JavaScript is disabled in your browser. Please enable JavaScript to view this website.
AB40770

Anti-BTK (phospho Y551) antibody [EP267Y]

Be the first to review this product! Submit a review

|

(9 Publications)

Rabbit Recombinant Monoclonal BTK phospho Y551 antibody. Suitable for Flow Cyt (Intra), Dot, WB, I-ELISA, ICC/IF and reacts with Human, Synthetic peptide samples. Cited in 9 publications.

View Alternative Names

AGMX1, ATK, BPK, BTK, Tyrosine-protein kinase BTK, Agammaglobulinemia tyrosine kinase, B-cell progenitor kinase, Bruton tyrosine kinase

6 Images
Immunocytochemistry/ Immunofluorescence - Anti-BTK (phospho Y551) antibody [EP267Y] (AB40770)
  • ICC/IF

Lab

Immunocytochemistry/ Immunofluorescence - Anti-BTK (phospho Y551) antibody [EP267Y] (AB40770)

Immunofluorescent analysis of 4% paraformaldehyde-fixed, 0.1% Triton X-100 permeabilized Ramos (human Burkitt's lymphoma B lymphocyte) cells labelling BTK with primary antibody anti- BTK (phospho Y551) (ab40770) at 1/200 dilution, followed by Goat Anti-Rabbit IgG H&L (Alexa Fluor® 488) (ab150081) secondary antibody at 1/1000 dilution (2.0 μg/mL). Confocal image showing increased cytoplasmic staining in Ramos cells treated with pervanadate (1 mM) for 30 min and then the signal decreased after Alkaline Phosphatase treatment 37℃ for 1 hour. Anti-alpha Tubulin mouse monoclonal antibody - Microtubule Marker (Alexa Fluor® 594) (ab195889) was used to counterstain tubulin at 1/200 dilution (2.5 μg/mL). The nuclear counter stain is DAPI (blue).

The secondary antibody only control is : Secondary antibody is ab150081 Goat Anti-Rabbit IgG H&L (Alexa Fluor® 488) at 1/1000 dilution (2.0 μg/mL).

Flow Cytometry (Intracellular) - Anti-BTK (phospho Y551) antibody [EP267Y] (AB40770)
  • Flow Cyt (Intra)

Lab

Flow Cytometry (Intracellular) - Anti-BTK (phospho Y551) antibody [EP267Y] (AB40770)

Flow cytometric analysis of 4% paraformaldehyde fixed, 0.1% Tween-20 permeabilized Untreated control (Left) / Ramos cell treated with 1mM pervanadate for 30min (Middle) / Ramos cell treated with 1mM pervanadate for 30min, then incubated with Alkaline phosphatase overnight (Right) cells labelling BTK (phospho Y551) with ab40770 at 1/2000 dilution (0.1µg) followed by a Goat Anti-Rabbit IgG (Alexa Fluor® 488, ab150081) at a 1/5000 dilution (Red) compared with a Rabbit monoclonal IgG (ab172730) (Black) isotype control and an unlabelled control (cells without incubation with primary antibody and secondary antibody) (Blue).

Western blot - Anti-BTK (phospho Y551) antibody [EP267Y] (AB40770)
  • WB

Lab

Western blot - Anti-BTK (phospho Y551) antibody [EP267Y] (AB40770)

Blocking buffer and concentration : 5% NFDM/TBST Diluting buffer and concentration : 5% NFDM/TBST

Lanes 1 - 3:

Western blot - Anti-BTK (phospho Y551) antibody [EP267Y] - BSA and Azide free (<a href='/en-us/products/primary-antibodies/btk-phospho-y551-antibody-ep267y-bsa-and-azide-free-ab247285'>ab247285</a>) at 1/1000 dilution

Lanes 1 - 3:

Western blot - Anti-BTK (phospho Y551) antibody [EP267Y] (ab40770) at 1/1000 dilution

Lane 1:

Untreated K-562 (Human chronic myelogenous leukemia lymphoblast) whole cell lysate at 15 µg

Lane 2:

K-562 treated with 1mM pervanadate for 30 min whole cell lysate at 15 µg

Lane 3:

K-562 treated with 1mM pervanadate for 30 min whole cell lysate, then the membrane treated with Alkaline Phosphatase for 1 hour at 15 µg

Secondary

All lanes:

Western blot - Goat Anti-Rabbit IgG H&L (HRP) (<a href='/en-us/products/secondary-antibodies/goat-rabbit-igg-h-l-hrp-ab97051'>ab97051</a>) at 1/20000 dilution

Predicted band size: 76 kDa

Observed band size: 75 kDa

false

Exposure time: 180s

Western blot - Anti-BTK (phospho Y551) antibody [EP267Y] (AB40770)
  • WB

Lab

Western blot - Anti-BTK (phospho Y551) antibody [EP267Y] (AB40770)

Blocking buffer and concentration : 5% NFDM/TBST Diluting buffer and concentration : 5% NFDM/TBST

Lanes 1 - 3:

Western blot - Anti-BTK (phospho Y551) antibody [EP267Y] - BSA and Azide free (<a href='/en-us/products/primary-antibodies/btk-phospho-y551-antibody-ep267y-bsa-and-azide-free-ab247285'>ab247285</a>) at 1/1000 dilution

Lanes 1 - 3:

Western blot - Anti-BTK (phospho Y551) antibody [EP267Y] (ab40770) at 1/1000 dilution

Lane 1:

Untreated Ramos (Human Burkitt's lymphoma B lymphocyte) whole cell lysate at 15 µg

Lane 2:

Ramos treated with 1mM pervanadate for 30 min whole cell lysate at 15 µg

Lane 3:

Ramos treated with 1mM pervanadate for 30 min whole cell lysate, then the membrane treated with Alkaline Phosphatase for 1 hour at 15 µg

Secondary

All lanes:

Western blot - Goat Anti-Rabbit IgG H&L (HRP) (<a href='/en-us/products/secondary-antibodies/goat-rabbit-igg-h-l-hrp-ab97051'>ab97051</a>) at 1/20000 dilution

Predicted band size: 76 kDa

Observed band size: 75 kDa

false

Exposure time: 7s

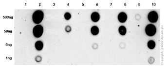
Dot Blot - Anti-BTK (phospho Y551) antibody [EP267Y] (AB40770)
  • Dot

Lab

Dot Blot - Anti-BTK (phospho Y551) antibody [EP267Y] (AB40770)

Dot blot analysis of Human BTK non-phospho peptide (lane 1), Human BTK Y551 phospho peptide (lane 2), Human BMX non-phospho peptide (lane 3), Human BMX Y566 phospho peptide (lane 4), Human ITK non-phospho peptide (lane 5), Human ITK Y512 phospho peptide (lane 6), Human TEC non-phospho peptide (lane 7), Human TEC Y519 phospho peptide (lane 8), Human TXK non-phospho peptide (lane 9) and Human TXK Y420 phospho peptide (lane 10) with ab40770 at a dilution of 1/1000. ab97051 Peroxidase conjugated goat anti-rabbit IgG (H+L) was used as the secondary antibody at a dilution of 1/20,000.

Blocking buffer and concentration : 5% NFDM/TBST

Diluting buffer and concentration : 5% NFDM/TBST

Exposure time : 180 seconds

Indirect ELISA - Anti-BTK (phospho Y551) antibody [EP267Y] (AB40770)
  • I-ELISA

Lab

Indirect ELISA - Anti-BTK (phospho Y551) antibody [EP267Y] (AB40770)

ELISA using ab40770 at varying antibody concentrations and antigen concentration of 1000 ng/ml. An Alkaline Phosphatase-conjugated AffiniPure Goat Anti-Rabbit IgG (H+L) (1/2500) was used as the secondary antibody. Substrate solution was p-nitrophenyl phosphate (PNPP).

  • Carrier free

    Anti-BTK (phospho Y551) antibody [EP267Y] - BSA and Azide free

Key facts

Host species

Rabbit

Clonality

Monoclonal

Clone number

EP267Y

Isotype

IgG

Carrier free

No

Reacts with

Human

Applications

Dot, ICC/IF, Flow Cyt (Intra), WB, I-ELISA

applications

Immunogen

The exact immunogen used to generate this antibody is proprietary information.

Specificity

Stimulation may be required to allow detection of the phosphorylated protein. Please see images below for recommended treatment conditions and positive controls.

ab40770 also reacts with family proteins including BMX (phospho Y566), ITK (phospho Y512), TEC (phospho Y519) and TXK (phospho Y420).

Reactivity data

{ "title": "Reactivity Data", "filters": { "stats": ["", "Species", "Dilution Info", "Notes"], "tabs": { "all-applications": {"fullname" : "All Applications", "shortname": "All Applications"}, "FlowCytIntra" : {"fullname" : "Flow Cytometry (Intracellular)", "shortname":"Flow Cyt (Intra)"}, "IP" : {"fullname" : "Immunoprecipitation", "shortname":"IP"}, "FlowCyt" : {"fullname" : "Flow Cytometry", "shortname":"Flow Cyt"}, "Dot" : {"fullname" : "Dot Blot", "shortname":"Dot"}, "WB" : {"fullname" : "Western blot", "shortname":"WB"}, "IELISA" : {"fullname" : "Indirect ELISA", "shortname":"I-ELISA"}, "ICCIF" : {"fullname" : "Immunocytochemistry/ Immunofluorescence", "shortname":"ICC/IF"} }, "product-promise": { "all": "all", "testedAndGuaranteed": "tested", "guaranteed": "expected", "predicted": "predicted", "notRecommended": "not-recommended" } }, "values": { "Human": { "FlowCytIntra-species-checked": "testedAndGuaranteed", "FlowCytIntra-species-dilution-info": "", "FlowCytIntra-species-notes": "<p></p>", "IP-species-checked": "notRecommended", "IP-species-dilution-info": "", "IP-species-notes": "<p></p>", "FlowCyt-species-checked": "notRecommended", "FlowCyt-species-dilution-info": "", "FlowCyt-species-notes": "<p></p>", "Dot-species-checked": "guaranteed", "Dot-species-dilution-info": "", "Dot-species-notes": "", "WB-species-checked": "testedAndGuaranteed", "WB-species-dilution-info": "1/2000", "WB-species-notes": "<p></p>", "IELISA-species-checked": "guaranteed", "IELISA-species-dilution-info": "", "IELISA-species-notes": "", "ICCIF-species-checked": "testedAndGuaranteed", "ICCIF-species-dilution-info": "1/500", "ICCIF-species-notes": "<p></p>" }, "Synthetic peptide": { "FlowCytIntra-species-checked": "notRecommended", "FlowCytIntra-species-dilution-info": "", "FlowCytIntra-species-notes": "", "IP-species-checked": "notRecommended", "IP-species-dilution-info": "", "IP-species-notes": "", "FlowCyt-species-checked": "notRecommended", "FlowCyt-species-dilution-info": "", "FlowCyt-species-notes": "", "Dot-species-checked": "testedAndGuaranteed", "Dot-species-dilution-info": "1/1000", "Dot-species-notes": "<p></p>", "WB-species-checked": "notRecommended", "WB-species-dilution-info": "", "WB-species-notes": "", "IELISA-species-checked": "testedAndGuaranteed", "IELISA-species-dilution-info": "", "IELISA-species-notes": "<p></p>", "ICCIF-species-checked": "notRecommended", "ICCIF-species-dilution-info": "", "ICCIF-species-notes": "" } } }

Product details

Species reactivity
Mouse, Rat: We have preliminary internal testing data to indicate this antibody may not react with these species.
Please contact us for more information.

Patented technology
Our RabMAb® technology is a patented hybridoma-based technology for making rabbit monoclonal antibodies. For details on our patents, please refer to RabMAb® patents.

What are the advantages of a recombinant monoclonal antibody?
This product is a recombinant monoclonal antibody, which offers several advantages including:

  • - High batch-to-batch consistency and reproducibility
  • - Improved sensitivity and specificity
  • - Long-term security of supply
  • - Animal-free batch production

For more information, read more on recombinant antibodies.

Properties and storage information

Form
Liquid
Purification technique
Affinity purification Protein A
Storage buffer
pH: 7.2 - 7.4 Preservative: 0.01% Sodium azide Constituents: PBS, 50% Glycerol (glycerin, glycerine), 0.05% BSA
Shipped at conditions
Blue Ice
Appropriate short-term storage conditions
+4°C
Appropriate long-term storage conditions
-20°C
Aliquoting information
Upon delivery aliquot
Storage information
Avoid freeze / thaw cycle

Supplementary information

This supplementary information is collated from multiple sources and compiled automatically.

BTK or Bruton's tyrosine kinase is an important enzyme in the body that functions mainly in signaling pathways within cells. It is known for its involvement in the development and activation of B cells and is expressed in cells of the hematopoietic system. The BTK protein has a molecular weight of about 76 kDa. Researchers can study BTK using tools like the BTK ELISA kit which helps measure its presence in biological samples. Furthermore there are specific anti-BTK antibodies which assist in the detection of BTK bands during analysis. BTK inhibitors like BTK C481S have been developed to regulate its activity.
Biological function summary

BTK plays an important role in the immune response by transmitting signals from the B cell receptor to the inside of the cell which promotes B cell maturation and survival. It operates as part of a larger signal transduction complex that includes other proteins and molecules. For accurate quantification of BTK expression a BTK sandwich ELISA kit may be utilized capturing and revealing the BTK protein's presence in sample preparations.

Pathways

BTK associates with both the B cell receptor signaling and the PI3K-Akt pathway. These pathways are critical for the proper functioning and proliferation of B cells. BTK interacts with proteins like PLCγ2 and BLNK in the signaling cascade highlighting its central role in transmitting extracellular signals to elicit appropriate cellular responses.

BTK is closely linked to X-linked agammaglobulinemia (XLA) a genetic condition marked by an absence of mature B cells. This highlights the connection between BTK function and immune competence. Moreover aberrant BTK activity has been implicated in some types of B cell malignancies such as chronic lymphocytic leukemia (CLL). The BTK pathway's dysregulation in these disorders may involve interactions with proteins like SYK suggesting that targeting BTK could offer therapeutic benefits in managing such conditions.

Product protocols

For this product, it's our understanding that no specific protocols are required. You can visit:

Target data

Non-receptor tyrosine kinase indispensable for B lymphocyte development, differentiation and signaling (PubMed : 19290921). Binding of antigen to the B-cell antigen receptor (BCR) triggers signaling that ultimately leads to B-cell activation (PubMed : 19290921). After BCR engagement and activation at the plasma membrane, phosphorylates PLCG2 at several sites, igniting the downstream signaling pathway through calcium mobilization, followed by activation of the protein kinase C (PKC) family members (PubMed : 11606584). PLCG2 phosphorylation is performed in close cooperation with the adapter protein B-cell linker protein BLNK (PubMed : 11606584). BTK acts as a platform to bring together a diverse array of signaling proteins and is implicated in cytokine receptor signaling pathways (PubMed : 16517732, PubMed : 17932028). Plays an important role in the function of immune cells of innate as well as adaptive immunity, as a component of the Toll-like receptors (TLR) pathway (PubMed : 16517732). The TLR pathway acts as a primary surveillance system for the detection of pathogens and are crucial to the activation of host defense (PubMed : 16517732). Especially, is a critical molecule in regulating TLR9 activation in splenic B-cells (PubMed : 16517732, PubMed : 17932028). Within the TLR pathway, induces tyrosine phosphorylation of TIRAP which leads to TIRAP degradation (PubMed : 16415872). BTK also plays a critical role in transcription regulation (PubMed : 19290921). Induces the activity of NF-kappa-B, which is involved in regulating the expression of hundreds of genes (PubMed : 19290921). BTK is involved on the signaling pathway linking TLR8 and TLR9 to NF-kappa-B (PubMed : 19290921). Acts as an activator of NLRP3 inflammasome assembly by mediating phosphorylation of NLRP3 (PubMed : 34554188). Transiently phosphorylates transcription factor GTF2I on tyrosine residues in response to BCR (PubMed : 9012831). GTF2I then translocates to the nucleus to bind regulatory enhancer elements to modulate gene expression (PubMed : 9012831). ARID3A and NFAT are other transcriptional target of BTK (PubMed : 16738337). BTK is required for the formation of functional ARID3A DNA-binding complexes (PubMed : 16738337). There is however no evidence that BTK itself binds directly to DNA (PubMed : 16738337). BTK has a dual role in the regulation of apoptosis (PubMed : 9751072).
See full target information BTK phospho Y551

Publications (9)

Recent publications for all applications. Explore the full list and refine your search

Molecular medicine (Cambridge, Mass.) 31:148 PubMed40263985

2025

Evobrutinib mitigates neuroinflammation after ischemic stroke by targeting M1 microglial polarization via the TLR4/Myd88/NF-κB pathway.

Applications

Unspecified application

Species

Unspecified reactive species

Yixiang Jiang,Ning Wang,Jingyi Liu,Jiayi Li,Lulu Chang,Changxin Yang,Zhengyi Chen,Wei Huang,Jing Wang,Xiujuan Lang,Xijun Liu,Yumei Liu,Bo Sun,Hulun Li

PloS one 18:e0277003 PubMed36888611

2023

Luxeptinib interferes with LYN-mediated activation of SYK and modulates BCR signaling in lymphoma.

Applications

Unspecified application

Species

Unspecified reactive species

Himangshu Sonowal,William G Rice,Stephen B Howell

Science signaling 15:eabn8359 PubMed36126115

2022

The HIV-1 protein Nef activates the Tec family kinase Btk by stabilizing an intermolecular SH3-SH2 domain interaction.

Applications

Unspecified application

Species

Unspecified reactive species

Manish Aryal,David Lin,Kiera Regan,Shoucheng Du,Haibin Shi,John J Alvarado,Tatiana V Ilina,Amy H Andreotti,Thomas E Smithgall

Bio-protocol 11:e4068 PubMed34327265

2021

Visualization of Host Cell Kinase Activation by Viral Proteins Using GFP Fluorescence Complementation and Immunofluorescence Microscopy.

Applications

Unspecified application

Species

Unspecified reactive species

Sherry T Shu,Wing Fai Li,Thomas E Smithgall

The Journal of biological chemistry 295:5163-5174 PubMed32144207

2020

HIV-1 Nef dimers short-circuit immune receptor signaling by activating Tec-family kinases at the host cell membrane.

Applications

Unspecified application

Species

Unspecified reactive species

Wing Fai Li,Manish Aryal,Sherry T Shu,Thomas E Smithgall

Fish & shellfish immunology 77:91-99 PubMed29567142

2018

Molecular characterization and function analysis of grouper (Epinephelus coioides) Bruton's tyrosine kinase BTK.

Applications

WB

Species

Unspecified reactive species

Ze-Quan Mo,Qing Han,Yu-Long Zeng,Jiu-Le Wang,Xue-Zhu Li,Yan-Wei Li,Hong-Yan Sun,An-Xing Li,Xiao-Chun Luo,Xue-Ming Dan

Blood 123:1229-38 PubMed24307721

2013

Identification of Bruton's tyrosine kinase as a therapeutic target in acute myeloid leukemia.

Applications

Unspecified application

Species

Human

Stuart A Rushworth,Megan Y Murray,Lyubov Zaitseva,Kristian M Bowles,David J MacEwan

Molecular and cellular biology 30:3596-609 PubMed20457812

2010

In vivo significance of ITK-SLP-76 interaction in cytokine production.

Applications

Unspecified application

Species

Unspecified reactive species

Juris A Grasis,David M Guimond,Nicholas R Cam,Krystal Herman,Paola Magotti,John D Lambris,Constantine D Tsoukas

The Journal of biological chemistry 285:17282-91 PubMed20400514

2010

Cbl-b is a novel physiologic regulator of glycoprotein VI-dependent platelet activation.

Applications

Unspecified application

Species

Unspecified reactive species

James L Daniel,Carol A Dangelmaier,Sripal Mada,Lorena Buitrago,Jianguo Jin,Wallace Y Langdon,Alexander Y Tsygankov,Satya P Kunapuli,Archana Sanjay
View all publications

Product promise

We are committed to supporting your work with high-quality reagents, and we're here for you every step of the way. In the unlikely event that one of our products does not perform as expected, you're protected by our Product Promise.
For full details, please see our Terms & Conditions

Please note: All products are 'FOR RESEARCH USE ONLY. NOT FOR USE IN DIAGNOSTIC OR THERAPEUTIC PROCEDURES'.

For licensing inquiries, please contact partnerships@abcam.com