JavaScript is disabled in your browser. Please enable JavaScript to view this website.
AB13671

Anti-c-Jun (phospho T91 + T93) antibody [C-J 4C4]

Be the first to review this product! Submit a review

|

(7 Publications)

Mouse Monoclonal c-Jun phospho T91 + T93 antibody. Suitable for ICC/IF, IHC-P and reacts with Human samples. Cited in 7 publications. Immunogen corresponding to Recombinant Full Length Protein corresponding to Human JUN phospho T91 + T93.

View Alternative Names

Transcription factor Jun, Activator protein 1, Proto-oncogene c-Jun, Transcription factor AP-1 subunit Jun, V-jun avian sarcoma virus 17 oncogene homolog, p39, AP1, JUN

2 Images
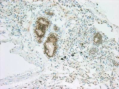
Immunohistochemistry (Formalin/PFA-fixed paraffin-embedded sections) - Anti-c-Jun (phospho T91 + T93) antibody [C-J 4C4] (AB13671)
  • IHC-P

Unknown

Immunohistochemistry (Formalin/PFA-fixed paraffin-embedded sections) - Anti-c-Jun (phospho T91 + T93) antibody [C-J 4C4] (AB13671)

IHC image of c-Jun (phospho T91 + T93) staining in Human normal lung formalin fixed paraffin embedded tissue section, performed on a Leica BondTM system using the standard protocol F. The section was pre-treated using heat mediated antigen retrieval with sodium citrate buffer (pH6, epitope retrieval solution 1) for 20 mins. The section was then incubated with ab13671, 5μg/ml, for 15 mins at room temperature and detected using an HRP conjugated compact polymer system. DAB was used as the chromogen. The section was then counterstained with haematoxylin and mounted with DPX.

For other IHC staining systems (automated and non-automated) customers should optimize variable parameters such as antigen retrieval conditions, primary antibody concentration and antibody incubation times.

Immunocytochemistry/ Immunofluorescence - Anti-c-Jun (phospho T91 + T93) antibody [C-J 4C4] (AB13671)
  • ICC/IF

Unknown

Immunocytochemistry/ Immunofluorescence - Anti-c-Jun (phospho T91 + T93) antibody [C-J 4C4] (AB13671)

ICC/IF image of ab13617 stained HeLa cells. The cells were 4% formaldehyde fixed (10 min) and then incubated in 1%BSA / 10% normal goat serum / 0.3M glycine in 0.1% PBS-Tween for 1h to permeabilise the cells and block non-specific protein-protein interactions. The cells were then incubated with the antibody (ab13617, 1µg/ml) overnight at +4°C. The secondary antibody (green) was Alexa Fluor® 488 goat anti-mouse IgG (H+L) used at a 1/1000 dilution for 1h. Alexa Fluor® 594 WGA was used to label plasma membranes (red) at a 1/200 dilution for 1h. DAPI was used to stain the cell nuclei (blue) at a concentration of 1.43µM.

Key facts

Host species

Mouse

Clonality

Monoclonal

Clone number

C-J 4C4

Isotype

IgG1

Carrier free

No

Reacts with

Human

Applications

IHC-P, ICC/IF

applications

Immunogen

Recombinant Full Length Protein corresponding to Human JUN phospho T91 + T93.

P05412

Reactivity data

{ "title": "Reactivity Data", "filters": { "stats": ["", "Species", "Dilution Info", "Notes"], "tabs": { "all-applications": {"fullname" : "All Applications", "shortname": "All Applications"}, "ICCIF" : {"fullname" : "Immunocytochemistry/ Immunofluorescence", "shortname":"ICC/IF"}, "IHCP" : {"fullname" : "Immunohistochemistry (Formalin/PFA-fixed paraffin-embedded sections)", "shortname":"IHC-P"} }, "product-promise": { "all": "all", "testedAndGuaranteed": "tested", "guaranteed": "expected", "predicted": "predicted", "notRecommended": "not-recommended" } }, "values": { "Human": { "ICCIF-species-checked": "testedAndGuaranteed", "ICCIF-species-dilution-info": "1 µg/mL", "ICCIF-species-notes": "<p></p>", "IHCP-species-checked": "testedAndGuaranteed", "IHCP-species-dilution-info": "5 µg/mL", "IHCP-species-notes": "<p></p>" } } }

Properties and storage information

Form
Liquid
Purification technique
Affinity purification Protein A/G
Storage buffer
Preservative: 0.02% Sodium azide Constituents: PBS
Shipped at conditions
Blue Ice
Appropriate short-term storage duration
1-2 weeks
Appropriate short-term storage conditions
+4°C
Appropriate long-term storage conditions
-20°C
Aliquoting information
Upon delivery aliquot
Storage information
Avoid freeze / thaw cycle

Supplementary information

This supplementary information is collated from multiple sources and compiled automatically.

The protein c-Jun is an important component of the AP-1 transcription factor complex and is often referred to by alternative names such as c-jun. It has a molecular weight of about 39 kDa. Scientists have found c-jun expressed in a wide range of tissues indicating its diverse roles in cellular functions. This protein plays a critical mechanical role by binding specific DNA sequences to regulate the transcription of various genes involved in cell proliferation and apoptosis.
Biological function summary

C-Jun impacts cellular activities by being a significant part of the AP-1 transcription factor complex interacting with other proteins such as Fos. This interaction allows c-Jun to modulate gene expression in response to cellular stimuli. In particular c-Jun influences cell cycle progression and differentiation. Therefore its activity is necessary for physiological and pathological processes. As c-jun's function remains tightly regulated any changes can have wide-ranging effects.

Pathways

C-Jun significantly influences the MAPK/ERK and JNK pathways. These pathways play important roles in cellular responses to stress growth factors and cytokines. Within these pathways c-Jun interacts with proteins such as JNK which phosphorylates c-Jun and enhances its activity. These interactions allow c-Jun to regulate target genes involved in important cellular processes without much delay. Understanding c-Jun's function in these pathways helps elucidate how cells control division survival and apoptosis.

C-Jun's dysregulation connects to various conditions including cancer and neurodegenerative diseases. Abnormal c-Jun activity can lead to oncogenesis by promoting unrestrained cellular proliferation. Additionally c-Jun involvement in disorders like Alzheimer's disease stems from its role in apoptotic pathways which may cause neuronal death. Accompanying proteins like JNK are also implicated in these conditions making the regulation and expression of c-Jun a focus for therapeutic research.

Product protocols

For this product, it's our understanding that no specific protocols are required. You can visit:

Target data

Transcription factor that recognizes and binds to the AP-1 consensus motif 5'-TGA[GC]TCA-3' (PubMed : 10995748, PubMed : 22083952). Heterodimerizes with proteins of the FOS family to form an AP-1 transcription complex, thereby enhancing its DNA binding activity to the AP-1 consensus sequence 5'-TGA[GC]TCA-3' and enhancing its transcriptional activity (By similarity). Together with FOSB, plays a role in activation-induced cell death of T cells by binding to the AP-1 promoter site of FASLG/CD95L, and inducing its transcription in response to activation of the TCR/CD3 signaling pathway (PubMed : 12618758). Promotes activity of NR5A1 when phosphorylated by HIPK3 leading to increased steroidogenic gene expression upon cAMP signaling pathway stimulation (PubMed : 17210646). Involved in activated KRAS-mediated transcriptional activation of USP28 in colorectal cancer (CRC) cells (PubMed : 24623306). Binds to the USP28 promoter in colorectal cancer (CRC) cells (PubMed : 24623306).. (Microbial infection) Upon Epstein-Barr virus (EBV) infection, binds to viral BZLF1 Z promoter and activates viral BZLF1 expression.
See full target information JUN phospho T91 + T93

Publications (7)

Recent publications for all applications. Explore the full list and refine your search

The Journal of physiology 602:4959-4985 PubMed39197117

2024

Jun-activated SOCS1 enhances ubiquitination and degradation of CCAAT/enhancer-binding protein β to ameliorate cerebral ischaemia/reperfusion injury.

Applications

Unspecified application

Species

Unspecified reactive species

Chuan He,Tie Wang,Yanwu Han,Changyang Zuo,Guangming Wang

Cell death & disease 8:e3140 PubMed29072705

2017

MicroRNA-145 attenuates TNF-α-driven cartilage matrix degradation in osteoarthritis via direct suppression of MKK4.

Applications

IHC-P

Species

Human

Guoli Hu,Xiaoying Zhao,Chuandong Wang,Yiyun Geng,Jingyu Zhao,Jiajia Xu,Bin Zuo,Chen Zhao,Chenglong Wang,Xiaoling Zhang

Oncogene 31:4718-24 PubMed22266871

2012

Inhibition of Gli1 results in altered c-Jun activation, inhibition of cisplatin-induced upregulation of ERCC1, XPD and XRCC1, and inhibition of platinum-DNA adduct repair.

Applications

Unspecified application

Species

Human

K Kudo,E Gavin,S Das,L Amable,L A Shevde,E Reed

Oncogene 29:978-91 PubMed19935718

2009

c-Jun activation is required for 4-hydroxytamoxifen-induced cell death in breast cancer cells.

Applications

WB

Species

Human

A Madeo,M Vinciguerra,R Lappano,M Galgani,A Gasperi-Campani,M Maggiolini,A M Musti

FASEB journal : official publication of the Federa 22:2723-33 PubMed18474546

2008

Diesel exhaust particles induce oxidative stress, proinflammatory signaling, and P-glycoprotein up-regulation at the blood-brain barrier.

Applications

Unspecified application

Species

Unspecified reactive species

Anika M S Hartz,Björn Bauer,Michelle L Block,Jau-Shyong Hong,David S Miller

The international journal of biochemistry & cell biology 40:307-16 PubMed17920329

2007

Negative charged threonine 95 of c-Jun is essential for c-Jun N-terminal kinase-dependent phosphorylation of threonine 91/93 and stress-induced c-Jun biological activity.

Applications

Unspecified application

Species

Unspecified reactive species

Maria Vinciguerra,Ilaria Esposito,Salvatore Salzano,Antonio Madeo,Georg Nagel,Marcello Maggiolini,Adriana Gallo,Anna Maria Musti

Science (New York, N.Y.) 303:1374-8 PubMed14739463

2004

The ubiquitin ligase SCFFbw7 antagonizes apoptotic JNK signaling.

Applications

Unspecified application

Species

Unspecified reactive species

Abdolrahman S Nateri,Lluís Riera-Sans,Clive Da Costa,Axel Behrens
View all publications

Product promise

We are committed to supporting your work with high-quality reagents, and we're here for you every step of the way. In the unlikely event that one of our products does not perform as expected, you're protected by our Product Promise.
For full details, please see our Terms & Conditions

Please note: All products are 'FOR RESEARCH USE ONLY. NOT FOR USE IN DIAGNOSTIC OR THERAPEUTIC PROCEDURES'.

For licensing inquiries, please contact partnerships@abcam.com