

2024

Hsa_circYARS interacts with miR-29a-3p to up-regulate IREB2 and promote laryngeal squamous cell carcinoma progression.

Applications

Unspecified application

Species

Unspecified reactive species

Zizhao Guo,Yuxia Zhao,Naicai Guo,Meng Xu,Xiaolei Wang

Molecular cancer 22:135 PubMed37580748

2023

Correction: Reprogramming anchorage dependency by adherent‑to‑suspension transition promotes metastatic dissemination.

Applications

Unspecified application

Species

Unspecified reactive species

Hyunbin D Huh,Yujin Sub,Jongwook Oh,Ye Eun Kim,Ju Young Lee,Hwa-Ryeon Kim,Soyeon Lee,Hannah Lee,Sehyung Pak,Sebastian E Amos,Danielle Vahala,Jae Hyung Park,Ji Eun Shin,So Yeon Park,Han Sang Kim,Young Hoon Roh,Han-Woong Lee,Kun-Liang Guan,Yu Suk Choi,Joon Jeong,Junjeong Choi,Jae-Seok Roe,Heon Yung Gee,Hyun Woo Park

Acta biochimica et biophysica Sinica 54:1775-1788 PubMed36789695

2023

DSCR9/miR-21-5p axis inhibits pancreatic cancer proliferation and resistance to gemcitabine via BTG2 signaling.

Applications

Unspecified application

Species

Unspecified reactive species

Hui Huang,Xia Li,Xianlin Zhang,Zhiqiang Li,Duo Han,Wenzhe Gao,Ling Liu,Cheng Peng,Hongwei Zhu,Xiao Yu

Bioengineered 12:9507-9519 PubMed34699325

2021

MicroRNA-934 facilitates cell proliferation, migration, invasion and angiogenesis in colorectal cancer by targeting B-cell translocation gene 2.

Applications

Unspecified application

Species

Unspecified reactive species

Bo Li,Xianyi Liu,Guogang Wu,Jiawen Liu,Shouliang Cai,Fuxin Wang,Chunyu Yang,Jisheng Liu

Science progress 104:368504211002043 PubMed33844600

2021

The miR-146b-5p promotes Ewing's sarcoma cells progression via suppressing the expression of BTG2.

Applications

Unspecified application

Species

Unspecified reactive species

Lizhen Qu,Wu Zhang,Jiajiang Li,Peng Liu

Journal of cellular and molecular medicine 25:4671-4683 PubMed33811437

2021

miR-365 secreted from M2 Macrophage-derived extracellular vesicles promotes pancreatic ductal adenocarcinoma progression through the BTG2/FAK/AKT axis.

Applications

Unspecified application

Species

Unspecified reactive species

Xin Li,Hao Xu,Jianfeng Yi,Chunlu Dong,Hui Zhang,Zhengfeng Wang,Long Miao,Wence Zhou

Frontiers in oncology 10:547942 PubMed33425718

2020

CircRNA_000864 Upregulates B-cell Translocation Gene 2 Expression and Represses Migration and Invasion in Pancreatic Cancer Cells by Binding to miR-361-3p.

Applications

Unspecified application

Species

Unspecified reactive species

Linsheng Huang,Junxiang Han,Huifan Yu,Jialing Liu,Lili Gui,Zhengkun Wu,Xinxu Zhao,Shiqi Su,Gaohang Fu,Fei Li

The journal of gene medicine 23:e3280 PubMed33025678

2020

LINC01089 inhibits the progression of cervical cancer via inhibiting miR-27a-3p and increasing BTG2.

Applications

Unspecified application

Species

Unspecified reactive species

Shuoxi Li,Yu Han,Xuesong Liang,Min Zhao
View all publications

Product promise

We are committed to supporting your work with high-quality reagents, and we're here for you every step of the way. In the unlikely event that one of our products does not perform as expected, you're protected by our Product Promise.
For full details, please see our Terms & Conditions

Please note: All products are 'FOR RESEARCH USE ONLY. NOT FOR USE IN DIAGNOSTIC OR THERAPEUTIC PROCEDURES'.

For licensing inquiries, please contact partnerships@abcam.com