JavaScript is disabled in your browser. Please enable JavaScript to view this website.
AB154763

Anti-Butyrylcholinesterase antibody

Be the first to review this product! Submit a review

|

(1 Publication)

Rabbit Polyclonal Butyrylcholinesterase antibody. Suitable for IHC-P, WB and reacts with Human samples. Cited in 1 publication. Immunogen corresponding to Recombinant Fragment Protein within Human BCHE aa 50-300.

View Alternative Names

CHE1, BCHE, Cholinesterase, Acylcholine acylhydrolase, Butyrylcholine esterase, Choline esterase II, Pseudocholinesterase

2 Images
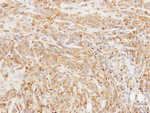
Immunohistochemistry (Formalin/PFA-fixed paraffin-embedded sections) - Anti-Butyrylcholinesterase antibody (AB154763)
  • IHC-P

Unknown

Immunohistochemistry (Formalin/PFA-fixed paraffin-embedded sections) - Anti-Butyrylcholinesterase antibody (AB154763)

Immunohistochemical analysis of paraffin embedded Human SAS xenograft tissue labeling Butyrylcholinesterase with ab154763 at 1/100 dilution.

Western blot - Anti-Butyrylcholinesterase antibody (AB154763)
  • WB

Unknown

Western blot - Anti-Butyrylcholinesterase antibody (AB154763)

7.5% SDS PAGE

All lanes:

Western blot - Anti-Butyrylcholinesterase antibody (ab154763) at 1/1000 dilution

All lanes:

293T whole cell lysate at 30 µg

Predicted band size: 68 kDa

false

Key facts

Host species

Rabbit

Clonality

Polyclonal

Isotype

IgG

Carrier free

No

Reacts with

Human

Applications

IHC-P, WB

applications

Immunogen

Recombinant Fragment Protein within Human BCHE aa 50-300. The exact immunogen used to generate this antibody is proprietary information.

P06276

Reactivity data

{ "title": "Reactivity Data", "filters": { "stats": ["", "Species", "Dilution Info", "Notes"], "tabs": { "all-applications": {"fullname" : "All Applications", "shortname": "All Applications"}, "IHCP" : {"fullname" : "Immunohistochemistry (Formalin/PFA-fixed paraffin-embedded sections)", "shortname":"IHC-P"}, "WB" : {"fullname" : "Western blot", "shortname":"WB"} }, "product-promise": { "all": "all", "testedAndGuaranteed": "tested", "guaranteed": "expected", "predicted": "predicted", "notRecommended": "not-recommended" } }, "values": { "Human": { "IHCP-species-checked": "testedAndGuaranteed", "IHCP-species-dilution-info": "1/100 - 1/1000", "IHCP-species-notes": "<p></p> Perform heat-mediated antigen retrieval with citrate buffer pH 6 before commencing with IHC staining protocol.", "WB-species-checked": "testedAndGuaranteed", "WB-species-dilution-info": "1/500 - 1/3000", "WB-species-notes": "<p></p>" }, "Cat": { "IHCP-species-checked": "predicted", "IHCP-species-dilution-info": "", "IHCP-species-notes": "", "WB-species-checked": "predicted", "WB-species-dilution-info": "", "WB-species-notes": "" }, "Cow": { "IHCP-species-checked": "predicted", "IHCP-species-dilution-info": "", "IHCP-species-notes": "", "WB-species-checked": "predicted", "WB-species-dilution-info": "", "WB-species-notes": "" } } }

Properties and storage information

Form
Liquid
Purification technique
Affinity purification Immunogen
Storage buffer
pH: 7 Preservative: 0.025% Proclin 300 Constituents: PBS, 20% Glycerol (glycerin, glycerine), 1% BSA
Shipped at conditions
Blue Ice
Appropriate short-term storage conditions
+4°C
Appropriate long-term storage conditions
-20°C
Aliquoting information
Upon delivery aliquot
Storage information
Avoid freeze / thaw cycle

Supplementary information

This supplementary information is collated from multiple sources and compiled automatically.

Butyrylcholinesterase often called BuChE or BChE is a serine hydrolase enzyme that catalyzes the hydrolysis of ester compounds such as butyrylcholine. It has a molecular mass of approximately 85 kDa. BChE is structurally similar to acetylcholinesterase (AChE) and is found in various tissues with high expression in the liver plasma and the central nervous system. This enzyme acts as a scavenger by breaking down circulating choline esters and certain therapeutic drugs playing an important role in detoxifying the blood.
Biological function summary

This enzyme is significant in nervous system function and is not restricted to acetylcholine breakdown but can hydrolyze larger ester molecules. It forms part of a complex regulatory mechanism alongside acetylcholinesterase ensuring precise modulating of neurotransmitter signaling. BChE can also serve as a backup to acetylcholinesterase in breaking down neurotransmitters therefore contributing to maintaining synaptic balance and functionality.

Pathways

BuChE is involved in the cholinergic signaling pathway playing a significant role in neurotransmitter regulation. This pathway is important for muscle activation and memory processing. BChE also impacts the metabolism of certain ester-type drugs used in anesthesia. Its activity balances with acetylcholinesterase modulating the availability of acetylcholine within synaptic clefts and seamlessly integrating into broader physiological processes.

Altered BChE activity correlates with Alzheimer's disease and certain liver diseases. In Alzheimer's decreased BChE activity parallels reduced acetylcholinesterase function which affects cholinergic transmission in the brain contributing to memory deficits. Disorders like liver cirrhosis also show a compromised BChE level due to liver's impaired enzyme production aligning it closely with liver function and disease diagnostics.

Product protocols

For this product, it's our understanding that no specific protocols are required. You can visit:

Target data

Esterase with broad substrate specificity. Contributes to the inactivation of the neurotransmitter acetylcholine. Can degrade neurotoxic organophosphate esters.
See full target information BCHE

Publications (1)

Recent publications for all applications. Explore the full list and refine your search

Disease markers 2022:9310048 PubMed36277988

2022

lncRNA DLEU2 Accelerates Oral Cancer Progression via miR-30a-5p/RAP1B Axis to Regulate p38 MAPK Signaling Pathway.

Applications

Unspecified application

Species

Unspecified reactive species

Wenbo Zhang,Yanchun Wang,Pu Xu,Yongxiu Du,Weiwei Guan
View all publications

Product promise

We are committed to supporting your work with high-quality reagents, and we're here for you every step of the way. In the unlikely event that one of our products does not perform as expected, you're protected by our Product Promise.
For full details, please see our Terms & Conditions

Please note: All products are 'FOR RESEARCH USE ONLY. NOT FOR USE IN DIAGNOSTIC OR THERAPEUTIC PROCEDURES'.

For licensing inquiries, please contact partnerships@abcam.com