JavaScript is disabled in your browser. Please enable JavaScript to view this website.
AB209794

Anti-c-Fos antibody

3

(3 Reviews)

|

(34 Publications)

Rabbit Polyclonal c-Fos antibody. Suitable for IHC-P, ICC/IF and reacts with Human samples. Cited in 34 publications. Immunogen corresponding to Recombinant Fragment Protein within Human FOS aa 50-250.

View Alternative Names

G0S7, FOS, Protein c-Fos, Cellular oncogene fos, G0/G1 switch regulatory protein 7, Proto-oncogene c-Fos, Transcription factor AP-1 subunit c-Fos

5 Images
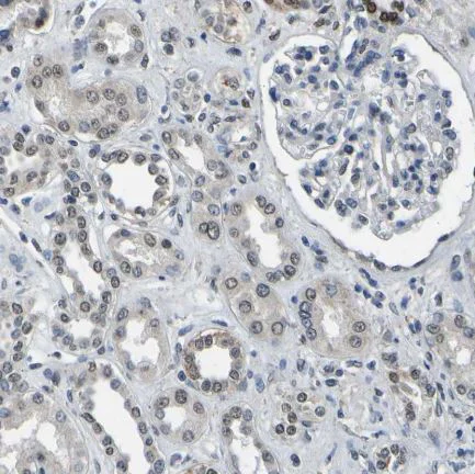
Immunohistochemistry (Formalin/PFA-fixed paraffin-embedded sections) - Anti-c-Fos antibody (AB209794)
  • IHC-P

Supplier Data

Immunohistochemistry (Formalin/PFA-fixed paraffin-embedded sections) - Anti-c-Fos antibody (AB209794)

Immunohistochemical analysis of human kidney tissue labeling c-Fos in the nucleus of cells in tubules with ab209794 at a 1/200 dilution.

Performed heat mediated antigen retrieval with citrate buffer pH 6 before commencing with IHC staining protocol.

Immunohistochemistry (Formalin/PFA-fixed paraffin-embedded sections) - Anti-c-Fos antibody (AB209794)
  • IHC-P

Supplier Data

Immunohistochemistry (Formalin/PFA-fixed paraffin-embedded sections) - Anti-c-Fos antibody (AB209794)

Immunohistochemical analysis of human stomach tissue labeling c-Fos in the nucleus of glandular cells with ab209794 at a 1/200 dilution.

Performed heat mediated antigen retrieval with citrate buffer pH 6 before commencing with IHC staining protocol.

Immunocytochemistry/ Immunofluorescence - Anti-c-Fos antibody (AB209794)
  • ICC/IF

Supplier Data

Immunocytochemistry/ Immunofluorescence - Anti-c-Fos antibody (AB209794)

Immunocytochemical analysis of A431 (Human epidermoid carcinoma cell line) whole cells labeling c-Fos in the nucleoplasm (green) with ab209794 at 2 μg/ml.

Immunohistochemistry (Formalin/PFA-fixed paraffin-embedded sections) - Anti-c-Fos antibody (AB209794)
  • IHC-P

Supplier Data

Immunohistochemistry (Formalin/PFA-fixed paraffin-embedded sections) - Anti-c-Fos antibody (AB209794)

Immunohistochemical analysis of human uterine cervix tissue labeling c-Fos in the nucleus in squamous epithelial cells with ab209794 at a 1/200 dilution.

Performed heat mediated antigen retrieval with citrate buffer pH 6 before commencing with IHC staining protocol.

Immunohistochemistry (Formalin/PFA-fixed paraffin-embedded sections) - Anti-c-Fos antibody (AB209794)
  • IHC-P

Supplier Data

Immunohistochemistry (Formalin/PFA-fixed paraffin-embedded sections) - Anti-c-Fos antibody (AB209794)

Immunohistochemical analysis of human pancreas tissue labeling c-Fos in the nucleus of exocrine glandular cells with ab209794 at a 1/200 dilution.

Performed heat mediated antigen retrieval with citrate buffer pH 6 before commencing with IHC staining protocol.

Key facts

Host species

Rabbit

Clonality

Polyclonal

Isotype

IgG

Carrier free

No

Reacts with

Human

Applications

IHC-P, ICC/IF

applications

Immunogen

Recombinant Fragment Protein within Human FOS aa 50-250. The exact immunogen used to generate this antibody is proprietary information.

P01100

Reactivity data

{ "title": "Reactivity Data", "filters": { "stats": ["", "Species", "Dilution Info", "Notes"], "tabs": { "all-applications": {"fullname" : "All Applications", "shortname": "All Applications"}, "IHCP" : {"fullname" : "Immunohistochemistry (Formalin/PFA-fixed paraffin-embedded sections)", "shortname":"IHC-P"}, "ICCIF" : {"fullname" : "Immunocytochemistry/ Immunofluorescence", "shortname":"ICC/IF"} }, "product-promise": { "all": "all", "testedAndGuaranteed": "tested", "guaranteed": "expected", "predicted": "predicted", "notRecommended": "not-recommended" } }, "values": { "Human": { "IHCP-species-checked": "testedAndGuaranteed", "IHCP-species-dilution-info": "1/200 - 1/500", "IHCP-species-notes": "<p></p> Perform heat-mediated antigen retrieval with citrate buffer pH 6 before commencing with IHC staining protocol.", "ICCIF-species-checked": "testedAndGuaranteed", "ICCIF-species-dilution-info": "0.25-2 µg/mL", "ICCIF-species-notes": "<p>Fixation/Permeabilization: PFA/Triton X-100</p>" }, "Cat": { "IHCP-species-checked": "predicted", "IHCP-species-dilution-info": "", "IHCP-species-notes": "", "ICCIF-species-checked": "predicted", "ICCIF-species-dilution-info": "", "ICCIF-species-notes": "" }, "Chinese hamster": { "IHCP-species-checked": "predicted", "IHCP-species-dilution-info": "", "IHCP-species-notes": "", "ICCIF-species-checked": "predicted", "ICCIF-species-dilution-info": "", "ICCIF-species-notes": "" }, "Cow": { "IHCP-species-checked": "predicted", "IHCP-species-dilution-info": "", "IHCP-species-notes": "", "ICCIF-species-checked": "predicted", "ICCIF-species-dilution-info": "", "ICCIF-species-notes": "" }, "Pig": { "IHCP-species-checked": "predicted", "IHCP-species-dilution-info": "", "IHCP-species-notes": "", "ICCIF-species-checked": "predicted", "ICCIF-species-dilution-info": "", "ICCIF-species-notes": "" } } }

Properties and storage information

Form
Liquid
Purification technique
Affinity purification Immunogen
Storage buffer
pH: 7.2 Preservative: 0.02% Sodium azide Constituents: PBS, 40% Glycerol (glycerin, glycerine)
Shipped at conditions
Blue Ice
Appropriate short-term storage duration
1-2 weeks
Appropriate short-term storage conditions
+4°C
Appropriate long-term storage conditions
-20°C
Aliquoting information
Upon delivery aliquot
Storage information
Avoid freeze / thaw cycle

Supplementary information

This supplementary information is collated from multiple sources and compiled automatically.

The c-Fos protein also known as c-Fos is a component of the Fos family of transcription factors which includes FosB Fra-1 and Fra-2. These proteins play a role in regulating gene expression. c-Fos has a molecular weight of about 55 kDa. You usually find c-Fos expressed in various tissues including the brain providing a marker for neuronal activity and is often induced in response to stimuli like stress growth factors and mitogens. In research settings c-Fos staining and c-Fos immunohistochemistry are techniques commonly used to study activation patterns in cells and tissues.
Biological function summary

C-Fos acts as part of the Activator Protein-1 (AP-1) complex a group of DNA-binding proteins that regulate gene transcription. This complex forms when c-Fos and Jun proteins dimerize. The AP-1 complex controls several cellular processes such as proliferation differentiation and apoptosis. Due to its participation in these vital processes c-Fos influences cellular responses to external stimuli and can affect how cells behave under stress.

Pathways

C-Fos significantly contributes to the MAPK/ERK pathway which plays a role in cell growth and differentiation. It partners with Jun proteins to form functional transcription factors within the MAPK signaling cascade. Additionally c-Fos is involved in the JNK signaling pathway linking it to stress responses and apoptosis. These pathways highlight the partnerships between c-Fos and other proteins like ERK and JNK indicating their intertwined roles in cellular signaling networks.

Researchers associate c-Fos with cancer and neurodegenerative diseases. In cancer c-Fos expression correlates with changes in AP-1 activity which can lead to altered cell growth and proliferation potentially contributing to tumor formation. Its involvement in neurodegenerative diseases reveals its role in neuron apoptosis and cellular stress responses. In these scenarios proteins like Bcl-2 also play a part with CDK1 sharing connections in processes that affect cell cycle and apoptosis illustrating c-Fos's broad significance in both normal and pathological conditions.

Product protocols

For this product, it's our understanding that no specific protocols are required. You can visit:

Target data

Nuclear phosphoprotein which forms a tight but non-covalently linked complex with the JUN/AP-1 transcription factor. In the heterodimer, FOS and JUN/AP-1 basic regions each seems to interact with symmetrical DNA half sites. On TGF-beta activation, forms a multimeric SMAD3/SMAD4/JUN/FOS complex at the AP1/SMAD-binding site to regulate TGF-beta-mediated signaling. Has a critical function in regulating the development of cells destined to form and maintain the skeleton. It is thought to have an important role in signal transduction, cell proliferation and differentiation. In growing cells, activates phospholipid synthesis, possibly by activating CDS1 and PI4K2A. This activity requires Tyr-dephosphorylation and association with the endoplasmic reticulum.
See full target information FOS

Publications (34)

Recent publications for all applications. Explore the full list and refine your search

Cancer cell international 25:328 PubMed41044542

2025

Tetrahydropalmatine has analgesic role in mouse model of bone cancer pain by inactivating the TNF-α/uPA/PAR2/TRPV1 pathway in dorsal root ganglia.

Applications

Unspecified application

Species

Unspecified reactive species

Guangda Zheng,Linghan Meng,Lu Shang,Juanxia Ren,Dongtao Li,Yanju Bao

Nature neuroscience 28:766-782 PubMed40016352

2025

Astrocytic cannabinoid receptor 1 promotes resilience by dampening stress-induced blood-brain barrier alterations.

Applications

Unspecified application

Species

Unspecified reactive species

Katarzyna A Dudek,Sam E J Paton,Luisa Bandeira Binder,Adeline Collignon,Laurence Dion-Albert,Alice Cadoret,Manon Lebel,Olivier Lavoie,Jonathan Bouchard,Fernanda Neutzling Kaufmann,Valerie Clavet-Fournier,Claudia Manca,Manuel Guzmán,Matthew Campbell,Gustavo Turecki,Naguib Mechawar,Nicolas Flamand,Flavie Lavoie-Cardinal,Cristoforo Silvestri,Vincenzo Di Marzo,Caroline Menard

PLoS biology 23:e3002707 PubMed39847587

2025

DECODE enables high-throughput mapping of antibody epitopes at single amino acid resolution.

Applications

Unspecified application

Species

Unspecified reactive species

Katsuhiko Matsumoto,Shoko Y Harada,Shota Y Yoshida,Ryohei Narumi,Tomoki T Mitani,Saori Yada,Aya Sato,Eiichi Morii,Yoshihiro Shimizu,Hiroki R Ueda

iScience 27:111110 PubMed39507260

2024

Overactive PKA signaling underlies the hyperalgesia in an ADHD mouse model.

Applications

Unspecified application

Species

Unspecified reactive species

Danvas Ongwacho Kerosi,Yuan Yin,Panyang Gu,Dengfeng Liu,Meichun Deng,Jia-Da Li

Epilepsia 65:2483-2496 PubMed38819633

2024

Imbalance between hippocampal projection cell and parvalbumin interneuron architecture increases epileptic susceptibility in mouse model of methyl CpG binding protein 2 duplication syndrome.

Applications

Unspecified application

Species

Unspecified reactive species

Junye Ge,Shengjun Xie,Jiamei Duan,Biqing Tian,Pengfei Ren,Erling Hu,Qiyi Huang,Honghui Mao,Yuxin Zou,Qian Chen,Wenting Wang

Neurourology and urodynamics 43:779-791 PubMed38348646

2024

Brainstem nuclei responsive to cystometry in both endometriosis and cystitis rat models: C-fos immunohistochemistry study.

Applications

Unspecified application

Species

Unspecified reactive species

Ayah A Bashkami,Ezidin G Kaddumi,Mohamad Al-Saghbini,Afnan J Kenana

Oxford open neuroscience 2: PubMed37456140

2023

Theta oscillations in anterior cingulate cortex and orbitofrontal cortex differentially modulate accuracy and speed in flexible reward learning.

Applications

Unspecified application

Species

Unspecified reactive species

Tony Ye,Juan Luis Romero-Sosa,Anne Rickard,Claudia G Aguirre,Andrew M Wikenheiser,Hugh T Blair,Alicia Izquierdo

PloS one 18:e0287740 PubMed37450486

2023

Expression of genes with biomarker potential identified in skin from DSLD-affected horses increases with age.

Applications

Unspecified application

Species

Unspecified reactive species

Jennifer Hope Roberts,Jian Zhang,Florent David,Amy McLean,Karen Blumenshine,Eva Müller-Alander,Jaroslava Halper

American journal of clinical and experimental urology 11:40-49 PubMed36923727

2023

The effect of vagotomy on c-fos expression in the reticular formation areas following cystometry in cyclophosphamide-induced cystitis in rats.

Applications

Unspecified application

Species

Unspecified reactive species

Ezidin G Kaddumi,Ali Al Khader,Abdul-Fattah S Fararjeh,Alaa A Abusamhadaneh

Nature communications 13:7805 PubMed36528681

2022

Closed-loop direct control of seizure focus in a rodent model of temporal lobe epilepsy via localized electric fields applied sequentially.

Applications

Unspecified application

Species

Unspecified reactive species

Wonok Kang,Chanyang Ju,Jaesoon Joo,Jiho Lee,Young-Min Shon,Sung-Min Park
View all publications

Product promise

We are committed to supporting your work with high-quality reagents, and we're here for you every step of the way. In the unlikely event that one of our products does not perform as expected, you're protected by our Product Promise.
For full details, please see our Terms & Conditions

Please note: All products are 'FOR RESEARCH USE ONLY. NOT FOR USE IN DIAGNOSTIC OR THERAPEUTIC PROCEDURES'.

For licensing inquiries, please contact partnerships@abcam.com