JavaScript is disabled in your browser. Please enable JavaScript to view this website.
AB317843

Anti-c-Kit antibody [RM1190]

  • BOND RX™ Validated
  • 20ul selling size
  • Recombinant
  • RabMAb
  • KO Validated
  • What is this?

Be the first to review this product! Submit a review

|

(0 Publication)

Knockout Tested Rabbit Recombinant Multiclonal c-Kit antibody. Suitable for WB, ICC/IF, Flow Cyt, IHC-P, IP and reacts with Human, Mouse, Rat samples.

View Alternative Names

CD117, Sl, Kit, Mast/stem cell growth factor receptor Kit, SCFR, Proto-oncogene c-Kit, Tyrosine-protein kinase Kit

12 Images
Immunohistochemistry (Formalin/PFA-fixed paraffin-embedded sections) - Anti-c-Kit antibody [RM1190] (AB317843)
  • IHC-P

Supplier Data

Immunohistochemistry (Formalin/PFA-fixed paraffin-embedded sections) - Anti-c-Kit antibody [RM1190] (AB317843)

Immunohistochemical analysis of paraffin-embedded Human seminoma tissue labeling c-Kit with ab317843 at 1/2000 (0.248 ug/ml) dilution, followed by a ready to use LeicaDS9800 (Bond™ Polymer Refine Detection).

Positive staining on human seminoma. The section was incubated with ab317843 for 30 mins at room temperature.
The immunostaining was performed on a Leica Biosystems BOND® RX instrument

Counterstained with Hematoxylin.

Secondary antibody only control : Secondary antibody is a ready to use LeicaDS9800 (Bond™ Polymer Refine Detection).

Heat mediated antigen retrieval was performed with Tris-EDTA buffer (pH 9.0, Epitope Retrieval Solution2) for 20 mins

Immunohistochemistry (Formalin/PFA-fixed paraffin-embedded sections) - Anti-c-Kit antibody [RM1190] (AB317843)
  • IHC-P

Supplier Data

Immunohistochemistry (Formalin/PFA-fixed paraffin-embedded sections) - Anti-c-Kit antibody [RM1190] (AB317843)

Immunohistochemical analysis of paraffin-embedded Human colon tissue labeling c-Kit with ab317843 at 1/2000 (0.248 ug/ml) dilution, followed by a ready to use LeicaDS9800 (Bond™ Polymer Refine Detection).

Positive staining on mast cells in human colon. The section was incubated with ab317843 for 30 mins at room temperature.
The immunostaining was performed on a Leica Biosystems BOND® RX instrument

Counterstained with Hematoxylin.

Secondary antibody only control : Secondary antibody is a ready to use LeicaDS9800 (Bond™ Polymer Refine Detection).

Heat mediated antigen retrieval was performed with Tris-EDTA buffer (pH 9.0, Epitope Retrieval Solution2) for 20 mins

Immunohistochemistry (Formalin/PFA-fixed paraffin-embedded sections) - Anti-c-Kit antibody [RM1190] (AB317843)
  • IHC-P

Supplier Data

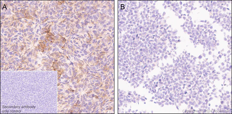
Immunohistochemistry (Formalin/PFA-fixed paraffin-embedded sections) - Anti-c-Kit antibody [RM1190] (AB317843)

Immunohistochemical analysis of paraffin-embedded A Wild-type HAP1 cell pellet B Human KIT knockout HAP1(human chronic myelogenous leukemia near-haploid cell) cell pellet tissue labeling c-Kit with ab317843 at 1/1000 (0.496 ug/ml) dilution, followed by a ready to use LeicaDS9800 (Bond™ Polymer Refine Detection).

Positive staining on A : Wild-type HAP1 cell pellet, no staining on B : human KIT knockout HAP1 cell pellet. The section was incubated with ab317843 for 30 mins at room temperature.
The immunostaining was performed on a Leica Biosystems BOND® RX instrument

Counterstained with Hematoxylin.

Secondary antibody only control : Secondary antibody is a ready to use LeicaDS9800 (Bond™ Polymer Refine Detection).

Heat mediated antigen retrieval was performed with Tris-EDTA buffer (pH 9.0, Epitope Retrieval Solution2) for 20 mins

Flow Cytometry - Anti-c-Kit antibody [RM1190] (AB317843)
  • Flow Cyt

Supplier Data

Flow Cytometry - Anti-c-Kit antibody [RM1190] (AB317843)

Flow cytometric analysis of Mouse bone marrow cells labelling c-Kit with ab317843 at 1/500 dilution (0.1ug)/Right compared with a Rabbit monoclonal IgG (ab172730) / Left isotype control and an unlabelled control (cells without incubation with primary antibody and secondary antibody) (Blue).

Goat anti-Rabbit IgG (Alexa Fluor® 647, ab150083) at 1/5000 dilution was used as the secondary antibody.

Mouse bone marrow are co-stained with CD34 conjugated BV421 (440/50BP).
Gated on viable cell.

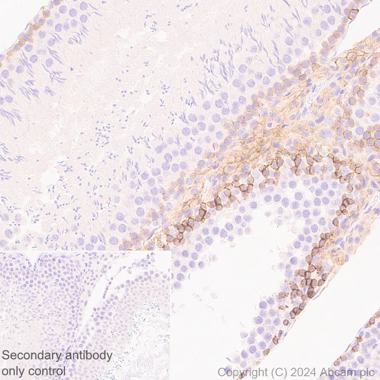
Immunohistochemistry (Formalin/PFA-fixed paraffin-embedded sections) - Anti-c-Kit antibody [RM1190] (AB317843)
  • IHC-P

Supplier Data

Immunohistochemistry (Formalin/PFA-fixed paraffin-embedded sections) - Anti-c-Kit antibody [RM1190] (AB317843)

Immunohistochemical analysis of paraffin-embedded Mouse testis tissue labeling c-Kit with ab317843 at 1/2000 (0.248 ug/ml) dilution, followed by a ready to use LeicaDS9800 (Bond™ Polymer Refine Detection).

Positive staining on mouse testis. The section was incubated with ab317843 for 30 mins at room temperature.
The immunostaining was performed on a Leica Biosystems BOND® RX instrument

Counterstained with Hematoxylin.

Secondary antibody only control : Secondary antibody is a ready to use LeicaDS9800 (Bond™ Polymer Refine Detection).

Heat mediated antigen retrieval was performed with Tris-EDTA buffer (pH 9.0, Epitope Retrieval Solution2) for 20 mins

Immunohistochemistry (Formalin/PFA-fixed paraffin-embedded sections) - Anti-c-Kit antibody [RM1190] (AB317843)
  • IHC-P

Supplier Data

Immunohistochemistry (Formalin/PFA-fixed paraffin-embedded sections) - Anti-c-Kit antibody [RM1190] (AB317843)

Immunohistochemical analysis of paraffin-embedded Rat testis tissue labeling c-Kit with ab317843 at 1/2000 (0.248 ug/ml) dilution, followed by a ready to use LeicaDS9800 (Bond™ Polymer Refine Detection).

Positive staining on rat testis. The section was incubated with ab317843 for 30 mins at room temperature.
The immunostaining was performed on a Leica Biosystems BOND® RX instrument

Counterstained with Hematoxylin.

Secondary antibody only control : Secondary antibody is a ready to use LeicaDS9800 (Bond™ Polymer Refine Detection).

Heat mediated antigen retrieval was performed with Tris-EDTA buffer (pH 9.0, Epitope Retrieval Solution2) for 20 mins

Flow Cytometry - Anti-c-Kit antibody [RM1190] (AB317843)
  • Flow Cyt

Supplier Data

Flow Cytometry - Anti-c-Kit antibody [RM1190] (AB317843)

Flow cytometric analysis of Mouse bone marrow cells labelling c-Kit with ab317843 at 1/500 dilution (0.1 ug)/Right compared with a Rabbit monoclonal IgG (ab172730) / Left isotype control and an unlabelled control (cells without incubation with primary antibody and secondary antibody) (Blue).

Goat anti-Rabbit IgG (Alexa Fluor® 647, ab150083) at 1/5000 dilution was used as the secondary antibody.

Mouse bone marrow are co-stained with Lineage cocktail conjugated FITC (530/30BP).
Gated on viable cell.

Immunohistochemistry (Formalin/PFA-fixed paraffin-embedded sections) - Anti-c-Kit antibody [RM1190] (AB317843)
  • IHC-P

Supplier Data

Immunohistochemistry (Formalin/PFA-fixed paraffin-embedded sections) - Anti-c-Kit antibody [RM1190] (AB317843)

Immunohistochemical analysis of paraffin-embedded Mouse colon tissue labeling c-Kit with ab317843 at 1/2000 (0.248 ug/ml) dilution, followed by a ready to use LeicaDS9800 (Bond™ Polymer Refine Detection).

Positive staining on scattered mast cells in mouse colon. The section was incubated with ab317843 for 30 mins at room temperature.
The immunostaining was performed on a Leica Biosystems BOND® RX instrument

Counterstained with Hematoxylin.

Secondary antibody only control : Secondary antibody is a ready to use LeicaDS9800 (Bond™ Polymer Refine Detection).

Heat mediated antigen retrieval was performed with Tris-EDTA buffer (pH 9.0, Epitope Retrieval Solution2) for 20 mins

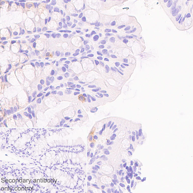
Immunohistochemistry (Formalin/PFA-fixed paraffin-embedded sections) - Anti-c-Kit antibody [RM1190] (AB317843)
  • IHC-P

Supplier Data

Immunohistochemistry (Formalin/PFA-fixed paraffin-embedded sections) - Anti-c-Kit antibody [RM1190] (AB317843)

Immunohistochemical analysis of paraffin-embedded Rat colon tissue labeling c-Kit with ab317843 at 1/2000 (0.248 ug/ml) dilution, followed by a ready to use LeicaDS9800 (Bond™ Polymer Refine Detection).

Positive staining on scattered mast cells in rat colon. The section was incubated with ab317843 for 30 mins at room temperature.
The immunostaining was performed on a Leica Biosystems BOND® RX instrument

Counterstained with Hematoxylin.

Secondary antibody only control : Secondary antibody is a ready to use LeicaDS9800 (Bond™ Polymer Refine Detection).

Heat mediated antigen retrieval was performed with Tris-EDTA buffer (pH 9.0, Epitope Retrieval Solution2) for 20 mins

Immunocytochemistry/ Immunofluorescence - Anti-c-Kit antibody [RM1190] (AB317843)
  • ICC/IF

Supplier Data

Immunocytochemistry/ Immunofluorescence - Anti-c-Kit antibody [RM1190] (AB317843)

Immunofluorescent analysis of 4% Paraformaldehyde-fixed, 0.1% TritonX-100 permeabilized P815 (mouse mastocytoma mast cell) cells labelling c-Kit with ab317843 at 1/500 (0.992 ug/ml) dilution, followed by ab150081 Goat Anti-Rabbit IgG H&L (Alexa Fluor® 488) preadsorbed antibody at 1/1000 2 ug/mL dilution (Green).

Confocal image showing cytoplasmic staining in P815 cell line (shown in green). The counterstain was observed in magenta. Nuclear DNA was labeled with DAPI (shown in blue).
Negative control : NIH/3T3 (PMID : 29622475)
Image was taken with a confocal microscope (Leica-Microsystems, TCS SP8).

ab195889 Anti-alpha Tubulin mouse monoclonal antibody - Microtubule Marker (Alexa Fluor® 594) was used to counterstain tubulin at 1/200 2.5ug/ml dilution (Magenta). The Nuclear counterstain was DAPI (Blue).

Secondary antibody only control : Secondary antibody is ab150081 Goat Anti-Rabbit IgG H&L (Alexa Fluor® 488) preadsorbed at 1/1000 2 ug/mL dilution.

Immunoprecipitation - Anti-c-Kit antibody [RM1190] (AB317843)
  • IP

Supplier Data

Immunoprecipitation - Anti-c-Kit antibody [RM1190] (AB317843)

c-Kit was immunoprecipitated from 0.35 mg P815 (mouse mastocytoma mast Cell) whole cell lysate with ab317843 at 1/30 dilution (2ug in 0.35mg lysates). Western blot was performed on the immunoprecipitate using ab317843 at 1/1000 dilution. VeriBlot for IP secondary antibody(HRP)(ab131366) was used at 1/5000 dilution.

Lane 1 : P815 (mouse mastocytoma mast Cell) whole cell lysate
Lane 2 : ab317843 IP in P815 (mouse mastocytoma mast Cell) whole cell lysate
Lane 3 : Rabbit monoclonal IgG (ab172730) instead of ab317843 in P815 whole cell lysate

All lanes:

Immunoprecipitation - Anti-c-Kit antibody [RM1190] (ab317843) at 1/30 dilution

All lanes:

P815 (mouse mastocytoma mast Cell) whole cell lysate with NFDM/TBST

Secondary

All lanes:

Immunoprecipitation - VeriBlot for IP Detection Reagent (HRP) (<a href='/en-us/products/reagents/veriblot-for-ip-detection-reagent-hrp-ab131366'>ab131366</a>) at 1/5000 dilution

false

Exposure time: 180s

Western blot - Anti-c-Kit antibody [RM1190] (AB317843)
  • WB

Supplier Data

Western blot - Anti-c-Kit antibody [RM1190] (AB317843)

Low expression : HL-60 (PMID : 29127384) and Jurkat (PMID : 22140461).

Negative control : NIH/3T3 (PMID : 29622475, PMID : 11522667)

The molecular weight observed is consistent with what has been described in the literature (PMID : 29176653, PMID : 23637779).

The identity of the lower MW bands at approximately 25-37kDa are unknown.

In Western blot, ab317843 was shown to bind specifically to c-Kit. Target of interest was observed at 120/140 kDa, in wild-type HAP1 cell lysates (lane 1) with no signal observed at this size in c-Kit knockout cell line (lane 2).

In Western blot, Anti-GAPDH antibody [EPR16891] - Loading Control (ab181602) staining at 1/200000 dilution.

Exposure time : Lanes 1-2 : 180 seconds; Lanes 3-9 : 15 seconds

All lanes:

Western blot - Anti-c-Kit antibody [RM1190] (ab317843) at 1/1000 dilution

Lane 1:

Wide-type HAP1 (human chronic myelogenous leukemia near-haploid cell ) whole cell lysate at 20 µg with NFDM/TBST

Lane 2:

Kit HAP1 knockout whole cell lysate at 20 µg with NFDM/TBST

Lane 3:

HEL (human erythroleukemia erythroblast) whole cell lysate at 20 µg with NFDM/TBST

Lane 4:

Saos-2 (human osteosarcoma epithelial cell) whole cell lysate at 20 µg with NFDM/TBST

Lane 5:

HL-60 (human acute promyelocytic leukemia promyeloblast) whole cell lysate at 20 µg with NFDM/TBST

Lane 6:

Jurkat (human T cell leukemia T lymphocyte from peripheral blood) whole cell lysate at 20 µg with NFDM/TBST

Lane 7:

P815 (mouse mastocytoma mast cell) whole cell lysate at 20 µg with NFDM/TBST

Lane 8:

ES-D3 D3  (mouse blastocyst-derived embryonic stem cell) whole cell lysate at 20 µg with NFDM/TBST

Lane 9:

NIH/3T3 (mouse embryonic fibroblast) whole cell lysate at 20 µg with NFDM/TBST

Secondary

All lanes:

Western blot - Goat Anti-Rabbit IgG H&L (HRP) (<a href='/en-us/products/secondary-antibodies/goat-rabbit-igg-h-l-hrp-ab97051'>ab97051</a>) at 1/20000 dilution

Observed band size: 120 kDa,140 kDa,36 kDa

false

  • Carrier free

    Anti-c-Kit antibody [RM1190] - BSA and Azide free

Key facts

Host species

Rabbit

Clonality

Multiclonal

Clone number

RM1190

Isotype

IgG

Carrier free

No

Reacts with

Human, Mouse, Rat

Applications

IHC-P, ICC/IF, IP, WB, Flow Cyt

applications

Immunogen

This product was produced with the following immunogens:

The exact immunogen used to generate this antibody is proprietary information.

The exact immunogen used to generate this antibody is proprietary information.

Specificity

Unsuitable for human ICC and rat WB.

Reactivity data

{ "title": "Reactivity Data", "filters": { "stats": ["", "Species", "Dilution Info", "Notes"], "tabs": { "all-applications": {"fullname" : "All Applications", "shortname": "All Applications"}, "WB" : {"fullname" : "Western blot", "shortname":"WB"}, "ICCIF" : {"fullname" : "Immunocytochemistry/ Immunofluorescence", "shortname":"ICC/IF"}, "FlowCyt" : {"fullname" : "Flow Cytometry", "shortname":"Flow Cyt"}, "IHCP" : {"fullname" : "Immunohistochemistry (Formalin/PFA-fixed paraffin-embedded sections)", "shortname":"IHC-P"}, "IP" : {"fullname" : "Immunoprecipitation", "shortname":"IP"}, "FlowCytIntra" : {"fullname" : "Flow Cytometry (Intracellular)", "shortname":"Flow Cyt (Intra)"} }, "product-promise": { "all": "all", "testedAndGuaranteed": "tested", "guaranteed": "expected", "predicted": "predicted", "notRecommended": "not-recommended" } }, "values": { "Human": { "WB-species-checked": "testedAndGuaranteed", "WB-species-dilution-info": "1/1000", "WB-species-notes": "<p></p>", "ICCIF-species-checked": "notRecommended", "ICCIF-species-dilution-info": "", "ICCIF-species-notes": "<p></p>", "FlowCyt-species-checked": "guaranteed", "FlowCyt-species-dilution-info": "", "FlowCyt-species-notes": "", "IHCP-species-checked": "testedAndGuaranteed", "IHCP-species-dilution-info": "1/1000 - 1/2000", "IHCP-species-notes": "<p></p> Perform heat-mediated antigen retrieval with Tris/EDTA buffer pH 9.0 before commencing with IHC staining protocol.", "IP-species-checked": "notRecommended", "IP-species-dilution-info": "", "IP-species-notes": "<p></p>", "FlowCytIntra-species-checked": "notRecommended", "FlowCytIntra-species-dilution-info": "", "FlowCytIntra-species-notes": "<p></p>" }, "Mouse": { "WB-species-checked": "testedAndGuaranteed", "WB-species-dilution-info": "1/1000", "WB-species-notes": "<p></p>", "ICCIF-species-checked": "testedAndGuaranteed", "ICCIF-species-dilution-info": "1/500", "ICCIF-species-notes": "<p></p>", "FlowCyt-species-checked": "testedAndGuaranteed", "FlowCyt-species-dilution-info": "1/500", "FlowCyt-species-notes": "<p></p>", "IHCP-species-checked": "testedAndGuaranteed", "IHCP-species-dilution-info": "1/2000", "IHCP-species-notes": "<p></p> Perform heat-mediated antigen retrieval with Tris/EDTA buffer pH 9.0 before commencing with IHC staining protocol.", "IP-species-checked": "testedAndGuaranteed", "IP-species-dilution-info": "1/30", "IP-species-notes": "<p></p>", "FlowCytIntra-species-checked": "notRecommended", "FlowCytIntra-species-dilution-info": "", "FlowCytIntra-species-notes": "" }, "Rat": { "WB-species-checked": "notRecommended", "WB-species-dilution-info": "", "WB-species-notes": "<p></p>", "ICCIF-species-checked": "guaranteed", "ICCIF-species-dilution-info": "", "ICCIF-species-notes": "", "FlowCyt-species-checked": "guaranteed", "FlowCyt-species-dilution-info": "", "FlowCyt-species-notes": "", "IHCP-species-checked": "testedAndGuaranteed", "IHCP-species-dilution-info": "1/2000", "IHCP-species-notes": "<p></p> Perform heat-mediated antigen retrieval with Tris/EDTA buffer pH 9.0 before commencing with IHC staining protocol.", "IP-species-checked": "guaranteed", "IP-species-dilution-info": "", "IP-species-notes": "", "FlowCytIntra-species-checked": "notRecommended", "FlowCytIntra-species-dilution-info": "", "FlowCytIntra-species-notes": "" } } }

Product details

What are recombinant multiclonals?
Recombinant multiclonals are a mixture of recombinant antibodies co-expressed from a library of heavy and light chains. They offer several advantages including:

  • - The sensitivity of polyclonal antibodies by recognising multiple epitopes
  • - High batch-to-batch consistency and reproducibility
  • - Improved sensitivity and specificity
  • - Long-term security of supply
  • - Animal-free batch production

View our range of recombinant multiclonal antibodies.

Patented technology
Our RabMAb® technology is a patented hybridoma-based technology for making rabbit monoclonal antibodies. For details on our patents, please refer to RabMAb® patents.

Properties and storage information

Form
Liquid
Purification technique
Affinity purification Protein A
Storage buffer
pH: 7.2 - 7.4 Preservative: 0.01% Sodium azide Constituents: PBS, 40% Glycerol (glycerin, glycerine), 0.05% BSA
Shipped at conditions
Blue Ice
Appropriate short-term storage duration
1-2 weeks
Appropriate short-term storage conditions
+4°C
Appropriate long-term storage conditions
-20°C
Aliquoting information
Upon delivery aliquot
Storage information
Avoid freeze / thaw cycle

Supplementary information

This supplementary information is collated from multiple sources and compiled automatically.

The c-Kit protein also known as CD117 is a type of receptor tyrosine kinase with a molecular weight of approximately 145 kDa. It is encoded by the KIT gene and commonly expressed on the surface of hematopoietic stem cells mast cells melanocytes and germ cells. C-Kit plays a role in the signal transduction pathways that control cell proliferation and survival. Researchers often identify c-Kit using markers like biotin c-Kit PerCP Cy5.5 or antibodies such as anti-c-Kit for experimental purposes.
Biological function summary

C-Kit influences the function and survival of certain cell types. When it binds to its ligand stem cell factor (SCF) it activates receptor dimerization and phosphorylation triggering downstream signaling. C-Kit does not act alone; it often functions in a complex with other proteins to affect cellular outcomes. Its expression is vital for the maintenance of bone marrow hematopoietic cells and contributes to melanocyte and germ cell development.

Pathways

C-Kit interacts with the PI3K/AKT and RAS/ERK pathways through its kinase activity. These pathways play important roles in cell division differentiation and survival. The c-Abl and ACK2 proteins are closely related to c-Kit function within these signaling networks contributing to regulating cellular responses to external stimuli.

C-Kit mutations are frequently associated with gastrointestinal stromal tumors (GIST) and acute myeloid leukemia (AML). These conditions often involve alterations in c-Kit activity leading to uncontrolled cell growth. While studying GIST researchers have noticed interactions between c-Kit and other proteins like CBL which is involved in the modulation of c-Kit signaling. Understanding these interactions helps in designing targeted therapies for conditions involving c-Kit dysregulation.

Product protocols

For this product, it's our understanding that no specific protocols are required. You can visit:

Target data

Tyrosine-protein kinase that acts as a cell-surface receptor for the cytokine KITLG/SCF and plays an essential role in the regulation of cell survival and proliferation, hematopoiesis, stem cell maintenance, gametogenesis, mast cell development, migration and function, and in melanogenesis. In response to KITLG/SCF binding, KIT can activate several signaling pathways. Phosphorylates PIK3R1, PLCG1, SH2B2/APS and CBL. Activates the AKT1 signaling pathway by phosphorylation of PIK3R1, the regulatory subunit of phosphatidylinositol 3-kinase. Activated KIT also transmits signals via GRB2 and activation of RAS, RAF1 and the MAP kinases MAPK1/ERK2 and/or MAPK3/ERK1. Promotes activation of STAT family members STAT1, STAT3, STAT5A and STAT5B. Activation of PLCG1 leads to the production of the cellular signaling molecules diacylglycerol and inositol 1,4,5-trisphosphate. KIT signaling is modulated by protein phosphatases, and by rapid internalization and degradation of the receptor. Activated KIT promotes phosphorylation of the protein phosphatases PTPN6/SHP-1 and PTPRU, and of the transcription factors STAT1, STAT3, STAT5A and STAT5B. Promotes phosphorylation of PIK3R1, CBL, CRK (isoform Crk-II), LYN, MAPK1/ERK2 and/or MAPK3/ERK1, PLCG1, SRC and SHC1.
See full target information Kit

Additional targets

KIT

Product promise

We are committed to supporting your work with high-quality reagents, and we're here for you every step of the way. In the unlikely event that one of our products does not perform as expected, you're protected by our Product Promise.
For full details, please see our Terms & Conditions

Please note: All products are 'FOR RESEARCH USE ONLY. NOT FOR USE IN DIAGNOSTIC OR THERAPEUTIC PROCEDURES'.

For licensing inquiries, please contact partnerships@abcam.com