JavaScript is disabled in your browser. Please enable JavaScript to view this website.
AB289726

Anti-c-Fos antibody [EPR24046-20] - BSA and Azide free

Be the first to review this product! Submit a review

|

(0 Publication)

Rabbit Recombinant Monoclonal c-Fos antibody. Carrier free. Suitable for IP, WB, IHC-P and reacts with Rat samples.

View Alternative Names

Protein c-Fos, Cellular oncogene fos, Proto-oncogene c-Fos, Fos

5 Images
Immunohistochemistry (Formalin/PFA-fixed paraffin-embedded sections) - Anti-c-Fos antibody [EPR24046-20] - BSA and Azide free (AB289726)
  • IHC-P

Supplier Data

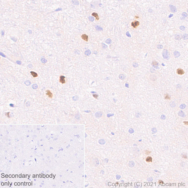
Immunohistochemistry (Formalin/PFA-fixed paraffin-embedded sections) - Anti-c-Fos antibody [EPR24046-20] - BSA and Azide free (AB289726)

This data was generated with ab289723, the same antibody in a different formulation.

Immunohistochemical analysis of paraffin-embedded rat hippocampus tissue labelling c-Fos at 1/100 (5.46 μg/ml) for 30 mins at room temperature, followed by ready to use LeicaDS9800 (BOND™ Polymer Refine Detection). Nuclear staining on rat hippocampus. The nuclear counterstain is Hematoxylin.

Secondary antibody only control : Used PBS instead of primary antibody, followed by ready to use LeicaDS9800 (BOND™ Polymer Refine Detection).

The immunostaining was performed on a Leica Biosystems BOND® RX instrument.

Heat mediated antigen retrieval with Tris-EDTA buffer (pH 9.0, epitope retrieval solution2) for 20 mins.

Immunohistochemistry (Formalin/PFA-fixed paraffin-embedded sections) - Anti-c-Fos antibody [EPR24046-20] - BSA and Azide free (AB289726)
  • IHC-P

Supplier Data

Immunohistochemistry (Formalin/PFA-fixed paraffin-embedded sections) - Anti-c-Fos antibody [EPR24046-20] - BSA and Azide free (AB289726)

This data was generated with ab289723, the same antibody in a different formulation.

Immunohistochemical analysis of paraffin-embedded rat hypothalamus tissue labelling c-Fos at 1/100 (5.46μg/ml) for 30 mins at room temperature, followed by ready to use LeicaDS9800 (BOND™ Polymer Refine Detection). Nuclear staining on rat hypothalamus. The nuclear counterstain is Hematoxylin.

Secondary antibody only control : Used PBS instead of primary antibody, followed by ready to use LeicaDS9800 (BOND™ Polymer Refine Detection).

The immunostaining was performed on a Leica Biosystems BOND® RX instrument.

Heat mediated antigen retrieval with Tris-EDTA buffer (pH 9.0, epitope retrieval solution2) for 20 mins.

Immunohistochemistry (Formalin/PFA-fixed paraffin-embedded sections) - Anti-c-Fos antibody [EPR24046-20] - BSA and Azide free (AB289726)
  • IHC-P

Supplier Data

Immunohistochemistry (Formalin/PFA-fixed paraffin-embedded sections) - Anti-c-Fos antibody [EPR24046-20] - BSA and Azide free (AB289726)

This data was generated with ab289723, the same antibody in a different formulation.

Immunohistochemical analysis of paraffin-embedded rat cerebrum tissue labelling c-Fos at 1/100 (5.46μg/ml) for 30 mins at room temperature, followed by ready to use LeicaDS9800 (BOND™ Polymer Refine Detection). Nuclear staining on rat cerebrum. The nuclear counterstain is Hematoxylin.

Secondary antibody only control : Used PBS instead of primary antibody, followed by ready to use LeicaDS9800 (BOND™ Polymer Refine Detection).

The immunostaining was performed on a Leica Biosystems BOND® RX instrument.

Heat mediated antigen retrieval with Tris-EDTA buffer (pH 9.0, epitope retrieval solution2) for 20 mins.

Immunoprecipitation - Anti-c-Fos antibody [EPR24046-20] - BSA and Azide free (AB289726)
  • IP

Supplier Data

Immunoprecipitation - Anti-c-Fos antibody [EPR24046-20] - BSA and Azide free (AB289726)

This data was generated with ab289723, the same antibody in a different formulation.

c-Fos was immunoprecipitated from PC-12 whole cell lysate with ab289723 at 1/30 dilution. Western blot was performed from the immunoprecipitate using ab289723 at 1/1000 dilution. VeriBlot for IP secondary antibody(HRP)(ab131366), was used as secondary antibody at 1/5000 dilution.

Lane 1 : PC-12 starved overnight, then treated with 100ng/ml NGF and 10uM MG-132 for 2 hours whole cell lysate 10 μg (Input).

Lane 2 : ab289723 IP PC-12 starved overnight, then treated with 100ng/ml NGF and 10uM MG-132 for 2 hours whole cell lysate

Lane 3 : Rabbit monoclonal IgG (ab172730) instead of ab289723 in PC-12 starved overnight, then treated with 100ng/ml NGF and 10uM MG-132 for 2 hours whole cell lysate.

Blocking and dilution buffer : 5% NFDM/TBST.

Exposure time : 8 seconds.

All lanes:

Immunoprecipitation - Anti-c-Fos antibody [EPR24046-20] (<a href='/en-us/products/primary-antibodies/c-fos-antibody-epr24046-20-ab289723'>ab289723</a>)

Predicted band size: 41 kDa

Observed band size: 55-62 kDa

false

Exposure time: 8s

Western blot - Anti-c-Fos antibody [EPR24046-20] - BSA and Azide free (AB289726)
  • WB

Supplier Data

Western blot - Anti-c-Fos antibody [EPR24046-20] - BSA and Azide free (AB289726)

This data was developed using ab289723, the same antibody clone in a different buffer formulation.

Blocking and dilution buffer : 5% NFDM/TBST.

All lanes:

Western blot - Anti-c-Fos antibody [EPR24046-20] (<a href='/en-us/products/primary-antibodies/c-fos-antibody-epr24046-20-ab289723'>ab289723</a>) at 1/1000 dilution

Lane 1:

PC-12 (rat adrenal gland pheochromocytoma) starved overnight, whole cell lysate at 20 µg

Lane 2:

PC-12 starved overnight, then treated with 100ng/ml NGF and 10uM MG-132 for 2 hours, whole cell lysate at 20 µg

Secondary

All lanes:

Western blot - Goat Anti-Rabbit IgG H&L (HRP) (<a href='/en-us/products/secondary-antibodies/goat-rabbit-igg-h-l-hrp-ab97051'>ab97051</a>) at 1/50000 dilution

Predicted band size: 41 kDa

Observed band size: 55-62 kDa

false

Exposure time: 92s

Key facts

Host species

Rabbit

Clonality

Monoclonal

Clone number

EPR24046-20

Isotype

IgG

Carrier free

Yes

Reacts with

Rat

Applications

IHC-P, IP, WB

applications

Immunogen

The exact immunogen used to generate this antibody is proprietary information.

Reactivity data

{ "title": "Reactivity Data", "filters": { "stats": ["", "Species", "Dilution Info", "Notes"], "tabs": { "all-applications": {"fullname" : "All Applications", "shortname": "All Applications"}, "IP" : {"fullname" : "Immunoprecipitation", "shortname":"IP"}, "WB" : {"fullname" : "Western blot", "shortname":"WB"}, "IHCP" : {"fullname" : "Immunohistochemistry (Formalin/PFA-fixed paraffin-embedded sections)", "shortname":"IHC-P"}, "IHCFr" : {"fullname" : "Immunohistochemistry (Frozen sections)", "shortname":"IHC-Fr"}, "FlowCyt" : {"fullname" : "Flow Cytometry", "shortname":"Flow Cyt"} }, "product-promise": { "all": "all", "testedAndGuaranteed": "tested", "guaranteed": "expected", "predicted": "predicted", "notRecommended": "not-recommended" } }, "values": { "Human": { "IP-species-checked": "notRecommended", "IP-species-dilution-info": "", "IP-species-notes": "", "WB-species-checked": "notRecommended", "WB-species-dilution-info": "", "WB-species-notes": "<p></p>", "IHCP-species-checked": "notRecommended", "IHCP-species-dilution-info": "", "IHCP-species-notes": "<p></p>", "IHCFr-species-checked": "notRecommended", "IHCFr-species-dilution-info": "", "IHCFr-species-notes": "", "FlowCyt-species-checked": "notRecommended", "FlowCyt-species-dilution-info": "", "FlowCyt-species-notes": "" }, "Mouse": { "IP-species-checked": "notRecommended", "IP-species-dilution-info": "", "IP-species-notes": "", "WB-species-checked": "notRecommended", "WB-species-dilution-info": "", "WB-species-notes": "<p></p>", "IHCP-species-checked": "notRecommended", "IHCP-species-dilution-info": "", "IHCP-species-notes": "<p></p>", "IHCFr-species-checked": "notRecommended", "IHCFr-species-dilution-info": "", "IHCFr-species-notes": "", "FlowCyt-species-checked": "notRecommended", "FlowCyt-species-dilution-info": "", "FlowCyt-species-notes": "" }, "Rat": { "IP-species-checked": "testedAndGuaranteed", "IP-species-dilution-info": "", "IP-species-notes": "<p></p>", "WB-species-checked": "testedAndGuaranteed", "WB-species-dilution-info": "", "WB-species-notes": "<p></p>", "IHCP-species-checked": "testedAndGuaranteed", "IHCP-species-dilution-info": "", "IHCP-species-notes": "<p></p>", "IHCFr-species-checked": "notRecommended", "IHCFr-species-dilution-info": "", "IHCFr-species-notes": "<p></p>", "FlowCyt-species-checked": "notRecommended", "FlowCyt-species-dilution-info": "", "FlowCyt-species-notes": "<p></p>" } } }

Product details

ab289726 is the carrier free version of ab289723.

Patented technology
Our RabMAb® technology is a patented hybridoma-based technology for making rabbit monoclonal antibodies. For details on our patents, please refer to RabMAb® patents.

What are the advantages of a recombinant monoclonal antibody?
This product is a recombinant monoclonal antibody, which offers several advantages including:

  • - High batch-to-batch consistency and reproducibility
  • - Improved sensitivity and specificity
  • - Long-term security of supply
  • - Animal-free batch production

For more information, read more on recombinant antibodies.

Conjugation ready
Our carrier-free antibodies are typically supplied in a PBS-only formulation, purified and free of BSA, sodium azide and glycerol. This conjugation-ready format is designed for use with fluorochromes, metal isotopes, oligonucleotides, and enzymes, which makes them ideal for antibody labelling, functional and cell-based assays, flow-based assays (e.g. mass cytometry) and Multiplex Imaging applications.

Use our conjugation kits for antibody conjugates that are ready-to-use in as little as 20 minutes with 1 minute hands-on-time and 100% antibody recovery: available for fluorescent dyes, HRP, biotin and gold.

Compatibility
This product is compatible with the Maxpar® Antibody Labeling Kit from Fluidigm, without the need for antibody preparation. Maxpar® is a trademark of Fluidigm Canada Inc.

Properties and storage information

Form
Liquid
Purification technique
Affinity purification Protein A
Storage buffer
pH: 7.2 - 7.4 Constituents: 100% PBS
Shipped at conditions
Blue Ice
Appropriate short-term storage conditions
+4°C
Appropriate long-term storage conditions
+4°C
Storage information
Do Not Freeze

Supplementary information

This supplementary information is collated from multiple sources and compiled automatically.

The c-Fos protein also known as c-Fos is a component of the Fos family of transcription factors which includes FosB Fra-1 and Fra-2. These proteins play a role in regulating gene expression. c-Fos has a molecular weight of about 55 kDa. You usually find c-Fos expressed in various tissues including the brain providing a marker for neuronal activity and is often induced in response to stimuli like stress growth factors and mitogens. In research settings c-Fos staining and c-Fos immunohistochemistry are techniques commonly used to study activation patterns in cells and tissues.
Biological function summary

C-Fos acts as part of the Activator Protein-1 (AP-1) complex a group of DNA-binding proteins that regulate gene transcription. This complex forms when c-Fos and Jun proteins dimerize. The AP-1 complex controls several cellular processes such as proliferation differentiation and apoptosis. Due to its participation in these vital processes c-Fos influences cellular responses to external stimuli and can affect how cells behave under stress.

Pathways

C-Fos significantly contributes to the MAPK/ERK pathway which plays a role in cell growth and differentiation. It partners with Jun proteins to form functional transcription factors within the MAPK signaling cascade. Additionally c-Fos is involved in the JNK signaling pathway linking it to stress responses and apoptosis. These pathways highlight the partnerships between c-Fos and other proteins like ERK and JNK indicating their intertwined roles in cellular signaling networks.

Researchers associate c-Fos with cancer and neurodegenerative diseases. In cancer c-Fos expression correlates with changes in AP-1 activity which can lead to altered cell growth and proliferation potentially contributing to tumor formation. Its involvement in neurodegenerative diseases reveals its role in neuron apoptosis and cellular stress responses. In these scenarios proteins like Bcl-2 also play a part with CDK1 sharing connections in processes that affect cell cycle and apoptosis illustrating c-Fos's broad significance in both normal and pathological conditions.

Product protocols

For this product, it's our understanding that no specific protocols are required. You can visit:

Target data

Nuclear phosphoprotein which forms a tight but non-covalently linked complex with the JUN/AP-1 transcription factor. On TGF-beta activation, forms a multimeric SMAD3/SMAD4/JUN/FOS complex, at the AP1/SMAD-binding site to regulate TGF-beta-mediated signaling (By similarity). Has a critical function in regulating the development of cells destined to form and maintain the skeleton. It is thought to have an important role in signal transduction, cell proliferation and differentiation. In growing cells, activates phospholipid synthesis, possibly by activating CDS1 and PI4K2A. This activity requires Tyr-dephosphorylation and association with the endoplasmic reticulum (By similarity).
See full target information Fos

Product promise

We are committed to supporting your work with high-quality reagents, and we're here for you every step of the way. In the unlikely event that one of our products does not perform as expected, you're protected by our Product Promise.
For full details, please see our Terms & Conditions

Please note: All products are 'FOR RESEARCH USE ONLY. NOT FOR USE IN DIAGNOSTIC OR THERAPEUTIC PROCEDURES'.

For licensing inquiries, please contact partnerships@abcam.com