JavaScript is disabled in your browser. Please enable JavaScript to view this website.
AB234964

Anti-c-Fos antibody [EPR21930-238] - BSA and Azide free

Be the first to review this product! Submit a review

|

(0 Publication)

Rabbit Recombinant Monoclonal c-Fos antibody. Carrier free. Suitable for IP, WB, ICC/IF, Flow Cyt (Intra), IHC-P and reacts with Human, Mouse samples.

View Alternative Names

G0S7, FOS, Protein c-Fos, Cellular oncogene fos, G0/G1 switch regulatory protein 7, Proto-oncogene c-Fos, Transcription factor AP-1 subunit c-Fos

7 Images
Immunohistochemistry (Formalin/PFA-fixed paraffin-embedded sections) - Anti-c-Fos antibody [EPR21930-238] - BSA and Azide free (AB234964)
  • IHC-P

Lab

Immunohistochemistry (Formalin/PFA-fixed paraffin-embedded sections) - Anti-c-Fos antibody [EPR21930-238] - BSA and Azide free (AB234964)

This data was developed using the same antibody clone in a different buffer formulation containing PBS, BSA, glycerol, and sodium azide (ab222699).

Immunohistochemical analysis of formalin fixed paraffin embedded human bladder cancer labelling c-Fos with ab222699 at a concentration of 0.5 µg/ml. The immunostaining was performed on a Ventana DISCOVERY ULTRA (Roche Tissue Diagnostics) instrument with a OptiView DAB IHC Detection Kit. Heat mediated antigen retrieval was performed with DISCOVERY cell conditioning solution (CC1) 100°C, pH 8.5 for 32mins.

ab222699 anti-c-Fos [EPR21930-238] was incubated for 16mins at 37°C. Sections were counterstained with Hematoxylin II. Image inset shows absence of staining in secondary antibody only control.

Customers are encouraged to optimise antigen retrieval conditions, antibody concentration, incubation times and temperature for best results in their own IHC assay workflow (automated and manual).

Immunohistochemistry (Formalin/PFA-fixed paraffin-embedded sections) - Anti-c-Fos antibody [EPR21930-238] - BSA and Azide free (AB234964)
  • IHC-P

Supplier Data

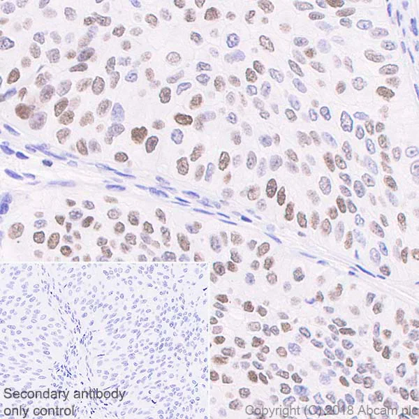
Immunohistochemistry (Formalin/PFA-fixed paraffin-embedded sections) - Anti-c-Fos antibody [EPR21930-238] - BSA and Azide free (AB234964)

Immunohistochemical analysis of paraffin-embedded mouse dentate gyrus tissue labeling c-Fos with ab222699 at 1/2000 dilution, followed by Goat Anti-Rabbit IgG H&L (HRP) Ready to use. Sporadic nuclear staining in mouse dentate gyrus (PMID : 24604295). Counter stained with hematoxylin.

Secondary antibody only control : Used PBS instead of primary antibody, secondary antibody is Goat Anti-Rabbit IgG H&L (HRP) Ready to use.

Perform heat-mediated antigen retrieval using ab93684 (Tris/EDTA buffer, pH 9.0).

This data was developed using the same antibody clone in a different buffer formulation containing PBS, BSA, glycerol, and sodium azide (ab222699).

Immunocytochemistry/ Immunofluorescence - Anti-c-Fos antibody [EPR21930-238] - BSA and Azide free (AB234964)
  • ICC/IF

Supplier Data

Immunocytochemistry/ Immunofluorescence - Anti-c-Fos antibody [EPR21930-238] - BSA and Azide free (AB234964)

Immunofluorescnt analysis of 4% paraformaldehyde-fixed, 0.1% Triton X-100 permeablised HeLa (human cervix adenocarcinoma epithelial cell) cells labeling c-Fos with ab222699 at 1/1000 dilution, followed by Goat Anti-Rabbit IgG H&L (Alexa Fluor® 488) (ab150077) secondary antibody at 1/1000 dilution (green).  Confocal image showing nuclear staining in HeLa cells in serum free medium for 36 hours, followed by addition of 20% fetal bovine serum for 2 hours (PMID : 14981092).

The nuclear counter stain is DAPI (blue). Tubulin is detected with Anti-alpha Tubulin antibody [DM1A] - Microtubule Marker (Alexa Fluor® 594) (ab195889) (red) at 1/200 dilution.

Secondary antibody only control : Used PBS instead of primary antibody, secondary antibody is Goat Anti-Rabbit IgG H&L (Alexa Fluor® 488) (ab150077) secondary antibody at 1/1000 dilution.

This data was developed using the same antibody clone in a different buffer formulation containing PBS, BSA, glycerol, and sodium azide (ab222699).

Immunohistochemistry (Formalin/PFA-fixed paraffin-embedded sections) - Anti-c-Fos antibody [EPR21930-238] - BSA and Azide free (AB234964)
  • IHC-P

Supplier Data

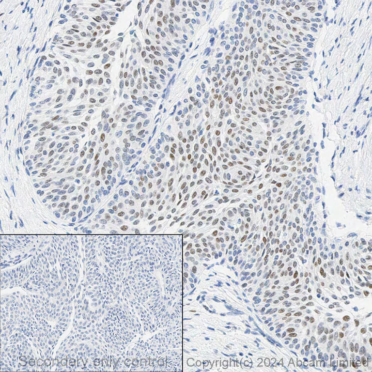
Immunohistochemistry (Formalin/PFA-fixed paraffin-embedded sections) - Anti-c-Fos antibody [EPR21930-238] - BSA and Azide free (AB234964)

Immunohistochemical analysis of paraffin-embedded human bladder carcinoma tissue labeling c-Fos with ab222699 at 1/2000 dilution, followed by Goat Anti-Rabbit IgG H&L (HRP) ready to use. Nuclear staining in tumor cells of human bladder carcinoma (PMID : 28358415). Counter stained with hematoxylin.

Secondary antibody only control : Used PBS instead of primary antibody, secondary antibody is Goat Anti-Rabbit IgG H&L (HRP) Ready to use.

Perform heat-mediated antigen retrieval using ab93684 (Tris/EDTA buffer, pH 9.0).

This data was developed using the same antibody clone in a different buffer formulation containing PBS, BSA, glycerol, and sodium azide (ab222699).

Flow Cytometry (Intracellular) - Anti-c-Fos antibody [EPR21930-238] - BSA and Azide free (AB234964)
  • Flow Cyt (Intra)

Supplier Data

Flow Cytometry (Intracellular) - Anti-c-Fos antibody [EPR21930-238] - BSA and Azide free (AB234964)

Intracellular flow cytometric analysis of 4% paraformaldehyde-fixed, 90% methanol-permebalized HeLa (human epithelial cell line from cervix adenocarcinoma) cell line grown in serum free medium for 36 hours, followed by addition of 20% FBS for 2 hours (Red) / Untreated control (Green) labeling c-Fos with ab22699 at 1/500 dilution compared with a Rabbit monoclonal IgG (ab172730) (Black) and an unlabeled control (cells without incubation with primary antibody and secondary antibody) (Blue). Goat anti rabbit IgG (Alexa Fluor® 488, ab150077) was used as the secondary antibody at 1/2000 dilution.

Serum starvation followed by FBS treatment induces the expression of c-Fos (PMID : 14981092).

This data was developed using the same antibody clone in a different buffer formulation containing PBS, BSA, glycerol, and sodium azide (ab222699).

Immunohistochemistry (Formalin/PFA-fixed paraffin-embedded sections) - Anti-c-Fos antibody [EPR21930-238] - BSA and Azide free (AB234964)
  • IHC-P

Supplier Data

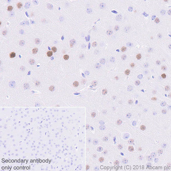
Immunohistochemistry (Formalin/PFA-fixed paraffin-embedded sections) - Anti-c-Fos antibody [EPR21930-238] - BSA and Azide free (AB234964)

Immunohistochemical analysis of paraffin-embedded mouse cerebral cortex tissue labeling c-Fos with ab222699 at 1/2000 dilution, followed by Goat Anti-Rabbit IgG H&L (HRP) Ready to use. Nuclear staining in neurons of mouse cerebral cortex (PMID : 24604295). Counter stained with hematoxylin.

Secondary antibody only control : Used PBS instead of primary antibody, secondary antibody is Goat Anti-Rabbit IgG H&L (HRP) Ready to use.

Perform heat-mediated antigen retrieval using ab93684 (Tris/EDTA buffer, pH 9.0).

This data was developed using the same antibody clone in a different buffer formulation containing PBS, BSA, glycerol, and sodium azide (ab222699).

Immunoprecipitation - Anti-c-Fos antibody [EPR21930-238] - BSA and Azide free (AB234964)
  • IP

Supplier Data

Immunoprecipitation - Anti-c-Fos antibody [EPR21930-238] - BSA and Azide free (AB234964)

c-Fos was immunoprecipitated from 0.35 mg of HeLa (human epithelial cell line from cervix adenocarcinoma) grown in serum free medium for 36 hours, followed by addition of 20% FBS for 2 hours whole cell lysate with ab222699 at 1/30 dilution. Western blot was performed from the immunoprecipitate using ab222699 at 1/1000 dilution. VeriBlot for IP Detection Reagent (HRP) (ab131366) was used for detection at 1/5000 dilution.

Lane 1 : HeLa grown in serum free medium for 36 hours, followed by addition of 20% FBS for 2 hours whole cell lysate 10 μg (Input).

Lane 2 : ab222699 IP in HeLa grown in serum free medium for 36 hours, followed by addition of 20% FBS for 2 hours whole cell lysate.

Lane 3 : Rabbit monoclonal IgG (ab172730) instead of ab222699 in HeLa grown in serum free medium for 36 hours, followed by addition of 20% FBS for 2 hours whole cell lysate.

Blocking and dilution buffer and concentration : 5% NFDM/TBST

Exposure time : 30 seconds.

Serum starvation followed by FBS treatment induces the expression of c-Fos (PMID : 14981092).

This data was developed using the same antibody clone in a different buffer formulation containing PBS, BSA, glycerol, and sodium azide (ab222699).

All lanes:

Immunoprecipitation - Anti-c-Fos antibody [EPR21930-238] (<a href='/en-us/products/primary-antibodies/c-fos-antibody-epr21930-238-ab222699'>ab222699</a>)

Predicted band size: 41 kDa

Observed band size: 55-60 kDa

false

Key facts

Host species

Rabbit

Clonality

Monoclonal

Clone number

EPR21930-238

Isotype

IgG

Carrier free

Yes

Reacts with

Mouse, Human

Applications

WB, IP, Flow Cyt (Intra), ICC/IF, IHC-P

applications

Immunogen

The exact immunogen used to generate this antibody is proprietary information.

Specificity

In IHC-P, no staining is observed on rat tissues with this antibody in our lab. We recommend ab289723 for work on rat.

Reactivity data

{ "title": "Reactivity Data", "filters": { "stats": ["", "Species", "Dilution Info", "Notes"], "tabs": { "all-applications": {"fullname" : "All Applications", "shortname": "All Applications"}, "IP" : {"fullname" : "Immunoprecipitation", "shortname":"IP"}, "WB" : {"fullname" : "Western blot", "shortname":"WB"}, "ICCIF" : {"fullname" : "Immunocytochemistry/ Immunofluorescence", "shortname":"ICC/IF"}, "FlowCytIntra" : {"fullname" : "Flow Cytometry (Intracellular)", "shortname":"Flow Cyt (Intra)"}, "IHCP" : {"fullname" : "Immunohistochemistry (Formalin/PFA-fixed paraffin-embedded sections)", "shortname":"IHC-P"} }, "product-promise": { "all": "all", "testedAndGuaranteed": "tested", "guaranteed": "expected", "predicted": "predicted", "notRecommended": "not-recommended" } }, "values": { "Human": { "IP-species-checked": "testedAndGuaranteed", "IP-species-dilution-info": "", "IP-species-notes": "<p></p>", "WB-species-checked": "guaranteed", "WB-species-dilution-info": "", "WB-species-notes": "<p></p>", "ICCIF-species-checked": "testedAndGuaranteed", "ICCIF-species-dilution-info": "", "ICCIF-species-notes": "<p></p>", "FlowCytIntra-species-checked": "testedAndGuaranteed", "FlowCytIntra-species-dilution-info": "", "FlowCytIntra-species-notes": "<p></p>", "IHCP-species-checked": "testedAndGuaranteed", "IHCP-species-dilution-info": "", "IHCP-species-notes": "<p></p>" }, "Mouse": { "IP-species-checked": "predicted", "IP-species-dilution-info": "", "IP-species-notes": "", "WB-species-checked": "guaranteed", "WB-species-dilution-info": "", "WB-species-notes": "<p></p>", "ICCIF-species-checked": "predicted", "ICCIF-species-dilution-info": "", "ICCIF-species-notes": "", "FlowCytIntra-species-checked": "predicted", "FlowCytIntra-species-dilution-info": "", "FlowCytIntra-species-notes": "", "IHCP-species-checked": "predicted", "IHCP-species-dilution-info": "", "IHCP-species-notes": "" } } }

You may be interested in:

AB207196

AP1 (c-Fos/FosB/Fra1/c-Jun/JunD) Transcription Factor Assay Kit (Colorimetric)

0

0 Reviews

View product

We recommend this product because it’s often used in the same experiment or related research.

We advise that you always check the datasheet to ensure it fits your experiments, or contact ourtechnical teamfor help.

Product details

ab234964 is the carrier-free version of ab222699.

Patented technology
Our RabMAb® technology is a patented hybridoma-based technology for making rabbit monoclonal antibodies. For details on our patents, please refer to RabMAb® patents.

What are the advantages of a recombinant monoclonal antibody?
This product is a recombinant monoclonal antibody, which offers several advantages including:

  • - High batch-to-batch consistency and reproducibility
  • - Improved sensitivity and specificity
  • - Long-term security of supply
  • - Animal-free batch production

For more information, read more on recombinant antibodies.

Conjugation ready
Our carrier-free antibodies are typically supplied in a PBS-only formulation, purified and free of BSA, sodium azide and glycerol. This conjugation-ready format is designed for use with fluorochromes, metal isotopes, oligonucleotides, and enzymes, which makes them ideal for antibody labelling, functional and cell-based assays, flow-based assays (e.g. mass cytometry) and Multiplex Imaging applications.

Use our conjugation kits for antibody conjugates that are ready-to-use in as little as 20 minutes with 1 minute hands-on-time and 100% antibody recovery: available for fluorescent dyes, HRP, biotin and gold.

Compatibility
This product is compatible with the Maxpar® Antibody Labeling Kit from Fluidigm, without the need for antibody preparation. Maxpar® is a trademark of Fluidigm Canada Inc.

Properties and storage information

Form
Liquid
Purification technique
Affinity purification Protein A
Storage buffer
pH: 7.2 - 7.4 Constituents: PBS
Shipped at conditions
Blue Ice
Appropriate short-term storage conditions
+4°C
Appropriate long-term storage conditions
+4°C
Storage information
Do Not Freeze

Supplementary information

This supplementary information is collated from multiple sources and compiled automatically.

The c-Fos protein also known as c-Fos is a component of the Fos family of transcription factors which includes FosB Fra-1 and Fra-2. These proteins play a role in regulating gene expression. c-Fos has a molecular weight of about 55 kDa. You usually find c-Fos expressed in various tissues including the brain providing a marker for neuronal activity and is often induced in response to stimuli like stress growth factors and mitogens. In research settings c-Fos staining and c-Fos immunohistochemistry are techniques commonly used to study activation patterns in cells and tissues.
Biological function summary

C-Fos acts as part of the Activator Protein-1 (AP-1) complex a group of DNA-binding proteins that regulate gene transcription. This complex forms when c-Fos and Jun proteins dimerize. The AP-1 complex controls several cellular processes such as proliferation differentiation and apoptosis. Due to its participation in these vital processes c-Fos influences cellular responses to external stimuli and can affect how cells behave under stress.

Pathways

C-Fos significantly contributes to the MAPK/ERK pathway which plays a role in cell growth and differentiation. It partners with Jun proteins to form functional transcription factors within the MAPK signaling cascade. Additionally c-Fos is involved in the JNK signaling pathway linking it to stress responses and apoptosis. These pathways highlight the partnerships between c-Fos and other proteins like ERK and JNK indicating their intertwined roles in cellular signaling networks.

Researchers associate c-Fos with cancer and neurodegenerative diseases. In cancer c-Fos expression correlates with changes in AP-1 activity which can lead to altered cell growth and proliferation potentially contributing to tumor formation. Its involvement in neurodegenerative diseases reveals its role in neuron apoptosis and cellular stress responses. In these scenarios proteins like Bcl-2 also play a part with CDK1 sharing connections in processes that affect cell cycle and apoptosis illustrating c-Fos's broad significance in both normal and pathological conditions.

Product protocols

For this product, it's our understanding that no specific protocols are required. You can visit:

Target data

Nuclear phosphoprotein which forms a tight but non-covalently linked complex with the JUN/AP-1 transcription factor. In the heterodimer, FOS and JUN/AP-1 basic regions each seems to interact with symmetrical DNA half sites. On TGF-beta activation, forms a multimeric SMAD3/SMAD4/JUN/FOS complex at the AP1/SMAD-binding site to regulate TGF-beta-mediated signaling. Has a critical function in regulating the development of cells destined to form and maintain the skeleton. It is thought to have an important role in signal transduction, cell proliferation and differentiation. In growing cells, activates phospholipid synthesis, possibly by activating CDS1 and PI4K2A. This activity requires Tyr-dephosphorylation and association with the endoplasmic reticulum.
See full target information FOS

Product promise

We are committed to supporting your work with high-quality reagents, and we're here for you every step of the way. In the unlikely event that one of our products does not perform as expected, you're protected by our Product Promise.
For full details, please see our Terms & Conditions

Associated Products

Select an associated product type
Alternative Product
Primary Antibodies

AB63444

Anti-c-Fos (phospho S362) antibody

primary-antibodies

c-fos-phospho-s362-antibody-ab63444

1

(1 reviews)

Alternative Product
Primary Antibodies

AB208942

Anti-c-Fos antibody [2H2]

primary-antibodies

c-fos-antibody-2h2-ab208942

4

(13 reviews)

Alternative Product
Primary Antibodies

AB193365

Anti-c-Fos (phospho T232) antibody

primary-antibodies

c-fos-phospho-t232-antibody-ab193365

0

(0 reviews)

Alternative Product
Primary Antibodies

AB209794

Anti-c-Fos antibody

primary-antibodies

c-fos-antibody-ab209794

3

(3 reviews)

Alternative Product
Primary Antibodies

AB27793

Anti-c-Fos (phospho T325) antibody

primary-antibodies

c-fos-phospho-t325-antibody-ab27793

0

(1 reviews)

Alternative Product
Primary Antibodies

AB175647

FITC Anti-c-Fos antibody [H15-S]

primary-antibodies

fitc-c-fos-antibody-h15-s-ab175647

0

(0 reviews)

Alternative Product
Primary Antibodies

AB134122

Anti-c-Fos antibody [EPR883(2)]

primary-antibodies

c-fos-antibody-epr8832-ab134122

1

(3 reviews)

Alternative Product
Primary Antibodies

AB218578

Anti-c-Fos antibody [EPR883(2)] - BSA and Azide free

primary-antibodies

c-fos-antibody-epr8832-bsa-and-azide-free-ab218578

0

(0 reviews)

Alternative Product
Primary Antibodies

AB190289

Anti-c-Fos antibody - BSA free

primary-antibodies

c-fos-antibody-bsa-free-ab190289

4

(8 reviews)

Alternative Product
Primary Antibodies

AB214672

Anti-c-Fos antibody [EPR20769]

primary-antibodies

c-fos-antibody-epr20769-ab214672

5

(3 reviews)

Alternative Product
Primary Antibodies

AB236039

Anti-c-Fos antibody [EPR20769] - BSA and Azide free

primary-antibodies

c-fos-antibody-epr20769-bsa-and-azide-free-ab236039

0

(0 reviews)

Alternative Version
Primary Antibodies

AB300747

Alexa Fluor® 647 Anti-c-Fos antibody [EPR21930-238]

primary-antibodies

alexa-fluor-647-c-fos-antibody-epr21930-238-ab300747

0

(0 reviews)

Alternative Version
Primary Antibodies

AB302685

Alexa Fluor® 594 Anti-c-Fos antibody [EPR21930-238]

primary-antibodies

alexa-fluor-594-c-fos-antibody-epr21930-238-ab302685

0

(0 reviews)

Alternative Version
Primary Antibodies

AB303464

Alexa Fluor® 568 Anti-c-Fos antibody [EPR21930-238]

primary-antibodies

alexa-fluor-568-c-fos-antibody-epr21930-238-ab303464

0

(0 reviews)

Alternative Version
Primary Antibodies

AB306605

Alexa Fluor® 488 Anti-c-Fos antibody [EPR21930-238]

primary-antibodies

alexa-fluor-488-c-fos-antibody-epr21930-238-ab306605

0

(0 reviews)

Please note: All products are 'FOR RESEARCH USE ONLY. NOT FOR USE IN DIAGNOSTIC OR THERAPEUTIC PROCEDURES'.

For licensing inquiries, please contact partnerships@abcam.com