JavaScript is disabled in your browser. Please enable JavaScript to view this website.
AB283666

Anti-c-Kit antibody [EPR25707-134] - BSA and Azide free

Be the first to review this product! Submit a review

|

(0 Publication)

Rabbit Recombinant Monoclonal c-Kit antibody. Carrier free. Suitable for ICC/IF, IP, Flow Cyt, WB, IHC-P and reacts with Human samples.

View Alternative Names

CD117, SCFR, KIT, Mast/stem cell growth factor receptor Kit, Piebald trait protein, Proto-oncogene c-Kit, Tyrosine-protein kinase Kit, p145 c-kit, v-kit Hardy-Zuckerman 4 feline sarcoma viral oncogene homolog, PBT

11 Images
Immunohistochemistry (Formalin/PFA-fixed paraffin-embedded sections) - Anti-c-Kit antibody [EPR25707-134] - BSA and Azide free (AB283666)
  • IHC-P

Supplier Data

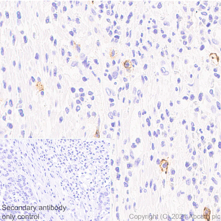
Immunohistochemistry (Formalin/PFA-fixed paraffin-embedded sections) - Anti-c-Kit antibody [EPR25707-134] - BSA and Azide free (AB283666)

This data was developed using ab283653, the same antibody clone in a different buffer formulation.

Immunohistochemical analysis of paraffin-embedded Human colon cancer tissue labelling c-Kit with ab283653 at 1/100 dilution followed by a ready to use LeicaDS9800 (Bond™ Polymer Refine Detection). Positive staining on stromal cells of human colon cancer (PMID : 23276179). The section was incubated with ab283653 for 30 mins at room temperature. The immunostaining was performed on a Leica Biosystems BOND® RX instrument Counterstained with Hematoxylin.

Secondary antibody only control : Secondary antibody is a ready to use LeicaDS9800 (Bond™ Polymer Refine Detection).

Heat mediated antigen retrieval with Tris-EDTA buffer (pH 9.0, epitope retrieval solution2) for 20 mins

Immunohistochemistry (Formalin/PFA-fixed paraffin-embedded sections) - Anti-c-Kit antibody [EPR25707-134] - BSA and Azide free (AB283666)
  • IHC-P

Supplier Data

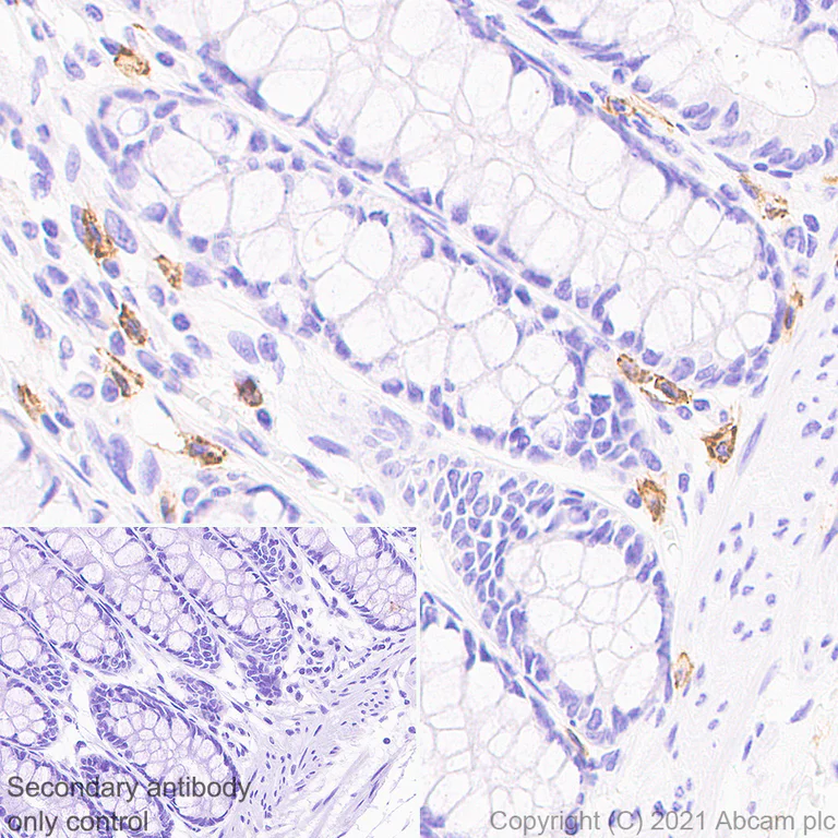
Immunohistochemistry (Formalin/PFA-fixed paraffin-embedded sections) - Anti-c-Kit antibody [EPR25707-134] - BSA and Azide free (AB283666)

This data was developed using ab283653, the same antibody clone in a different buffer formulation.

Immunohistochemical analysis of paraffin-embedded Human colon tissue labelling c-Kit with ab283653 at 1/100 dilution followed by a ready to use LeicaDS9800 (Bond™ Polymer Refine Detection). Positive staining in lamina propria cells of human colon (PMID : 23276179). The section was incubated with ab283653 for 30 mins at room temperature.
The immunostaining was performed on a Leica Biosystems BOND® RX instrument Counterstained with Hematoxylin.

Secondary antibody only control : Secondary antibody is a ready to use LeicaDS9800 (Bond™ Polymer Refine Detection).

Heat mediated antigen retrieval with Tris-EDTA buffer (pH 9.0, epitope retrieval solution2) for 20 mins

Immunohistochemistry (Formalin/PFA-fixed paraffin-embedded sections) - Anti-c-Kit antibody [EPR25707-134] - BSA and Azide free (AB283666)
  • IHC-P

Supplier Data

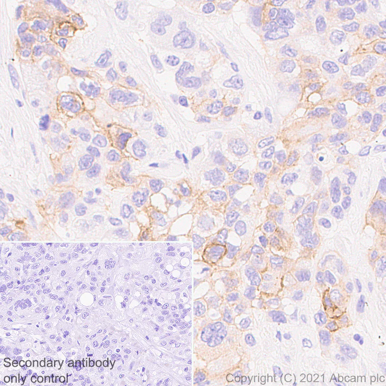
Immunohistochemistry (Formalin/PFA-fixed paraffin-embedded sections) - Anti-c-Kit antibody [EPR25707-134] - BSA and Azide free (AB283666)

This data was developed using ab283653, the same antibody clone in a different buffer formulation.

Immunohistochemical analysis of paraffin-embedded Human breast cancer tissue labelling c-Kit with ab283653 at 1/100 dilution followed by a ready to use LeicaDS9800 (Bond™ Polymer Refine Detection). Positive staining on human breast cancer. The section was incubated with ab283653 for 30 mins at room temperature. The immunostaining was performed on a Leica Biosystems BOND® RX instrument Counterstained with Hematoxylin.

Secondary antibody only control : Secondary antibody is a ready to use LeicaDS9800 (Bond™ Polymer Refine Detection).

Heat mediated antigen retrieval with Tris-EDTA buffer (pH 9.0, epitope retrieval solution2) for 20 mins

Immunocytochemistry/ Immunofluorescence - Anti-c-Kit antibody [EPR25707-134] - BSA and Azide free (AB283666)
  • ICC/IF

Supplier Data

Immunocytochemistry/ Immunofluorescence - Anti-c-Kit antibody [EPR25707-134] - BSA and Azide free (AB283666)

This data was developed using ab283653, the same antibody clone in a different buffer formulation.Immunofluorescent analysis of 4% Paraformaldehyde-fixed, 0.1% TritonX-100 permeabilized HEL cells labelling c-Kit with ab283653 at 1/250 dilution, followed by ab150081 Goat Anti-Rabbit IgG H&L (Alexa Fluor® 488) preadsorbed antibody at 1/1000 dilution (Green). Confocal image showing membranous staining in HEL cells. Negative control : HL-60 (PMID : 29127384) is observed. ab195889 Anti-alpha Tubulin mouse monoclonal antibody - Microtubule Marker (Alexa Fluor® 594) was used to counterstain tubulin at 1/200 dilution (Red). The Nuclear counterstain was DAPI (Blue).

Secondary antibody only control : Secondary antibody is ab150081 Goat Anti-Rabbit IgG H&L (Alexa Fluor® 488) preadsorbed at 1/1000 dilution.

Immunohistochemistry (Formalin/PFA-fixed paraffin-embedded sections) - Anti-c-Kit antibody [EPR25707-134] - BSA and Azide free (AB283666)
  • IHC-P

Supplier Data

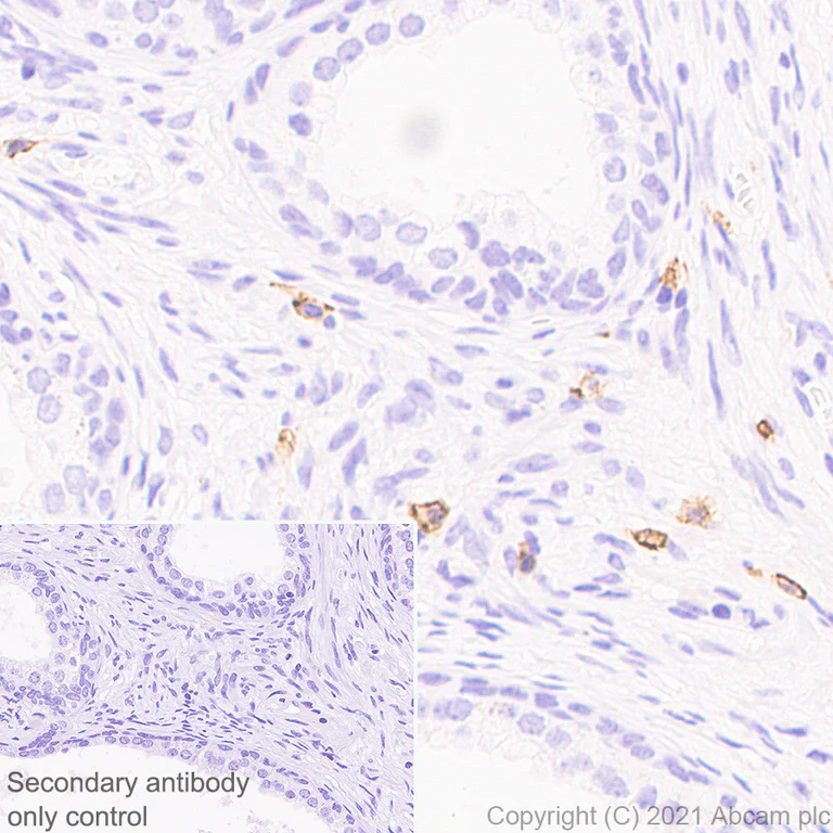
Immunohistochemistry (Formalin/PFA-fixed paraffin-embedded sections) - Anti-c-Kit antibody [EPR25707-134] - BSA and Azide free (AB283666)

This data was developed using ab283653, the same antibody clone in a different buffer formulation.

Immunohistochemical analysis of paraffin-embedded Human hyperplastic prostate tissue labelling c-Kit with ab283653 at 1/100 dilution followed by a ready to use LeicaDS9800 (Bond™ Polymer Refine Detection). Positive staining on stromal cells of human hyperplastic prostate (PMID : 23276179). The section was incubated with ab283653 for 30 mins at room temperature. The immunostaining was performed on a Leica Biosystems BOND® RX instrument Counterstained with Hematoxylin.

Secondary antibody only control : Secondary antibody is a ready to use LeicaDS9800 (Bond™ Polymer Refine Detection).

Heat mediated antigen retrieval with Tris-EDTA buffer (pH 9.0, epitope retrieval solution2) for 20 mins

Flow Cytometry - Anti-c-Kit antibody [EPR25707-134] - BSA and Azide free (AB283666)
  • Flow Cyt

Supplier Data

Flow Cytometry - Anti-c-Kit antibody [EPR25707-134] - BSA and Azide free (AB283666)

This data was developed using ab283653, the same antibody clone in a different buffer formulation.Flow cytometric analysis of HL-60 (Human Acute Promyelocytic Leukemia promyeloblast, Left)/ Saos-2 (human osteosarcoma epithelial, Right) cells labelling c-Kit with ab283653 at 1/500 compared with a Rabbit monoclonal IgG (ab172730) (Black) isotype control and an unlabelled control (cells without incubation with primary antibody and secondary antibody) (Blue). Goat F(ab')2 Anti-Rabbit IgG(DyLight® 488, ab98507) at 1/500 was used as the secondary antibody. Negative control : HL-60 (PMID : 29127384). Gated on viable cells.

Flow Cytometry - Anti-c-Kit antibody [EPR25707-134] - BSA and Azide free (AB283666)
  • Flow Cyt

Supplier Data

Flow Cytometry - Anti-c-Kit antibody [EPR25707-134] - BSA and Azide free (AB283666)

This data was developed using ab283653, the same antibody clone in a different buffer formulation.Flow cytometric analysis of HEL (human erythroleukemia erythroblast) cells labelling c-Kit with ab283653 at 1/500 compared with a Rabbit monoclonal IgG (ab172730) (Black) isotype control and an unlabelled control (cells without incubation with primary antibody and secondary antibody) (Blue). Goat F(ab')2 Anti-Rabbit IgG(DyLight® 488, ab98507) at 1/500 dilution was used as the secondary antibody. Gated on viable cells.

Immunoprecipitation - Anti-c-Kit antibody [EPR25707-134] - BSA and Azide free (AB283666)
  • IP

Supplier Data

Immunoprecipitation - Anti-c-Kit antibody [EPR25707-134] - BSA and Azide free (AB283666)

This data was developed using ab283653, the same antibody clone in a different buffer formulation.

c-Kit was immunoprecipitated from 0.35 mg Saos-2 (human osteosarcoma epithelial) whole cell lysate 10 μg with ab283653 at 1/30 dilution. Western blot was performed on the immunoprecipitate using ab283653 at 1/1000 dilution. VeriBlot for IP secondary antibody(HRP)(ab131366) was used at 1/5000 dilution.

Lane 1 : Saos-2 (human osteosarcoma epithelial) whole cell lysate 10 μg

Lane 2 : Saos-2 whole cell lysate

Lane 3 : Rabbit monoclonal IgG (ab172730) instead of ab283653 in Saos-2 whole cell lysate

Blocking and dilution buffer and concentration : 5% NFDM/TBST.

Exposure time : 3 minutes

All lanes:

Immunoprecipitation - Anti-c-Kit antibody [EPR25707-134] (<a href='/en-us/products/primary-antibodies/c-kit-antibody-epr25707-134-ab283653'>ab283653</a>)

Predicted band size: 109 kDa

Observed band size: 120 kDa,140-160 kDa

false

Western blot - Anti-c-Kit antibody [EPR25707-134] - BSA and Azide free (AB283666)
  • WB

Supplier Data

Western blot - Anti-c-Kit antibody [EPR25707-134] - BSA and Azide free (AB283666)

Blocking buffer : 5% NFDM/TBST.

The difference in target band size observed in HEL and Saos-2 cell lysates is caused by glycosylation.

This blot was developed using a higher sensitivity ECL substrate.

This data was developed using ab283653, the same antibody clone in a different buffer formulation.

All lanes:

Western blot - Anti-c-Kit antibody [EPR25707-134] (<a href='/en-us/products/primary-antibodies/c-kit-antibody-epr25707-134-ab283653'>ab283653</a>) at 1/1000 dilution

Lane 1:

HEL (human erythroleukemia erythroblast) whole cell lysate at 20 µg

Lane 2:

HEL whole cell lysate treated with PNGase F at 20 µg

Lane 3:

Saos-2 (human osteosarcoma epithelial) whole cell lysate at 20 µg

Lane 4:

Saos-2 whole cell lysate treated with PNGase F at 20 µg

Secondary

All lanes:

Western blot - Goat Anti-Rabbit IgG H&L (HRP) (<a href='/en-us/products/secondary-antibodies/goat-rabbit-igg-h-l-hrp-ab97051'>ab97051</a>) at 1/50000 dilution

Predicted band size: 109 kDa

Observed band size: 120 kDa,140-160 kDa

true

Exposure time: 3min

Western blot - Anti-c-Kit antibody [EPR25707-134] - BSA and Azide free (AB283666)
  • WB

Supplier Data

Western blot - Anti-c-Kit antibody [EPR25707-134] - BSA and Azide free (AB283666)

Blocking buffer : 5% NFDM/TBST.

Low expression : HL-60 (PMID : 29127384) and Jurkat (PMID : 22140461).

Bis-tris gel was used in the blot.

This data was developed using ab283653, the same antibody clone in a different buffer formulation.

All lanes:

Western blot - Anti-c-Kit antibody [EPR25707-134] (<a href='/en-us/products/primary-antibodies/c-kit-antibody-epr25707-134-ab283653'>ab283653</a>) at 1/1000 dilution

Lane 1:

HEL (human erythroleukemia erythroblast) whole cell lysate at 40 µg

Lane 2:

Saos-2 (human osteosarcoma epithelial) whole cell lysate at 40 µg

Lane 3:

HL-60 (human acute promyelocytic leukemia promyeloblast) whole cell lysate at 40 µg

Lane 4:

Jurkat (human T cell leukemia T lymphocyte) whole cell lysate at 40 µg

Secondary

All lanes:

Western blot - Goat Anti-Rabbit IgG H&L (HRP) (<a href='/en-us/products/secondary-antibodies/goat-rabbit-igg-h-l-hrp-ab97051'>ab97051</a>) at 1/50000 dilution

Predicted band size: 109 kDa

Observed band size: 120 kDa,140-160 kDa

true

Exposure time: 3min

Western blot - Anti-c-Kit antibody [EPR25707-134] - BSA and Azide free (AB283666)
  • WB

Supplier Data

Western blot - Anti-c-Kit antibody [EPR25707-134] - BSA and Azide free (AB283666)

Blocking buffer : 5% NFDM/TBST.

Low expression : HL-60 (PMID : 29127384) and Jurkat (PMID : 22140461).

This data was developed using ab283653, the same antibody clone in a different buffer formulation.

All lanes:

Western blot - Anti-c-Kit antibody [EPR25707-134] (<a href='/en-us/products/primary-antibodies/c-kit-antibody-epr25707-134-ab283653'>ab283653</a>) at 1/1000 dilution

Lane 1:

HEL (human erythroleukemia erythroblast) whole cell lysate at 40 µg

Lane 2:

HL-60 (human acute promyelocytic leukemia promyeloblast) whole cell lysate at 40 µg

Lane 3:

Jurkat (human T cell leukemia T lymphocyte) whole cell lysate at 40 µg

Lane 4:

Saos-2 (human osteosarcoma epithelial) whole cell lysate at 40 µg

Secondary

All lanes:

Western blot - Goat Anti-Rabbit IgG H&L (HRP) (<a href='/en-us/products/secondary-antibodies/goat-rabbit-igg-h-l-hrp-ab97051'>ab97051</a>) at 1/50000 dilution

Predicted band size: 109 kDa

Observed band size: 120 kDa,140-160 kDa

true

Exposure time: 125s

Key facts

Host species

Rabbit

Clonality

Monoclonal

Clone number

EPR25707-134

Isotype

IgG

Carrier free

Yes

Reacts with

Human

Applications

ICC/IF, Flow Cyt, IP, IHC-P, WB

applications

Immunogen

The exact immunogen used to generate this antibody is proprietary information.

Reactivity data

{ "title": "Reactivity Data", "filters": { "stats": ["", "Species", "Dilution Info", "Notes"], "tabs": { "all-applications": {"fullname" : "All Applications", "shortname": "All Applications"}, "ICCIF" : {"fullname" : "Immunocytochemistry/ Immunofluorescence", "shortname":"ICC/IF"}, "IP" : {"fullname" : "Immunoprecipitation", "shortname":"IP"}, "FlowCyt" : {"fullname" : "Flow Cytometry", "shortname":"Flow Cyt"}, "WB" : {"fullname" : "Western blot", "shortname":"WB"}, "IHCP" : {"fullname" : "Immunohistochemistry (Formalin/PFA-fixed paraffin-embedded sections)", "shortname":"IHC-P"} }, "product-promise": { "all": "all", "testedAndGuaranteed": "tested", "guaranteed": "expected", "predicted": "predicted", "notRecommended": "not-recommended" } }, "values": { "Human": { "ICCIF-species-checked": "testedAndGuaranteed", "ICCIF-species-dilution-info": "", "ICCIF-species-notes": "<p></p>", "IP-species-checked": "testedAndGuaranteed", "IP-species-dilution-info": "", "IP-species-notes": "<p></p>", "FlowCyt-species-checked": "testedAndGuaranteed", "FlowCyt-species-dilution-info": "", "FlowCyt-species-notes": "<p></p>", "WB-species-checked": "testedAndGuaranteed", "WB-species-dilution-info": "", "WB-species-notes": "<p></p>", "IHCP-species-checked": "testedAndGuaranteed", "IHCP-species-dilution-info": "", "IHCP-species-notes": "<p></p>" }, "Mouse": { "ICCIF-species-checked": "notRecommended", "ICCIF-species-dilution-info": "", "ICCIF-species-notes": "", "IP-species-checked": "notRecommended", "IP-species-dilution-info": "", "IP-species-notes": "", "FlowCyt-species-checked": "notRecommended", "FlowCyt-species-dilution-info": "", "FlowCyt-species-notes": "", "WB-species-checked": "notRecommended", "WB-species-dilution-info": "", "WB-species-notes": "<p></p>", "IHCP-species-checked": "notRecommended", "IHCP-species-dilution-info": "", "IHCP-species-notes": "<p></p>" }, "Rat": { "ICCIF-species-checked": "notRecommended", "ICCIF-species-dilution-info": "", "ICCIF-species-notes": "", "IP-species-checked": "notRecommended", "IP-species-dilution-info": "", "IP-species-notes": "", "FlowCyt-species-checked": "notRecommended", "FlowCyt-species-dilution-info": "", "FlowCyt-species-notes": "", "WB-species-checked": "notRecommended", "WB-species-dilution-info": "", "WB-species-notes": "<p></p>", "IHCP-species-checked": "notRecommended", "IHCP-species-dilution-info": "", "IHCP-species-notes": "<p></p>" } } }

Product details

This antibody clone is manufactured by Abcam. If you require a custom buffer formulation or conjugation for your experiments, please contact orders@abcam.com.

ab283666 is the carrier-free version of ab283653.

Patented technology
Our RabMAb® technology is a patented hybridoma-based technology for making rabbit monoclonal antibodies. For details on our patents, please refer to RabMAb® patents.

What are the advantages of a recombinant monoclonal antibody?
This product is a recombinant monoclonal antibody, which offers several advantages including:

  • - High batch-to-batch consistency and reproducibility
  • - Improved sensitivity and specificity
  • - Long-term security of supply
  • - Animal-free batch production

For more information, read more on recombinant antibodies.

Conjugation ready
Our carrier-free antibodies are typically supplied in a PBS-only formulation, purified and free of BSA, sodium azide and glycerol. This conjugation-ready format is designed for use with fluorochromes, metal isotopes, oligonucleotides, and enzymes, which makes them ideal for antibody labelling, functional and cell-based assays, flow-based assays (e.g. mass cytometry) and Multiplex Imaging applications.

Use our conjugation kits for antibody conjugates that are ready-to-use in as little as 20 minutes with 1 minute hands-on-time and 100% antibody recovery: available for fluorescent dyes, HRP, biotin and gold.

Compatibility
This product is compatible with the Maxpar® Antibody Labeling Kit from Fluidigm, without the need for antibody preparation. Maxpar® is a trademark of Fluidigm Canada Inc.

Properties and storage information

Form
Liquid
Purification technique
Affinity purification Protein A
Storage buffer
pH: 7.2 - 7.4 Constituents: PBS
Shipped at conditions
Blue Ice
Appropriate short-term storage conditions
+4°C
Appropriate long-term storage conditions
+4°C

Supplementary information

This supplementary information is collated from multiple sources and compiled automatically.

The c-Kit protein also known as CD117 is a type of receptor tyrosine kinase with a molecular weight of approximately 145 kDa. It is encoded by the KIT gene and commonly expressed on the surface of hematopoietic stem cells mast cells melanocytes and germ cells. C-Kit plays a role in the signal transduction pathways that control cell proliferation and survival. Researchers often identify c-Kit using markers like biotin c-Kit PerCP Cy5.5 or antibodies such as anti-c-Kit for experimental purposes.
Biological function summary

C-Kit influences the function and survival of certain cell types. When it binds to its ligand stem cell factor (SCF) it activates receptor dimerization and phosphorylation triggering downstream signaling. C-Kit does not act alone; it often functions in a complex with other proteins to affect cellular outcomes. Its expression is vital for the maintenance of bone marrow hematopoietic cells and contributes to melanocyte and germ cell development.

Pathways

C-Kit interacts with the PI3K/AKT and RAS/ERK pathways through its kinase activity. These pathways play important roles in cell division differentiation and survival. The c-Abl and ACK2 proteins are closely related to c-Kit function within these signaling networks contributing to regulating cellular responses to external stimuli.

C-Kit mutations are frequently associated with gastrointestinal stromal tumors (GIST) and acute myeloid leukemia (AML). These conditions often involve alterations in c-Kit activity leading to uncontrolled cell growth. While studying GIST researchers have noticed interactions between c-Kit and other proteins like CBL which is involved in the modulation of c-Kit signaling. Understanding these interactions helps in designing targeted therapies for conditions involving c-Kit dysregulation.

Product protocols

For this product, it's our understanding that no specific protocols are required. You can visit:

Target data

Tyrosine-protein kinase that acts as a cell-surface receptor for the cytokine KITLG/SCF and plays an essential role in the regulation of cell survival and proliferation, hematopoiesis, stem cell maintenance, gametogenesis, mast cell development, migration and function, and in melanogenesis. In response to KITLG/SCF binding, KIT can activate several signaling pathways. Phosphorylates PIK3R1, PLCG1, SH2B2/APS and CBL. Activates the AKT1 signaling pathway by phosphorylation of PIK3R1, the regulatory subunit of phosphatidylinositol 3-kinase. Activated KIT also transmits signals via GRB2 and activation of RAS, RAF1 and the MAP kinases MAPK1/ERK2 and/or MAPK3/ERK1. Promotes activation of STAT family members STAT1, STAT3, STAT5A and STAT5B. Activation of PLCG1 leads to the production of the cellular signaling molecules diacylglycerol and inositol 1,4,5-trisphosphate. KIT signaling is modulated by protein phosphatases, and by rapid internalization and degradation of the receptor. Activated KIT promotes phosphorylation of the protein phosphatases PTPN6/SHP-1 and PTPRU, and of the transcription factors STAT1, STAT3, STAT5A and STAT5B. Promotes phosphorylation of PIK3R1, CBL, CRK (isoform Crk-II), LYN, MAPK1/ERK2 and/or MAPK3/ERK1, PLCG1, SRC and SHC1.
See full target information KIT

Product promise

We are committed to supporting your work with high-quality reagents, and we're here for you every step of the way. In the unlikely event that one of our products does not perform as expected, you're protected by our Product Promise.
For full details, please see our Terms & Conditions

Please note: All products are 'FOR RESEARCH USE ONLY. NOT FOR USE IN DIAGNOSTIC OR THERAPEUTIC PROCEDURES'.

For licensing inquiries, please contact partnerships@abcam.com