JavaScript is disabled in your browser. Please enable JavaScript to view this website.
AB247284

Anti-c-Jun antibody [EP693Y] - BSA and Azide free

  • BOND RX™ Validated
  • RabMAb
  • Recombinant
  • KO Validated
  • What is this?

Be the first to review this product! Submit a review

|

(0 Publication)

Rabbit Recombinant Monoclonal c-Jun antibody. Carrier free. Suitable for IHC-P, ICC/IF, IP, WB, Flow Cyt (Intra) and reacts with Mouse, Rat, Human samples.

View Alternative Names

Transcription factor Jun, Activator protein 1, Proto-oncogene c-Jun, Transcription factor AP-1 subunit Jun, V-jun avian sarcoma virus 17 oncogene homolog, p39, AP1, JUN

10 Images
Immunocytochemistry/ Immunofluorescence - Anti-c-Jun antibody [EP693Y] - BSA and Azide free (AB247284)
  • ICC/IF

Lab

Immunocytochemistry/ Immunofluorescence - Anti-c-Jun antibody [EP693Y] - BSA and Azide free (AB247284)

This data was developed using ab40766, the same antibody clone in a different buffer formulation.

ab40766 staining c-Jun in wild-type HEK293 cells (top panel) and c-Jun knockout HEK293 cells (bottom panel). The cells were fixed with 100% methanol (5 min), permeabilized with 0.1% Triton X-100 for 5 minutes and then blocked with 1% BSA/10% normal goat serum/0.3M glycine in 0.1% PBS-Tween for 1h. The cells were then incubated with ab40766 at 1/250 dilution and ab7291 (Mouse monoclonal to alpha Tubulin) at 1/1000 dilution overnight at +4°C, followed by a further incubation at room temperature for 1h with a goat secondary antibody to rabbit IgG (Alexa Fluor® 488) (ab150081) at 2 μg/ml (shown in green) and a goat secondary antibody to mouse IgG (Alexa Fluor® 594) (ab150120) at 2 μg/ml (shown in pseudo color red). Nuclear DNA was labelled in blue with DAPI.

Image was taken with a high-content analysis system (Perkin Elmer, Operetta CLS™).

Flow Cytometry (Intracellular) - Anti-c-Jun antibody [EP693Y] - BSA and Azide free (AB247284)
  • Flow Cyt (Intra)

Lab

Flow Cytometry (Intracellular) - Anti-c-Jun antibody [EP693Y] - BSA and Azide free (AB247284)

This data was developed using ab40766, the same antibody clone in a different buffer formulation.Intracellular Flow Cytometry analysis of HEK-293 (Human embryonic kidney epithelial cell) cells labeling c-Jun with Purified ab247284 at 1/20 dilution (10μg/ml) (Red). Cells were fixed with 4% Paraformaldehyde and permeabilised with 90% Methanol. A Goat anti rabbit IgG (Alexa Fluor® 488, ab150077) secondary antibody was used at 1/2000. Isotype control - Rabbit monoclonal IgG (Black). Unlabeled control - Cell without incubation with primary antibody and secondary antibody (Blue).

Immunocytochemistry/ Immunofluorescence - Anti-c-Jun antibody [EP693Y] - BSA and Azide free (AB247284)
  • ICC/IF

Unknown

Immunocytochemistry/ Immunofluorescence - Anti-c-Jun antibody [EP693Y] - BSA and Azide free (AB247284)

This data was developed using ab40766, the same antibody clone in a different buffer formulation.Immunofluorescent staining of HeLa cells
ab40766 at 1/100 dilution

Immunohistochemistry (Formalin/PFA-fixed paraffin-embedded sections) - Anti-c-Jun antibody [EP693Y] - BSA and Azide free (AB247284)
  • IHC-P

Lab

Immunohistochemistry (Formalin/PFA-fixed paraffin-embedded sections) - Anti-c-Jun antibody [EP693Y] - BSA and Azide free (AB247284)

This data was developed using ab40766, the same antibody clone in a different buffer formulation.
Immunohistochemistry (Formalin/PFA-fixed paraffin-embedded sections) analysis of human cervix carcinoma tissue sections labeling c-Jun with Purified ab247284 at 1 : 500 dilution (0.41 μg/ml). Heat mediated antigen retrieval using Bond™ Epitope Retrieval Solution 2 (pH 9.0). Rabbit specific IHC polymer detection kit HRP/DAB (ab209101) was used as the secondary antibody. Negative control : PBS instead of the primary antibody. Hematoxylin was used as a counterstain. The immunostaining was performed on a Leica Biosystems BOND® RX instrument.

Immunohistochemistry (Formalin/PFA-fixed paraffin-embedded sections) - Anti-c-Jun antibody [EP693Y] - BSA and Azide free (AB247284)
  • IHC-P

Lab

Immunohistochemistry (Formalin/PFA-fixed paraffin-embedded sections) - Anti-c-Jun antibody [EP693Y] - BSA and Azide free (AB247284)

This data was developed using ab40766, the same antibody clone in a different buffer formulation.
Immunohistochemistry (Formalin/PFA-fixed paraffin-embedded sections) analysis of mouse cerebrum tissue sections labeling c-Jun with Purified ab247284 at 1 : 500 dilution (0.41 μg/ml). Heat mediated antigen retrieval using Bond™ Epitope Retrieval Solution 2 (pH 9.0). Rabbit specific IHC polymer detection kit HRP/DAB (ab209101) was used as the secondary antibody. Negative control : PBS instead of the primary antibody. Hematoxylin was used as a counterstain. The immunostaining was performed on a Leica Biosystems BOND® RX instrument.

Immunocytochemistry/ Immunofluorescence - Anti-c-Jun antibody [EP693Y] - BSA and Azide free (AB247284)
  • ICC/IF

Lab

Immunocytochemistry/ Immunofluorescence - Anti-c-Jun antibody [EP693Y] - BSA and Azide free (AB247284)

This data was developed using ab40766, the same antibody clone in a different buffer formulation.
Immunocytochemistry analysis of NIH/3T3 (Mouse embryonic fibroblast) cells labeling c-Jun with Purified ab247284 at 1 : 50 dilution (4.06 ?g/ml). Cells were fixed in 4% Paraformaldehyde and permeabilized with 0.1% tritonX-100. Cells were counterstained with ab195889 Anti-alpha Tubulin antibody [DM1A] - Microtubule Marker (Alexa Fluor® 594) 1 : 200 (2.5 μg/ml). Goat anti rabbit IgG (Alexa Fluor® 488, ab150077) was used as the secondary antibody at 1 : 1000 (2 μg/ml) dilution. DAPI (blue) was used as nuclear counterstain. PBS instead of the primary antibody was used as the secondary antibody only control.

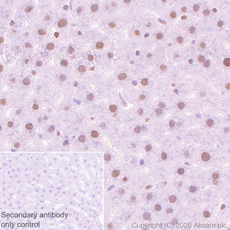
Immunohistochemistry (Formalin/PFA-fixed paraffin-embedded sections) - Anti-c-Jun antibody [EP693Y] - BSA and Azide free (AB247284)
  • IHC-P

Lab

Immunohistochemistry (Formalin/PFA-fixed paraffin-embedded sections) - Anti-c-Jun antibody [EP693Y] - BSA and Azide free (AB247284)

This data was developed using ab40766, the same antibody clone in a different buffer formulation.
Immunohistochemistry (Formalin/PFA-fixed paraffin-embedded sections) analysis of rat liver tissue sections labeling c-Jun with Purified ab247284 at 1 : 500 dilution (0.41 μg/ml). Heat mediated antigen retrieval using Bond™ Epitope Retrieval Solution 2 (pH 9.0). Rabbit specific IHC polymer detection kit HRP/DAB (ab209101) was used as the secondary antibody. Negative control : PBS instead of the primary antibody. Hematoxylin was used as a counterstain. The immunostaining was performed on a Leica Biosystems BOND® RX instrument.

Western blot - Anti-c-Jun antibody [EP693Y] - BSA and Azide free (AB247284)
  • WB

Lab

Western blot - Anti-c-Jun antibody [EP693Y] - BSA and Azide free (AB247284)

This data was developed using ab40766, the same antibody clone in a different buffer formulation.

Lanes 1 - 2 : Merged signal (red and green). Green - ab40766 observed at 35 kDa. Red - loading control, ab18058, observed at 130 kDa.

ab40766 was shown to specifically react with Jun in wild-type HEK-293 cells as signal was lost in Jun knockout cells. Wild-type and Jun knockout samples were subjected to SDS-PAGE. The membrane was blocked with 3% Milk. ab40766 and ab18058 (Mouse anti-Vinculin loading control) were incubated overnight at 4°C at 1/1000 dilution and 1/10000 dilution respectively. Blots were developed with Goat anti-Rabbit IgG H&L (IRDye® 800CW) preabsorbed ab216773 and Goat anti-Mouse IgG H&L (IRDye® 680RD) preabsorbed ab216776 secondary antibodies at 1/10000 dilution for 1 hour at room temperature before imaging.

All lanes:

Western blot - Anti-c-Jun antibody [EP693Y] (<a href='/en-us/products/primary-antibodies/c-jun-antibody-ep693y-ab40766'>ab40766</a>) at 1/1000 dilution

Lane 1:

Wild-type HEK-293 (Human epithelial cell line from embryonic kidney) whole cell lysate at 40 µg

Lane 2:

Jun knockout HEK-293 (Human epithelial cell line from embryonic kidney) whole cell lysate at 40 µg

Lane 2:

Western blot - Human JUN (c-Jun) knockout HEK-293 cell line (<a href='/en-us/products/cell-lines/human-jun-c-jun-knockout-hek-293-cell-line-ab260862'>ab260862</a>)

Predicted band size: 35 kDa

false

Immunoprecipitation - Anti-c-Jun antibody [EP693Y] - BSA and Azide free (AB247284)
  • IP

Lab

Immunoprecipitation - Anti-c-Jun antibody [EP693Y] - BSA and Azide free (AB247284)

This data was developed using ab40766, the same antibody clone in a different buffer formulation.
Purified ab40766 at 1/20 dilution (1μg) immunoprecipitating c-Jun in NIH/3T3 whole cell lysate.
Lane 1 (input) : NIH/3T3 (Mouse embryonic fibroblast) whole cell lysate 10μg
Lane 2 (+) : ab40766 + NIH/3T3 whole cell lysate.
Lane 3 (-) : Rabbit monoclonal IgG (ab172730) instead of ab40766 in NIH/3T3 whole cell lysate.
VeriBlot for IP Detection Reagent (HRP) (ab131366) (1/1000 dilution) was used for Western blotting.
Blocking Buffer and concentration : 5% NFDM/TBST.
Diluting buffer and concentration : 5% NFDM/TBST.
Observed band size : 39 kDa

All lanes:

Immunoprecipitation - Anti-c-Jun antibody [EP693Y] (<a href='/en-us/products/primary-antibodies/c-jun-antibody-ep693y-ab40766'>ab40766</a>)

Predicted band size: 35 kDa

false

Western blot - Anti-c-Jun antibody [EP693Y] - BSA and Azide free (AB247284)
  • WB

Unknown

Western blot - Anti-c-Jun antibody [EP693Y] - BSA and Azide free (AB247284)

This data was developed using ab40766, the same antibody clone in a different buffer formulation.

Blocking Buffer and concentration : 5% NFDM/TBST

All lanes:

Western blot - Anti-c-Jun antibody [EP693Y] (<a href='/en-us/products/primary-antibodies/c-jun-antibody-ep693y-ab40766'>ab40766</a>) at 1/1000 dilution

Lane 1:

HEK-293 (Human embryonic kidney epithelial cell) whole cell lysate at 15 µg

Lane 2:

NIH/3T3 (Mouse embryonic fibroblast) whole cell lysate at 15 µg

Lane 3:

PC-12 (Rat adrenal gland pheochromocytoma ) whole cell lysate at 15 µg

Secondary

All lanes:

Western blot - Goat Anti-Rabbit IgG H&L (HRP) (<a href='/en-us/products/secondary-antibodies/goat-rabbit-igg-h-l-hrp-ab97051'>ab97051</a>) at 1/20000 dilution

Predicted band size: 35 kDa

Observed band size: 39 kDa

false

Key facts

Host species

Rabbit

Clonality

Monoclonal

Clone number

EP693Y

Isotype

IgG

Carrier free

Yes

Reacts with

Mouse, Rat, Human

Applications

Flow Cyt (Intra), WB, IHC-P, IP, ICC/IF

applications

Immunogen

The exact immunogen used to generate this antibody is proprietary information.

Specificity

PBS only lot tested.

Reactivity data

{ "title": "Reactivity Data", "filters": { "stats": ["", "Species", "Dilution Info", "Notes"], "tabs": { "all-applications": {"fullname" : "All Applications", "shortname": "All Applications"}, "IHCP" : {"fullname" : "Immunohistochemistry (Formalin/PFA-fixed paraffin-embedded sections)", "shortname":"IHC-P"}, "ICCIF" : {"fullname" : "Immunocytochemistry/ Immunofluorescence", "shortname":"ICC/IF"}, "IP" : {"fullname" : "Immunoprecipitation", "shortname":"IP"}, "WB" : {"fullname" : "Western blot", "shortname":"WB"}, "FlowCytIntra" : {"fullname" : "Flow Cytometry (Intracellular)", "shortname":"Flow Cyt (Intra)"} }, "product-promise": { "all": "all", "testedAndGuaranteed": "tested", "guaranteed": "expected", "predicted": "predicted", "notRecommended": "not-recommended" } }, "values": { "Human": { "IHCP-species-checked": "testedAndGuaranteed", "IHCP-species-dilution-info": "", "IHCP-species-notes": "<p></p>", "ICCIF-species-checked": "testedAndGuaranteed", "ICCIF-species-dilution-info": "", "ICCIF-species-notes": "<p></p>", "IP-species-checked": "guaranteed", "IP-species-dilution-info": "", "IP-species-notes": "", "WB-species-checked": "testedAndGuaranteed", "WB-species-dilution-info": "", "WB-species-notes": "<p></p>", "FlowCytIntra-species-checked": "testedAndGuaranteed", "FlowCytIntra-species-dilution-info": "", "FlowCytIntra-species-notes": "<p></p>" }, "Mouse": { "IHCP-species-checked": "testedAndGuaranteed", "IHCP-species-dilution-info": "", "IHCP-species-notes": "<p></p>", "ICCIF-species-checked": "testedAndGuaranteed", "ICCIF-species-dilution-info": "", "ICCIF-species-notes": "<p></p>", "IP-species-checked": "testedAndGuaranteed", "IP-species-dilution-info": "", "IP-species-notes": "<p></p>", "WB-species-checked": "testedAndGuaranteed", "WB-species-dilution-info": "", "WB-species-notes": "<p></p>", "FlowCytIntra-species-checked": "guaranteed", "FlowCytIntra-species-dilution-info": "", "FlowCytIntra-species-notes": "" }, "Rat": { "IHCP-species-checked": "testedAndGuaranteed", "IHCP-species-dilution-info": "", "IHCP-species-notes": "<p></p>", "ICCIF-species-checked": "guaranteed", "ICCIF-species-dilution-info": "", "ICCIF-species-notes": "", "IP-species-checked": "guaranteed", "IP-species-dilution-info": "", "IP-species-notes": "", "WB-species-checked": "testedAndGuaranteed", "WB-species-dilution-info": "", "WB-species-notes": "<p></p>", "FlowCytIntra-species-checked": "guaranteed", "FlowCytIntra-species-dilution-info": "", "FlowCytIntra-species-notes": "" } } }

Product details

ab247284 is the carrier-free version of ab40766.

Species reactivity
Mouse, Rat: We have preliminary internal testing data to indicate this antibody may not react with these species.
Please contact us for more information.

Patented technology
Our RabMAb® technology is a patented hybridoma-based technology for making rabbit monoclonal antibodies. For details on our patents, please refer to RabMAb® patents.

What are the advantages of a recombinant monoclonal antibody?
This product is a recombinant monoclonal antibody, which offers several advantages including:

  • - High batch-to-batch consistency and reproducibility
  • - Improved sensitivity and specificity
  • - Long-term security of supply
  • - Animal-free batch production

For more information, read more on recombinant antibodies.

Conjugation ready
Our carrier-free antibodies are typically supplied in a PBS-only formulation, purified and free of BSA, sodium azide and glycerol. This conjugation-ready format is designed for use with fluorochromes, metal isotopes, oligonucleotides, and enzymes, which makes them ideal for antibody labelling, functional and cell-based assays, flow-based assays (e.g. mass cytometry) and Multiplex Imaging applications.

Use our conjugation kits for antibody conjugates that are ready-to-use in as little as 20 minutes with 1 minute hands-on-time and 100% antibody recovery: available for fluorescent dyes, HRP, biotin and gold.

Compatibility
This product is compatible with the Maxpar® Antibody Labeling Kit from Fluidigm, without the need for antibody preparation. Maxpar® is a trademark of Fluidigm Canada Inc.

Properties and storage information

Form
Liquid
Purification technique
Affinity purification Protein A
Storage buffer
pH: 7.2 - 7.4 Constituents: PBS
Shipped at conditions
Blue Ice
Appropriate short-term storage conditions
+4°C
Appropriate long-term storage conditions
+4°C
Storage information
Do Not Freeze

Supplementary information

This supplementary information is collated from multiple sources and compiled automatically.

The protein c-Jun is an important component of the AP-1 transcription factor complex and is often referred to by alternative names such as c-jun. It has a molecular weight of about 39 kDa. Scientists have found c-jun expressed in a wide range of tissues indicating its diverse roles in cellular functions. This protein plays a critical mechanical role by binding specific DNA sequences to regulate the transcription of various genes involved in cell proliferation and apoptosis.
Biological function summary

C-Jun impacts cellular activities by being a significant part of the AP-1 transcription factor complex interacting with other proteins such as Fos. This interaction allows c-Jun to modulate gene expression in response to cellular stimuli. In particular c-Jun influences cell cycle progression and differentiation. Therefore its activity is necessary for physiological and pathological processes. As c-jun's function remains tightly regulated any changes can have wide-ranging effects.

Pathways

C-Jun significantly influences the MAPK/ERK and JNK pathways. These pathways play important roles in cellular responses to stress growth factors and cytokines. Within these pathways c-Jun interacts with proteins such as JNK which phosphorylates c-Jun and enhances its activity. These interactions allow c-Jun to regulate target genes involved in important cellular processes without much delay. Understanding c-Jun's function in these pathways helps elucidate how cells control division survival and apoptosis.

C-Jun's dysregulation connects to various conditions including cancer and neurodegenerative diseases. Abnormal c-Jun activity can lead to oncogenesis by promoting unrestrained cellular proliferation. Additionally c-Jun involvement in disorders like Alzheimer's disease stems from its role in apoptotic pathways which may cause neuronal death. Accompanying proteins like JNK are also implicated in these conditions making the regulation and expression of c-Jun a focus for therapeutic research.

Product protocols

For this product, it's our understanding that no specific protocols are required. You can visit:

Target data

Transcription factor that recognizes and binds to the AP-1 consensus motif 5'-TGA[GC]TCA-3' (PubMed : 10995748, PubMed : 22083952). Heterodimerizes with proteins of the FOS family to form an AP-1 transcription complex, thereby enhancing its DNA binding activity to the AP-1 consensus sequence 5'-TGA[GC]TCA-3' and enhancing its transcriptional activity (By similarity). Together with FOSB, plays a role in activation-induced cell death of T cells by binding to the AP-1 promoter site of FASLG/CD95L, and inducing its transcription in response to activation of the TCR/CD3 signaling pathway (PubMed : 12618758). Promotes activity of NR5A1 when phosphorylated by HIPK3 leading to increased steroidogenic gene expression upon cAMP signaling pathway stimulation (PubMed : 17210646). Involved in activated KRAS-mediated transcriptional activation of USP28 in colorectal cancer (CRC) cells (PubMed : 24623306). Binds to the USP28 promoter in colorectal cancer (CRC) cells (PubMed : 24623306).. (Microbial infection) Upon Epstein-Barr virus (EBV) infection, binds to viral BZLF1 Z promoter and activates viral BZLF1 expression.
See full target information JUN

Product promise

We are committed to supporting your work with high-quality reagents, and we're here for you every step of the way. In the unlikely event that one of our products does not perform as expected, you're protected by our Product Promise.
For full details, please see our Terms & Conditions

Please note: All products are 'FOR RESEARCH USE ONLY. NOT FOR USE IN DIAGNOSTIC OR THERAPEUTIC PROCEDURES'.

For licensing inquiries, please contact partnerships@abcam.com