JavaScript is disabled in your browser. Please enable JavaScript to view this website.
AB233763

Anti-BTN2A2/BTF2 antibody [6C7D2]

Be the first to review this product! Submit a review

|

(1 Publication)

Mouse Monoclonal BTN2A2/BTF2 antibody. Suitable for Flow Cyt, WB, IHC-P and reacts with Human samples. Cited in 1 publication. Immunogen corresponding to Recombinant Fragment Protein within Human BTN2A2 aa 50-250.

View Alternative Names

BT2.2, BTF2, BTN2A2, Butyrophilin subfamily 2 member A2

5 Images
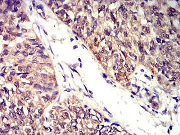
Immunohistochemistry (Formalin/PFA-fixed paraffin-embedded sections) - Anti-BTN2A2/BTF2 antibody [6C7D2] (AB233763)
  • IHC-P

Supplier Data

Immunohistochemistry (Formalin/PFA-fixed paraffin-embedded sections) - Anti-BTN2A2/BTF2 antibody [6C7D2] (AB233763)

Paraffin-embedded human bladder cancer tissue stained for BTN2A2/BTF2 using ab233763 at 1/200 dilution in immunohistochemical analysis. DAB staining.

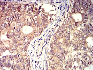
Immunohistochemistry (Formalin/PFA-fixed paraffin-embedded sections) - Anti-BTN2A2/BTF2 antibody [6C7D2] (AB233763)
  • IHC-P

Supplier Data

Immunohistochemistry (Formalin/PFA-fixed paraffin-embedded sections) - Anti-BTN2A2/BTF2 antibody [6C7D2] (AB233763)

Paraffin-embedded human cervical cancer tissue stained for BTN2A2/BTF2 using ab233763 at 1/200 dilution in immunohistochemical analysis. DAB staining.

Flow Cytometry - Anti-BTN2A2/BTF2 antibody [6C7D2] (AB233763)
  • Flow Cyt

Supplier Data

Flow Cytometry - Anti-BTN2A2/BTF2 antibody [6C7D2] (AB233763)

Flow cytometric analysis of HeLa (human epithelial cell line from cervix adenocarcinoma) cells labelling BTN2A2/BTF2 using ab233763 at 1/200 dilution (green) compared to a negative control (red).

Western blot - Anti-BTN2A2/BTF2 antibody [6C7D2] (AB233763)
  • WB

Supplier Data

Western blot - Anti-BTN2A2/BTF2 antibody [6C7D2] (AB233763)

Expected MW is 46.4 kDa.

Lane 1:

Western blot - Anti-GCSF Receptor antibody [8F8B12] (<a href='/en-us/products/primary-antibodies/gcsf-receptor-antibody-8f8b12-ab233783'>ab233783</a>) at 1/500 dilution

Lane 1:

Western blot - Anti-BTN2A2/BTF2 antibody [6C7D2] (ab233763) at 1/500 dilution

All lanes:

Recombinant human GCSF receptor (AA: extra 25-187) protein

Predicted band size: 59 kDa,92 kDa

true

Western blot - Anti-BTN2A2/BTF2 antibody [6C7D2] (AB233763)
  • WB

Supplier Data

Western blot - Anti-BTN2A2/BTF2 antibody [6C7D2] (AB233763)

Lanes 1 - 2:

Western blot - Anti-BTN2A2/BTF2 antibody [6C7D2] (ab233763) at 1/500 dilution

Lanes 1 - 2:

Western blot - Anti-BTN2A2/BTF2 antibody [4B11C8] (<a href='/en-us/products/primary-antibodies/btn2a2-btf2-antibody-4b11c8-ab233752'>ab233752</a>) at 1/500 dilution

Lanes 1 - 2:

Western blot - Anti-GCSF Receptor antibody [8F8B12] (<a href='/en-us/products/primary-antibodies/gcsf-receptor-antibody-8f8b12-ab233783'>ab233783</a>) at 1/500 dilution

Lane 1:

HEK-293 (human epithelial cell line from embryonic kidney) cell lysate

Lane 2:

GCSF Receptor (AA: extra 25-187)-hIgGFc transfected HEK-293 cell lysate

Predicted band size: 59 kDa,92 kDa

true

Key facts

Host species

Mouse

Clonality

Monoclonal

Clone number

6C7D2

Isotype

IgG1

Carrier free

No

Reacts with

Human

Applications

Flow Cyt, IHC-P, WB

applications

Immunogen

Recombinant Fragment Protein within Human BTN2A2 aa 50-250. The exact immunogen used to generate this antibody is proprietary information.

Q8WVV5

Reactivity data

{ "title": "Reactivity Data", "filters": { "stats": ["", "Species", "Dilution Info", "Notes"], "tabs": { "all-applications": {"fullname" : "All Applications", "shortname": "All Applications"}, "FlowCyt" : {"fullname" : "Flow Cytometry", "shortname":"Flow Cyt"}, "WB" : {"fullname" : "Western blot", "shortname":"WB"}, "IHCP" : {"fullname" : "Immunohistochemistry (Formalin/PFA-fixed paraffin-embedded sections)", "shortname":"IHC-P"} }, "product-promise": { "all": "all", "testedAndGuaranteed": "tested", "guaranteed": "expected", "predicted": "predicted", "notRecommended": "not-recommended" } }, "values": { "Human": { "FlowCyt-species-checked": "testedAndGuaranteed", "FlowCyt-species-dilution-info": "1/200 - 1/400", "FlowCyt-species-notes": "<p></p>", "WB-species-checked": "testedAndGuaranteed", "WB-species-dilution-info": "1/500 - 1/2000", "WB-species-notes": "<p></p>", "IHCP-species-checked": "testedAndGuaranteed", "IHCP-species-dilution-info": "1/200 - 1/1000", "IHCP-species-notes": "<p></p>" } } }

Properties and storage information

Form
Liquid
Purification technique
Affinity purification Protein G
Storage buffer
Preservative: 0.05% Sodium azide Constituents: PBS
Shipped at conditions
Blue Ice
Appropriate short-term storage duration
1-2 weeks
Appropriate short-term storage conditions
+4°C
Appropriate long-term storage conditions
-20°C
Aliquoting information
Upon delivery aliquot
Storage information
Avoid freeze / thaw cycle

Supplementary information

This supplementary information is collated from multiple sources and compiled automatically.

The BTN2A2/BTF2 protein also known as Butyrophilin Subfamily 2 Member A2 plays an important role in immune regulation. It has a molecular mass of approximately 57 kDa. BTN2A2 is part of the butyrophilin family and is expressed mainly in immune-related cells including those found in lymphoid tissues. The protein is a transmembrane glycoprotein with a conserved B30.2 domain which is a characteristic feature of the butyrophilin family.
Biological function summary

BTN2A2/BTF2 modulates T cell activity helping to maintain immune tolerance and preventing overactive immune responses. It functions as part of a larger complex that includes various other immunoregulatory proteins. This complex is critical for fine-tuning immune responses by affecting T cell proliferation and cytokine production. Without proper regulation by BTN2A2 there can be an increased risk of autoimmunity and immune dysregulation.

Pathways

BTN2A2/BTF2 involvement is essential within the immune checkpoint pathways particularly those influencing T cell regulation. It interacts closely with the PD-1 pathway which is significant in mediating immune inhibitory signals. Furthermore BTN2A2 has relationships with other proteins in these pathways such as CTLA-4 which is another key player in maintaining immune balance.

BTN2A2/BTF2 is implicated in autoimmune conditions like rheumatoid arthritis where the immune system attacks healthy tissue. The dysregulation of BTN2A2 might exacerbate these conditions. It also shows associations with inflammatory bowel disease (IBD) where improper immune regulation plays a central role. BTN2A2’s interaction with proteins like PD-1 in these diseases suggests potential therapeutic targets for modulating immune responses and improving patient outcomes.

Product protocols

For this product, it's our understanding that no specific protocols are required. You can visit:

Target data

Inhibits the proliferation of CD4 and CD8 T-cells activated by anti-CD3 antibodies, T-cell metabolism and IL2 and IFNG secretion.
See full target information BTN2A2

Publications (1)

Recent publications for all applications. Explore the full list and refine your search

Aging 15:10996-11011 PubMed37851374

2023

BTN2A2, a new biomarker and therapeutic target for glioma.

Applications

Unspecified application

Species

Unspecified reactive species

Heping Wang,Shanrui Pu,Haitao Xu,Lihong Yang,Lishi Shao,Xi Chen,Xiaobin Huang,Jun Pu
View all publications

Product promise

We are committed to supporting your work with high-quality reagents, and we're here for you every step of the way. In the unlikely event that one of our products does not perform as expected, you're protected by our Product Promise.
For full details, please see our Terms & Conditions

Please note: All products are 'FOR RESEARCH USE ONLY. NOT FOR USE IN DIAGNOSTIC OR THERAPEUTIC PROCEDURES'.

For licensing inquiries, please contact partnerships@abcam.com