JavaScript is disabled in your browser. Please enable JavaScript to view this website.
AB251297

Anti-BubR1 (phospho T680) antibody [EPR19958] - BSA and Azide free

Be the first to review this product! Submit a review

|

(1 Publication)

Rabbit Recombinant Monoclonal BubR1 phospho T680 antibody. Carrier free. Suitable for ICC/IF, IP, WB, Flow Cyt (Intra) and reacts with Human samples. Cited in 1 publication.

View Alternative Names

BUBR1, MAD3L, SSK1, BUB1B, Mitotic checkpoint serine/threonine-protein kinase BUB1 beta, MAD3/BUB1-related protein kinase, Mitotic checkpoint kinase MAD3L, Protein SSK1, hBUBR1

4 Images
Flow Cytometry (Intracellular) - Anti-BubR1 (phospho T680) antibody [EPR19958] - BSA and Azide free (AB251297)
  • Flow Cyt (Intra)

Unknown

Flow Cytometry (Intracellular) - Anti-BubR1 (phospho T680) antibody [EPR19958] - BSA and Azide free (AB251297)

This data was developed using ab200061, the same antibody clone in a different buffer formulation.

Intracellular flow cytometric analysis of 4% paraformaldehyde-fixed HeLa (Human epithelial cell line from cervix adenocarcinoma) cells, untreated or treated with 0.5 ng/ml nocodazole for 24 hours, labeling BubR1 (phospho T680) with ab200061 at 1/500 dilution compared with a Rabbit IgG,monoclonal [EPR25A]-Isotype control (ab172730) (black) and an unlabelled control (cells without incubation with primary antibody and secondary antibody) (blue). Goat anti Rabbit IgG (Alexa Fluor® 488) at 1/2000 dilution was used as the secondary antibody.

Immunocytochemistry/ Immunofluorescence - Anti-BubR1 (phospho T680) antibody [EPR19958] - BSA and Azide free (AB251297)
  • ICC/IF

Supplier Data

Immunocytochemistry/ Immunofluorescence - Anti-BubR1 (phospho T680) antibody [EPR19958] - BSA and Azide free (AB251297)

This data was developed using ab200061, the same antibody clone in a different buffer formulation.

Immunofluorescent analysis of 4% paraformaldehyde-fixed, 0.1% Triton X-100 permeabilized HeLa (Human epithelial cell line from cervix adenocarcinoma) cells labeling BubR1 (phospho T680) with ab200061 at 1/100 dilution, followed by Goat Anti-Rabbit IgG (Alexa Fluor® 488) (ab150077) secondary antibody at 1/1000 dilution (green).

Confocal image showing positive staining on M phase HeLa cells, and LP treatment completely blocked the staining. (PMID : 11792804).

The nuclear counter stain is DAPI (blue).

Tubulin is detected with ab195889 (Anti-alpha Tubulin antibody [DM1A] - Microtubule Marker (Alexa Fluor® 594)) at 1/250 dilution (red).

Secondary antibody only control : Used PBS instead of primary antibody, secondary antibody is ab150077 at 1/1000 dilution.

Immunoprecipitation - Anti-BubR1 (phospho T680) antibody [EPR19958] - BSA and Azide free (AB251297)
  • IP

Supplier Data

Immunoprecipitation - Anti-BubR1 (phospho T680) antibody [EPR19958] - BSA and Azide free (AB251297)

This data was developed using ab200061, the same antibody clone in a different buffer formulation.

BubR1 (phospho T680) was immunoprecipitated from 0.35 mg of HeLa (Human epithelial cell line from cervix adenocarcinoma) whole cell lysate treated with 0.5 μμ nocodazole for 24 hours with ab200061 at 1/30 dilution. Western blot was performed from the immunoprecipitate using ab200061 at 1/1000 dilution. VeriBlot for IP Detection Reagent (HRP) (ab131366), was used for detection at 1/10000 dilution.

Lane 1 : HeLa whole cell lysate treated with 0.5 μμ nocodazole for 24 hours 10μg (Input).
Lane 2 : ab200061 IP in HeLa whole cell lysate treated with 0.5 μμ nocodazole for 24 hours.
Lane 3 : Rabbit IgG,monoclonal [EPR25A]-Isotype Control (ab172730) instead of ab200061 in HeLa whole cell lysate treated with 0.5 μμ nocodazole for 24 hours.

Blocking and dilution buffer and concentration : 5% NFDM/TBST.

Exposure time : 3 seconds.

All lanes:

Immunoprecipitation - Anti-BubR1 (phospho T680) antibody [EPR19958] (<a href='/en-us/products/primary-antibodies/bubr1-phospho-t680-antibody-epr19958-ab200061'>ab200061</a>)

Predicted band size: 119 kDa

false

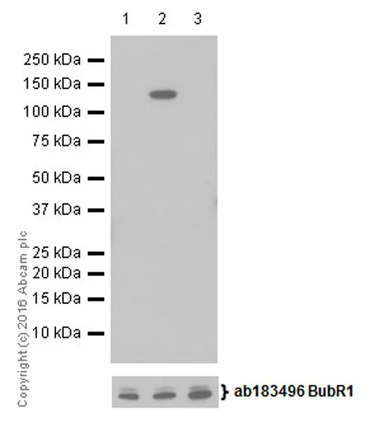
Western blot - Anti-BubR1 (phospho T680) antibody [EPR19958] - BSA and Azide free (AB251297)
  • WB

Supplier Data

Western blot - Anti-BubR1 (phospho T680) antibody [EPR19958] - BSA and Azide free (AB251297)

This data was developed using ab200061, the same antibody clone in a different buffer formulation.

Blocking and dilution buffer : 5% NFDM/TBST.

All lanes:

Western blot - Anti-BubR1 (phospho T680) antibody [EPR19958] (<a href='/en-us/products/primary-antibodies/bubr1-phospho-t680-antibody-epr19958-ab200061'>ab200061</a>) at 1/2000 dilution

Lane 1:

Untreated HeLa (Human epithelial cell line from cervix adenocarcinoma) whole cell lysate at 10 µg

Lane 2:

HeLa (Human epithelial cell line from cervix adenocarcinoma) whole cell lysate treated with 0.5 μM nocodazole for 24 hours at 10 µg

Lane 3:

HeLa (Human epithelial cell line from cervix adenocarcinoma) whole cell lysate treated with 0.5 μM nocodazole for 24 hours, then treated with FastAP Thermosensitive Alkaline Phosphatase for 1 hour at 10 µg

Secondary

All lanes:

Western blot - Goat Anti-Rabbit IgG H&L (HRP) (<a href='/en-us/products/secondary-antibodies/goat-rabbit-igg-h-l-hrp-ab97051'>ab97051</a>) at 1/100000 dilution

Predicted band size: 119 kDa

Observed band size: 120 kDa

false

Exposure time: 3min

  • Unconjugated

    Anti-BubR1 (phospho T680) antibody [EPR19958]

Key facts

Host species

Rabbit

Clonality

Monoclonal

Clone number

EPR19958

Isotype

IgG

Carrier free

Yes

Reacts with

Human

Applications

Flow Cyt (Intra), IP, ICC/IF, WB

applications

Immunogen

The exact immunogen used to generate this antibody is proprietary information.

Reactivity data

{ "title": "Reactivity Data", "filters": { "stats": ["", "Species", "Dilution Info", "Notes"], "tabs": { "all-applications": {"fullname" : "All Applications", "shortname": "All Applications"}, "ICCIF" : {"fullname" : "Immunocytochemistry/ Immunofluorescence", "shortname":"ICC/IF"}, "IP" : {"fullname" : "Immunoprecipitation", "shortname":"IP"}, "WB" : {"fullname" : "Western blot", "shortname":"WB"}, "FlowCytIntra" : {"fullname" : "Flow Cytometry (Intracellular)", "shortname":"Flow Cyt (Intra)"} }, "product-promise": { "all": "all", "testedAndGuaranteed": "tested", "guaranteed": "expected", "predicted": "predicted", "notRecommended": "not-recommended" } }, "values": { "Human": { "ICCIF-species-checked": "testedAndGuaranteed", "ICCIF-species-dilution-info": "", "ICCIF-species-notes": "<p></p>", "IP-species-checked": "testedAndGuaranteed", "IP-species-dilution-info": "", "IP-species-notes": "<p></p>", "WB-species-checked": "testedAndGuaranteed", "WB-species-dilution-info": "", "WB-species-notes": "<p></p>", "FlowCytIntra-species-checked": "testedAndGuaranteed", "FlowCytIntra-species-dilution-info": "", "FlowCytIntra-species-notes": "<p></p>" } } }

Product details

ab251297 is the carrier-free version of ab200061.

Patented technology
Our RabMAb® technology is a patented hybridoma-based technology for making rabbit monoclonal antibodies. For details on our patents, please refer to RabMAb® patents.

What are the advantages of a recombinant monoclonal antibody?
This product is a recombinant monoclonal antibody, which offers several advantages including:

  • - High batch-to-batch consistency and reproducibility
  • - Improved sensitivity and specificity
  • - Long-term security of supply
  • - Animal-free batch production

For more information, read more on recombinant antibodies.

Conjugation ready
Our carrier-free antibodies are typically supplied in a PBS-only formulation, purified and free of BSA, sodium azide and glycerol. This conjugation-ready format is designed for use with fluorochromes, metal isotopes, oligonucleotides, and enzymes, which makes them ideal for antibody labelling, functional and cell-based assays, flow-based assays (e.g. mass cytometry) and Multiplex Imaging applications.

Use our conjugation kits for antibody conjugates that are ready-to-use in as little as 20 minutes with 1 minute hands-on-time and 100% antibody recovery: available for fluorescent dyes, HRP, biotin and gold.

Compatibility
This product is compatible with the Maxpar® Antibody Labeling Kit from Fluidigm, without the need for antibody preparation. Maxpar® is a trademark of Fluidigm Canada Inc.

Properties and storage information

Form
Liquid
Purification technique
Affinity purification Protein A
Storage buffer
pH: 7.2 - 7.4 Constituents: PBS
Shipped at conditions
Blue Ice
Appropriate short-term storage conditions
+4°C
Appropriate long-term storage conditions
+4°C
Storage information
Do Not Freeze

Supplementary information

This supplementary information is collated from multiple sources and compiled automatically.

BubR1 also known as BUB1B is an important protein in the mitotic checkpoint complex with an approximate mass of 120 kDa. BubR1 ensures proper chromosome alignment and segregation during cell division by inhibiting the anaphase-promoting complex/cyclosome (APC/C) until all chromosomes achieve proper attachment to the spindle. This protein localizes mainly to the kinetochores of chromosomes and is commonly expressed in dividing cells throughout the body.
Biological function summary

The spindle assembly checkpoint mechanism involves a complex in which BubR1 plays a central role. BubR1 along with other checkpoint proteins such as Bub1 and Mad2 forms a surveillance complex ensuring the correct attachment of microtubules to kinetochores. This action prevents premature progression to anaphase reducing the risk of aneuploidy and maintaining genomic stability.

Pathways

Mitotic checkpoint control critically involves BubR1 linking closely with several proteins including Mad2 and Cdc20. BubR1 integrates into the spindle checkpoint pathway a central player in regulating mitosis. Within this pathway BubR1 inhibits APC/CCdc20 activity preventing premature anaphase onset until all chromosomes are correctly oriented to divide. Interactions between these proteins ensure accurate mitotic progression and cellular replication fidelity.

BubR1 function directly impacts cancer development and premature aging syndromes. Defective BubR1 activity can lead to chromosomal instability a characteristic of many cancers including colorectal cancer. Moreover reduced BubR1 expression links with premature aging syndromes such as mosaic variegated aneuploidy through its interaction with proteins such as p53 highlighting its role in genome integrity maintenance and cellular aging processes.

Product protocols

For this product, it's our understanding that no specific protocols are required. You can visit:

Target data

Essential component of the mitotic checkpoint. Required for normal mitosis progression. The mitotic checkpoint delays anaphase until all chromosomes are properly attached to the mitotic spindle. One of its checkpoint functions is to inhibit the activity of the anaphase-promoting complex/cyclosome (APC/C) by blocking the binding of CDC20 to APC/C, independently of its kinase activity. The other is to monitor kinetochore activities that depend on the kinetochore motor CENPE. Required for kinetochore localization of CENPE. Negatively regulates PLK1 activity in interphase cells and suppresses centrosome amplification. Also implicated in triggering apoptosis in polyploid cells that exit aberrantly from mitotic arrest. May play a role for tumor suppression.
See full target information BUB1B phospho T680

Publications (1)

Recent publications for all applications. Explore the full list and refine your search

Nutrients 16: PubMed38732558

2024

Differential Modulation by Eicosapentaenoic Acid (EPA) and Docosahexaenoic Acid (DHA) of Mesenteric Fat and Macrophages and T Cells in Adipose Tissue of Obese / Zucker Rats.

Applications

Unspecified application

Species

Unspecified reactive species

Lena Hong,Peter Zahradka,Carla G Taylor
View all publications

Product promise

We are committed to supporting your work with high-quality reagents, and we're here for you every step of the way. In the unlikely event that one of our products does not perform as expected, you're protected by our Product Promise.
For full details, please see our Terms & Conditions

Please note: All products are 'FOR RESEARCH USE ONLY. NOT FOR USE IN DIAGNOSTIC OR THERAPEUTIC PROCEDURES'.

For licensing inquiries, please contact partnerships@abcam.com