JavaScript is disabled in your browser. Please enable JavaScript to view this website.
AB114992

Anti-c-Kit antibody

Be the first to review this product! Submit a review

|

(2 Publications)

Rabbit Polyclonal c-Kit antibody. Suitable for IHC-P, IP, WB and reacts with Human samples. Cited in 2 publications. Immunogen corresponding to Synthetic Peptide within Human KIT aa 900 to C-terminus.

View Alternative Names

CD117, SCFR, KIT, Mast/stem cell growth factor receptor Kit, Piebald trait protein, Proto-oncogene c-Kit, Tyrosine-protein kinase Kit, p145 c-kit, v-kit Hardy-Zuckerman 4 feline sarcoma viral oncogene homolog, PBT

3 Images
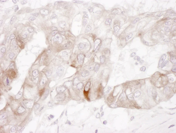
Immunohistochemistry (Formalin/PFA-fixed paraffin-embedded sections) - Anti-c-Kit antibody (AB114992)
  • IHC-P

Unknown

Immunohistochemistry (Formalin/PFA-fixed paraffin-embedded sections) - Anti-c-Kit antibody (AB114992)

Immunohistochemistry (Formalin/PFA-fixed paraffin-embedded sections) analysis of human ovarian carcinoma tissue labelling c-Kit with ab114992 at 1/1000 (1µg/ml). Detection : DAB.

Immunoprecipitation - Anti-c-Kit antibody (AB114992)
  • IP

Unknown

Immunoprecipitation - Anti-c-Kit antibody (AB114992)

Lane 1 : ab114992 at 1 μg/ml staining c-Kit in HEL whole cell lysate immunoprecipitated using ab114992 at 3 μg/mg lysate (1 mg/IP; 20% of IP loaded/lane).

Lane 2 : controle IgG.

Predicted band size : 109 kDa.

Exposure time : 3 seconds

All lanes:

Immunoprecipitation - Anti-c-Kit antibody (ab114992)

Predicted band size: 109 kDa

false

Western blot - Anti-c-Kit antibody (AB114992)
  • WB

Unknown

Western blot - Anti-c-Kit antibody (AB114992)

All lanes:

Western blot - Anti-c-Kit antibody (ab114992) at 0.1 µg/mL

Lane 1:

HEL whole cell lysate at 50 µg

Lane 2:

HEL whole cell lysate at 15 µg

Lane 3:

HEL whole cell lysate at 5 µg

Lane 4:

293T whole cell lysate at 50 µg

Predicted band size: 109 kDa

true

Exposure time: 10s

Key facts

Host species

Rabbit

Clonality

Polyclonal

Isotype

IgG

Carrier free

No

Reacts with

Human

Applications

IHC-P, IP, WB

applications

Immunogen

Synthetic Peptide within Human KIT aa 900 to C-terminus. The exact immunogen used to generate this antibody is proprietary information.

P10721

Reactivity data

{ "title": "Reactivity Data", "filters": { "stats": ["", "Species", "Dilution Info", "Notes"], "tabs": { "all-applications": {"fullname" : "All Applications", "shortname": "All Applications"}, "IHCP" : {"fullname" : "Immunohistochemistry (Formalin/PFA-fixed paraffin-embedded sections)", "shortname":"IHC-P"}, "IP" : {"fullname" : "Immunoprecipitation", "shortname":"IP"}, "WB" : {"fullname" : "Western blot", "shortname":"WB"} }, "product-promise": { "all": "all", "testedAndGuaranteed": "tested", "guaranteed": "expected", "predicted": "predicted", "notRecommended": "not-recommended" } }, "values": { "Human": { "IHCP-species-checked": "testedAndGuaranteed", "IHCP-species-dilution-info": "1/500 - 1/2000", "IHCP-species-notes": "<p></p> Perform heat-mediated antigen retrieval with citrate buffer pH 6 before commencing with IHC staining protocol.", "IP-species-checked": "testedAndGuaranteed", "IP-species-dilution-info": "2-10 µg/mg of lysate", "IP-species-notes": "<p></p>", "WB-species-checked": "testedAndGuaranteed", "WB-species-dilution-info": "1/2000 - 1/10000", "WB-species-notes": "<p></p>" }, "Chimpanzee": { "IHCP-species-checked": "predicted", "IHCP-species-dilution-info": "", "IHCP-species-notes": "", "IP-species-checked": "predicted", "IP-species-dilution-info": "", "IP-species-notes": "", "WB-species-checked": "predicted", "WB-species-dilution-info": "", "WB-species-notes": "" }, "Gorilla": { "IHCP-species-checked": "predicted", "IHCP-species-dilution-info": "", "IHCP-species-notes": "", "IP-species-checked": "predicted", "IP-species-dilution-info": "", "IP-species-notes": "", "WB-species-checked": "predicted", "WB-species-dilution-info": "", "WB-species-notes": "" }, "Orangutan": { "IHCP-species-checked": "predicted", "IHCP-species-dilution-info": "", "IHCP-species-notes": "", "IP-species-checked": "predicted", "IP-species-dilution-info": "", "IP-species-notes": "", "WB-species-checked": "predicted", "WB-species-dilution-info": "", "WB-species-notes": "" }, "Rhesus monkey": { "IHCP-species-checked": "predicted", "IHCP-species-dilution-info": "", "IHCP-species-notes": "", "IP-species-checked": "predicted", "IP-species-dilution-info": "", "IP-species-notes": "", "WB-species-checked": "predicted", "WB-species-dilution-info": "", "WB-species-notes": "" } } }

Properties and storage information

Form
Liquid
Purification technique
Affinity purification Immunogen
Purification notes
affinity purified using an epitope specific to c-Kit immobilized on solid support.
Storage buffer
pH: 7 - 8 Preservative: 0.09% Sodium azide Constituents: 99% Tris citrate/phosphate
Shipped at conditions
Blue Ice
Appropriate short-term storage conditions
+4°C
Appropriate long-term storage conditions
+4°C
Aliquoting information
Upon delivery aliquot
Storage information
Avoid freeze / thaw cycle

Supplementary information

This supplementary information is collated from multiple sources and compiled automatically.

The c-Kit protein also known as CD117 is a type of receptor tyrosine kinase with a molecular weight of approximately 145 kDa. It is encoded by the KIT gene and commonly expressed on the surface of hematopoietic stem cells mast cells melanocytes and germ cells. C-Kit plays a role in the signal transduction pathways that control cell proliferation and survival. Researchers often identify c-Kit using markers like biotin c-Kit PerCP Cy5.5 or antibodies such as anti-c-Kit for experimental purposes.
Biological function summary

C-Kit influences the function and survival of certain cell types. When it binds to its ligand stem cell factor (SCF) it activates receptor dimerization and phosphorylation triggering downstream signaling. C-Kit does not act alone; it often functions in a complex with other proteins to affect cellular outcomes. Its expression is vital for the maintenance of bone marrow hematopoietic cells and contributes to melanocyte and germ cell development.

Pathways

C-Kit interacts with the PI3K/AKT and RAS/ERK pathways through its kinase activity. These pathways play important roles in cell division differentiation and survival. The c-Abl and ACK2 proteins are closely related to c-Kit function within these signaling networks contributing to regulating cellular responses to external stimuli.

C-Kit mutations are frequently associated with gastrointestinal stromal tumors (GIST) and acute myeloid leukemia (AML). These conditions often involve alterations in c-Kit activity leading to uncontrolled cell growth. While studying GIST researchers have noticed interactions between c-Kit and other proteins like CBL which is involved in the modulation of c-Kit signaling. Understanding these interactions helps in designing targeted therapies for conditions involving c-Kit dysregulation.

Product protocols

For this product, it's our understanding that no specific protocols are required. You can visit:

Target data

Tyrosine-protein kinase that acts as a cell-surface receptor for the cytokine KITLG/SCF and plays an essential role in the regulation of cell survival and proliferation, hematopoiesis, stem cell maintenance, gametogenesis, mast cell development, migration and function, and in melanogenesis. In response to KITLG/SCF binding, KIT can activate several signaling pathways. Phosphorylates PIK3R1, PLCG1, SH2B2/APS and CBL. Activates the AKT1 signaling pathway by phosphorylation of PIK3R1, the regulatory subunit of phosphatidylinositol 3-kinase. Activated KIT also transmits signals via GRB2 and activation of RAS, RAF1 and the MAP kinases MAPK1/ERK2 and/or MAPK3/ERK1. Promotes activation of STAT family members STAT1, STAT3, STAT5A and STAT5B. Activation of PLCG1 leads to the production of the cellular signaling molecules diacylglycerol and inositol 1,4,5-trisphosphate. KIT signaling is modulated by protein phosphatases, and by rapid internalization and degradation of the receptor. Activated KIT promotes phosphorylation of the protein phosphatases PTPN6/SHP-1 and PTPRU, and of the transcription factors STAT1, STAT3, STAT5A and STAT5B. Promotes phosphorylation of PIK3R1, CBL, CRK (isoform Crk-II), LYN, MAPK1/ERK2 and/or MAPK3/ERK1, PLCG1, SRC and SHC1.
See full target information KIT

Publications (2)

Recent publications for all applications. Explore the full list and refine your search

Animal cells and systems 25:264-271 PubMed34745433

2021

Prokinetic effects of diatrizoate meglumine (Gastrografin®) in a zebrafish for opioid-induced constipation model.

Applications

Unspecified application

Species

Unspecified reactive species

Dongwoo Kim,Soonil Koun,Seung Young Kim,Young Ran Ha,Jung Wan Choe,Sung Woo Jung,Jong Jin Hyun,Young Kul Jung,Ja Seol Koo,Hyung Joon Yim,Sang Woo Lee

Journal of cellular biochemistry 119:9752-9763 PubMed30129212

2018

Docosahexaenoic acid attenuates the detrimental effect of palmitic acid on human endothelial cells by modulating genes from the atherosclerosis signaling pathway.

Applications

Unspecified application

Species

Unspecified reactive species

Tannaz Novinbahador,Alireza Nourazarian,Mohammad Asgharzadeh,Reza Rahbarghazi,Çıgır Biray Avci,Bakiye Goker Bagca,Neslihan Pinar Ozates,Saeede Karbasforoush,Fatemeh Khaki-Khatibi
View all publications

Product promise

We are committed to supporting your work with high-quality reagents, and we're here for you every step of the way. In the unlikely event that one of our products does not perform as expected, you're protected by our Product Promise.
For full details, please see our Terms & Conditions

Please note: All products are 'FOR RESEARCH USE ONLY. NOT FOR USE IN DIAGNOSTIC OR THERAPEUTIC PROCEDURES'.

For licensing inquiries, please contact partnerships@abcam.com