JavaScript is disabled in your browser. Please enable JavaScript to view this website.
AB193365

Anti-c-Fos (phospho T232) antibody

Be the first to review this product! Submit a review

|

(4 Publications)

Rabbit Polyclonal c-Fos phospho T232 antibody. Suitable for WB, IHC-P and reacts with African green monkey, Human samples. Cited in 4 publications. Immunogen corresponding to Synthetic Peptide within Human FOS phospho T232 conjugated to Keyhole Limpet Haemocyanin.

View Alternative Names

G0S7, FOS, Protein c-Fos, Cellular oncogene fos, G0/G1 switch regulatory protein 7, Proto-oncogene c-Fos, Transcription factor AP-1 subunit c-Fos

2 Images
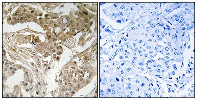
Immunohistochemistry (Formalin/PFA-fixed paraffin-embedded sections) - Anti-c-Fos (phospho T232) antibody (AB193365)
  • IHC-P

Supplier Data

Immunohistochemistry (Formalin/PFA-fixed paraffin-embedded sections) - Anti-c-Fos (phospho T232) antibody (AB193365)

Immunohistochemical analysis of paraffin-embedded Human breast carcinoma tissue labelling c-FOS with ab193365 at 1/50 dilution. Right panel was preincubated with blocking peptide.

Western blot - Anti-c-Fos (phospho T232) antibody (AB193365)
  • WB

Supplier Data

Western blot - Anti-c-Fos (phospho T232) antibody (AB193365)

All lanes:

Western blot - Anti-c-Fos (phospho T232) antibody (ab193365) at 1/500 dilution

Lane 1:

COS7 cell extracts with Antigen specific peptide

Lane 2:

COS7 cell extracts

Predicted band size: 41 kDa

false

Key facts

Host species

Rabbit

Clonality

Polyclonal

Isotype

IgG

Carrier free

No

Reacts with

Human, African green monkey

Applications

WB, IHC-P

applications

Immunogen

Synthetic Peptide within Human FOS phospho T232 conjugated to Keyhole Limpet Haemocyanin. The exact immunogen used to generate this antibody is proprietary information.

P01100

Reactivity data

{ "title": "Reactivity Data", "filters": { "stats": ["", "Species", "Dilution Info", "Notes"], "tabs": { "all-applications": {"fullname" : "All Applications", "shortname": "All Applications"}, "WB" : {"fullname" : "Western blot", "shortname":"WB"}, "IHCP" : {"fullname" : "Immunohistochemistry (Formalin/PFA-fixed paraffin-embedded sections)", "shortname":"IHC-P"} }, "product-promise": { "all": "all", "testedAndGuaranteed": "tested", "guaranteed": "expected", "predicted": "predicted", "notRecommended": "not-recommended" } }, "values": { "Human": { "WB-species-checked": "guaranteed", "WB-species-dilution-info": "", "WB-species-notes": "", "IHCP-species-checked": "testedAndGuaranteed", "IHCP-species-dilution-info": "1/50 - 1/100", "IHCP-species-notes": "<p></p>" }, "Mouse": { "WB-species-checked": "predicted", "WB-species-dilution-info": "", "WB-species-notes": "", "IHCP-species-checked": "predicted", "IHCP-species-dilution-info": "", "IHCP-species-notes": "" }, "Rat": { "WB-species-checked": "predicted", "WB-species-dilution-info": "", "WB-species-notes": "", "IHCP-species-checked": "predicted", "IHCP-species-dilution-info": "", "IHCP-species-notes": "" }, "African green monkey": { "WB-species-checked": "testedAndGuaranteed", "WB-species-dilution-info": "1/500 - 1/1000", "WB-species-notes": "<p></p>", "IHCP-species-checked": "guaranteed", "IHCP-species-dilution-info": "", "IHCP-species-notes": "" } } }

Properties and storage information

Form
Liquid
Purification technique
Affinity purification Immunogen
Purification notes
ab193365 was purified by affinity-chromatography using epitope-specific phosphopeptide. Non-phospho specific antibodies were removed by chromatogramphy using non-phosphopeptide.
Storage buffer
pH: 7.4 Preservative: 0.02% Sodium azide Constituents: PBS, 50% Glycerol (glycerin, glycerine), 0.87% Sodium chloride
Shipped at conditions
Blue Ice
Appropriate short-term storage duration
1-2 weeks
Appropriate short-term storage conditions
+4°C
Appropriate long-term storage conditions
-20°C
Aliquoting information
Upon delivery aliquot
Storage information
Avoid freeze / thaw cycle

Supplementary information

This supplementary information is collated from multiple sources and compiled automatically.

The c-Fos protein also known as c-Fos is a component of the Fos family of transcription factors which includes FosB Fra-1 and Fra-2. These proteins play a role in regulating gene expression. c-Fos has a molecular weight of about 55 kDa. You usually find c-Fos expressed in various tissues including the brain providing a marker for neuronal activity and is often induced in response to stimuli like stress growth factors and mitogens. In research settings c-Fos staining and c-Fos immunohistochemistry are techniques commonly used to study activation patterns in cells and tissues.
Biological function summary

C-Fos acts as part of the Activator Protein-1 (AP-1) complex a group of DNA-binding proteins that regulate gene transcription. This complex forms when c-Fos and Jun proteins dimerize. The AP-1 complex controls several cellular processes such as proliferation differentiation and apoptosis. Due to its participation in these vital processes c-Fos influences cellular responses to external stimuli and can affect how cells behave under stress.

Pathways

C-Fos significantly contributes to the MAPK/ERK pathway which plays a role in cell growth and differentiation. It partners with Jun proteins to form functional transcription factors within the MAPK signaling cascade. Additionally c-Fos is involved in the JNK signaling pathway linking it to stress responses and apoptosis. These pathways highlight the partnerships between c-Fos and other proteins like ERK and JNK indicating their intertwined roles in cellular signaling networks.

Researchers associate c-Fos with cancer and neurodegenerative diseases. In cancer c-Fos expression correlates with changes in AP-1 activity which can lead to altered cell growth and proliferation potentially contributing to tumor formation. Its involvement in neurodegenerative diseases reveals its role in neuron apoptosis and cellular stress responses. In these scenarios proteins like Bcl-2 also play a part with CDK1 sharing connections in processes that affect cell cycle and apoptosis illustrating c-Fos's broad significance in both normal and pathological conditions.

Product protocols

For this product, it's our understanding that no specific protocols are required. You can visit:

Target data

Nuclear phosphoprotein which forms a tight but non-covalently linked complex with the JUN/AP-1 transcription factor. In the heterodimer, FOS and JUN/AP-1 basic regions each seems to interact with symmetrical DNA half sites. On TGF-beta activation, forms a multimeric SMAD3/SMAD4/JUN/FOS complex at the AP1/SMAD-binding site to regulate TGF-beta-mediated signaling. Has a critical function in regulating the development of cells destined to form and maintain the skeleton. It is thought to have an important role in signal transduction, cell proliferation and differentiation. In growing cells, activates phospholipid synthesis, possibly by activating CDS1 and PI4K2A. This activity requires Tyr-dephosphorylation and association with the endoplasmic reticulum.
See full target information FOS phospho T232

Publications (4)

Recent publications for all applications. Explore the full list and refine your search

Journal of traditional Chinese medicine = Chung i tsa chih ying wen pan 44:448-457 PubMed38767628

2024

Optimized new Shengmai powder inhibits myocardial fibrosis in heart failure by regulating the rat sarcoma/rapidly accelerated fibrosarcoma/mitogen-activated protein kinase kinase/extracellular regulated protein kinases signaling pathway.

Applications

Unspecified application

Species

Unspecified reactive species

Zhang Zeyu,Jia Zhuangzhuang,Song Yuwei,Zhang Xuan,Wang Ci,Wang Shuai,Zhang Peipei,Ren Qiuan,Wang Xianliang,Mao Jingyuan

The Journal of neuroscience : the official journal of the Society for Neuroscience 44: PubMed38383499

2024

HERV-K (HML-2) Envelope Protein Induces Mitochondrial Depolarization and Neurotoxicity via Endolysosome Iron Dyshomeostasis.

Applications

Unspecified application

Species

Unspecified reactive species

Peter W Halcrow,Darius N K Quansah,Nirmal Kumar,Joseph P Steiner,Avindra Nath,Jonathan D Geiger

Cell biochemistry and function 41:857-867 PubMed37606071

2023

Xiebai Zengye decoction improves respiratory function and attenuates inflammation in juvenile rats with postinfection cough via regulating ERK signaling pathway.

Applications

Unspecified application

Species

Unspecified reactive species

Jing Luo,Yijue Deng,Yi Ding,Chenguang Tang,Mengqing Wang

Journal of cell science 135: PubMed35904007

2022

Bidirectional regulation between AP-1 and SUMOylation pathway genes modulates inflammatory signaling during Salmonella infection.

Applications

Unspecified application

Species

Unspecified reactive species

Pharvendra Kumar,Amarendranath Soory,Salman Ahmad Mustfa,Dipanka Tanu Sarmah,Himadri Devvanshi,Samrat Chatterjee,Guillaume Bossis,Girish S Ratnaparkhi,Chittur V Srikanth
View all publications

Product promise

We are committed to supporting your work with high-quality reagents, and we're here for you every step of the way. In the unlikely event that one of our products does not perform as expected, you're protected by our Product Promise.
For full details, please see our Terms & Conditions

Please note: All products are 'FOR RESEARCH USE ONLY. NOT FOR USE IN DIAGNOSTIC OR THERAPEUTIC PROCEDURES'.

For licensing inquiries, please contact partnerships@abcam.com