JavaScript is disabled in your browser. Please enable JavaScript to view this website.
AB177510

Anti-c-Myb antibody

Be the first to review this product! Submit a review

|

(2 Publications)

Rabbit Polyclonal c-Myb antibody. Suitable for IHC-P, IP and reacts with Human samples. Cited in 2 publications. Immunogen corresponding to Synthetic Peptide within Human MYB aa 150-250.

View Alternative Names

Transcriptional activator Myb, Proto-oncogene c-Myb, MYB

2 Images
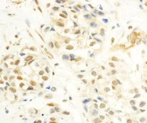
Immunohistochemistry (Formalin/PFA-fixed paraffin-embedded sections) - Anti-c-Myb antibody (AB177510)
  • IHC-P

Supplier Data

Immunohistochemistry (Formalin/PFA-fixed paraffin-embedded sections) - Anti-c-Myb antibody (AB177510)

Immunohistochemical analysis of formalin-fixed, paraffin-embedded Human breast carcinoma tissue labeling c-Myb with ab177510 at 1μg/ml. Detection : DAB.

Immunoprecipitation - Anti-c-Myb antibody (AB177510)
  • IP

Supplier Data

Immunoprecipitation - Anti-c-Myb antibody (AB177510)

Detection of Human c-Myb by Western Blot of Immunoprecipitate.

Lane 1 : Whole cell lysate (1 mg for IP; 20% of IP loaded) from MOLT4 cells.

Lane 2 : Control IgG.

ab177510 used for IP at 6 μg/mg lysate.

ab177510 was used at 1 μg/ml for WB.

Detection : Chemiluminescence with an exposure time of 10 seconds.

All lanes:

Immunoprecipitation - Anti-c-Myb antibody (ab177510)

Predicted band size: 72 kDa

false

Key facts

Host species

Rabbit

Clonality

Polyclonal

Isotype

IgG

Carrier free

No

Reacts with

Human

Applications

IHC-P, IP

applications

Immunogen

Synthetic Peptide within Human MYB aa 150-250. The exact immunogen used to generate this antibody is proprietary information.

P10242

Reactivity data

{ "title": "Reactivity Data", "filters": { "stats": ["", "Species", "Dilution Info", "Notes"], "tabs": { "all-applications": {"fullname" : "All Applications", "shortname": "All Applications"}, "IHCP" : {"fullname" : "Immunohistochemistry (Formalin/PFA-fixed paraffin-embedded sections)", "shortname":"IHC-P"}, "IP" : {"fullname" : "Immunoprecipitation", "shortname":"IP"} }, "product-promise": { "all": "all", "testedAndGuaranteed": "tested", "guaranteed": "expected", "predicted": "predicted", "notRecommended": "not-recommended" } }, "values": { "Human": { "IHCP-species-checked": "testedAndGuaranteed", "IHCP-species-dilution-info": "1/500 - 1/2000", "IHCP-species-notes": "<p></p> Perform heat-mediated antigen retrieval with citrate buffer pH 6 before commencing with IHC staining protocol.", "IP-species-checked": "testedAndGuaranteed", "IP-species-dilution-info": "2-10 µg/mg of lysate", "IP-species-notes": "<p></p>" }, "Cow": { "IHCP-species-checked": "predicted", "IHCP-species-dilution-info": "", "IHCP-species-notes": "", "IP-species-checked": "predicted", "IP-species-dilution-info": "", "IP-species-notes": "" }, "Cynomolgus monkey": { "IHCP-species-checked": "predicted", "IHCP-species-dilution-info": "", "IHCP-species-notes": "", "IP-species-checked": "predicted", "IP-species-dilution-info": "", "IP-species-notes": "" }, "Gorilla": { "IHCP-species-checked": "predicted", "IHCP-species-dilution-info": "", "IHCP-species-notes": "", "IP-species-checked": "predicted", "IP-species-dilution-info": "", "IP-species-notes": "" }, "Orangutan": { "IHCP-species-checked": "predicted", "IHCP-species-dilution-info": "", "IHCP-species-notes": "", "IP-species-checked": "predicted", "IP-species-dilution-info": "", "IP-species-notes": "" }, "Rhesus monkey": { "IHCP-species-checked": "predicted", "IHCP-species-dilution-info": "", "IHCP-species-notes": "", "IP-species-checked": "predicted", "IP-species-dilution-info": "", "IP-species-notes": "" } } }

Properties and storage information

Form
Liquid
Purification technique
Affinity purification Immunogen
Purification notes
ab177510 was affinity purified using an epitope specific to c-Myb immobilized on solid support.
Storage buffer
pH: 7 - 8 Preservative: 0.09% Sodium azide Constituents: 99% Tris citrate/phosphate
Shipped at conditions
Blue Ice
Appropriate short-term storage duration
1-2 weeks
Appropriate short-term storage conditions
+4°C
Appropriate long-term storage conditions
-20°C
Aliquoting information
Upon delivery aliquot
Storage information
Avoid freeze / thaw cycle

Supplementary information

This supplementary information is collated from multiple sources and compiled automatically.

The c-Myb protein also known as Myb MYB or c-myb acts mechanically as a transcription factor that regulates the expression of target genes. It plays a role in cellular processes like proliferation differentiation and apoptosis by binding to specific DNA sequences. c-Myb has a molecular mass of roughly 75 kDa. It predominantly expresses in hematopoietic cells where it significantly influences gene transcription activity. Also it appears in some epithelial tissues indicating its versatile role in different cell types.
Biological function summary

The protein serves as a master regulator in the development of various cell types. It is not part of a traditional complex but interacts with other proteins to exert its function such as binding with co-activators or repressors to modulate gene expression. c-Myb controls the transcription of genes that are critical for cell cycle regulation and differentiation especially in the context of blood cell lineages. The protein is particularly influential in the production of red blood cells and white blood cells.

Pathways

C-Myb fits integrally into known hematopoietic signaling cascades and the Wnt signaling pathway. It works alongside other proteins like cyclin-dependent kinase (CDK) family members and transcription factor GATA-1 to modulate lineage-specific gene expression. Through its regulatory actions c-Myb influences the activation of downstream effectors that propagate signals essential for maintaining cellular functions within these pathways. The modulation of these pathways underlines its role in cell fate decisions.

Studies link c-Myb to several forms of leukemia and colon cancer. In leukemia aberrant expression of c-Myb disrupts normal hematopoiesis contributing to the uncontrolled proliferation of immature blood cells. The abnormal interactions between c-Myb and proteins like Bcl-2 can lead to enhanced cellular survival further promoting malignant conditions. In colon cancer c-Myb overexpression influences tumor growth and progression often acting alongside other oncogenic factors to enhance disease severity.

Product protocols

For this product, it's our understanding that no specific protocols are required. You can visit:

Target data

Transcriptional activator; DNA-binding protein that specifically recognize the sequence 5'-YAAC[GT]G-3'. Plays an important role in the control of proliferation and differentiation of hematopoietic progenitor cells.
See full target information MYB

Publications (2)

Recent publications for all applications. Explore the full list and refine your search

Journal of experimental & clinical cancer research : CR 41:261 PubMed36028854

2022

ALKBH5-mediated m6A modification of circCCDC134 facilitates cervical cancer metastasis by enhancing HIF1A transcription.

Applications

Unspecified application

Species

Unspecified reactive species

Leilei Liang,Yunshu Zhu,Jian Li,Jia Zeng,Lingying Wu

Nature communications 10:2803 PubMed31243293

2019

DOT1L inhibition reveals a distinct subset of enhancers dependent on H3K79 methylation.

Applications

Unspecified application

Species

Unspecified reactive species

Laura Godfrey,Nicholas T Crump,Ross Thorne,I-Jun Lau,Emmanouela Repapi,Dimitra Dimou,Alastair L Smith,Joe R Harman,Jelena M Telenius,A Marieke Oudelaar,Damien J Downes,Paresh Vyas,Jim R Hughes,Thomas A Milne
View all publications

Product promise

We are committed to supporting your work with high-quality reagents, and we're here for you every step of the way. In the unlikely event that one of our products does not perform as expected, you're protected by our Product Promise.
For full details, please see our Terms & Conditions

Please note: All products are 'FOR RESEARCH USE ONLY. NOT FOR USE IN DIAGNOSTIC OR THERAPEUTIC PROCEDURES'.

For licensing inquiries, please contact partnerships@abcam.com