JavaScript is disabled in your browser. Please enable JavaScript to view this website.
AB131497

Anti-c-Jun antibody

Be the first to review this product! Submit a review

|

(3 Publications)

Rabbit Polyclonal c-Jun antibody. Suitable for WB, IHC-P, ICC/IF and reacts with Human samples. Cited in 3 publications. Immunogen corresponding to Synthetic Peptide within Human JUN aa 50-100.

View Alternative Names

Transcription factor Jun, Activator protein 1, Proto-oncogene c-Jun, Transcription factor AP-1 subunit Jun, V-jun avian sarcoma virus 17 oncogene homolog, p39, AP1, JUN

3 Images
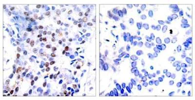
Immunohistochemistry (Formalin/PFA-fixed paraffin-embedded sections) - Anti-c-Jun antibody (AB131497)
  • IHC-P

Unknown

Immunohistochemistry (Formalin/PFA-fixed paraffin-embedded sections) - Anti-c-Jun antibody (AB131497)

Immunohistochemical analysis of paraffin-embedded Human breast carcinoma tissue using ab131497 at 1/50 dilution (left) and ab131497 preincubated with blocking peptide (right).

Immunocytochemistry/ Immunofluorescence - Anti-c-Jun antibody (AB131497)
  • ICC/IF

Unknown

Immunocytochemistry/ Immunofluorescence - Anti-c-Jun antibody (AB131497)

Immunofluorescence analysis of methanol fixed HeLa cells labelled with ab131497 at 1/100 dilution.

Western blot - Anti-c-Jun antibody (AB131497)
  • WB

Unknown

Western blot - Anti-c-Jun antibody (AB131497)

All lanes:

Western blot - Anti-c-Jun antibody (ab131497) at 1/500 dilution

Lane 1:

293 cell extract

Lane 2:

HeLa cell extract

Predicted band size: 35 kDa

false

Key facts

Host species

Rabbit

Clonality

Polyclonal

Isotype

IgG

Carrier free

No

Reacts with

Human

Applications

ICC/IF, IHC-P, WB

applications

Immunogen

Synthetic Peptide within Human JUN aa 50-100. The exact immunogen used to generate this antibody is proprietary information.

P05412

Reactivity data

{ "title": "Reactivity Data", "filters": { "stats": ["", "Species", "Dilution Info", "Notes"], "tabs": { "all-applications": {"fullname" : "All Applications", "shortname": "All Applications"}, "WB" : {"fullname" : "Western blot", "shortname":"WB"}, "IHCP" : {"fullname" : "Immunohistochemistry (Formalin/PFA-fixed paraffin-embedded sections)", "shortname":"IHC-P"}, "ICCIF" : {"fullname" : "Immunocytochemistry/ Immunofluorescence", "shortname":"ICC/IF"} }, "product-promise": { "all": "all", "testedAndGuaranteed": "tested", "guaranteed": "expected", "predicted": "predicted", "notRecommended": "not-recommended" } }, "values": { "Human": { "WB-species-checked": "testedAndGuaranteed", "WB-species-dilution-info": "1/500 - 1/1000", "WB-species-notes": "<p></p>", "IHCP-species-checked": "testedAndGuaranteed", "IHCP-species-dilution-info": "1/50 - 1/100", "IHCP-species-notes": "<p></p>", "ICCIF-species-checked": "testedAndGuaranteed", "ICCIF-species-dilution-info": "1/100 - 1/200", "ICCIF-species-notes": "<p></p>" } } }

Properties and storage information

Form
Liquid
Purification technique
Affinity purification Immunogen
Storage buffer
pH: 7.4 Preservative: 0.02% Sodium azide Constituents: PBS, 50% Glycerol (glycerin, glycerine), 0.88% Sodium chloride
Shipped at conditions
Blue Ice
Appropriate short-term storage conditions
+4°C
Appropriate long-term storage conditions
-20°C
Storage information
Stable for 12 months at -20°C

Supplementary information

This supplementary information is collated from multiple sources and compiled automatically.

The protein c-Jun is an important component of the AP-1 transcription factor complex and is often referred to by alternative names such as c-jun. It has a molecular weight of about 39 kDa. Scientists have found c-jun expressed in a wide range of tissues indicating its diverse roles in cellular functions. This protein plays a critical mechanical role by binding specific DNA sequences to regulate the transcription of various genes involved in cell proliferation and apoptosis.
Biological function summary

C-Jun impacts cellular activities by being a significant part of the AP-1 transcription factor complex interacting with other proteins such as Fos. This interaction allows c-Jun to modulate gene expression in response to cellular stimuli. In particular c-Jun influences cell cycle progression and differentiation. Therefore its activity is necessary for physiological and pathological processes. As c-jun's function remains tightly regulated any changes can have wide-ranging effects.

Pathways

C-Jun significantly influences the MAPK/ERK and JNK pathways. These pathways play important roles in cellular responses to stress growth factors and cytokines. Within these pathways c-Jun interacts with proteins such as JNK which phosphorylates c-Jun and enhances its activity. These interactions allow c-Jun to regulate target genes involved in important cellular processes without much delay. Understanding c-Jun's function in these pathways helps elucidate how cells control division survival and apoptosis.

C-Jun's dysregulation connects to various conditions including cancer and neurodegenerative diseases. Abnormal c-Jun activity can lead to oncogenesis by promoting unrestrained cellular proliferation. Additionally c-Jun involvement in disorders like Alzheimer's disease stems from its role in apoptotic pathways which may cause neuronal death. Accompanying proteins like JNK are also implicated in these conditions making the regulation and expression of c-Jun a focus for therapeutic research.

Product protocols

For this product, it's our understanding that no specific protocols are required. You can visit:

Target data

Transcription factor that recognizes and binds to the AP-1 consensus motif 5'-TGA[GC]TCA-3' (PubMed : 10995748, PubMed : 22083952). Heterodimerizes with proteins of the FOS family to form an AP-1 transcription complex, thereby enhancing its DNA binding activity to the AP-1 consensus sequence 5'-TGA[GC]TCA-3' and enhancing its transcriptional activity (By similarity). Together with FOSB, plays a role in activation-induced cell death of T cells by binding to the AP-1 promoter site of FASLG/CD95L, and inducing its transcription in response to activation of the TCR/CD3 signaling pathway (PubMed : 12618758). Promotes activity of NR5A1 when phosphorylated by HIPK3 leading to increased steroidogenic gene expression upon cAMP signaling pathway stimulation (PubMed : 17210646). Involved in activated KRAS-mediated transcriptional activation of USP28 in colorectal cancer (CRC) cells (PubMed : 24623306). Binds to the USP28 promoter in colorectal cancer (CRC) cells (PubMed : 24623306).. (Microbial infection) Upon Epstein-Barr virus (EBV) infection, binds to viral BZLF1 Z promoter and activates viral BZLF1 expression.
See full target information JUN

Publications (3)

Recent publications for all applications. Explore the full list and refine your search

Frontiers in pharmacology 12:729367 PubMed34776955

2021

ROS/JNK/C-Jun Pathway is Involved in Chaetocin Induced Colorectal Cancer Cells Apoptosis and Macrophage Phagocytosis Enhancement.

Applications

Unspecified application

Species

Unspecified reactive species

Huihui Wang,Chuangyu Wen,Siyu Chen,Weiqian Li,Qiyuan Qin,Lu He,Fang Wang,Junxiong Chen,Weibiao Ye,Wende Li,Junsheng Peng,Xiangling Yang,Huanliang Liu

Cancer science 112:1429-1442 PubMed33314480

2020

circ_100984-miR-432-3p axis regulated c-Jun/YBX-1/β-catenin feedback loop promotes bladder cancer progression.

Applications

Unspecified application

Species

Unspecified reactive species

Liang Tong,Huihui Yang,Wei Xiong,Guyu Tang,Xiongbing Zu,Lin Qi

JCI insight 2: PubMed28515366

2017

Experimental lupus is aggravated in mouse strains with impaired induction of neutrophil extracellular traps.

Applications

Unspecified application

Species

Unspecified reactive species

Deborah Kienhöfer,Jonas Hahn,Julia Stoof,Janka Zsófia Csepregi,Christiane Reinwald,Vilma Urbonaviciute,Caroline Johnsson,Christian Maueröder,Malgorzata J Podolska,Mona H Biermann,Moritz Leppkes,Thomas Harrer,Malin Hultqvist,Peter Olofsson,Luis E Munoz,Attila Mocsai,Martin Herrmann,Georg Schett,Rikard Holmdahl,Markus H Hoffmann
View all publications

Product promise

We are committed to supporting your work with high-quality reagents, and we're here for you every step of the way. In the unlikely event that one of our products does not perform as expected, you're protected by our Product Promise.
For full details, please see our Terms & Conditions

Please note: All products are 'FOR RESEARCH USE ONLY. NOT FOR USE IN DIAGNOSTIC OR THERAPEUTIC PROCEDURES'.

For licensing inquiries, please contact partnerships@abcam.com