JavaScript is disabled in your browser. Please enable JavaScript to view this website.
AB206914

Anti-BTG4 antibody [EPRZJU-21]

Be the first to review this product! Submit a review

|

(4 Publications)

Rabbit Recombinant Monoclonal BTG4 antibody. Suitable for IP, WB, ICC/IF and reacts with Mouse samples. Cited in 4 publications.

View Alternative Names

Pc3b, Btg4, Protein BTG4, BTG family member 4, Protein PC3b

3 Images
Immunocytochemistry/ Immunofluorescence - Anti-BTG4 antibody [EPRZJU-21] (AB206914)
  • ICC/IF

Supplier Data

Immunocytochemistry/ Immunofluorescence - Anti-BTG4 antibody [EPRZJU-21] (AB206914)

Immunofluorescent analysis of 4% paraformaldehyde-fixed 0.1% Triton X-100 permeabilized HeLa (Human epithelial cell line from cervix adenocarcinoma) cells labeling BTG4 with ab206914 at 1/1000 dilution followed by Goat Anti-Rabbit IgG (Alexa Fluor® 594) (ab150080) secondary antibody at 1/1000 dilution (red).

Confocal image showing nuclear and weakly cytoplasmic staining on HeLa cell transfected with GFP-BTG4.

The nuclear counterstain is DAPI (blue).

Immunoprecipitation - Anti-BTG4 antibody [EPRZJU-21] (AB206914)
  • IP

Supplier Data

Immunoprecipitation - Anti-BTG4 antibody [EPRZJU-21] (AB206914)

BTG4 was immunoprecipitated from 1mg of 293T (Human epithelial cell line from embryonic kidney) transfected with mouse BTG4 with HA-tag whole cell lysate with ab206914 at 1/50 dilution.

Western blot was performed from the immunoprecipitate using ab206914 at 1/1000 dilution.

VeriBlot for IP Detection Reagent (HRP) (ab131366), was used for detection at 1/10000 dilution.

Lane 1 : 293T transfected with mouse BTG4 with HA-tag whole cell lysate, 10μg (Input).

Lane 2 : ab206914 IP in 293T transfected with mouse BTG4 with HA-tag whole cell lysate.

Lane 3 : Rabbit IgG,monoclonal [EPR25A] - Isotype Control (ab172730) instead of ab206914 in 293T transfected with mouse BTG4 with HA-tag whole cell lysate.

Blocking and dilution buffer and concentration : 5% NFDM/TBST.

Exposure time : 1 second.

All lanes:

Immunoprecipitation - Anti-BTG4 antibody [EPRZJU-21] (ab206914)

Predicted band size: 26 kDa

false

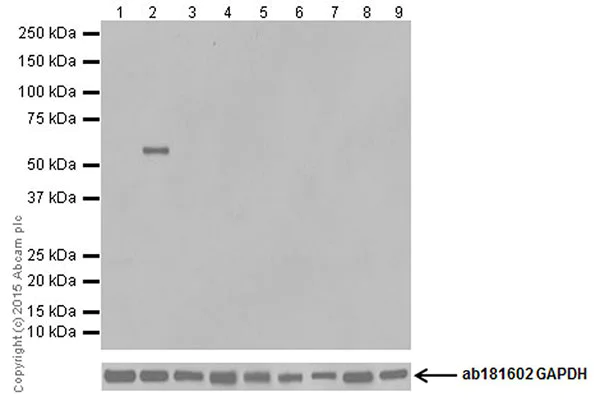
Western blot - Anti-BTG4 antibody [EPRZJU-21] (AB206914)
  • WB

Supplier Data

Western blot - Anti-BTG4 antibody [EPRZJU-21] (AB206914)

Blocking/Dilution buffer : 5% NFDM/TBST.

All lanes:

Western blot - Anti-BTG4 antibody [EPRZJU-21] (ab206914) at 1/1000 dilution

Lane 1:

HeLa (Human epithelial cell line from cervix adenocarcinoma) whole cell lysate transfected with empty vector (vector control) at 20 µg

Lane 2:

HeLa (Human epithelial cell line from cervix adenocarcinoma) whole cell lysate lysate transfected with mouse BTG4 with GFP-tag at 20 µg

Lane 3:

Human ovary lysate at 20 µg

Lane 4:

Mouse ovary tissue lysate at 20 µg

Lane 5:

Mouse testis tissue lysate at 20 µg

Lane 6:

Rat ovary tissue lysate at 20 µg

Lane 7:

Rat testis tissue lysate at 20 µg

Lane 8:

Mouse P0 olfactory epithelium lysate at 20 µg

Lane 9:

Rat P0 olfactory epithelium lysate at 20 µg

Secondary

All lanes:

Western blot - Goat Anti-Rabbit IgG H&L (HRP) (<a href='/en-us/products/secondary-antibodies/goat-rabbit-igg-h-l-hrp-ab97051'>ab97051</a>) at 1/100000 dilution

Predicted band size: 26 kDa

Observed band size: 55 kDa

false

Exposure time: 30s

  • Carrier free

    Anti-BTG4 antibody [EPRZJU-21] - BSA and Azide free

Key facts

Host species

Rabbit

Clonality

Monoclonal

Clone number

EPRZJU-21

Isotype

IgG

Carrier free

No

Reacts with

Mouse

Applications

ICC/IF, IP, WB

applications

Immunogen

The exact immunogen used to generate this antibody is proprietary information.

Specificity

We have not been able to detect the endogenous mouse BTG4 with ab206914.

Reactivity data

{ "title": "Reactivity Data", "filters": { "stats": ["", "Species", "Dilution Info", "Notes"], "tabs": { "all-applications": {"fullname" : "All Applications", "shortname": "All Applications"}, "IP" : {"fullname" : "Immunoprecipitation", "shortname":"IP"}, "WB" : {"fullname" : "Western blot", "shortname":"WB"}, "ICCIF" : {"fullname" : "Immunocytochemistry/ Immunofluorescence", "shortname":"ICC/IF"} }, "product-promise": { "all": "all", "testedAndGuaranteed": "tested", "guaranteed": "expected", "predicted": "predicted", "notRecommended": "not-recommended" } }, "values": { "Mouse": { "IP-species-checked": "testedAndGuaranteed", "IP-species-dilution-info": "1/50", "IP-species-notes": "<p></p>", "WB-species-checked": "testedAndGuaranteed", "WB-species-dilution-info": "1/1000", "WB-species-notes": "<p>We have not been able to detect the endogenous mouse BTG4 with ab206914.</p>", "ICCIF-species-checked": "testedAndGuaranteed", "ICCIF-species-dilution-info": "1/1000", "ICCIF-species-notes": "<p></p>" } } }

Product details

Patented technology
Our RabMAb® technology is a patented hybridoma-based technology for making rabbit monoclonal antibodies. For details on our patents, please refer to RabMAb® patents.

What are the advantages of a recombinant monoclonal antibody?
This product is a recombinant monoclonal antibody, which offers several advantages including:

  • - High batch-to-batch consistency and reproducibility
  • - Improved sensitivity and specificity
  • - Long-term security of supply
  • - Animal-free batch production

For more information, read more on recombinant antibodies.

Properties and storage information

Form
Liquid
Purification technique
Affinity purification Protein A
Storage buffer
pH: 7.2 - 7.4 Preservative: 0.01% Sodium azide Constituents: PBS, 40% Glycerol (glycerin, glycerine), 0.05% BSA
Shipped at conditions
Blue Ice
Appropriate short-term storage duration
1-2 weeks
Appropriate short-term storage conditions
+4°C
Appropriate long-term storage conditions
-20°C
Aliquoting information
Upon delivery aliquot
Storage information
Avoid freeze / thaw cycle

Supplementary information

This supplementary information is collated from multiple sources and compiled automatically.

BTG4 also known as B-cell translocation gene 4 is a protein with a molecular mass of approximately 26 kDa. This protein is part of the BTG/Tob family which is involved in cell growth regulation. BTG4 is expressed predominantly in testicular tissue where it plays a role in germ cell development. Researchers also find it in lower amounts in other tissues such as the brain and ovary indicating a broader but less pronounced expression profile.
Biological function summary

BTG4 associates with several cellular processes including cell cycle regulation and transcriptional control. It does not operate as an isolated unit but forms complexes with elements like protein arginine methyltransferase suggesting functions in post-translational modifications. BTG4 influences mRNA deadenylation impacting mRNA stability and translation rates processes critical for cellular and developmental adjustments.

Pathways

BTG4 plays a role in the cell cycle and mRNA degradation pathways. Its interaction with proteins like cyclin B1 and Cdc2 highlights its position in the regulation of cellular proliferation and division cycles. As part of these pathways BTG4 modulates key transitions in the cell cycle that ensure proper cellular functions and development.

Disruption in BTG4 expression associates with infertility and certain cancers particularly testicular cancer. This relationship suggests BTG4's involvement in germ cell regulation failures. The association with proteins such as p53 in cancer pathways also illustrates its potential role in tumorigenesis through the influence on cell cycle checkpoints and apoptotic processes.

Product protocols

For this product, it's our understanding that no specific protocols are required. You can visit:

Target data

Adapter protein that bridges CNOT7, a catalytic subunit of the CCR4-NOT complex, to EIF4E, and facilitates maternal mRNAs decay during the maturation of oocytes and in the fertilized egg (PubMed : 27065194). It is therefore required for the maternal-zygotic transition (MZT), zygotic cleavage and initiation of embryonic development (PubMed : 27065194).
See full target information Btg4

Publications (4)

Recent publications for all applications. Explore the full list and refine your search

The EMBO journal 43:4752-4785 PubMed39256562

2024

The global phosphorylation landscape of mouse oocytes during meiotic maturation.

Applications

Unspecified application

Species

Unspecified reactive species

Hongzheng Sun,Longsen Han,Yueshuai Guo,Huiqing An,Bing Wang,Xiangzheng Zhang,Jiashuo Li,Yingtong Jiang,Yue Wang,Guangyi Sun,Shuai Zhu,Shoubin Tang,Juan Ge,Minjian Chen,Xuejiang Guo,Qiang Wang

Nature communications 15:5550 PubMed38956014

2024

Maternal mRNA deadenylation is defective in in vitro matured mouse and human oocytes.

Applications

Unspecified application

Species

Unspecified reactive species

Yusheng Liu,Wenrong Tao,Shuang Wu,Yiwei Zhang,Hu Nie,Zhenzhen Hou,Jingye Zhang,Zhen Yang,Zi-Jiang Chen,Jiaqiang Wang,Falong Lu,Keliang Wu

Molecular cell 80:525-540.e9 PubMed33068521

2020

Characterization of Metabolic Patterns in Mouse Oocytes during Meiotic Maturation.

Applications

Unspecified application

Species

Unspecified reactive species

Ling Li,Shuai Zhu,Wenjie Shu,Yueshuai Guo,Yusheng Guan,Juan Zeng,Haichao Wang,Longsen Han,Jiaqi Zhang,Xiaohui Liu,Chunling Li,Xiaojing Hou,Min Gao,Juan Ge,Chao Ren,Hao Zhang,Tim Schedl,Xuejiang Guo,Minjian Chen,Qiang Wang

Nature structural & molecular biology 23:387-94 PubMed27065194

2016

BTG4 is a meiotic cell cycle-coupled maternal-zygotic-transition licensing factor in oocytes.

Applications

Unspecified application

Species

Unspecified reactive species

Chao Yu,Shu-Yan Ji,Qian-Qian Sha,Yujiao Dang,Jian-Jie Zhou,Yin-Li Zhang,Yang Liu,Zhong-Wei Wang,Boqiang Hu,Qing-Yuan Sun,Shao-Chen Sun,Fuchou Tang,Heng-Yu Fan
View all publications

Product promise

We are committed to supporting your work with high-quality reagents, and we're here for you every step of the way. In the unlikely event that one of our products does not perform as expected, you're protected by our Product Promise.
For full details, please see our Terms & Conditions

Please note: All products are 'FOR RESEARCH USE ONLY. NOT FOR USE IN DIAGNOSTIC OR THERAPEUTIC PROCEDURES'.

For licensing inquiries, please contact partnerships@abcam.com