JavaScript is disabled in your browser. Please enable JavaScript to view this website.
AB214672

Anti-c-Fos antibody [EPR20769]

  • RabMAb
  • Recombinant
  • Lab Essentials
  • 20ul selling size
  • What is this?

5

(3 Reviews)

|

(35 Publications)

Anti-c-Fos antibody [EPR20769] (ab214672) is a rabbit monoclonal antibody detecting c-Fos in Western Blot, IP, ICC/IF. Suitable for Human, Mouse.

- Biophysical QC for unrivalled batch-batch consistency
- Over 10 publications

View Alternative Names

G0S7, FOS, Protein c-Fos, Cellular oncogene fos, G0/G1 switch regulatory protein 7, Proto-oncogene c-Fos, Transcription factor AP-1 subunit c-Fos

5 Images
Immunocytochemistry/ Immunofluorescence - Anti-c-Fos antibody [EPR20769] (AB214672)
  • ICC/IF

Supplier Data

Immunocytochemistry/ Immunofluorescence - Anti-c-Fos antibody [EPR20769] (AB214672)

Immunofluorescent analysis of 4% paraformaldehyde-fixed. 0.1% Triton X-100 permeabilized serum treated and non-treated HeLa (human cervix adenocarcinoma epithelial cell) cells labeling c-Fos with ab214672 at 1/500 dilution followed by Goat Anti-Rabbit IgG H&L (Alexa Fluor® 488) (ab150077) secondary antibody at 1/1000 dilution (green). Confocal image showing weakly nuclear staining on HeLa cells grown in serum free medium for 36 hours. Expression of c-Fos increased in HeLa cells grown in serum free medium for 36 hours followed by addition of 20% FBS for 2 hours.

The nuclear counter stain is DAPI (blue). Tubulin is detected with Anti-alpha Tubulin antibody [DM1A] - Microtubule Marker (Alexa Fluor® 594) (ab195889) (red) at 1/200 dilution.

Secondary antibody only control : Used PBS instead of primary antibody, secondary antibody is Goat Anti-Rabbit IgG H&L (Alexa Fluor® 488) (ab150077) secondary antibody at 1/1000 dilution.

Immunoprecipitation - Anti-c-Fos antibody [EPR20769] (AB214672)
  • IP

Supplier Data

Immunoprecipitation - Anti-c-Fos antibody [EPR20769] (AB214672)

c-Fos was immunoprecipitated from 0.35 mg of HeLa (human epithelial cell line from cervix adenocarcinoma) whole cell lysate with ab214672 at 1/40 dilution. Western blot was performed from the immunoprecipitate using ab214672 at 1/500 dilution. VeriBlot for IP Detection Reagent (HRP) (ab131366), was used for detection at 1/10,000 dilution
Lane 1 : HeLa (human epithelial cell line from cervix adenocarcinoma) grown in serum free medium for 36 hours, followed by addition of 20%FBS for 2 hours, whole cell lysate, 10 μg (Input).
Lane 2 : ab214672 IP in HeLa grown in serum free medium for 36 hours, followed by addition of 20% FBS for 2 hours, whole cell lysate.
Lane 3 : Rabbit monoclonal IgG (ab172730) instead of ab214672 in HeLa grown in serum free medium for 36 hours, followed by addition of 20% FBS for 2 hours, whole cell lysate.
Blocking and dilution buffer and concentration : 5% NFDM/TBST.
Exposure time : 1 second.

The observed lower band is a proteasomal degradation fragment (PMID : 9737957).

All lanes:

Immunoprecipitation - Anti-c-Fos antibody [EPR20769] (ab214672)

Predicted band size: 41 kDa

Observed band size: 55-60 kDa

true

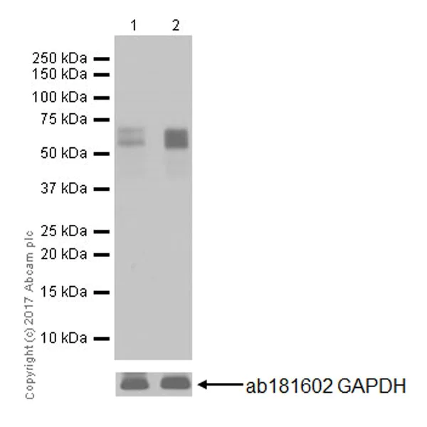
Western blot - Anti-c-Fos antibody [EPR20769] (AB214672)
  • WB

Supplier Data

Western blot - Anti-c-Fos antibody [EPR20769] (AB214672)

Exposure time : 15 seconds.

Blocking/Dilution buffer : 5% NFDM/TBST.

The expression of c-Fos is induced by the addition of 20%FBS (PMID : 24386331, PMID : 23300800, PMID : 25695333).

All lanes:

Western blot - Anti-c-Fos antibody [EPR20769] (ab214672) at 1/1000 dilution

Lane 1:

Untreated HeLa (human epithelial cell line from cervix adenocarcinoma) grown in serum free medium for 36 hours, whole cell lysate at 10 µg

Lane 2:

HeLa (human epithelial cell line from cervix adenocarcinoma) grown in serum free medium for 36 hours, followed by addition of 20% FBS for 2 hours, whole cell lysate at 10 µg

Secondary

All lanes:

Western blot - Goat Anti-Rabbit IgG H&L (HRP) (<a href='/en-us/products/secondary-antibodies/goat-rabbit-igg-h-l-hrp-ab97051'>ab97051</a>) at 1/50000 dilution

Predicted band size: 41 kDa

Observed band size: 55-60 kDa

true

Western blot - Anti-c-Fos antibody [EPR20769] (AB214672)
  • WB

Supplier Data

Western blot - Anti-c-Fos antibody [EPR20769] (AB214672)

Exposure time : 3 minutes.

Blocking/Dilution buffer : 5% NFDM/TBST.

PMA treatment induces expression of c-Fos, as documented in the literature (PMID : 24386331, PMID : 23300800, PMID : 25695333).

All lanes:

Western blot - Anti-c-Fos antibody [EPR20769] (ab214672) at 1/5000 dilution

Lane 1:

Untreated Jurkat (human T cell leukemia cell line from peripheral blood) grown in serum free medium overnight, whole cell lysate at 10 µg

Lane 2:

Jurkat (human T cell leukemia cell line from peripheral blood) grown in serum free medium overnight, followed by treatment with 200 nM PMA for 4 hours, whole cell lysate at 10 µg

Secondary

All lanes:

Western blot - Goat Anti-Rabbit IgG H&L (HRP) (<a href='/en-us/products/secondary-antibodies/goat-rabbit-igg-h-l-hrp-ab97051'>ab97051</a>) at 1/100000 dilution

Predicted band size: 41 kDa

Observed band size: 55-60 kDa

true

Western blot - Anti-c-Fos antibody [EPR20769] (AB214672)
  • WB

Supplier Data

Western blot - Anti-c-Fos antibody [EPR20769] (AB214672)

Exposure time : 1 minute.

Blocking/Dilution buffer : 5% NFDM/TBST.

PMA treatment induces expression of c-Fos, as documented in the literature (PMID : 24386331, PMID : 23300800, PMID : 25695333).

All lanes:

Western blot - Anti-c-Fos antibody [EPR20769] (ab214672) at 1/5000 dilution

Lane 1:

Untreated RAW264.7 (mouse macrophage cell line transformed with Abelson murine leukemia virus grown in serum free medium overnight, whole cell lysate at 10 µg

Lane 2:

RAW264.7 (mouse macrophage cell line transformed with Abelson murine leukemia virus) grown in serum free medium overnight, followed by treatment with 200 nM PMA for 4 hours, whole cell lysate at 10 µg

Secondary

All lanes:

Western blot - Goat Anti-Rabbit IgG H&L (HRP) (<a href='/en-us/products/secondary-antibodies/goat-rabbit-igg-h-l-hrp-ab97051'>ab97051</a>) at 1/100000 dilution

Predicted band size: 41 kDa

Observed band size: 55-60 kDa

true

  • Carrier free

    Anti-c-Fos antibody [EPR20769] - BSA and Azide free

Key facts

Host species

Rabbit

Clonality

Monoclonal

Clone number

EPR20769

Isotype

IgG

Carrier free

No

Reacts with

Mouse, Human

Applications

IP, WB, ICC/IF

applications

Immunogen

The exact immunogen used to generate this antibody is proprietary information.

Reactivity data

{ "title": "Reactivity Data", "filters": { "stats": ["", "Species", "Dilution Info", "Notes"], "tabs": { "all-applications": {"fullname" : "All Applications", "shortname": "All Applications"}, "IP" : {"fullname" : "Immunoprecipitation", "shortname":"IP"}, "WB" : {"fullname" : "Western blot", "shortname":"WB"}, "ICCIF" : {"fullname" : "Immunocytochemistry/ Immunofluorescence", "shortname":"ICC/IF"} }, "product-promise": { "all": "all", "testedAndGuaranteed": "tested", "guaranteed": "expected", "predicted": "predicted", "notRecommended": "not-recommended" } }, "values": { "Human": { "IP-species-checked": "testedAndGuaranteed", "IP-species-dilution-info": "1/40", "IP-species-notes": "<p></p>", "WB-species-checked": "testedAndGuaranteed", "WB-species-dilution-info": "1/1000", "WB-species-notes": "<p></p>", "ICCIF-species-checked": "testedAndGuaranteed", "ICCIF-species-dilution-info": "1/500", "ICCIF-species-notes": "<p></p>" }, "Mouse": { "IP-species-checked": "guaranteed", "IP-species-dilution-info": "", "IP-species-notes": "", "WB-species-checked": "testedAndGuaranteed", "WB-species-dilution-info": "1/1000", "WB-species-notes": "<p></p>", "ICCIF-species-checked": "guaranteed", "ICCIF-species-dilution-info": "", "ICCIF-species-notes": "" }, "Common marmoset": { "IP-species-checked": "predicted", "IP-species-dilution-info": "", "IP-species-notes": "", "WB-species-checked": "predicted", "WB-species-dilution-info": "", "WB-species-notes": "", "ICCIF-species-checked": "predicted", "ICCIF-species-dilution-info": "", "ICCIF-species-notes": "" } } }

Product details

Product Specifications
Anti-c-Fos antibody [EPR20769] (ab214672) is a rabbit recombinant monoclonal antibody and is validated for use in ICC/IF, IP, WB in human and mouse samples.
Anti-c-Fos antibody [EPR20769] (ab214672) specifically detects c-Fos (UniProt ID: P01100; Molecular weight: 41kDa) and is sold in 100 µL and 1 mL selling sizes.

Quality and Validation
Abcam's high quality manufacturing and validation processes ensure Anti-c-Fos antibody [EPR20769] (ab214672) has high sensitivity and specificity alongside high lot-to-lot consistency and reproducibility.
Anti-c-Fos antibody [EPR20769] (ab214672) has been cited over 15 times in peer reviewed journals and is trusted by the scientific community.

Related Products
Conjugation-ready, carrier free format available for antibody clone EPR20769 - ab236039.

Patented technology
Our RabMAb® technology is a patented hybridoma-based technology for making rabbit monoclonal antibodies. For details on our patents, please refer to RabMAb® patents.

What are the advantages of a recombinant monoclonal antibody?
This product is a recombinant monoclonal antibody, which offers several advantages including:

  • - High batch-to-batch consistency and reproducibility
  • - Improved sensitivity and specificity
  • - Long-term security of supply
  • - Animal-free batch production

For more information, read more on recombinant antibodies.

Properties and storage information

Form
Liquid
Purification technique
Affinity purification Protein A
Storage buffer
pH: 7.2 - 7.4 Preservative: 0.01% Sodium azide Constituents: PBS, 40% Glycerol (glycerin, glycerine), 0.05% BSA
Shipped at conditions
Blue Ice
Appropriate short-term storage duration
1-2 weeks
Appropriate short-term storage conditions
+4°C
Appropriate long-term storage conditions
-20°C
Aliquoting information
Upon delivery aliquot
Storage information
Avoid freeze / thaw cycle

Supplementary information

This supplementary information is collated from multiple sources and compiled automatically.

The c-Fos protein also known as c-Fos is a component of the Fos family of transcription factors which includes FosB Fra-1 and Fra-2. These proteins play a role in regulating gene expression. c-Fos has a molecular weight of about 55 kDa. You usually find c-Fos expressed in various tissues including the brain providing a marker for neuronal activity and is often induced in response to stimuli like stress growth factors and mitogens. In research settings c-Fos staining and c-Fos immunohistochemistry are techniques commonly used to study activation patterns in cells and tissues.
Biological function summary

C-Fos acts as part of the Activator Protein-1 (AP-1) complex a group of DNA-binding proteins that regulate gene transcription. This complex forms when c-Fos and Jun proteins dimerize. The AP-1 complex controls several cellular processes such as proliferation differentiation and apoptosis. Due to its participation in these vital processes c-Fos influences cellular responses to external stimuli and can affect how cells behave under stress.

Pathways

C-Fos significantly contributes to the MAPK/ERK pathway which plays a role in cell growth and differentiation. It partners with Jun proteins to form functional transcription factors within the MAPK signaling cascade. Additionally c-Fos is involved in the JNK signaling pathway linking it to stress responses and apoptosis. These pathways highlight the partnerships between c-Fos and other proteins like ERK and JNK indicating their intertwined roles in cellular signaling networks.

Researchers associate c-Fos with cancer and neurodegenerative diseases. In cancer c-Fos expression correlates with changes in AP-1 activity which can lead to altered cell growth and proliferation potentially contributing to tumor formation. Its involvement in neurodegenerative diseases reveals its role in neuron apoptosis and cellular stress responses. In these scenarios proteins like Bcl-2 also play a part with CDK1 sharing connections in processes that affect cell cycle and apoptosis illustrating c-Fos's broad significance in both normal and pathological conditions.

Product protocols

For this product, it's our understanding that no specific protocols are required. You can visit:

Target data

Nuclear phosphoprotein which forms a tight but non-covalently linked complex with the JUN/AP-1 transcription factor. In the heterodimer, FOS and JUN/AP-1 basic regions each seems to interact with symmetrical DNA half sites. On TGF-beta activation, forms a multimeric SMAD3/SMAD4/JUN/FOS complex at the AP1/SMAD-binding site to regulate TGF-beta-mediated signaling. Has a critical function in regulating the development of cells destined to form and maintain the skeleton. It is thought to have an important role in signal transduction, cell proliferation and differentiation. In growing cells, activates phospholipid synthesis, possibly by activating CDS1 and PI4K2A. This activity requires Tyr-dephosphorylation and association with the endoplasmic reticulum.
See full target information FOS

Publications (35)

Recent publications for all applications. Explore the full list and refine your search

Communications biology 8:1152 PubMed40760098

2025

AgRP neuron activity enhances reward-related consummatory behaviors during energy deficit in mice.

Applications

Unspecified application

Species

Unspecified reactive species

Daniela A Cassano,Franco Barrile,Mirta Reynaldo,Gimena Fernandez,María P Cornejo,María J Tolosa,María F Heredia,Nathalia Ferreira,Higor J Fideles,Pablo N De Francesco,Helgi B Schiöth,Rodrigo Rorato,Mario Perelló

iScience 28:112321 PubMed40276761

2025

Sleep deprivation-induced sympathetic activation promotes pro-tumoral macrophage phenotype via the ADRB2/KLF4 pathway to facilitate NSCLC metastasis.

Applications

Unspecified application

Species

Unspecified reactive species

Shuxian Yin,Jiali Wang,Yunlong Jia,Xiaoyi Wang,Yan Zhao,Tianxu Liu,Wei Lv,Yuqing Duan,Song Zhao,Sheng Wang,Lihua Liu

Neurobiology of disease 208:106859 PubMed40021095

2025

Potentiation of the M muscarinic acetylcholine receptor normalizes neuronal activation patterns and improves apnea severity in Mecp2 mice.

Applications

Unspecified application

Species

Unspecified reactive species

Mackenzie Smith,Grace E Dodis,Amanda M Vanderplow,Sonia Gonzalez,Yewon Rhee,Karie Scrogin,Rocco G Gogliotti

Nature communications 16:1590 PubMed39939591

2025

Classification of psychedelics and psychoactive drugs based on brain-wide imaging of cellular c-Fos expression.

Applications

Unspecified application

Species

Unspecified reactive species

Farid Aboharb,Pasha A Davoudian,Ling-Xiao Shao,Clara Liao,Gillian N Rzepka,Cassandra Wojtasiewicz,Jonathan Indajang,Mark Dibbs,Jocelyne Rondeau,Alexander M Sherwood,Alfred P Kaye,Alex C Kwan

Nature methods 22:600-611 PubMed39870865

2025

A deep learning pipeline for three-dimensional brain-wide mapping of local neuronal ensembles in teravoxel light-sheet microscopy.

Applications

Unspecified application

Species

Unspecified reactive species

Ahmadreza Attarpour,Jonas Osmann,Anthony Rinaldi,Tianbo Qi,Neeraj Lal,Shruti Patel,Matthew Rozak,Fengqing Yu,Newton Cho,Jordan Squair,JoAnne McLaurin,Misha Raffiee,Karl Deisseroth,Gregoire Courtine,Li Ye,Bojana Stefanovic,Maged Goubran

Nature communications 15:10241 PubMed39592569

2024

Ultra-fast photoelectron transfer in bimetallic porphyrin optoelectrode for single neuron modulation.

Applications

Unspecified application

Species

Unspecified reactive species

Jian Chen,Feixiang Chen,Xueli Wang,Hongjun Zhuang,Mengnan Guo,Luo Wang,Junze Xie,Le Zhang,Hao Liu,Yuhan Shi,Jiajia Zhou,Xinjie Mao,Muyao Lv,Xingwu Jiang,Jinquan Chen,Yanyan Liu,Dayong Jin,Wenbo Bu

Nature communications 15:8260 PubMed39327428

2024

Drug-induced change in transmitter identity is a shared mechanism generating cognitive deficits.

Applications

Unspecified application

Species

Unspecified reactive species

Marta Pratelli,Anna M Hakimi,Arth Thaker,Hyeonseok Jang,Hui-Quan Li,Swetha K Godavarthi,Byung Kook Lim,Nicholas C Spitzer

International journal of molecular sciences 25: PubMed39125713

2024

Study on the Mechanisms of Glrα3 in Pain Sensitization of Endometriosis.

Applications

Unspecified application

Species

Unspecified reactive species

Peiya Fan,Rong Liu,Yan Li,Shixuan Wang,Tian Li

Molecular psychiatry 30:435-449 PubMed39097664

2024

Rasd2 regulates depression-like behaviors via DRD2 neurons in the prelimbic cortex afferent to nucleus accumbens core circuit.

Applications

Unspecified application

Species

Unspecified reactive species

Ziqian Cheng,Fangyi Zhao,Jingjing Piao,Wei Yang,Ranji Cui,Bingjin Li

Frontiers in psychiatry 15:1365231 PubMed38979499

2024

Serine racemase deletion alters adolescent social behavior and whole-brain cFos activation.

Applications

Unspecified application

Species

Unspecified reactive species

Stephanie E Brown,Ziyi Zephyr Wang,Emily L Newman,Elif Engin,Sabina Berretta,Darrick T Balu,Oluwarotimi O Folorunso
View all publications

Product promise

We are committed to supporting your work with high-quality reagents, and we're here for you every step of the way. In the unlikely event that one of our products does not perform as expected, you're protected by our Product Promise.
For full details, please see our Terms & Conditions

Please note: All products are 'FOR RESEARCH USE ONLY. NOT FOR USE IN DIAGNOSTIC OR THERAPEUTIC PROCEDURES'.

For licensing inquiries, please contact partnerships@abcam.com