JavaScript is disabled in your browser. Please enable JavaScript to view this website.
AB280089

Anti-c-Jun antibody [3/Jun]

Be the first to review this product! Submit a review

|

(3 Publications)

Mouse Recombinant Monoclonal c-Jun antibody. Suitable for IHC-P, ICC/IF, WB and reacts with Mouse, Rat, Human samples. Cited in 3 publications.

View Alternative Names

Transcription factor Jun, Activator protein 1, Proto-oncogene c-Jun, Transcription factor AP-1 subunit Jun, V-jun avian sarcoma virus 17 oncogene homolog, p39, AP1, JUN

9 Images
Immunohistochemistry (Formalin/PFA-fixed paraffin-embedded sections) - Anti-c-Jun antibody [3/Jun] (AB280089)
  • IHC-P

Supplier Data

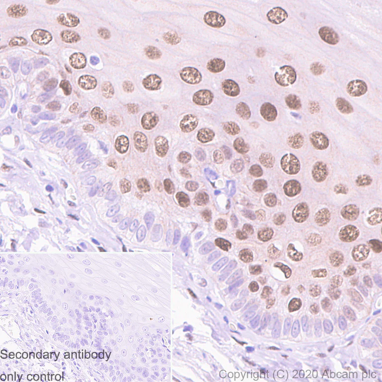
Immunohistochemistry (Formalin/PFA-fixed paraffin-embedded sections) - Anti-c-Jun antibody [3/Jun] (AB280089)

Immunohistochemical analysis of paraffin-embedded human esophagus tissue labeling c-Jun with ab280089 at 1/5000 (0.196 μg/ml) dilution followed by a ready to use Goat Anti-mouse IgG H&L (HRP polymer) (ab214879). Nuclear staining on human esophagus.

Counterstained with Hematoxylin.

Secondary antibody only control : Secondary antibody is ready to use Goat Anti-mouse IgG H&L (HRP polymer) (ab214879).

Heat mediated antigen retrieval using ab93678 (citrate buffer, pH 6.0).

Immunocytochemistry/ Immunofluorescence - Anti-c-Jun antibody [3/Jun] (AB280089)
  • ICC/IF

Supplier Data

Immunocytochemistry/ Immunofluorescence - Anti-c-Jun antibody [3/Jun] (AB280089)

Immunofluorescent analysis of 4% Paraformaldehyde-fixed, 0.1% Triton X-100 permeabilized MDA-MB-231 cells labelling c-Jun with ab280089 at 1/50 (19.56 μg/ml) dilution, followed by ab150113 Goat Anti-mouse IgG H&L (Alexa Fluor® 488) antibody at 1/1000 dilution (Green).

Confocal image showing nuclear staining in MDA-MB-231 cells.

Negative control : MCF7 (PMID : 24830720).

ab179513 Anti-beta Tubulin rabbit monoclonal antibody was used to counterstain tubulin at 1/200 dilution (Red). The nuclear counterstain was DAPI (Blue).

Negative control 1 : ab280089 at a 1/50 dilution followed by ab150080 at a 1/500 dilution.

Negative control 2 : ab179513 at a 1/200 dilution followed by ab150113 at a 1/1000 dilution.

Immunohistochemistry (Formalin/PFA-fixed paraffin-embedded sections) - Anti-c-Jun antibody [3/Jun] (AB280089)
  • IHC-P

Supplier Data

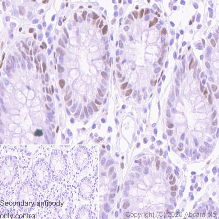
Immunohistochemistry (Formalin/PFA-fixed paraffin-embedded sections) - Anti-c-Jun antibody [3/Jun] (AB280089)

Immunohistochemical analysis of paraffin-embedded human colon tissue labeling c-Jun with ab280089 at 1/5000 (0.196 μg/ml) dilution followed by a ready to use Goat Anti-mouse IgG H&L (HRP polymer) (ab214879). Scattered nuclear staining on human colon.

Counterstained with Hematoxylin.

Secondary antibody only control : Secondary antibody is ready to use Goat Anti-mouse IgG H&L (HRP polymer) (ab214879).

Heat mediated antigen retrieval using ab93678 (citrate buffer, pH 6.0).

Immunohistochemistry (Formalin/PFA-fixed paraffin-embedded sections) - Anti-c-Jun antibody [3/Jun] (AB280089)
  • IHC-P

Supplier Data

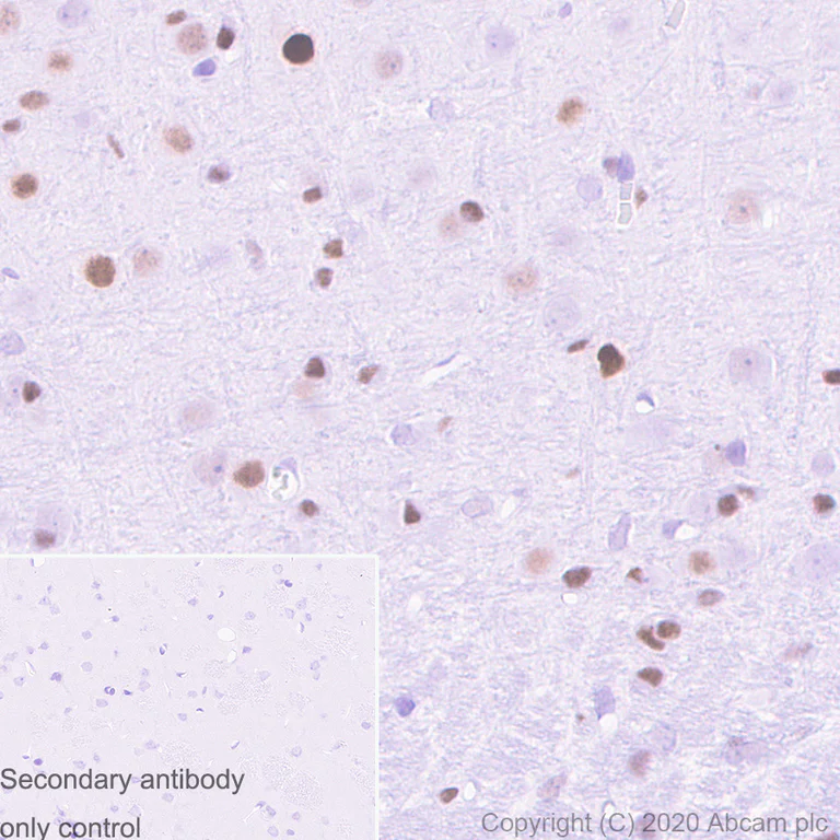
Immunohistochemistry (Formalin/PFA-fixed paraffin-embedded sections) - Anti-c-Jun antibody [3/Jun] (AB280089)

Immunohistochemical analysis of paraffin-embedded rat cerebrum tissue labeling c-Jun with ab280089 at 1/5000 (0.196 μg/ml) dilution followed by a ready to use Goat Anti-mouse IgG H&L (HRP polymer) (ab214879). Nuclear staining on rat cerebrum.

Counterstained with Hematoxylin.

Secondary antibody only control : Secondary antibody is ready to use Goat Anti-mouse IgG H&L (HRP polymer) (ab214879).

Heat mediated antigen retrieval using ab93678 (citrate buffer, pH 6.0).

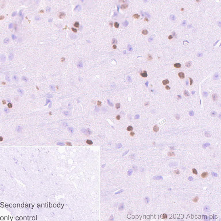
Immunohistochemistry (Formalin/PFA-fixed paraffin-embedded sections) - Anti-c-Jun antibody [3/Jun] (AB280089)
  • IHC-P

Supplier Data

Immunohistochemistry (Formalin/PFA-fixed paraffin-embedded sections) - Anti-c-Jun antibody [3/Jun] (AB280089)

Immunohistochemical analysis of paraffin-embedded mouse cerebrum tissue labeling c-Jun with ab280089 at 1/5000 (0.196 μg/ml) dilution followed by a ready to use Goat Anti-mouse IgG H&L (HRP polymer) (ab214879). Nuclear staining on mouse cerebrum.

Counterstained with Hematoxylin.

Secondary antibody only control : Secondary antibody is ready to use Goat Anti-mouse IgG H&L (HRP polymer) (ab214879).

Heat mediated antigen retrieval using ab93678 (citrate buffer, pH 6.0).

Immunohistochemistry (Formalin/PFA-fixed paraffin-embedded sections) - Anti-c-Jun antibody [3/Jun] (AB280089)
  • IHC-P

Supplier Data

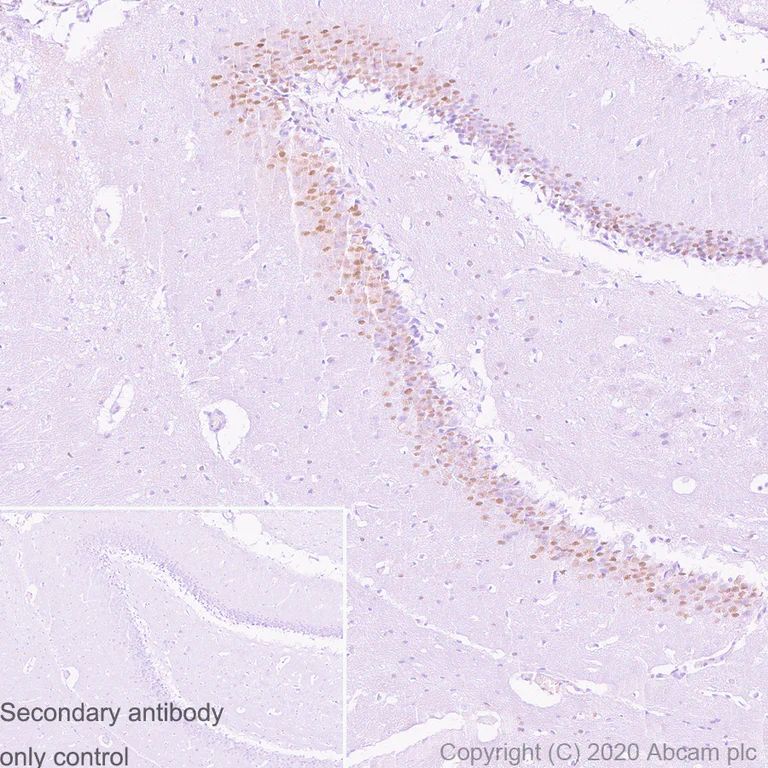
Immunohistochemistry (Formalin/PFA-fixed paraffin-embedded sections) - Anti-c-Jun antibody [3/Jun] (AB280089)

Immunohistochemical analysis of paraffin-embedded rat hippocampus tissue labeling c-Jun with ab280089 at 1/5000 (0.196 μg/ml) dilution followed by a ready to use Goat Anti-mouse IgG H&L (HRP polymer) (ab214879). Nuclear staining on the dentate gyrus of rat hippocampus.

Counterstained with Hematoxylin.

Secondary antibody only control : Secondary antibody is ready to use Goat Anti-mouse IgG H&L (HRP polymer) (ab214879).

Heat mediated antigen retrieval using ab93678 (citrate buffer, pH 6.0).

Immunohistochemistry (Formalin/PFA-fixed paraffin-embedded sections) - Anti-c-Jun antibody [3/Jun] (AB280089)
  • IHC-P

Supplier Data

Immunohistochemistry (Formalin/PFA-fixed paraffin-embedded sections) - Anti-c-Jun antibody [3/Jun] (AB280089)

Immunohistochemical analysis of paraffin-embedded mouse hippocampus tissue labeling c-Jun with ab280089 at 1/5000 (0.196 μg/ml) dilution followed by a ready to use Goat Anti-mouse IgG H&L (HRP polymer) (ab214879). Nuclear staining on the dentate gyrus of mouse hippocampus.

Counterstained with Hematoxylin.

Secondary antibody only control : Secondary antibody is ready to use Goat Anti-mouse IgG H&L (HRP polymer) (ab214879).

Heat mediated antigen retrieval using ab93678 (citrate buffer, pH 6.0).

Western blot - Anti-c-Jun antibody [3/Jun] (AB280089)
  • WB

Supplier Data

Western blot - Anti-c-Jun antibody [3/Jun] (AB280089)

Blocking/Dilution buffer : 5% NFDM/TBST.

The expression profile/ molecular weight observed is consistent with what has been described in the literature (PMID : 20976196).

Negative control : T-47D (PMID : 24830720).

Exposure time : lane 1 : 3 minutes
lane 2, 3 : 15 seconds
lane 4 : 37 seconds

All lanes:

Western blot - Anti-c-Jun antibody [3/Jun] (ab280089) at 1/1000 dilution

Lane 1:

HEK-293 (human embryonic kidney epithelial cell), whole cell lysate at 20 µg

Lane 2:

T-47D (human ductal breast epithelial tumor epithelial cell), whole cell lysate at 20 µg

Lane 3:

MDA-MB-231 (human breast adenocarcinoma epithelial cell), whole cell lysate at 20 µg

Secondary

All lanes:

Peroxidase-Conjugated Goat anti-Mouse IgG (H+L) at 1/10000 dilution

Predicted band size: 35 kDa

false

Western blot - Anti-c-Jun antibody [3/Jun] (AB280089)
  • WB

Supplier Data

Western blot - Anti-c-Jun antibody [3/Jun] (AB280089)

Lysates were made freshly and used in WB immediately to minimize protein degradation.

Blocking/Dilution buffer : 5% NFDM/TBST.

Exposure times : lane 1 : 3 mins;

lane 2, 3 : 15 secs;

lane 4 : 37 secs.

All lanes:

Western blot - Anti-c-Jun antibody [3/Jun] (ab280089) at 1/1000 dilution

Lane 1:

HeLa (human cervix adenocarcinoma epithelial cell ), whole cell lysate at 20 µg

Lane 2:

HEK-293 (human embryonic kidney epithelial cell), whole cell lysate at 20 µg

Lane 3:

NIH/3T3 (mouse embryonic fibroblast), whole cell lysate at 20 µg

Lane 4:

PC-12 (rat adrenal gland pheochromocytoma), whole cell lysate at 20 µg

Secondary

All lanes:

Peroxidase-Conjugated Goat anti-Mouse IgG (H+L) at 1/10000 dilution

Predicted band size: 35 kDa

false

  • Carrier free

    Anti-c-Jun antibody [3/Jun] - BSA and Azide free

Key facts

Host species

Mouse

Clonality

Monoclonal

Clone number

3/Jun

Isotype

IgG2a

Carrier free

No

Reacts with

Mouse, Rat, Human

Applications

WB, ICC/IF, IHC-P

applications

Immunogen

The exact immunogen used to generate this antibody is proprietary information.

Reactivity data

{ "title": "Reactivity Data", "filters": { "stats": ["", "Species", "Dilution Info", "Notes"], "tabs": { "all-applications": {"fullname" : "All Applications", "shortname": "All Applications"}, "IHCP" : {"fullname" : "Immunohistochemistry (Formalin/PFA-fixed paraffin-embedded sections)", "shortname":"IHC-P"}, "ICCIF" : {"fullname" : "Immunocytochemistry/ Immunofluorescence", "shortname":"ICC/IF"}, "IP" : {"fullname" : "Immunoprecipitation", "shortname":"IP"}, "WB" : {"fullname" : "Western blot", "shortname":"WB"} }, "product-promise": { "all": "all", "testedAndGuaranteed": "tested", "guaranteed": "expected", "predicted": "predicted", "notRecommended": "not-recommended" } }, "values": { "Human": { "IHCP-species-checked": "testedAndGuaranteed", "IHCP-species-dilution-info": "1/5000", "IHCP-species-notes": "<p></p> Perform heat-mediated antigen retrieval with citrate buffer pH 6 before commencing with IHC staining protocol.", "ICCIF-species-checked": "testedAndGuaranteed", "ICCIF-species-dilution-info": "1/50", "ICCIF-species-notes": "<p></p>", "IP-species-checked": "notRecommended", "IP-species-dilution-info": "", "IP-species-notes": "<p></p>", "WB-species-checked": "testedAndGuaranteed", "WB-species-dilution-info": "1/1000", "WB-species-notes": "<p></p>" }, "Mouse": { "IHCP-species-checked": "testedAndGuaranteed", "IHCP-species-dilution-info": "1/5000", "IHCP-species-notes": "<p></p> Perform heat-mediated antigen retrieval with citrate buffer pH 6 before commencing with IHC staining protocol.", "ICCIF-species-checked": "guaranteed", "ICCIF-species-dilution-info": "", "ICCIF-species-notes": "", "IP-species-checked": "notRecommended", "IP-species-dilution-info": "", "IP-species-notes": "", "WB-species-checked": "testedAndGuaranteed", "WB-species-dilution-info": "1/1000", "WB-species-notes": "<p></p>" }, "Rat": { "IHCP-species-checked": "testedAndGuaranteed", "IHCP-species-dilution-info": "1/5000", "IHCP-species-notes": "<p></p> Perform heat-mediated antigen retrieval with citrate buffer pH 6 before commencing with IHC staining protocol.", "ICCIF-species-checked": "guaranteed", "ICCIF-species-dilution-info": "", "ICCIF-species-notes": "", "IP-species-checked": "notRecommended", "IP-species-dilution-info": "", "IP-species-notes": "", "WB-species-checked": "testedAndGuaranteed", "WB-species-dilution-info": "1/1000", "WB-species-notes": "<p></p>" } } }

Product details

What are the advantages of a recombinant monoclonal antibody?
This product is a recombinant monoclonal antibody, which offers several advantages including:

  • - High batch-to-batch consistency and reproducibility
  • - Improved sensitivity and specificity
  • - Long-term security of supply
  • - Animal-free batch production

For more information, read more on recombinant antibodies.

Want a custom formulation?
This antibody clone is manufactured by Abcam. If you require a custom buffer formulation or conjugation for your experiments, please contact orders@abcam.com

Properties and storage information

Form
Liquid
Purification technique
Affinity purification Protein A
Storage buffer
Preservative: 0.01% Sodium azide Constituents: PBS, 40% Glycerol (glycerin, glycerine), 0.05% BSA
Shipped at conditions
Blue Ice
Appropriate short-term storage duration
1-2 weeks
Appropriate short-term storage conditions
+4°C
Appropriate long-term storage conditions
-20°C
Aliquoting information
Upon delivery aliquot
Storage information
Avoid freeze / thaw cycle

Supplementary information

This supplementary information is collated from multiple sources and compiled automatically.

The protein c-Jun is an important component of the AP-1 transcription factor complex and is often referred to by alternative names such as c-jun. It has a molecular weight of about 39 kDa. Scientists have found c-jun expressed in a wide range of tissues indicating its diverse roles in cellular functions. This protein plays a critical mechanical role by binding specific DNA sequences to regulate the transcription of various genes involved in cell proliferation and apoptosis.
Biological function summary

C-Jun impacts cellular activities by being a significant part of the AP-1 transcription factor complex interacting with other proteins such as Fos. This interaction allows c-Jun to modulate gene expression in response to cellular stimuli. In particular c-Jun influences cell cycle progression and differentiation. Therefore its activity is necessary for physiological and pathological processes. As c-jun's function remains tightly regulated any changes can have wide-ranging effects.

Pathways

C-Jun significantly influences the MAPK/ERK and JNK pathways. These pathways play important roles in cellular responses to stress growth factors and cytokines. Within these pathways c-Jun interacts with proteins such as JNK which phosphorylates c-Jun and enhances its activity. These interactions allow c-Jun to regulate target genes involved in important cellular processes without much delay. Understanding c-Jun's function in these pathways helps elucidate how cells control division survival and apoptosis.

C-Jun's dysregulation connects to various conditions including cancer and neurodegenerative diseases. Abnormal c-Jun activity can lead to oncogenesis by promoting unrestrained cellular proliferation. Additionally c-Jun involvement in disorders like Alzheimer's disease stems from its role in apoptotic pathways which may cause neuronal death. Accompanying proteins like JNK are also implicated in these conditions making the regulation and expression of c-Jun a focus for therapeutic research.

Product protocols

For this product, it's our understanding that no specific protocols are required. You can visit:

Target data

Transcription factor that recognizes and binds to the AP-1 consensus motif 5'-TGA[GC]TCA-3' (PubMed : 10995748, PubMed : 22083952). Heterodimerizes with proteins of the FOS family to form an AP-1 transcription complex, thereby enhancing its DNA binding activity to the AP-1 consensus sequence 5'-TGA[GC]TCA-3' and enhancing its transcriptional activity (By similarity). Together with FOSB, plays a role in activation-induced cell death of T cells by binding to the AP-1 promoter site of FASLG/CD95L, and inducing its transcription in response to activation of the TCR/CD3 signaling pathway (PubMed : 12618758). Promotes activity of NR5A1 when phosphorylated by HIPK3 leading to increased steroidogenic gene expression upon cAMP signaling pathway stimulation (PubMed : 17210646). Involved in activated KRAS-mediated transcriptional activation of USP28 in colorectal cancer (CRC) cells (PubMed : 24623306). Binds to the USP28 promoter in colorectal cancer (CRC) cells (PubMed : 24623306).. (Microbial infection) Upon Epstein-Barr virus (EBV) infection, binds to viral BZLF1 Z promoter and activates viral BZLF1 expression.
See full target information JUN

Publications (3)

Recent publications for all applications. Explore the full list and refine your search

Molecular medicine (Cambridge, Mass.) 31:136 PubMed40234753

2025

Acidosis regulates immune progression in rheumatoid arthritis by promoting the expression of cytokines and co-stimulatory molecules in synovial fibroblasts.

Applications

Unspecified application

Species

Unspecified reactive species

Xuewen Qian,Zhuoyan Zai,Yuemin Tao,Huifang Lv,Mengjia Hao,Longbiao Zhang,Xiaoyue Zhang,Yayun Xu,Yihao Zhang,Feihu Chen

BJOG : an international journal of obstetrics and gynaecology 132:107-119 PubMed39973029

2025

Effects of Gonadotropin-Releasing Hormone Analogues on Ovarian Function and Embryogenesis: A Cyclophosphamide-Induced Mouse Model Study.

Applications

Unspecified application

Species

Unspecified reactive species

Qiwang Lin,Mingzhu Cao,Zijin Xu,He Fei,Yunfeng Jin,Jianqiao Liu,Hua Jiang

Oncology reports 45: PubMed33846816

2021

Progesterone suppresses the progression of colonic carcinoma by increasing the activity of the GADD45α/JNK/c‑Jun signalling pathway.

Applications

Unspecified application

Species

Unspecified reactive species

Yao-Lei Zhang,Xu-Dong Wen,Xin Guo,Shang-Qing Huang,Ting-Ting Wang,Pei-Ting Zhou,Wei Li,Long-Fu Zhou,Yong-He Hu
View all publications

Product promise

We are committed to supporting your work with high-quality reagents, and we're here for you every step of the way. In the unlikely event that one of our products does not perform as expected, you're protected by our Product Promise.
For full details, please see our Terms & Conditions

Please note: All products are 'FOR RESEARCH USE ONLY. NOT FOR USE IN DIAGNOSTIC OR THERAPEUTIC PROCEDURES'.

For licensing inquiries, please contact partnerships@abcam.com