JavaScript is disabled in your browser. Please enable JavaScript to view this website.
AB32363

Anti-c-Kit antibody [YR145]

  • 20ul selling size
  • RabMAb
  • Recombinant
  • KO Validated
  • What is this?

4

(10 Reviews)

|

(73 Publications)

Anti-c-Kit antibody [YR145] (ab32363) is a rabbit monoclonal antibody detecting c-Kit in Western Blot, IHC-P. Suitable for Common marmoset, Human.

- KO validated for confirmed specificity
- Biophysical QC for unrivalled batch-batch consistency
- Over 60 publications
- Trusted since 2006

View Alternative Names

CD117, SCFR, KIT, Mast/stem cell growth factor receptor Kit, Piebald trait protein, Proto-oncogene c-Kit, Tyrosine-protein kinase Kit, p145 c-kit, v-kit Hardy-Zuckerman 4 feline sarcoma viral oncogene homolog, PBT

10 Images
Immunohistochemistry (Formalin/PFA-fixed paraffin-embedded sections) - Anti-c-Kit antibody [YR145] (AB32363)
  • IHC-P

Unknown

Immunohistochemistry (Formalin/PFA-fixed paraffin-embedded sections) - Anti-c-Kit antibody [YR145] (AB32363)

IHC-P image of c-Kit (unpurified ab32363) staining on adult marmoset testis. The sections were fixed in formaldehyde and underwent heat mediated antigen retrieval, using Dako antigen retrieval solution. The sections were then blocked in 5% milk for 30 mins at 25°C. The primary antibody was added at a 1/100 dilution, and then incubated for 18 hours at 4°C. Dapi was used to stain the nuclei (blue).

Immunohistochemistry (Formalin/PFA-fixed paraffin-embedded sections) - Anti-c-Kit antibody [YR145] (AB32363)
  • IHC-P

Unknown

Immunohistochemistry (Formalin/PFA-fixed paraffin-embedded sections) - Anti-c-Kit antibody [YR145] (AB32363)

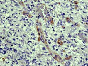
Immunohistochemistry (Formalin/PFA-fixed paraffin-embedded sections) analysis of human glioma tissue labelling c-Kit with unpurified ab32363.

Perform heat mediated antigen retrieval before commencing with IHC staining protocol.

Immunohistochemistry (Formalin/PFA-fixed paraffin-embedded sections) - Anti-c-Kit antibody [YR145] (AB32363)
  • IHC-P

Unknown

Immunohistochemistry (Formalin/PFA-fixed paraffin-embedded sections) - Anti-c-Kit antibody [YR145] (AB32363)

Immunohistochemistry (Formalin/PFA-fixed paraffin-embedded sections) analysis of human seminoma tissue labelling c-Kit with unpurified ab32363.

Perform heat mediated antigen retrieval before commencing with IHC staining protocol.

Immunohistochemistry (Formalin/PFA-fixed paraffin-embedded sections) - Anti-c-Kit antibody [YR145] (AB32363)
  • IHC-P

Unknown

Immunohistochemistry (Formalin/PFA-fixed paraffin-embedded sections) - Anti-c-Kit antibody [YR145] (AB32363)

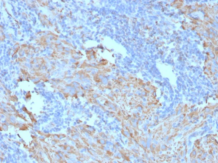
Immunohistochemistry (Formalin/PFA-fixed paraffin-embedded sections) analysis of human ovarian carcinoma tissue labelling c-Kit with unpurified ab32363.

Perform heat mediated antigen retrieval before commencing with IHC staining protocol.

Immunohistochemistry (Formalin/PFA-fixed paraffin-embedded sections) - Anti-c-Kit antibody [YR145] (AB32363)
  • IHC-P

Unknown

Immunohistochemistry (Formalin/PFA-fixed paraffin-embedded sections) - Anti-c-Kit antibody [YR145] (AB32363)

Immunohistochemistry (Formalin/PFA-fixed paraffin-embedded sections) analysis of human breast carcinoma tissue labelling c-Kit with unpurified ab32363.

Perform heat mediated antigen retrieval before commencing with IHC staining protocol.

Immunohistochemistry (Formalin/PFA-fixed paraffin-embedded sections) - Anti-c-Kit antibody [YR145] (AB32363)
  • IHC-P

Lab

Immunohistochemistry (Formalin/PFA-fixed paraffin-embedded sections) - Anti-c-Kit antibody [YR145] (AB32363)

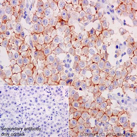
Immunohistochemistry (Formalin/PFA-fixed paraffin-embedded sections) analysis of human seminoma tissue labelling c-Kit with purified ab32363 at 1/400. Heat mediated antigen retrieval was performed using Tris/EDTA buffer pH 9. ab97051, a HRP-conjugated goat anti-rabbit IgG (H+L) was used as the secondary antibody (1/500). Negative control using PBS instead of primary antibody. Counterstained with hematoxylin.

Western blot - Anti-c-Kit antibody [YR145] (AB32363)
  • WB

Lab

Western blot - Anti-c-Kit antibody [YR145] (AB32363)

Blocking and dilution buffer : 5% NFDM/TBST.

All lanes:

Western blot - Anti-c-Kit antibody [YR145] (ab32363) at 1/1000 dilution

All lanes:

Human fetal lung tissue lysate at 10 µg

Secondary

All lanes:

HRP-conjugated anti-rabbit IgG, specific to the non-reduced form of IgG at 1/50000 dilution

Predicted band size: 109 kDa

Observed band size: 120-145 kDa

false

Western blot - Anti-c-Kit antibody [YR145] (AB32363)
  • WB

Lab

Western blot - Anti-c-Kit antibody [YR145] (AB32363)

Lanes 1 - 3 : Merged signal (red and green). Green - ab32363 observed at 109 kDa. Red - loading control, ab9484, observed at 37 kDa.

ab32363 was shown to recognize 0 in wild-type HAP1 cells as signal was lost at the expected MW in KIT knockout cells. Additional cross-reactive bands were observed in the wild-type and knockout cells. Wild-type and KIT knockout samples were subjected to SDS-PAGE. ab32363 and ab9484 (Mouse anti-GAPDH loading control) were incubated overnight at 4°C at 1/1000 dilution and 1/20000 dilution respectively. Blots were developed with Goat anti-Rabbit IgG H&L (IRDye® 800CW) preabsorbed ab216773 and Goat anti-Mouse IgG H&L (IRDye® 680RD) preabsorbed ab216776 secondary antibodies at 1/20000 dilution for 1 hour at room temperature before imaging.

All lanes:

Western blot - Anti-c-Kit antibody [YR145] (ab32363) at 1/1000 dilution

Lane 1:

Wild-type HAP1 whole cell lysate at 40 µg

Lane 2:

KIT knockout HAP1 whole cell lysate at 40 µg

Lane 3:

HUVEC whole cell lysate at 40 µg

Predicted band size: 109 kDa

false

Western blot - Anti-c-Kit antibody [YR145] (AB32363)
  • WB

Lab

Western blot - Anti-c-Kit antibody [YR145] (AB32363)

Blocking and dilution buffer : 5% NFDM/TBST.

All lanes:

Western blot - Anti-c-Kit antibody [YR145] (ab32363) at 1/5000 dilution

All lanes:

Human seminoma tissue lysate at 10 µg

Secondary

All lanes:

HRP-conjugated anti-rabbit IgG, specific to the non-reduced form of IgG at 1/50000 dilution

Predicted band size: 109 kDa

Observed band size: 120-145 kDa

false

OI-RD Scanning - Anti-c-Kit antibody [YR145] (AB32363)
  • OI-RD Scanning

Unknown

OI-RD Scanning - Anti-c-Kit antibody [YR145] (AB32363)

We have systematically measured KD (the equilibrium dissociation constant between the antibody and its antigen), of more than 840 recombinant antibodies to assess not only their individual KD values but also to see the average affinity of antibody. Based on the comparison with published literature values for mouse monoclonal antibodies, Recombinant antibodies appear to be on average 1-2 order of magnitude higher affinity.

Key facts

Host species

Rabbit

Clonality

Monoclonal

Clone number

YR145

Isotype

IgG

Carrier free

No

Reacts with

Human, Common marmoset

Applications

IHC-P, WB

applications

Immunogen

The exact immunogen used to generate this antibody is proprietary information.

Specificity

This antibody is specific to c-Kit. It does not crossreact with other CSF1/PDGF receptor family member.

Reactivity data

{ "title": "Reactivity Data", "filters": { "stats": ["", "Species", "Dilution Info", "Notes"], "tabs": { "all-applications": {"fullname" : "All Applications", "shortname": "All Applications"}, "IHCP" : {"fullname" : "Immunohistochemistry (Formalin/PFA-fixed paraffin-embedded sections)", "shortname":"IHC-P"}, "FlowCyt" : {"fullname" : "Flow Cytometry", "shortname":"Flow Cyt"}, "WB" : {"fullname" : "Western blot", "shortname":"WB"}, "ICCIF" : {"fullname" : "Immunocytochemistry/ Immunofluorescence", "shortname":"ICC/IF"} }, "product-promise": { "all": "all", "testedAndGuaranteed": "tested", "guaranteed": "expected", "predicted": "predicted", "notRecommended": "not-recommended" } }, "values": { "Human": { "IHCP-species-checked": "testedAndGuaranteed", "IHCP-species-dilution-info": "1/400", "IHCP-species-notes": "<p></p>", "FlowCyt-species-checked": "notRecommended", "FlowCyt-species-dilution-info": "", "FlowCyt-species-notes": "<p></p>", "WB-species-checked": "testedAndGuaranteed", "WB-species-dilution-info": "1/1000", "WB-species-notes": "<p></p>", "ICCIF-species-checked": "notRecommended", "ICCIF-species-dilution-info": "", "ICCIF-species-notes": "<p></p>" }, "Common marmoset": { "IHCP-species-checked": "testedAndGuaranteed", "IHCP-species-dilution-info": "1/400", "IHCP-species-notes": "<p></p>", "FlowCyt-species-checked": "notRecommended", "FlowCyt-species-dilution-info": "", "FlowCyt-species-notes": "<p></p>", "WB-species-checked": "guaranteed", "WB-species-dilution-info": "", "WB-species-notes": "", "ICCIF-species-checked": "notRecommended", "ICCIF-species-dilution-info": "", "ICCIF-species-notes": "<p></p>" } } }

Product details

What is this antibody validated in?
Anti-c-Kit antibody [YR145] (ab32363) is a rabbit recombinant monoclonal antibody and is validated for use in Western Blot (WB), Immunohistochemistry (IHC-P) in Common marmoset, Human samples.

What is the molecular weight of c-Kit?
Anti-c-Kit [YR145] (ab32363) specifically detects a band for c-Kit (UniProt: P10721) at a molecular weight of 110kDa.

Trusted by the scientific community
Anti-c-Kit [YR145] (ab32363) was first used in a scientific publication in 2006 and has been cited over 60 times in peer-reviewed journals.

Reviewed by scientists
Anti-c-Kit [YR145] (ab32363) has over 10 independent reviews from customers.

Trial sizes available!
Test your antibody or perform pre-screening before committing to a larger quantity. Sold in 10µl. Discover our selection of trial-size antibodies.

Specificity confirmed
The specificity of Anti-c-Kit antibody [YR145] (ab32363) has been confirmed by Western blot testing in KIT Knockout HAP1 cells.

Other related products
We have a range of other formats of antibody clone [YR145] also available for your convenience: ab32363, Carrier free - ab216450, Alexa Fluor® 488 - ab309968, Alexa Fluor® 647 - ab311175, Alexa Fluor® 594 - ab311830, Alexa Fluor® 568 - ab313113, Alexa Fluor® 555 - ab313306, Alexa Fluor® 750 - ab321591

Species reactivity
Mouse, Rat: We have preliminary internal testing data to indicate this antibody may not react with these species.
Please contact us for more information.

Patented technology
Our RabMAb® technology is a patented hybridoma-based technology for making rabbit monoclonal antibodies. For details on our patents, please refer to RabMAb® patents.

What are the advantages of a recombinant monoclonal antibody?
This product is a recombinant monoclonal antibody, which offers several advantages including:

  • - High batch-to-batch consistency and reproducibility
  • - Improved sensitivity and specificity
  • - Long-term security of supply
  • - Animal-free batch production

For more information, read more on recombinant antibodies.

Properties and storage information

Form
Liquid
Purification technique
Affinity purification Protein A
Storage buffer
pH: 7.2 - 7.4 Preservative: 0.01% Sodium azide Constituents: PBS, 40% Glycerol (glycerin, glycerine), 0.05% BSA
Shipped at conditions
Blue Ice
Appropriate short-term storage duration
1-2 weeks
Appropriate short-term storage conditions
+4°C
Appropriate long-term storage conditions
-20°C
Aliquoting information
Upon delivery aliquot
Storage information
Avoid freeze / thaw cycle

Supplementary information

This supplementary information is collated from multiple sources and compiled automatically.

The c-Kit protein also known as CD117 is a type of receptor tyrosine kinase with a molecular weight of approximately 145 kDa. It is encoded by the KIT gene and commonly expressed on the surface of hematopoietic stem cells mast cells melanocytes and germ cells. C-Kit plays a role in the signal transduction pathways that control cell proliferation and survival. Researchers often identify c-Kit using markers like biotin c-Kit PerCP Cy5.5 or antibodies such as anti-c-Kit for experimental purposes.
Biological function summary

C-Kit influences the function and survival of certain cell types. When it binds to its ligand stem cell factor (SCF) it activates receptor dimerization and phosphorylation triggering downstream signaling. C-Kit does not act alone; it often functions in a complex with other proteins to affect cellular outcomes. Its expression is vital for the maintenance of bone marrow hematopoietic cells and contributes to melanocyte and germ cell development.

Pathways

C-Kit interacts with the PI3K/AKT and RAS/ERK pathways through its kinase activity. These pathways play important roles in cell division differentiation and survival. The c-Abl and ACK2 proteins are closely related to c-Kit function within these signaling networks contributing to regulating cellular responses to external stimuli.

C-Kit mutations are frequently associated with gastrointestinal stromal tumors (GIST) and acute myeloid leukemia (AML). These conditions often involve alterations in c-Kit activity leading to uncontrolled cell growth. While studying GIST researchers have noticed interactions between c-Kit and other proteins like CBL which is involved in the modulation of c-Kit signaling. Understanding these interactions helps in designing targeted therapies for conditions involving c-Kit dysregulation.

Product protocols

For this product, it's our understanding that no specific protocols are required. You can visit:

Target data

Tyrosine-protein kinase that acts as a cell-surface receptor for the cytokine KITLG/SCF and plays an essential role in the regulation of cell survival and proliferation, hematopoiesis, stem cell maintenance, gametogenesis, mast cell development, migration and function, and in melanogenesis. In response to KITLG/SCF binding, KIT can activate several signaling pathways. Phosphorylates PIK3R1, PLCG1, SH2B2/APS and CBL. Activates the AKT1 signaling pathway by phosphorylation of PIK3R1, the regulatory subunit of phosphatidylinositol 3-kinase. Activated KIT also transmits signals via GRB2 and activation of RAS, RAF1 and the MAP kinases MAPK1/ERK2 and/or MAPK3/ERK1. Promotes activation of STAT family members STAT1, STAT3, STAT5A and STAT5B. Activation of PLCG1 leads to the production of the cellular signaling molecules diacylglycerol and inositol 1,4,5-trisphosphate. KIT signaling is modulated by protein phosphatases, and by rapid internalization and degradation of the receptor. Activated KIT promotes phosphorylation of the protein phosphatases PTPN6/SHP-1 and PTPRU, and of the transcription factors STAT1, STAT3, STAT5A and STAT5B. Promotes phosphorylation of PIK3R1, CBL, CRK (isoform Crk-II), LYN, MAPK1/ERK2 and/or MAPK3/ERK1, PLCG1, SRC and SHC1.
See full target information KIT

Publications (73)

Recent publications for all applications. Explore the full list and refine your search

Signal transduction and targeted therapy 10:299 PubMed40935839

2025

Coinhibition of the MEK/RTK pathway has high therapeutic efficacy in KRAS-mutant non-small cell lung cancer.

Applications

Unspecified application

Species

Unspecified reactive species

Jun Lu,Minjuan Hu,Yikai Zhao,Tianqing Chu,Wei Zhang,Yijia Zhou,Xinlei Cai,Jun Wu,Liang Hu,Chunlei Shi,Liwen Xiong,Aiqin Gu,Huimin Wang,Yanwei Zhang,Yuqing Lou,Runbo Zhong,Zhiqiang Gao,Hongyu Liu,Chao Zhou,Yingli Wu,Liang Zhu,Hua Zhong,Hongbin Ji,Baohui Han

Journal of gastrointestinal and liver diseases : JGLD 34:30-39 PubMed40153818

2025

Programmed Cell Death-ligand 1 as Biomarker of Poor Prognosis in Patients with Gastrointestinal Stromal Tumour.

Applications

Unspecified application

Species

Unspecified reactive species

Duolikun Yasheng,Abuduwaili Aierken,Yiliang Li,Aikebaier Aili,Kelimu Abudureyimu

Journal of cellular and molecular medicine 28:e70293 PubMed39720896

2024

Single-Cell RNA-Seq Reveals Injuries in Aortic Dissection and Identifies PDGF Signalling Pathway as a Potential Therapeutic Target.

Applications

Unspecified application

Species

Unspecified reactive species

Yichi Han,Yongji Cui,Juli Liu,Dingchen Wang,Guoxiang Zou,Xin Qi,Jinxiu Meng,Xiaoran Huang,Haiwei He,Xin Li

Nature neuroscience 27:2326-2340 PubMed39496796

2024

Leveraging deep single-soma RNA sequencing to explore the neural basis of human somatosensation.

Applications

Unspecified application

Species

Unspecified reactive species

Huasheng Yu,Saad S Nagi,Dmitry Usoskin,Yizhou Hu,Jussi Kupari,Otmane Bouchatta,Hanying Yan,Suna Li Cranfill,Mayank Gautam,Yijing Su,You Lu,James Wymer,Max Glanz,Phillip Albrecht,Hongjun Song,Guo-Li Ming,Stephen Prouty,John Seykora,Hao Wu,Minghong Ma,Andrew Marshall,Frank L Rice,Mingyao Li,Håkan Olausson,Patrik Ernfors,Wenqin Luo

Nature communications 15:8592 PubMed39366933

2024

Tumor draining lymph nodes connected to cold triple-negative breast cancers are characterized by Th2-associated microenvironment.

Applications

Unspecified application

Species

Unspecified reactive species

Weihua Guo,Jiayi Tan,Lei Wang,Colt A Egelston,Diana L Simons,Aaron Ochoa,Min Hui Lim,Lu Wang,Shawn Solomon,James Waisman,Christina H Wei,Caroline Hoffmann,Joo Song,Daniel Schmolze,Peter P Lee

Advanced science (Weinheim, Baden-Wurttemberg, Germany) 11:e2402393 PubMed39229959

2024

Sleep Deprivation Triggers the Excessive Activation of Ovarian Primordial Follicles via β2 Adrenergic Receptor Signaling.

Applications

Unspecified application

Species

Unspecified reactive species

Lichun Weng,Hanqing Hong,Qinyu Zhang,Chengqi Xiao,Qiuwan Zhang,Qian Wang,Ju Huang,Dongmei Lai

Oncology letters 28:468 PubMed39119236

2024

Myeloid/lymphoid neoplasms with eosinophilia and FGFR1 rearrangement t(8;13)(p11;q12): A case report and literature review.

Applications

Unspecified application

Species

Unspecified reactive species

Yu-Jie Guo,Meng-Xue Ma,Tian Tian,Jing-Nan Zhang,Xiao-Nan Guo,Shukai Qiao

Methods in molecular biology (Clifton, N.J.) 2825:281-292 PubMed38913316

2024

Generation of Polyploid Giant Cancer Cells (PGCCs) from Hey Ovarian Cancer Cells and Analysis of Embryonic Properties.

Applications

Unspecified application

Species

Unspecified reactive species

Na Niu,Jinsong Liu

Cell proliferation 57:e13551 PubMed37743695

2023

Omega-3 polyunsaturated fatty acids and its metabolite 12-HEPE rescue busulfan disrupted spermatogenesis via target to GPR120.

Applications

Unspecified application

Species

Unspecified reactive species

Jun Jing,Lei Ouyang,Hong Zhang,Kuan Liang,Rujun Ma,Xie Ge,Ting Tang,Shanmeizi Zhao,Tongmin Xue,Jiaming Shen,Jinzhao Ma,Zhou Li,Jing Wu,Yang Yang,Wei Zhao,Lu Zheng,Zhang Qian,Shanshan Sun,Yifeng Ge,Li Chen,Chaojun Li,Bing Yao

Nature communications 14:4893 PubMed37580352

2023

Camrelizumab combined with apatinib in patients with first-line platinum-resistant or PD-1 inhibitor resistant recurrent/metastatic nasopharyngeal carcinoma: a single-arm, phase 2 trial.

Applications

Unspecified application

Species

Unspecified reactive species

Li Yuan,Guo-Dong Jia,Xiao-Fei Lv,Si-Yi Xie,Shan-Shan Guo,Da-Feng Lin,Li-Ting Liu,Dong-Hua Luo,Yi-Fu Li,Shen-Wen Deng,Ling Guo,Mu-Sheng Zeng,Xiu-Yu Cai,Sai-Lan Liu,Xue-Song Sun,Xiao-Yun Li,Su-Chen Li,Qiu-Yan Chen,Lin-Quan Tang,Hai-Qiang Mai
View all publications

Product promise

We are committed to supporting your work with high-quality reagents, and we're here for you every step of the way. In the unlikely event that one of our products does not perform as expected, you're protected by our Product Promise.
For full details, please see our Terms & Conditions

Please note: All products are 'FOR RESEARCH USE ONLY. NOT FOR USE IN DIAGNOSTIC OR THERAPEUTIC PROCEDURES'.

For licensing inquiries, please contact partnerships@abcam.com