JavaScript is disabled in your browser. Please enable JavaScript to view this website.
AB254771

Anti-BZW2 antibody

Be the first to review this product! Submit a review

|

(1 Publication)

Rabbit Polyclonal BZW2 antibody. Suitable for IHC-P, WB and reacts with Human, Rat, Mouse samples. Cited in 1 publication. Immunogen corresponding to Recombinant Fragment Protein within Human BZW2 aa 200-350.

View Alternative Names

5MP1, HSPC028, MSTP017, BZW2, eIF5-mimic protein 1, Basic leucine zipper and W2 domain-containing protein 2

3 Images
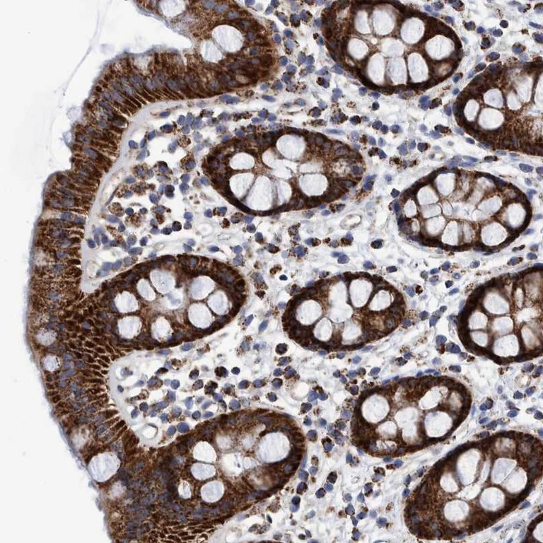
Immunohistochemistry (Formalin/PFA-fixed paraffin-embedded sections) - Anti-BZW2 antibody (AB254771)
  • IHC-P

Unknown

Immunohistochemistry (Formalin/PFA-fixed paraffin-embedded sections) - Anti-BZW2 antibody (AB254771)

Paraffin-embedded human rectum tissue stained for BZW2 using ab254771 at 1/200 dilution in immunohistochemical analysis.

Western blot - Anti-BZW2 antibody (AB254771)
  • WB

Supplier Data

Western blot - Anti-BZW2 antibody (AB254771)

Lane 1:

Western blot - Anti-BZW2 antibody (ab254771)

Lane 2:

Western blot - Anti-BZW2 antibody (ab254771) at 0.4 µg/mL

Lane 1:

DNA Ladder

Lane 2:

SK-BR-3 (human mammary gland adenocarcinoma cell line) whole cell lysate

Predicted band size: 48 kDa

false

Western blot - Anti-BZW2 antibody (AB254771)
  • WB

Supplier Data

Western blot - Anti-BZW2 antibody (AB254771)

All lanes:

Western blot - Anti-BZW2 antibody (ab254771) at 0.4 µg/mL

Lane 1:

NIH/3T3 cell lysate

Lane 2:

NBT-II cell lysate

Predicted band size: 48 kDa

false

Key facts

Host species

Rabbit

Clonality

Polyclonal

Isotype

IgG

Carrier free

No

Reacts with

Mouse, Rat, Human

Applications

WB, IHC-P

applications

Immunogen

Recombinant Fragment Protein within Human BZW2 aa 200-350. The exact immunogen used to generate this antibody is proprietary information.

Q9Y6E2

Reactivity data

{ "title": "Reactivity Data", "filters": { "stats": ["", "Species", "Dilution Info", "Notes"], "tabs": { "all-applications": {"fullname" : "All Applications", "shortname": "All Applications"}, "IHCP" : {"fullname" : "Immunohistochemistry (Formalin/PFA-fixed paraffin-embedded sections)", "shortname":"IHC-P"}, "WB" : {"fullname" : "Western blot", "shortname":"WB"} }, "product-promise": { "all": "all", "testedAndGuaranteed": "tested", "guaranteed": "expected", "predicted": "predicted", "notRecommended": "not-recommended" } }, "values": { "Human": { "IHCP-species-checked": "testedAndGuaranteed", "IHCP-species-dilution-info": "1/200 - 1/500", "IHCP-species-notes": "<p></p> Perform heat-mediated antigen retrieval with citrate buffer pH 6 before commencing with IHC staining protocol.", "WB-species-checked": "testedAndGuaranteed", "WB-species-dilution-info": "0.04-0.4 µg/mL", "WB-species-notes": "<p></p>" }, "Mouse": { "IHCP-species-checked": "guaranteed", "IHCP-species-dilution-info": "", "IHCP-species-notes": "", "WB-species-checked": "testedAndGuaranteed", "WB-species-dilution-info": "0.04-0.4 µg/mL", "WB-species-notes": "<p></p>" }, "Rat": { "IHCP-species-checked": "guaranteed", "IHCP-species-dilution-info": "", "IHCP-species-notes": "", "WB-species-checked": "testedAndGuaranteed", "WB-species-dilution-info": "0.04-0.4 µg/mL", "WB-species-notes": "<p></p>" }, "Chicken": { "IHCP-species-checked": "predicted", "IHCP-species-dilution-info": "", "IHCP-species-notes": "", "WB-species-checked": "predicted", "WB-species-dilution-info": "", "WB-species-notes": "" }, "Cynomolgus monkey": { "IHCP-species-checked": "predicted", "IHCP-species-dilution-info": "", "IHCP-species-notes": "", "WB-species-checked": "predicted", "WB-species-dilution-info": "", "WB-species-notes": "" } } }

Properties and storage information

Form
Liquid
Purification technique
Affinity purification Immunogen
Storage buffer
pH: 7.2 Preservative: 0.02% Sodium azide Constituents: PBS, 40% Glycerol (glycerin, glycerine)
Shipped at conditions
Blue Ice
Appropriate short-term storage duration
1-2 weeks
Appropriate short-term storage conditions
+4°C
Appropriate long-term storage conditions
-20°C
Aliquoting information
Upon delivery aliquot
Storage information
Avoid freeze / thaw cycle

Supplementary information

This supplementary information is collated from multiple sources and compiled automatically.

BZW2 also known as Basic Leucine Zipper and W2 Domain-Containing Protein 2 is a leucine zipper protein involved in the regulation of translation. It has other names like HSPC017 and 25FL. The molecular weight of BZW2 is approximately 46 kDa. This protein is expressed in various tissues with high levels in the pancreas and placenta. Its key mechanical role involves interacting with ribosomal subunits to modulate translation initiation particularly under conditions that require altered protein synthesis rates.
Biological function summary

Several critical roles situate BZW2 in cellular growth and proliferation. It acts as a translation regulator and integrates into ribosomal complexes during the protein synthesis process. BZW2 augments the synthesis of proteins by accelerating the assembly of initiation complexes. Furthermore BZW2 indirectly affects cell cycle progression by coordinating with other translational regulators. Its expression levels correlate with rapidly dividing tissues hinting at its role in growth and development.

Pathways

BZW2 plays an integral part in the mTOR signaling pathway and the integrated stress response (ISR) pathway. In the mTOR pathway BZW2 collaborates with other initiation factors to enhance protein synthesis related to cellular growth. Within the ISR it adjusts protein translation in response to cellular stress maintaining balance in protein homeostasis. BZW2's interaction with proteins like eIF2α highlights its significance in translational control during stress conditions.

Alterations in BZW2 expression relate to cancer and neurodegenerative disorders. Abnormal regulation of BZW2 can lead to increased cell proliferation linking it to cancer development particularly in aggressive tumor types. It also connects with proteins like p53 in cancer pathways affecting apoptosis. Additionally dysfunction in the ISR involving BZW2 has implications in neurodegenerative diseases potentially through its role in stress response and protein folding affecting neuronal survival.

Product protocols

For this product, it's our understanding that no specific protocols are required. You can visit:

Target data

Translation initiation regulator which represses non-AUG initiated translation and repeat-associated non-AUG (RAN) initiated translation by acting as a competitive inhibitor of eukaryotic translation initiation factor 5 (EIF5) function (PubMed : 21745818, PubMed : 28981728, PubMed : 29470543, PubMed : 34260931). Increases the accuracy of translation initiation by impeding EIF5-dependent translation from non-AUG codons by competing with it for interaction with EIF2S2 within the 43S pre-initiation complex (PIC) in an EIF3C-binding dependent manner (PubMed : 21745818, PubMed : 28981728, PubMed : 34260931).
See full target information BZW2

Publications (1)

Recent publications for all applications. Explore the full list and refine your search

Disease markers 2023:5899662 PubMed36644609

2023

TRIM58 Interacts with ZEB1 to Suppress NSCLC Tumor Malignancy by Promoting ZEB1 Protein Degradation via UPP.

Applications

Unspecified application

Species

Unspecified reactive species

Rongxin Shang,Jiakuan Chen,Yang Gao,Jijun Chen,Guoliang Han
View all publications

Product promise

We are committed to supporting your work with high-quality reagents, and we're here for you every step of the way. In the unlikely event that one of our products does not perform as expected, you're protected by our Product Promise.
For full details, please see our Terms & Conditions

Please note: All products are 'FOR RESEARCH USE ONLY. NOT FOR USE IN DIAGNOSTIC OR THERAPEUTIC PROCEDURES'.

For licensing inquiries, please contact partnerships@abcam.com