JavaScript is disabled in your browser. Please enable JavaScript to view this website.
AB274382

Anti-Butyrylcholinesterase antibody [EPR23792-163] - BSA and Azide free

Be the first to review this product! Submit a review

|

(0 Publication)

Rabbit Recombinant Monoclonal Butyrylcholinesterase antibody. Carrier free. Suitable for WB and reacts with Mouse, Rat samples.

View Alternative Names

Cholinesterase, Acylcholine acylhydrolase, Butyrylcholine esterase, Choline esterase II, Pseudocholinesterase, Bche

3 Images
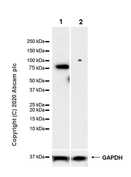
Western blot - Anti-Butyrylcholinesterase antibody [EPR23792-163] - BSA and Azide free (AB274382)
  • WB

Lab

Western blot - Anti-Butyrylcholinesterase antibody [EPR23792-163] - BSA and Azide free (AB274382)

This data was developed using ab274375, the same antibody clone in a different buffer formulation.

Blocking and diluting buffer and concentration : 5% NFDM/TBST.

Butyrylcholinesterase is a glycoprotein. The molecular weight observed is consistent with what have been described in literature (PMID : 16434405, PMID : 24618259).

This blot was developed using a higher sensitivity ECL substrate.

Exposure times : Lane 1-3 : 89 seconds Lane 4 : 3 minutes.

All lanes:

Western blot - Anti-Butyrylcholinesterase antibody [EPR23792-163] (<a href='/en-us/products/primary-antibodies/butyrylcholinesterase-antibody-epr23792-163-ab274375'>ab274375</a>) at 1/1000 dilution

Lane 1:

Mouse brain tissue lysate at 20 µg

Lane 2:

Mouse heart tissue lysate at 20 µg

Lane 3:

Mouse lung tissue lysate at 20 µg

Lane 4:

Rat brain tissue lysate at 20 µg

Secondary

All lanes:

Goat Anti-Rabbit IgG, (H+L), Peroxidase conjugated (<a href='/en-us/products/secondary-antibodies/goat-rabbit-igg-h-l-hrp-ab97051'>ab97051</a>) at 1/100000 dilution

Predicted band size: 68 kDa

Observed band size: 76 kDa

false

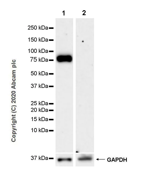
Western blot - Anti-Butyrylcholinesterase antibody [EPR23792-163] - BSA and Azide free (AB274382)
  • WB

Lab

Western blot - Anti-Butyrylcholinesterase antibody [EPR23792-163] - BSA and Azide free (AB274382)

This data was developed using ab274375, the same antibody clone in a different buffer formulation.

Blocking and diluting buffer and concentration : 5% NFDM/TBST.

Butyrylcholinesterase is a glycoprotein. The molecular weight observed is consistent with what have been described in literature (PMID : 16434405, PMID : 24618259).

Negative control : NIH/3T3 (PMID : 7842168).

Exposure times : 3 minutes.

All lanes:

Western blot - Anti-Butyrylcholinesterase antibody [EPR23792-163] (<a href='/en-us/products/primary-antibodies/butyrylcholinesterase-antibody-epr23792-163-ab274375'>ab274375</a>) at 1/1000 dilution

Lane 1:

Mouse liver tissue lysate at 20 µg

Lane 2:

NIH/3T3 (mouse embryonic fibroblast), whole cell lysate at 20 µg

Secondary

All lanes:

Goat Anti-Rabbit IgG, (H+L), Peroxidase conjugated (<a href='/en-us/products/secondary-antibodies/goat-rabbit-igg-h-l-hrp-ab97051'>ab97051</a>) at 1/100000 dilution

Predicted band size: 68 kDa

Observed band size: 76 kDa

false

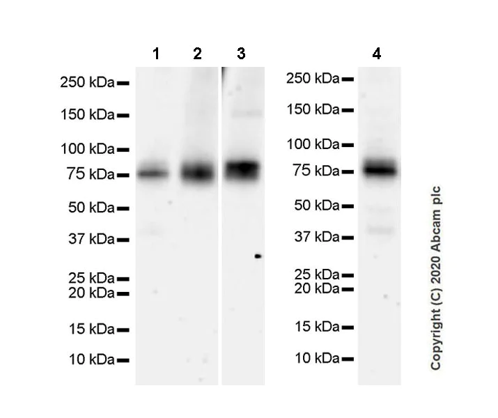
Western blot - Anti-Butyrylcholinesterase antibody [EPR23792-163] - BSA and Azide free (AB274382)
  • WB

Lab

Western blot - Anti-Butyrylcholinesterase antibody [EPR23792-163] - BSA and Azide free (AB274382)

This data was developed using ab274375, the same antibody clone in a different buffer formulation.

Blocking and diluting buffer and concentration : 5% NFDM/TBST.

Butyrylcholinesterase is a glycoprotein. The molecular weight observed is consistent with what have been described in literature (PMID : 16434405, PMID : 24618259).

Negative control : PC-12 (PMID : 7842168).

Exposure time : 3 minutes.

All lanes:

Western blot - Anti-Butyrylcholinesterase antibody [EPR23792-163] (<a href='/en-us/products/primary-antibodies/butyrylcholinesterase-antibody-epr23792-163-ab274375'>ab274375</a>) at 1/1000 dilution

Lane 1:

Rat liver tissue lysate at 20 µg

Lane 2:

PC-12 (rat adrenal gland pheochromocytoma), whole cell lysate at 20 µg

Secondary

All lanes:

Goat Anti-Rabbit IgG, (H+L), Peroxidase conjugated (<a href='/en-us/products/secondary-antibodies/goat-rabbit-igg-h-l-hrp-ab97051'>ab97051</a>) at 1/100000 dilution

Predicted band size: 68 kDa

Observed band size: 76 kDa

false

  • Unconjugated

    Anti-Butyrylcholinesterase antibody [EPR23792-163]

Key facts

Host species

Rabbit

Clonality

Monoclonal

Clone number

EPR23792-163

Isotype

IgG

Carrier free

Yes

Reacts with

Mouse, Rat

Applications

WB

applications

Immunogen

The exact immunogen used to generate this antibody is proprietary information.

Reactivity data

{ "title": "Reactivity Data", "filters": { "stats": ["", "Species", "Dilution Info", "Notes"], "tabs": { "all-applications": {"fullname" : "All Applications", "shortname": "All Applications"}, "ICCIF" : {"fullname" : "Immunocytochemistry/ Immunofluorescence", "shortname":"ICC/IF"}, "IP" : {"fullname" : "Immunoprecipitation", "shortname":"IP"}, "WB" : {"fullname" : "Western blot", "shortname":"WB"}, "IHCP" : {"fullname" : "Immunohistochemistry (Formalin/PFA-fixed paraffin-embedded sections)", "shortname":"IHC-P"}, "IHCFr" : {"fullname" : "Immunohistochemistry (Frozen sections)", "shortname":"IHC-Fr"} }, "product-promise": { "all": "all", "testedAndGuaranteed": "tested", "guaranteed": "expected", "predicted": "predicted", "notRecommended": "not-recommended" } }, "values": { "Human": { "ICCIF-species-checked": "notRecommended", "ICCIF-species-dilution-info": "", "ICCIF-species-notes": "", "IP-species-checked": "notRecommended", "IP-species-dilution-info": "", "IP-species-notes": "", "WB-species-checked": "notRecommended", "WB-species-dilution-info": "", "WB-species-notes": "<p></p>", "IHCP-species-checked": "notRecommended", "IHCP-species-dilution-info": "", "IHCP-species-notes": "<p></p>", "IHCFr-species-checked": "notRecommended", "IHCFr-species-dilution-info": "", "IHCFr-species-notes": "" }, "Mouse": { "ICCIF-species-checked": "notRecommended", "ICCIF-species-dilution-info": "", "ICCIF-species-notes": "<p></p>", "IP-species-checked": "notRecommended", "IP-species-dilution-info": "", "IP-species-notes": "<p></p>", "WB-species-checked": "testedAndGuaranteed", "WB-species-dilution-info": "", "WB-species-notes": "<p></p>", "IHCP-species-checked": "notRecommended", "IHCP-species-dilution-info": "", "IHCP-species-notes": "<p></p>", "IHCFr-species-checked": "notRecommended", "IHCFr-species-dilution-info": "", "IHCFr-species-notes": "<p></p>" }, "Rat": { "ICCIF-species-checked": "notRecommended", "ICCIF-species-dilution-info": "", "ICCIF-species-notes": "<p></p>", "IP-species-checked": "notRecommended", "IP-species-dilution-info": "", "IP-species-notes": "<p></p>", "WB-species-checked": "testedAndGuaranteed", "WB-species-dilution-info": "", "WB-species-notes": "<p></p>", "IHCP-species-checked": "notRecommended", "IHCP-species-dilution-info": "", "IHCP-species-notes": "<p></p>", "IHCFr-species-checked": "notRecommended", "IHCFr-species-dilution-info": "", "IHCFr-species-notes": "<p></p>" } } }

Product details

ab274382 is the carrier-free version of ab274375.

Patented technology
Our RabMAb® technology is a patented hybridoma-based technology for making rabbit monoclonal antibodies. For details on our patents, please refer to RabMAb® patents.

What are the advantages of a recombinant monoclonal antibody?
This product is a recombinant monoclonal antibody, which offers several advantages including:

  • - High batch-to-batch consistency and reproducibility
  • - Improved sensitivity and specificity
  • - Long-term security of supply
  • - Animal-free batch production

For more information, read more on recombinant antibodies.

Conjugation ready
Our carrier-free antibodies are typically supplied in a PBS-only formulation, purified and free of BSA, sodium azide and glycerol. This conjugation-ready format is designed for use with fluorochromes, metal isotopes, oligonucleotides, and enzymes, which makes them ideal for antibody labelling, functional and cell-based assays, flow-based assays (e.g. mass cytometry) and Multiplex Imaging applications.

Use our conjugation kits for antibody conjugates that are ready-to-use in as little as 20 minutes with 1 minute hands-on-time and 100% antibody recovery: available for fluorescent dyes, HRP, biotin and gold.

Compatibility
This product is compatible with the Maxpar® Antibody Labeling Kit from Fluidigm, without the need for antibody preparation. Maxpar® is a trademark of Fluidigm Canada Inc.

Properties and storage information

Form
Liquid
Purification technique
Affinity purification Protein A
Storage buffer
pH: 7.2 - 7.4 Constituents: PBS
Shipped at conditions
Blue Ice
Appropriate short-term storage conditions
+4°C
Appropriate long-term storage conditions
+4°C
Storage information
Do Not Freeze

Supplementary information

This supplementary information is collated from multiple sources and compiled automatically.

Butyrylcholinesterase often called BuChE or BChE is a serine hydrolase enzyme that catalyzes the hydrolysis of ester compounds such as butyrylcholine. It has a molecular mass of approximately 85 kDa. BChE is structurally similar to acetylcholinesterase (AChE) and is found in various tissues with high expression in the liver plasma and the central nervous system. This enzyme acts as a scavenger by breaking down circulating choline esters and certain therapeutic drugs playing an important role in detoxifying the blood.
Biological function summary

This enzyme is significant in nervous system function and is not restricted to acetylcholine breakdown but can hydrolyze larger ester molecules. It forms part of a complex regulatory mechanism alongside acetylcholinesterase ensuring precise modulating of neurotransmitter signaling. BChE can also serve as a backup to acetylcholinesterase in breaking down neurotransmitters therefore contributing to maintaining synaptic balance and functionality.

Pathways

BuChE is involved in the cholinergic signaling pathway playing a significant role in neurotransmitter regulation. This pathway is important for muscle activation and memory processing. BChE also impacts the metabolism of certain ester-type drugs used in anesthesia. Its activity balances with acetylcholinesterase modulating the availability of acetylcholine within synaptic clefts and seamlessly integrating into broader physiological processes.

Altered BChE activity correlates with Alzheimer's disease and certain liver diseases. In Alzheimer's decreased BChE activity parallels reduced acetylcholinesterase function which affects cholinergic transmission in the brain contributing to memory deficits. Disorders like liver cirrhosis also show a compromised BChE level due to liver's impaired enzyme production aligning it closely with liver function and disease diagnostics.

Product protocols

For this product, it's our understanding that no specific protocols are required. You can visit:

Target data

Esterase with broad substrate specificity. Contributes to the inactivation of the neurotransmitter acetylcholine. Can degrade neurotoxic organophosphate esters.
See full target information Bche

Product promise

We are committed to supporting your work with high-quality reagents, and we're here for you every step of the way. In the unlikely event that one of our products does not perform as expected, you're protected by our Product Promise.
For full details, please see our Terms & Conditions

Please note: All products are 'FOR RESEARCH USE ONLY. NOT FOR USE IN DIAGNOSTIC OR THERAPEUTIC PROCEDURES'.

For licensing inquiries, please contact partnerships@abcam.com