JavaScript is disabled in your browser. Please enable JavaScript to view this website.
AB255249

Anti-BubR1 antibody [EPR22544-48] - BSA and Azide free

Be the first to review this product! Submit a review

|

(1 Publication)

Rabbit Recombinant Monoclonal BubR1 antibody. Carrier free. Suitable for WB, ICC/IF, IHC-P and reacts with Mouse, Rat, Human samples. Cited in 1 publication.

View Alternative Names

BUBR1, MAD3L, SSK1, BUB1B, Mitotic checkpoint serine/threonine-protein kinase BUB1 beta, MAD3/BUB1-related protein kinase, Mitotic checkpoint kinase MAD3L, Protein SSK1, hBUBR1

7 Images
Immunocytochemistry/ Immunofluorescence - Anti-BubR1 antibody [EPR22544-48] - BSA and Azide free (AB255249)
  • ICC/IF

Unknown

Immunocytochemistry/ Immunofluorescence - Anti-BubR1 antibody [EPR22544-48] - BSA and Azide free (AB255249)

Immunofluorescent analysis of 4% paraformaldehyde-fixed, 0.1% Triton X-100 permeabilized SK-OV-3 (human ovarian cancer epithelial cell) cells labeling BubR1 with ab254326 at 1/50 dilution, followed by a AlexaFluor®488 Goat anti-Rabbit secondary (ab150077) at 1/1000 dilution (Green). Confocal image showing specific staining on centromeres of SK-OV-3 cell line in M phase. The nuclear counterstain is DAPI (Blue). Tubulin was stained using Anti-alpha Tubulin antibody [DM1A] - Microtubule Marker (Alexa Fluor® 594) (ab195889).

Secondary antibody only control : Used PBS instead of primary antibody, secondary antibody is an AlexaFluor®488 Goat anti-Rabbit secondary (ab150077) at 1/1000 dilution

This data was developed using the same antibody clone in a different buffer formulation containing PBS, BSA, glycerol, and sodium azide (ab254326).

Immunohistochemistry (Formalin/PFA-fixed paraffin-embedded sections) - Anti-BubR1 antibody [EPR22544-48] - BSA and Azide free (AB255249)
  • IHC-P

Unknown

Immunohistochemistry (Formalin/PFA-fixed paraffin-embedded sections) - Anti-BubR1 antibody [EPR22544-48] - BSA and Azide free (AB255249)

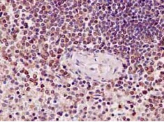
Immunohistochemical analysis of paraffin-embedded human breast cancer tissue labeling BUB1B with ab254326 at 1/1000 dilution, followed by a ready to use Rabbit specific IHC polymer detection kit HRP/DAB (ab209101). Cytoplasmic staining on human breast cancer. The section was incubated with ab254326 for 30 mins at room temperature. The immunostaining was performed on a Leica Biosystems BOND® RX instrument Counterstained with Hematoxylin.

Secondary antibody only control : Used PBS instead of primary antibody, secondary antibody is a ready to use Rabbit specific IHC polymer detection kit HRP/DAB (ab209101).

This data was developed using the same antibody clone in a different buffer formulation containing PBS, BSA, glycerol, and sodium azide (ab254326).

Perform heat mediated antigen retrieval with EDTA buffer pH 9 before commencing with IHC staining protocol.

Immunocytochemistry/ Immunofluorescence - Anti-BubR1 antibody [EPR22544-48] - BSA and Azide free (AB255249)
  • ICC/IF

Unknown

Immunocytochemistry/ Immunofluorescence - Anti-BubR1 antibody [EPR22544-48] - BSA and Azide free (AB255249)

Immunofluorescent analysis of 4% paraformaldehyde-fixed, 0.1% Triton X-100 permeabilized HeLa (human cervix adenocarcinoma epithelial cell) cells labeling BubR1 with ab254326 at 1/50 dilution, followed by a AlexaFluor®488 Goat anti-Rabbit secondary (ab150077) at 1/1000 dilution (Green).Confocal image showing specific staining on centromeres of HeLa cell line in M phase. The nuclear counterstain is DAPI (Blue). Tubulin was stained using Anti-alpha Tubulin antibody [DM1A] - Microtubule Marker (Alexa Fluor® 594) (ab195889) at 1/200 dilution.

Secondary antibody only control : Used PBS instead of primary antibody, secondary antibody is an AlexaFluor®488 Goat anti-Rabbit secondary (ab150077) at 1/1000 dilution

This data was developed using the same antibody clone in a different buffer formulation containing PBS, BSA, glycerol, and sodium azide (ab254326).

Immunohistochemistry (Formalin/PFA-fixed paraffin-embedded sections) - Anti-BubR1 antibody [EPR22544-48] - BSA and Azide free (AB255249)
  • IHC-P

Unknown

Immunohistochemistry (Formalin/PFA-fixed paraffin-embedded sections) - Anti-BubR1 antibody [EPR22544-48] - BSA and Azide free (AB255249)

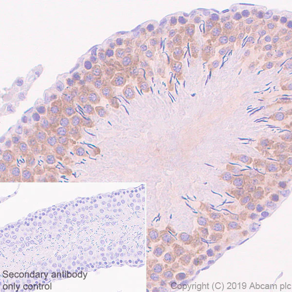
Immunohistochemical analysis of paraffin-embedded human testis tissue labeling BUB1B with ab254326 at 1/1000 dilution, followed by a ready to use Rabbit specific IHC polymer detection kit HRP/DAB (ab209101). Positive staining on human testis (PMID : 20411023). The section was incubated with ab254326 for 30 mins at room temperature. Counterstained with Hematoxylin.

Secondary antibody only control : Used PBS instead of primary antibody, secondary antibody is a ready to use Rabbit specific IHC polymer detection kit HRP/DAB (ab209101).

This data was developed using the same antibody clone in a different buffer formulation containing PBS, BSA, glycerol, and sodium azide (ab254326).

Perform heat mediated antigen retrieval with EDTA buffer pH 9 before commencing with IHC staining protocol.

Immunocytochemistry/ Immunofluorescence - Anti-BubR1 antibody [EPR22544-48] - BSA and Azide free (AB255249)
  • ICC/IF

Unknown

Immunocytochemistry/ Immunofluorescence - Anti-BubR1 antibody [EPR22544-48] - BSA and Azide free (AB255249)

Immunofluorescent analysis of 4% paraformaldehyde-fixed, 0.1% Triton X-100 permeabilized HeLa (human cervix adenocarcinoma epithelial cell) cells labeling BubR1 with ab254326 at 1/50 dilution, followed by a AlexaFluor®488 Goat anti-Rabbit secondary (ab150077) at 1/1000 dilution (Green).Confocal image showing cytoplasmic staining in HeLa cell line. The nuclear counterstain is DAPI (Blue). Tubulin was stained using Anti-alpha Tubulin antibody [DM1A] - Microtubule Marker (Alexa Fluor® 594) (ab195889) at 1/200 dilution.

Secondary antibody only control : Used PBS instead of primary antibody, secondary antibody is an AlexaFluor®488 Goat anti-Rabbit secondary (ab150077) at 1/1000 dilution

This data was developed using the same antibody clone in a different buffer formulation containing PBS, BSA, glycerol, and sodium azide (ab254326).

Immunohistochemistry (Formalin/PFA-fixed paraffin-embedded sections) - Anti-BubR1 antibody [EPR22544-48] - BSA and Azide free (AB255249)
  • IHC-P

Unknown

Immunohistochemistry (Formalin/PFA-fixed paraffin-embedded sections) - Anti-BubR1 antibody [EPR22544-48] - BSA and Azide free (AB255249)

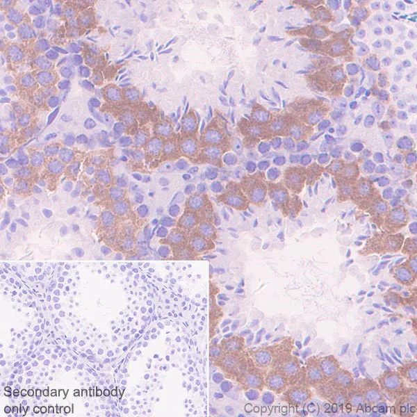
Immunohistochemical analysis of paraffin-embedded mouse testis tissue labeling BUB1B with ab254326 at 1/1000 dilution, followed by a ready to use Rabbit specific IHC polymer detection kit HRP/DAB (ab209101). Positive staining on mouse testis (PMID : 20411023). The section was incubated with ab254326 for 30 mins at room temperature. The immunostaining was performed on a Leica Biosystems BOND® RX instrument Counterstained with Hematoxylin.

Secondary antibody only control : Used PBS instead of primary antibody, secondary antibody is a ready to use Rabbit specific IHC polymer detection kit HRP/DAB (ab209101).

This data was developed using the same antibody clone in a different buffer formulation containing PBS, BSA, glycerol, and sodium azide (ab254326).

Perform heat mediated antigen retrieval with EDTA buffer pH 9 before commencing with IHC staining protocol.

Immunohistochemistry (Formalin/PFA-fixed paraffin-embedded sections) - Anti-BubR1 antibody [EPR22544-48] - BSA and Azide free (AB255249)
  • IHC-P

Unknown

Immunohistochemistry (Formalin/PFA-fixed paraffin-embedded sections) - Anti-BubR1 antibody [EPR22544-48] - BSA and Azide free (AB255249)

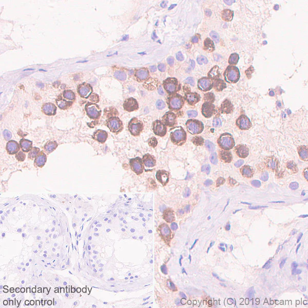
Immunohistochemical analysis of paraffin-embedded rat testis tissue labeling BubR1 with ab254326 at 1/1000 dilution, followed by a ready to use Rabbit specific IHC polymer detection kit HRP/DAB (ab209101). Positive staining on rat testis (PMID : 20411023). The section was incubated with ab254326 for 30 mins at room temperature. The immunostaining was performed on a Leica Biosystems BOND® RX instrument. Counterstained with hematoxylin.

Secondary antibody only control : Used PBS instead of primary antibody, secondary antibody is a ready to use Rabbit specific IHC polymer detection kit HRP/DAB (ab209101).

This data was developed using the same antibody clone in a different buffer formulation containing PBS, BSA, glycerol, and sodium azide (ab254326).

Perform heat mediated antigen retrieval with EDTA buffer pH 9 before commencing with IHC staining protocol.

Key facts

Host species

Rabbit

Clonality

Monoclonal

Clone number

EPR22544-48

Isotype

IgG

Carrier free

Yes

Reacts with

Mouse, Rat, Human

Applications

WB, ICC/IF, IHC-P

applications

Immunogen

The exact immunogen used to generate this antibody is proprietary information.

Reactivity data

{ "title": "Reactivity Data", "filters": { "stats": ["", "Species", "Dilution Info", "Notes"], "tabs": { "all-applications": {"fullname" : "All Applications", "shortname": "All Applications"}, "IP" : {"fullname" : "Immunoprecipitation", "shortname":"IP"}, "FlowCyt" : {"fullname" : "Flow Cytometry", "shortname":"Flow Cyt"}, "WB" : {"fullname" : "Western blot", "shortname":"WB"}, "ICCIF" : {"fullname" : "Immunocytochemistry/ Immunofluorescence", "shortname":"ICC/IF"}, "IHCFr" : {"fullname" : "Immunohistochemistry (Frozen sections)", "shortname":"IHC-Fr"}, "IHCP" : {"fullname" : "Immunohistochemistry (Formalin/PFA-fixed paraffin-embedded sections)", "shortname":"IHC-P"} }, "product-promise": { "all": "all", "testedAndGuaranteed": "tested", "guaranteed": "expected", "predicted": "predicted", "notRecommended": "not-recommended" } }, "values": { "Human": { "IP-species-checked": "notRecommended", "IP-species-dilution-info": "", "IP-species-notes": "<p></p>", "FlowCyt-species-checked": "notRecommended", "FlowCyt-species-dilution-info": "", "FlowCyt-species-notes": "<p></p>", "WB-species-checked": "guaranteed", "WB-species-dilution-info": "", "WB-species-notes": "<p></p>", "ICCIF-species-checked": "testedAndGuaranteed", "ICCIF-species-dilution-info": "", "ICCIF-species-notes": "<p></p>", "IHCFr-species-checked": "notRecommended", "IHCFr-species-dilution-info": "", "IHCFr-species-notes": "<p></p>", "IHCP-species-checked": "testedAndGuaranteed", "IHCP-species-dilution-info": "", "IHCP-species-notes": "<p></p>" }, "Mouse": { "IP-species-checked": "notRecommended", "IP-species-dilution-info": "", "IP-species-notes": "<p></p>", "FlowCyt-species-checked": "notRecommended", "FlowCyt-species-dilution-info": "", "FlowCyt-species-notes": "<p></p>", "WB-species-checked": "guaranteed", "WB-species-dilution-info": "", "WB-species-notes": "<p></p>", "ICCIF-species-checked": "predicted", "ICCIF-species-dilution-info": "", "ICCIF-species-notes": "", "IHCFr-species-checked": "notRecommended", "IHCFr-species-dilution-info": "", "IHCFr-species-notes": "<p></p>", "IHCP-species-checked": "predicted", "IHCP-species-dilution-info": "", "IHCP-species-notes": "" }, "Rat": { "IP-species-checked": "notRecommended", "IP-species-dilution-info": "", "IP-species-notes": "<p></p>", "FlowCyt-species-checked": "notRecommended", "FlowCyt-species-dilution-info": "", "FlowCyt-species-notes": "<p></p>", "WB-species-checked": "guaranteed", "WB-species-dilution-info": "", "WB-species-notes": "<p></p>", "ICCIF-species-checked": "predicted", "ICCIF-species-dilution-info": "", "ICCIF-species-notes": "", "IHCFr-species-checked": "notRecommended", "IHCFr-species-dilution-info": "", "IHCFr-species-notes": "<p></p>", "IHCP-species-checked": "predicted", "IHCP-species-dilution-info": "", "IHCP-species-notes": "" } } }

Product details

ab255249 is the carrier-free version of ab254326.

Patented technology
Our RabMAb® technology is a patented hybridoma-based technology for making rabbit monoclonal antibodies. For details on our patents, please refer to RabMAb® patents.

What are the advantages of a recombinant monoclonal antibody?
This product is a recombinant monoclonal antibody, which offers several advantages including:

  • - High batch-to-batch consistency and reproducibility
  • - Improved sensitivity and specificity
  • - Long-term security of supply
  • - Animal-free batch production

For more information, read more on recombinant antibodies.

Conjugation ready
Our carrier-free antibodies are typically supplied in a PBS-only formulation, purified and free of BSA, sodium azide and glycerol. This conjugation-ready format is designed for use with fluorochromes, metal isotopes, oligonucleotides, and enzymes, which makes them ideal for antibody labelling, functional and cell-based assays, flow-based assays (e.g. mass cytometry) and Multiplex Imaging applications.

Use our conjugation kits for antibody conjugates that are ready-to-use in as little as 20 minutes with 1 minute hands-on-time and 100% antibody recovery: available for fluorescent dyes, HRP, biotin and gold.

Compatibility
This product is compatible with the Maxpar® Antibody Labeling Kit from Fluidigm, without the need for antibody preparation. Maxpar® is a trademark of Fluidigm Canada Inc.

Properties and storage information

Form
Liquid
Purification technique
Affinity purification Protein A
Storage buffer
pH: 7.2 - 7.4 Constituents: PBS
Shipped at conditions
Blue Ice
Appropriate short-term storage conditions
+4°C
Appropriate long-term storage conditions
+4°C
Storage information
Do Not Freeze

Supplementary information

This supplementary information is collated from multiple sources and compiled automatically.

BubR1 also known as BUB1B is an important protein in the mitotic checkpoint complex with an approximate mass of 120 kDa. BubR1 ensures proper chromosome alignment and segregation during cell division by inhibiting the anaphase-promoting complex/cyclosome (APC/C) until all chromosomes achieve proper attachment to the spindle. This protein localizes mainly to the kinetochores of chromosomes and is commonly expressed in dividing cells throughout the body.
Biological function summary

The spindle assembly checkpoint mechanism involves a complex in which BubR1 plays a central role. BubR1 along with other checkpoint proteins such as Bub1 and Mad2 forms a surveillance complex ensuring the correct attachment of microtubules to kinetochores. This action prevents premature progression to anaphase reducing the risk of aneuploidy and maintaining genomic stability.

Pathways

Mitotic checkpoint control critically involves BubR1 linking closely with several proteins including Mad2 and Cdc20. BubR1 integrates into the spindle checkpoint pathway a central player in regulating mitosis. Within this pathway BubR1 inhibits APC/CCdc20 activity preventing premature anaphase onset until all chromosomes are correctly oriented to divide. Interactions between these proteins ensure accurate mitotic progression and cellular replication fidelity.

BubR1 function directly impacts cancer development and premature aging syndromes. Defective BubR1 activity can lead to chromosomal instability a characteristic of many cancers including colorectal cancer. Moreover reduced BubR1 expression links with premature aging syndromes such as mosaic variegated aneuploidy through its interaction with proteins such as p53 highlighting its role in genome integrity maintenance and cellular aging processes.

Product protocols

For this product, it's our understanding that no specific protocols are required. You can visit:

Target data

Essential component of the mitotic checkpoint. Required for normal mitosis progression. The mitotic checkpoint delays anaphase until all chromosomes are properly attached to the mitotic spindle. One of its checkpoint functions is to inhibit the activity of the anaphase-promoting complex/cyclosome (APC/C) by blocking the binding of CDC20 to APC/C, independently of its kinase activity. The other is to monitor kinetochore activities that depend on the kinetochore motor CENPE. Required for kinetochore localization of CENPE. Negatively regulates PLK1 activity in interphase cells and suppresses centrosome amplification. Also implicated in triggering apoptosis in polyploid cells that exit aberrantly from mitotic arrest. May play a role for tumor suppression.
See full target information BUB1B

Publications (1)

Recent publications for all applications. Explore the full list and refine your search

Nature communications 16:5342 PubMed40533478

2025

Reversible proliferative arrest induced by rapid depletion of RNase MRP.

Applications

Unspecified application

Species

Unspecified reactive species

Yuan Liu,Shiyang He,Kawon Pyo,Reuben Franklin,Ibrahim B Maaz,Chen Cai,Kriti Shah,Sihem Cheloufi,William F Marzluff,Jernej Murn
View all publications

Product promise

We are committed to supporting your work with high-quality reagents, and we're here for you every step of the way. In the unlikely event that one of our products does not perform as expected, you're protected by our Product Promise.
For full details, please see our Terms & Conditions

Please note: All products are 'FOR RESEARCH USE ONLY. NOT FOR USE IN DIAGNOSTIC OR THERAPEUTIC PROCEDURES'.

For licensing inquiries, please contact partnerships@abcam.com