JavaScript is disabled in your browser. Please enable JavaScript to view this website.
AB168727

Anti-c-Myc antibody [Y69] - ChIP Grade - BSA and Azide free

  • BOND RX™ Validated
  • RabMAb
  • KO Validated
  • Advanced Validation
  • Recombinant
  • What is this?

4

(11 Reviews)

|

(13 Publications)

Anti-c-Myc antibody [Y69] - ChIP Grade - BSA and Azide free (ab168727) is a rabbit recombinant monoclonal antibody provided in a PBS only buffer for easy conjugation. Suitable in Western Blot, Flow Cytometry, IP, IHC-P, ICC/IF, ChIP in Human, Mouse, Rat.

- KO validated for confirmed specificity
- BSA, sodium azide, and glycerol-free for easy conjugation
- Biophysical QC for unrivalled batch-batch consistency

View Alternative Names

BHLHE39, MYC, Myc proto-oncogene protein, Class E basic helix-loop-helix protein 39, Proto-oncogene c-Myc, Transcription factor p64, bHLHe39

40 Images
Immunohistochemistry (Formalin/PFA-fixed paraffin-embedded sections) - Anti-c-Myc antibody [Y69] - ChIP Grade - BSA and Azide free (AB168727)
  • IHC-P

Lab

Immunohistochemistry (Formalin/PFA-fixed paraffin-embedded sections) - Anti-c-Myc antibody [Y69] - ChIP Grade - BSA and Azide free (AB168727)

This data was developed using the same antibody clone in a different buffer formulation (ab32072).

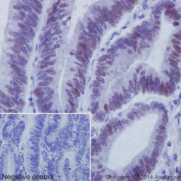
Immunohistochemical analysis of formalin fixed paraffin embedded human colon labelling c-Myc with ab32072 at a concentration of 1 µg/ml. The immunostaining was performed on a Ventana DISCOVERY ULTRA (Roche Tissue Diagnostics) instrument with an OptiView DAB IHC Detection Kit. Heat mediated antigen retrieval was conducted for 32 mins at 100°C with ULTRA cell conditioning solution (CC1, pH 8.5). ab32072 anti-c-Myc antibody [Y69] was incubated at 37°C for 16 mins. Sections were counterstained with Hematoxylin II. Image inset shows absence of staining in secondary antibody only control.

Immunocytochemistry/ Immunofluorescence - Anti-c-Myc antibody [Y69] - ChIP Grade - BSA and Azide free (AB168727)
  • ICC/IF

Unknown

Immunocytochemistry/ Immunofluorescence - Anti-c-Myc antibody [Y69] - ChIP Grade - BSA and Azide free (AB168727)

ICC/IF image of unpurified ab32072 stained HeLa (human epithelial cell line from cervix adenocarcinoma) cells. The cells were 4% PFA fixed (10 min) and then incubated in 1%BSA / 10% normal goat serum / 0.3M glycine in 0.1% PBS-Tween for 1h to permeabilise the cells and block non-specific protein-protein interactions. The cells were then incubated with the antibody (ab32072 1μg/ml) overnight at +4°C. The secondary antibody (green) was Goat Anti-Rabbit IgG H&L (DyLight® 488) preadsorbed (ab96899) used at a 1/250 dilution for 1h. Alexa Fluor® 594 WGA was used to label plasma membranes (red) at a 1/200 dilution for 1h. DAPI was used to stain the cell nuclei (blue) at a concentration of 1.43μM.

This data was developed using the same antibody clone in a different buffer formulation containing PBS, BSA, glycerol, and sodium azide (ab32072).

Immunohistochemistry (Formalin/PFA-fixed paraffin-embedded sections) - Anti-c-Myc antibody [Y69] - ChIP Grade - BSA and Azide free (AB168727)
  • IHC-P

Unknown

Immunohistochemistry (Formalin/PFA-fixed paraffin-embedded sections) - Anti-c-Myc antibody [Y69] - ChIP Grade - BSA and Azide free (AB168727)

IHC image of ab32072 staining c-Myc in human esophagus formalin fixed paraffin embedded tissue sections*, performed on a Leica Bond. The section was pre-treated using heat mediated antigen retrieval with sodium citrate buffer (pH6, epitope retrieval solution 1) for 20 mins. The section was then incubated with ab32072, 1µg/ml, for 15 mins at room temperature and detected using an HRP conjugated compact polymer system. DAB was used as the chromogen. The section was then counterstained with haematoxylin and mounted with DPX. No primary antibody was used in the Secondary only control (shown on the inset).

For other IHC staining systems (automated and non-automated) customers should optimize variable parameters such as antigen retrieval conditions, primary antibody concentration and antibody incubation times.

This data was developed using the same antibody clone in a different buffer formulation containing PBS, BSA, glycerol, and sodium azide (ab32072).

Immunocytochemistry/ Immunofluorescence - Anti-c-Myc antibody [Y69] - ChIP Grade - BSA and Azide free (AB168727)
  • ICC/IF

Unknown

Immunocytochemistry/ Immunofluorescence - Anti-c-Myc antibody [Y69] - ChIP Grade - BSA and Azide free (AB168727)

ab32072 staining c-Myc in HeLa (human epithelial cell line from cervix adenocarcinoma) cells. The cells were fixed with 4% formaldehyde (10min) permeabilized with 0.1% Triton X-100 for 5 minutes and then blocked with 1% BSA/10% normal goat serum/0.3M glycine in 0.1%PBS-Tween for 1h. The cells were then incubated overnight at +4°C with ab32072 at 10μg/ml dilution (shown in green) and ab195889 mouse monoclonal to alpha Tubulin (Alexa Fluor® 594) at 2μg/ml (shown in red). Nuclear DNA was labelled with DAPI (shown in blue).

Image was taken with a confocal microscope (Leica-Microsystems TCS SP8).

This data was developed using the same antibody clone in a different buffer formulation containing PBS, BSA, glycerol, and sodium azide (ab32072).

Flow Cytometry (Intracellular) - Anti-c-Myc antibody [Y69] - ChIP Grade - BSA and Azide free (AB168727)
  • Flow Cyt (Intra)

Unknown

Flow Cytometry (Intracellular) - Anti-c-Myc antibody [Y69] - ChIP Grade - BSA and Azide free (AB168727)

Overlay histogram showing HeLa (human epithelial cell line from cervix adenocarcinoma) cells stained with ab32072 (red line). The cells were fixed with 80% methanol (5 min) and then permeabilized with 0.1% PBS-Tween for 20 min. The cells were then incubated in 1x PBS / 10% normal goat serum / 0.3M glycine to block non-specific protein-protein interactions followed by the antibody (ab32072 1/76 dilution) for 30 min at 22°C. The secondary antibody used wasGoat Anti-Rabbit IgG H&L (Alexa Fluor® 488) preadsorbed (ab150081) secondary antibodyat 1/2000 dilution for 30 min at 22°C. Isotype control antibody (black line) was rabbit IgG [EPR25A] (monoclonal) (ab172730 1μg/1x106 cells) used under the same conditions. Unlabelled sample (blue line) was also used as a control.

Acquisition of >5000 events were collected using a 20mW Argon ion laser (488nm) and 525/30 nm bandpass filter.

This data was developed using the same antibody clone in a different buffer formulation containing PBS, BSA, glycerol, and sodium azide (ab32072).

Immunohistochemistry (Formalin/PFA-fixed paraffin-embedded sections) - Anti-c-Myc antibody [Y69] - ChIP Grade - BSA and Azide free (AB168727)
  • IHC-P

Unknown

Immunohistochemistry (Formalin/PFA-fixed paraffin-embedded sections) - Anti-c-Myc antibody [Y69] - ChIP Grade - BSA and Azide free (AB168727)

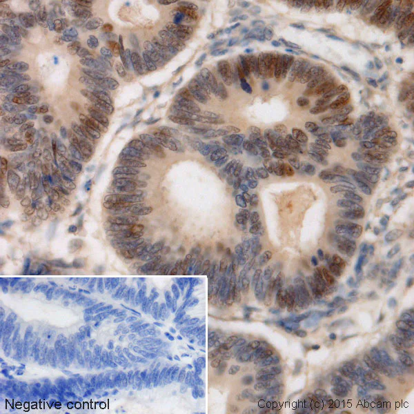
Immunohistochemistry (Formalin/PFA-fixed paraffin-embedded sections) analysis of human adenocarcinoma of the colon tissue labelling c-Myc with purified ab32072 at 1/500 dilution. Heat mediated antigen retrieval was performed using Tris/EDTA buffer pH 9. Goat Anti-Rabbit IgG H&L (HRP) (ab97051) secondary antibody was used as the secondary antibody (1/500 dilution). Negative control using PBS instead of primary antibody. Counterstained with hematoxylin.

This data was developed using the same antibody clone in a different buffer formulation containing PBS, BSA, glycerol, and sodium azide (ab32072).

Immunohistochemistry (Formalin/PFA-fixed paraffin-embedded sections) - Anti-c-Myc antibody [Y69] - ChIP Grade - BSA and Azide free (AB168727)
  • IHC-P

Unknown

Immunohistochemistry (Formalin/PFA-fixed paraffin-embedded sections) - Anti-c-Myc antibody [Y69] - ChIP Grade - BSA and Azide free (AB168727)

Immunohistochemistry (Formalin/PFA-fixed paraffin-embedded sections) analysis of human skin carcinoma tissue labelling c-Myc with unpurified ab32072 at 1/50.

This data was developed using the same antibody clone in a different buffer formulation containing PBS, BSA, glycerol, and sodium azide (ab32072).

Immunocytochemistry/ Immunofluorescence - Anti-c-Myc antibody [Y69] - ChIP Grade - BSA and Azide free (AB168727)
  • ICC/IF

Unknown

Immunocytochemistry/ Immunofluorescence - Anti-c-Myc antibody [Y69] - ChIP Grade - BSA and Azide free (AB168727)

Clone Y69 (ab168727) has been successfully conjugated by Abcam. This image was generated using Anti-c-Myc antibody [Y69] (Alexa Fluor® 647). Please refer to ab190560 for protocol details.

ab190560 staining c-Myc in panc1 cells. The cells were fixed with 100% methanol (5 min), permeabilized in 0.1% Triton X-100 for 5 minutes and then blocked in 1% BSA/10% normal goat serum/0.3M glycine in 0.1% PBS-Tween for 1h. The cells were then incubated with ab190560 at a working dilution of 1 in 100 (shown in red) and ab195887, Mouse monoclonal [DM1A] to alpha Tubulin (Alexa Fluor® 488, shown in green) at 2µg/ml overnight at +4°C. Nuclear DNA was labelled in blue with DAPI.

This product also gave a positive signal in 4% formaldehyde (10 min) fixed panc1 cells under the same testing conditions.

Image was taken with a confocal microscope (Leica-Microsystems, TCS SP8).

Immunohistochemistry (Formalin/PFA-fixed paraffin-embedded sections) - Anti-c-Myc antibody [Y69] - ChIP Grade - BSA and Azide free (AB168727)
  • IHC-P

Unknown

Immunohistochemistry (Formalin/PFA-fixed paraffin-embedded sections) - Anti-c-Myc antibody [Y69] - ChIP Grade - BSA and Azide free (AB168727)

Immunohistochemistry (Formalin/PFA-fixed parffin-embedded sections) analysis of human urinary bladder transitional carcinoma tissue labelling c-Myc with unpurified ab32072.

This data was developed using the same antibody clone in a different buffer formulation containing PBS, BSA, glycerol, and sodium azide (ab32072).

Immunohistochemistry (Formalin/PFA-fixed paraffin-embedded sections) - Anti-c-Myc antibody [Y69] - ChIP Grade - BSA and Azide free (AB168727)
  • IHC-P

Unknown

Immunohistochemistry (Formalin/PFA-fixed paraffin-embedded sections) - Anti-c-Myc antibody [Y69] - ChIP Grade - BSA and Azide free (AB168727)

Immunohistochemistry (Formalin/PFA-fixed paraffin-embedded sections) analysis of human gastric adenocarcinoma tissue labelling c-Myc with unpurified ab32072.

This data was developed using the same antibody clone in a different buffer formulation containing PBS, BSA, glycerol, and sodium azide (ab32072).

Immunocytochemistry/ Immunofluorescence - Anti-c-Myc antibody [Y69] - ChIP Grade - BSA and Azide free (AB168727)
  • ICC/IF

Unknown

Immunocytochemistry/ Immunofluorescence - Anti-c-Myc antibody [Y69] - ChIP Grade - BSA and Azide free (AB168727)

Clone Y69 (ab168727) has been successfully conjugated by Abcam. This image was generated using Anti-c-Myc antibody [Y69] (Alexa Fluor® 488). Please refer to ab190026 for protocol details.

ab190026 staining c-myc in Panc-1 cells. The cells were fixed with 4% formaldehyde (10 min), permeabilized with 0.1% Triton X-100 for 5 minutes and then blocked with 1% BSA/10% normal goat serum/0.3M glycine in 0.1% PBS-Tween for 1h. The cells were then incubated overnight at +4°C with ab190026 at 1/100 dilution (shown in green) and ab195889, Mouse monoclonal to alpha Tubulin (Alexa Fluor® 594), at 1/250 dilution (shown in red). Nuclear DNA was labelled with DAPI (shown in blue).

Image was taken with a confocal microscope (Leica-Microsystems, TCS SP8).

Flow Cytometry (Intracellular) - Anti-c-Myc antibody [Y69] - ChIP Grade - BSA and Azide free (AB168727)
  • Flow Cyt (Intra)

Lab

Flow Cytometry (Intracellular) - Anti-c-Myc antibody [Y69] - ChIP Grade - BSA and Azide free (AB168727)

Flow cytometry overlay histogram showing wild-type HEK293 (green line) and MYC knockout HEK293 stained with ab32072 (red line). The cells were fixed with 80% methanol (5 min) and then permeabilised with 0.1% PBS-Triton X-100 for 15 min. The cells were then incubated in 1x PBS containing 10% normal goat serum to block non-specific protein-protein interaction followed by the antibody (ab32072) (1x 106 in 100μl at 0.2 μg/ml (1/11500 dilution)) for 30min at 22°C.The secondary antibody Goat Anti-Rabbit IgG H&L (Alexa Fluor® 488) preadsorbed was incubated at 1/4000 for 30min at 22°CIsotype control antibody Recombinant Rabbit IgG monoclonal [EPR25A] - Isotype Control was used at the same concentration and conditions as the primary antibody (wild-type HEK293 - black line MYC knockout HEK293 - grey line). Unlabelled sample was also used as a control (this line is not shown for the purpose of simplicity).Acquisition of >5000 events were collected using a 50 mW Blue laser (488nm) and 525/40 bandpass filter.This antibody gave a positive signal in HEK293 Fixed with 4% formaldehyde (10 min) / permeabilised with 0.1% PBS-Triton X-100 for 15 min under the same conditions.

This data was developed using the same antibody clone in a different buffer formulation containing PBS, BSA, glycerol, and sodium azide (ab32072).

Immunohistochemistry (Formalin/PFA-fixed paraffin-embedded sections) - Anti-c-Myc antibody [Y69] - ChIP Grade - BSA and Azide free (AB168727)
  • IHC-P

Lab

Immunohistochemistry (Formalin/PFA-fixed paraffin-embedded sections) - Anti-c-Myc antibody [Y69] - ChIP Grade - BSA and Azide free (AB168727)

This data was developed using the same antibody clone in a different buffer formulation (ab32072).

Immunohistochemical analysis of formalin fixed paraffin embedded human colon labelling c-Myc with ab32072 at a concentration of 1 µg/ml. The immunostaining was performed on a Leica Biosystems BOND® RX instrument with a Bond™ Polymer Refine Detection kit. Heat mediated antigen retrieval was performed with Tris-EDTA buffer (pH 9.0, Epitope Retrieval Solution 2) for 20 mins. ab32072 anti-c-Myc antibody [Y69] was incubated for 30 mins at room temperature. Sections were counterstained with Hematoxylin. Image inset shows absence of staining in secondary antibody only control.

Immunocytochemistry/ Immunofluorescence - Anti-c-Myc antibody [Y69] - ChIP Grade - BSA and Azide free (AB168727)
  • ICC/IF

Supplier Data

Immunocytochemistry/ Immunofluorescence - Anti-c-Myc antibody [Y69] - ChIP Grade - BSA and Azide free (AB168727)

This data was developed using the same antibody clone in a different buffer formulation containing PBS, BSA, glycerol, and sodium azide (ab32072).

ab32072 staining of Myc proto-oncogene protein in a HCT 116 cell spheroid. The cells were fixed with 4% paraformaldehyde (10 min), permeabilised with 2% Triton X-100 for 1h and then blocked with 1% BSA/10% normal goat serum/0.3M glycine 0.1% PBS-Tween overnight at room temperature. The spheroids were then incubated overnight at room temperature with ab32072 at 2 μg/ml and ab7291, Mouse monoclonal [DM1A] to alpha Tubulin at 2 μg/ml. DAPI was used as nuclear counterstain (shown in blue). As secondary antibodies ab150081 Goat anti-Rabbit (Alexa Fluor® 488) (shown in green) and ab150120 Goat anti-Mouse (Alexa Fluor® 594) (shown in magenta) were used, incubated overnight at room temperature. All permeabilization, blocking and antibody incubation steps were performed using a rotary shaker.

Image was acquired with a high-content analyser (Operetta CLS, Perkin Elmer) and a maximum intensity projection of confocal sections is shown.

Similar results were observed using 100% Methanol (5min).

Immunohistochemistry (Formalin/PFA-fixed paraffin-embedded sections) - Anti-c-Myc antibody [Y69] - ChIP Grade - BSA and Azide free (AB168727)
  • IHC-P

PubMed

Immunohistochemistry (Formalin/PFA-fixed paraffin-embedded sections) - Anti-c-Myc antibody [Y69] - ChIP Grade - BSA and Azide free (AB168727)

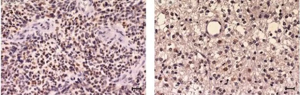
Expression of c-Myc, as determined by immunohistochemical staining of glioblastoma sample (left) and low-grade glioma tumor (right) with ab32072. Representative samples are shown. Scale bars = 20 μm. Nuclei were counterstained with hematoxylin (in blue).

For the full image see PMID 25050814.

This data was developed using the same antibody clone in a different buffer formulation containing PBS, BSA, glycerol, and sodium azide (ab32072).

Image from Simeone P et al. PLoS One. 2014;;9(7):e103030.; doi: 10.1371/journal.pone.0103030.

Immunohistochemistry (Formalin/PFA-fixed paraffin-embedded sections) - Anti-c-Myc antibody [Y69] - ChIP Grade - BSA and Azide free (AB168727)
  • IHC-P

PubMed

Immunohistochemistry (Formalin/PFA-fixed paraffin-embedded sections) - Anti-c-Myc antibody [Y69] - ChIP Grade - BSA and Azide free (AB168727)

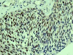
Photomicrographs of select tumors and reactive tissue stained for c-Myc (positive staining = brown nuclei). Positive control (Burkitt lymphoma with a confirmed c-Myc translocation) revealed uniform, intense staining in >90% of tumor cells (Burkitt). In contrast, reactive lymphoid tissue revealed variable staining in only 10% of normal lymphocyte nuclei (Tonsil). Representative images from Diffuse large B cell lymphoma (DLBCL) cases and associated percent c-Myc+ tumor nuclei : Case 1, 90% MYC+; Case 7, 70% MYC+; and Cases 35 and 38, 30% c-Myc+. c-Myc staining was exclusively nuclear in all cases under the described staining conditions.

This data was developed using the same antibody clone in a different buffer formulation containing PBS, BSA, glycerol, and sodium azide (ab32072).

Image from Kluk MJ et al. PLoS One. 2012;7(4):e33813. Fig 1.; doi: 10.1371/journal.pone.0033813.

Immunohistochemistry (Formalin/PFA-fixed paraffin-embedded sections) - Anti-c-Myc antibody [Y69] - ChIP Grade - BSA and Azide free (AB168727)
  • IHC-P

PubMed

Immunohistochemistry (Formalin/PFA-fixed paraffin-embedded sections) - Anti-c-Myc antibody [Y69] - ChIP Grade - BSA and Azide free (AB168727)

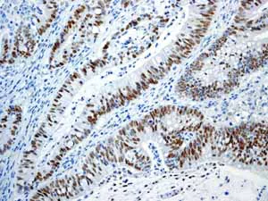
Human colorectal carcinoma (CRC) tissues stained for c-Myc using ab32072 at 1/100 dilution in immunohistochemical analysis.

Panel A : c-Myc positive IHC staining; Panel B : c-Myc negative IHC staining.

For the full image see PMID 24503701.

This data was developed using the same antibody clone in a different buffer formulation containing PBS, BSA, glycerol, and sodium azide (ab32072).

Image from Toon CW et al. PLoS One. 2014;9(2):e87456. Fig 1.; doi: 10.1371/journal.pone.0087456.

Immunohistochemistry (Formalin/PFA-fixed paraffin-embedded sections) - Anti-c-Myc antibody [Y69] - ChIP Grade - BSA and Azide free (AB168727)
  • IHC-P

Lab

Immunohistochemistry (Formalin/PFA-fixed paraffin-embedded sections) - Anti-c-Myc antibody [Y69] - ChIP Grade - BSA and Azide free (AB168727)

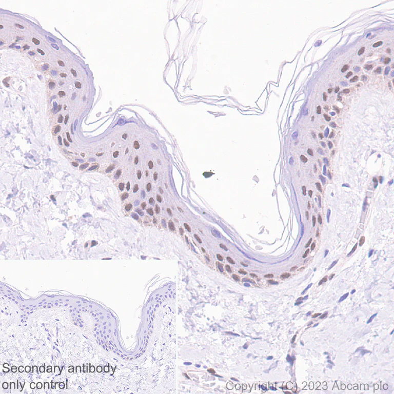
This data was developed using the same antibody clone in a different buffer formulation (ab32072). Immunohistochemical analysis of Paraffin-embedded sections human skin tissue labelling c-Myc with ab32072 at 1/500 dilution, followed by a ready to use secondary Goat Anti-Rabbit IgG H&L (HRP). Counter stained with Haematoxylin. Secondary antibody only control : Used PBS instead of primary antibody Heat mediated antigen retrieval was performed with Tris-EDTA buffer (pH 9.0, Epitope Retrieval Solution2) for 20 mins Positive staining on human skin. The section was incubated with ab32072 for 30 mins at room temperature. The immunostaining was performed on a Leica Biosystems BOND® RX instrument.

Immunohistochemistry (Formalin/PFA-fixed paraffin-embedded sections) - Anti-c-Myc antibody [Y69] - ChIP Grade - BSA and Azide free (AB168727)
  • IHC-P

Unknown

Immunohistochemistry (Formalin/PFA-fixed paraffin-embedded sections) - Anti-c-Myc antibody [Y69] - ChIP Grade - BSA and Azide free (AB168727)

Immunohistochemistry (Formalin/PFA-fixed paraffin-embedded sections) analysis of human lung adenocarinoma tissue labelling c-Myc with unpurified ab32072.

This data was developed using the same antibody clone in a different buffer formulation containing PBS, BSA, glycerol, and sodium azide (ab32072).

Immunohistochemistry (Formalin/PFA-fixed paraffin-embedded sections) - Anti-c-Myc antibody [Y69] - ChIP Grade - BSA and Azide free (AB168727)
  • IHC-P

Unknown

Immunohistochemistry (Formalin/PFA-fixed paraffin-embedded sections) - Anti-c-Myc antibody [Y69] - ChIP Grade - BSA and Azide free (AB168727)

IHC image of ab32072 staining c-Myc in human adenocarcinoma formalin fixed paraffin embedded tissue sections, performed on a Leica Bond. The section was pre-treated using heat mediated antigen retrieval with sodium citrate buffer (pH6, epitope retrieval solution 1) for 20 mins. The section was then incubated with ab32072, 5µg/ml, for 15 mins at room temperature and detected using an HRP conjugated compact polymer system. DAB was used as the chromogen. The section was then counterstained with haematoxylin and mounted with DPX. No primary antibody was used in the negative control (shown on the inset).

For other IHC staining systems (automated and non-automated) customers should optimize variable parameters such as antigen retrieval conditions, primary antibody concentration and antibody incubation times.

This data was developed using the same antibody clone in a different buffer formulation containing PBS, BSA, glycerol, and sodium azide (ab32072).

Immunohistochemistry (Formalin/PFA-fixed paraffin-embedded sections) - Anti-c-Myc antibody [Y69] - ChIP Grade - BSA and Azide free (AB168727)
  • IHC-P

Lab

Immunohistochemistry (Formalin/PFA-fixed paraffin-embedded sections) - Anti-c-Myc antibody [Y69] - ChIP Grade - BSA and Azide free (AB168727)

This data was developed using the same antibody clone in a different buffer formulation (ab32072). Immunohistochemical analysis of Paraffin-embedded sections human cerebrum tissue labelling c-Myc with ab32072 at 1/500 dilution, followed by a ready to use secondary Goat Anti-Rabbit IgG H&L (HRP). Counter stained with Haematoxylin. Secondary antibody only control : Used PBS instead of primary antibody Heat mediated antigen retrieval was performed with Tris-EDTA buffer (pH 9.0, Epitope Retrieval Solution2) for 20 mins Negative control : no staining on human cerebrum. The section was incubated with ab32072 for 30 mins at room temperature. The immunostaining was performed on a Leica Biosystems BOND® RX instrument.

Immunohistochemistry (Formalin/PFA-fixed paraffin-embedded sections) - Anti-c-Myc antibody [Y69] - ChIP Grade - BSA and Azide free (AB168727)
  • IHC-P

Unknown

Immunohistochemistry (Formalin/PFA-fixed paraffin-embedded sections) - Anti-c-Myc antibody [Y69] - ChIP Grade - BSA and Azide free (AB168727)

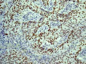
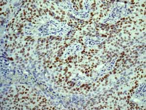
Immunohistochemistry (Formalin/PFA-fixed paraffin-embedded sections) analysis of human diffuse large B cell lymphoma tissue labelling c-Myc with purified ab32072 at 1/500. Heat mediated antigen retrieval was performed using Tris/EDTA buffer pH 9. Goat Anti-Rabbit IgG H&L (HRP) (ab97051) secondary antibody was used as the secondary antibody (1/500). Negative control using PBS instead of primary antibody. Counterstained with hematoxylin.

This data was developed using the same antibody clone in a different buffer formulation containing PBS, BSA, glycerol, and sodium azide (ab32072).

Immunohistochemistry (Formalin/PFA-fixed paraffin-embedded sections) - Anti-c-Myc antibody [Y69] - ChIP Grade - BSA and Azide free (AB168727)
  • IHC-P

Unknown

Immunohistochemistry (Formalin/PFA-fixed paraffin-embedded sections) - Anti-c-Myc antibody [Y69] - ChIP Grade - BSA and Azide free (AB168727)

Immunohistochemistry (Formalin/PFA-fixed paraffin-embedded sections) analysis of human adenocarinoma of colon tissue labelling c-Myc with unpurified ab32072.

This data was developed using the same antibody clone in a different buffer formulation containing PBS, BSA, glycerol, and sodium azide (ab32072).

Immunocytochemistry/ Immunofluorescence - Anti-c-Myc antibody [Y69] - ChIP Grade - BSA and Azide free (AB168727)
  • ICC/IF

AbReview23419****

Immunocytochemistry/ Immunofluorescence - Anti-c-Myc antibody [Y69] - ChIP Grade - BSA and Azide free (AB168727)

Unpurified ab32072 staining c-Myc in HEK293 cells transfected with CACNB4-c-Myc by immunocytochemistry/ immunofluorescence.Cells were fixed in paraformaldehyde permeabilized with 0.5% Triton X-100 then blocked using 5% serum for 20 minutes at 25°C. Samples were then incubated with ab32072 at a 1/250 dilution for 16 hours at 4°C. The secondary used was an Alexa Fluor® 488 conjugated goat anti-rabbit polyclonal used at a 1/500 dilution.

This data was developed using the same antibody clone in a different buffer formulation containing PBS, BSA, glycerol, and sodium azide (ab32072).

Image courtesy of Dr Vladimir Milenkovic by Abreview.

Immunocytochemistry/ Immunofluorescence - Anti-c-Myc antibody [Y69] - ChIP Grade - BSA and Azide free (AB168727)
  • ICC/IF

Unknown

Immunocytochemistry/ Immunofluorescence - Anti-c-Myc antibody [Y69] - ChIP Grade - BSA and Azide free (AB168727)

This data was developed using the same antibody clone in a different buffer formulation (ab32072). ab32072 staining MYC in wild-type HEK293 cells (top panel) and MYC knockout HEK293 cells (ab256500) (bottom panel). The cells were fixed with 4% paraformaldehyde (10 min) then permeabilized with 0.1% Triton X-100 for 5 minutes and then blocked with 1% BSA/10% normal goat serum/0.3M glycine in 0.1% PBS-Tween for 1h. The cells were then incubated with ab32072 at 5μg/ml concentration and ab7291 (Mouse monoclonal to alpha Tubulin) at 1/1000 dilution overnight at 4°C followed by a further incubation at room temperature for 1h with a goat secondary antibody to rabbit IgG (Alexa Fluor® 488) (ab150081) at 2 μg/ml (shown in green) and a goat secondary antibody to mouse IgG (Alexa Fluor® 594) (ab150120) at 2 μg/ml (shown in red). Nuclear DNA was labelled in blue with DAPI.
Image was taken with a confocal microscope (Leica-Microsystems TCS SP8).

Immunocytochemistry/ Immunofluorescence - Anti-c-Myc antibody [Y69] - ChIP Grade - BSA and Azide free (AB168727)
  • ICC/IF

Unknown

Immunocytochemistry/ Immunofluorescence - Anti-c-Myc antibody [Y69] - ChIP Grade - BSA and Azide free (AB168727)

Immunocytochemistry/immunofluorescence analysis of HeLa (human epithelial cell line from cervix adenocarcinoma) cells labelling c-Myc with purified ab32072 at 1/100 dilution. Cells were fixed with 4% paraformaldehyde and permeabilized with 0.1% Triton X-100. Goat Anti-Rabbit IgG H&L (Alexa Fluor® 488) (ab150077) secondary antibody (1/500 dilution) was used as the secondary antibody. DAPI (blue) was used as the nuclear counterstain.

Control : primary antibody (1/100 dilution) and secondary antibody Goat Anti-Mouse IgG H&L (Alexa Fluor® 594) preadsorbed (ab150120) (1/500 dilution).

This data was developed using the same antibody clone in a different buffer formulation containing PBS, BSA, glycerol, and sodium azide (ab32072).

ChIP-sequencing - Anti-c-Myc antibody [Y69] - ChIP Grade - BSA and Azide free (AB168727)
  • ChIP-seq

Lab

ChIP-sequencing - Anti-c-Myc antibody [Y69] - ChIP Grade - BSA and Azide free (AB168727)

Chromatin was prepared from HeLa cells. Cells were fixed with 1% formaldehyde for 10 minutes. ChIP was performed with 10^7 HeLa cells and 8µg of ab32072 [Y69]. ChIP DNA was sequenced on the Illumina NovaSeq 6000 to a depth of 30 million reads. Additional screenshots of mapped reads can be downloaded here. This data was developed using the same antibody clone in a different buffer formulation (ab32072).

ChIP-sequencing - Anti-c-Myc antibody [Y69] - ChIP Grade - BSA and Azide free (AB168727)
  • ChIP-seq

Lab

ChIP-sequencing - Anti-c-Myc antibody [Y69] - ChIP Grade - BSA and Azide free (AB168727)

Chromatin was prepared from HeLa cells. Cells were fixed with 1% formaldehyde for 10 minutes. ChIP was performed with 10^7 NCCIT cells and 8µg of ab32072 [Y69]. ChIP DNA was sequenced on the Illumina NovaSeq 6000 to a depth of 30 million reads. Additional screenshots of mapped reads can be downloaded here. This data was developed using the same antibody clone in a different buffer formulation (ab32072).

ChIP-sequencing - Anti-c-Myc antibody [Y69] - ChIP Grade - BSA and Azide free (AB168727)
  • ChIP-seq

Lab

ChIP-sequencing - Anti-c-Myc antibody [Y69] - ChIP Grade - BSA and Azide free (AB168727)

Chromatin was prepared from HeLa cells. Cells were fixed with 1% formaldehyde for 10 minutes. ChIP was performed with 10^7 NCCIT cells and 8µg of ab32072 [Y69]. ChIP DNA was sequenced on the Illumina NovaSeq 6000 to a depth of 30 million reads. Additional screenshots of mapped reads can be downloaded here. This data was developed using the same antibody clone in a different buffer formulation (ab32072).

ChIP-sequencing - Anti-c-Myc antibody [Y69] - ChIP Grade - BSA and Azide free (AB168727)
  • ChIP-seq

Lab

ChIP-sequencing - Anti-c-Myc antibody [Y69] - ChIP Grade - BSA and Azide free (AB168727)

Chromatin was prepared from HeLa cells. Cells were fixed with 1% formaldehyde for 10 minutes. ChIP was performed with 10^7 NCCIT cells and 8µg of ab32072 [Y69]. ChIP DNA was sequenced on the Illumina NovaSeq 6000 to a depth of 30 million reads. Additional screenshots of mapped reads can be downloaded here. This data was developed using the same antibody clone in a different buffer formulation (ab32072).

Immunoprecipitation - Anti-c-Myc antibody [Y69] - ChIP Grade - BSA and Azide free (AB168727)
  • IP

Unknown

Immunoprecipitation - Anti-c-Myc antibody [Y69] - ChIP Grade - BSA and Azide free (AB168727)

c-Myc was immunoprecipitated using 0.5mg Jurkat (human T cell leukemia cell line from peripheral blood) whole cell extract, 5µg of unpurified rabbit monoclonal to c-Myc [Y69] and 50µl of protein G magnetic beads (+). No antibody was added to the control (-).

The antibody was incubated under agitation with Protein G beads for 10min, Jurkat whole cell extract lysate diluted in RIPA buffer was added to each sample and incubated for a further 10min under agitation.

Proteins were eluted by addition of 40µl SDS loading buffer and incubated for 10min at 70°C; 10µl of each sample was separated on a SDS PAGE gel, transferred to a nitrocellulose membrane, blocked with 5% BSA and probed with unpurified ab32072.

Secondary : Goat polyclonal to mouse IgG light chain specific (HRP) at 1/20,000 dilution.

Band : 57kDa; c-Myc [Y69]

This data was developed using the same antibody clone in a different buffer formulation containing PBS, BSA, glycerol, and sodium azide (ab32072).

All lanes:

Immunoprecipitation - Anti-c-Myc antibody [Y69] - ChIP Grade (<a href='/en-us/products/primary-antibodies/c-myc-antibody-y69-chip-grade-ab32072'>ab32072</a>)

Predicted band size: 48 kDa

true

Exposure time: 12min

Immunohistochemistry (Formalin/PFA-fixed paraffin-embedded sections) - Anti-c-Myc antibody [Y69] - ChIP Grade - BSA and Azide free (AB168727)
  • IHC-P

Unknown

Immunohistochemistry (Formalin/PFA-fixed paraffin-embedded sections) - Anti-c-Myc antibody [Y69] - ChIP Grade - BSA and Azide free (AB168727)

Immunohistochemical analysis of paraffin-embedded Mouse spleen tissue labeling c-Myc with ab32072 at 1/500 dilution, followed by Goat Anti-Rabbit IgG H&L (HRP) (ab97051) secondary antibody at 1/500 dilution. Nuclear staining on mouse spleen. Counter stained with Hematoxylin.

Secondary antibody only control : Used PBS instead of primary antibody, secondary antibody is Goat Anti-Rabbit IgG H&L (HRP) (ab97051) secondary antibody at 1/500 dilution.

This data was developed using the same antibody clone in a different buffer formulation containing PBS, BSA, glycerol, and sodium azide (ab32072).

Western blot - Anti-c-Myc antibody [Y69] - ChIP Grade - BSA and Azide free (AB168727)
  • WB

Lab

Western blot - Anti-c-Myc antibody [Y69] - ChIP Grade - BSA and Azide free (AB168727)

Blocking buffer : 5% NFDM/TBST.

All lanes:

Western blot - Anti-c-Myc antibody [Y69] - ChIP Grade (<a href='/en-us/products/primary-antibodies/c-myc-antibody-y69-chip-grade-ab32072'>ab32072</a>) at 1/1000 dilution

Lane 1:

Mouse brain tissue lysate at 20 µg

Lane 2:

Mouse brain cancer tissue lysate at 20 µg

Lane 3:

Mouse skin tissue lysate at 20 µg

Lane 4:

Mouse skin cancer tissue lysate at 20 µg

Secondary

All lanes:

Western blot - Goat Anti-Rabbit IgG H&L (HRP) (<a href='/en-us/products/secondary-antibodies/goat-rabbit-igg-h-l-hrp-ab97051'>ab97051</a>) at 1/20000 dilution

Observed band size: 45 kDa

false

Exposure time: 60s

Western blot - Anti-c-Myc antibody [Y69] - ChIP Grade - BSA and Azide free (AB168727)
  • WB

Lab

Western blot - Anti-c-Myc antibody [Y69] - ChIP Grade - BSA and Azide free (AB168727)

Blocking/Diluting buffer and concentration : 5% NFDM/TBST. Lanes 1 and 2 : 80 seconds exposure time. Lanes 3 to 5 : 5 seconds exposure time. This data was developed using the same antibody clone in a different buffer formulation containing PBS, BSA, glycerol, and sodium azide (ab32072).

All lanes:

Western blot - Anti-c-Myc antibody [Y69] - ChIP Grade (<a href='/en-us/products/primary-antibodies/c-myc-antibody-y69-chip-grade-ab32072'>ab32072</a>) at 1/1000 dilution

Lane 1:

Rat pancreas lysates at 20 µg

Lane 2:

AR42J (Rat pancreatic tumor epithelial cell) whole cell lysates at 20 µg

Lane 3:

Rat-1 (Rat embryonic fibroblast) whole cell lysates at 20 µg

Lane 4:

HEK-293 (Human embryonic kidney epithelial cell) whole cell lysates at 20 µg

Lane 5:

HeLa (Human cervix adenocarcinoma epithelial cell) whole cell lysates at 20 µg

Secondary

All lanes:

Western blot - Goat Anti-Rabbit IgG H&L (HRP) (<a href='/en-us/products/secondary-antibodies/goat-rabbit-igg-h-l-hrp-ab97051'>ab97051</a>) at 20000 µg/mL

Observed band size: 45 kDa,57 kDa

false

Western blot - Anti-c-Myc antibody [Y69] - ChIP Grade - BSA and Azide free (AB168727)
  • WB

Lab

Western blot - Anti-c-Myc antibody [Y69] - ChIP Grade - BSA and Azide free (AB168727)

False colour image of Western blot : Anti-c-Myc antibody [Y69] staining at 1/1000 dilution, shown in green; Mouse anti-GAPDH antibody [6C5] (ab8245) loading control staining at 1/20000 dilution, shown in red. In Western blot, ab32072 was shown to bind specifically to c-Myc. A band was observed at 45/57 kDa in wild-type HEK-293T cell lysates with no signal observed at this size in MYC CRISPR-Cas9 edited cell line ab256500 (CRISPR-Cas9 edited cell lysate ab263850). The band observed in the CRISPR-Cas9 edited lysate lane below 45/57 kDa is likely to represent a truncated form of c-Myc. This has not been investigated further and the functional properties of the gene product have not been determined. To generate this image, wild-type and MYC CRISPR-Cas9 edited HEK-293T cell lysates were analysed. First, samples were run on an SDS-PAGE gel then transferred onto a nitrocellulose membrane. Membranes were blocked in 5 % milk in TBS-0.1 % Tween® 20 (TBS-T) before incubation with primary antibodies overnight at 4 °C. Blots were washed four times in TBS-T, incubated with secondary antibodies for 1 h at room temperature, washed again four times then imaged. Secondary antibodies used were Goat anti-Rabbit IgG H&L (IRDye® 800CW) preabsorbed (ab216773) and Goat anti-Mouse IgG H&L (IRDye® 680RD) preabsorbed (ab216776) at 1/20000 dilution.

All lanes:

Western blot - Anti-c-Myc antibody [Y69] - ChIP Grade (<a href='/en-us/products/primary-antibodies/c-myc-antibody-y69-chip-grade-ab32072'>ab32072</a>) at 1/1000 dilution

Lane 1:

Wild-type HEK-293T cell lysate at 20 µg

Lane 2:

Western blot - Human MYC (c-Myc) knockout HEK-293T cell lysate (<a href='/en-us/products/cell-lysates/human-myc-c-myc-knockout-hek-293t-cell-lysate-ab263850'>ab263850</a>) at 20 µg

Lane 3:

Jurkat cell lysate at 20 µg

Lane 4:

SH-SY5Y cell lysate at 20 µg

Predicted band size: 48 kDa

Observed band size: 45 kDa,57 kDa

false

Western blot - Anti-c-Myc antibody [Y69] - ChIP Grade - BSA and Azide free (AB168727)
  • WB

Lab

Western blot - Anti-c-Myc antibody [Y69] - ChIP Grade - BSA and Azide free (AB168727)

Blocking buffer and concentration : 5% NFDM/TBST.

Diluting buffer and concentration : 5% NFDM/TBST.

All lanes:

Western blot - Anti-c-Myc antibody [Y69] - ChIP Grade - BSA and Azide free (ab168727)

All lanes:

Raji (human Burkitt's lymphoma) whole cell lysate at 15 µg

Secondary

All lanes:

Western blot - Goat Anti-Rabbit IgG H&L (HRP) (<a href='/en-us/products/secondary-antibodies/goat-rabbit-igg-h-l-hrp-ab97051'>ab97051</a>)

Predicted band size: 48 kDa

Observed band size: 57 kDa

false

Exposure time: 10s

Western blot - Anti-c-Myc antibody [Y69] - ChIP Grade - BSA and Azide free (AB168727)
  • WB

Lab

Western blot - Anti-c-Myc antibody [Y69] - ChIP Grade - BSA and Azide free (AB168727)

This data was developed using ab32072, the same antibody clone in a different buffer formulation. Different batches of ab32072 were tested on Raji (Human Burkitt's lymphoma B lymphocyte) whole cell lysate at 0.2 µg/ml. 15 µg of lysate was loaded in each lane. Bands observed at 57 kDa.

All lanes:

Western blot - Anti-c-Myc antibody [Y69] - ChIP Grade (<a href='/en-us/products/primary-antibodies/c-myc-antibody-y69-chip-grade-ab32072'>ab32072</a>)

Predicted band size: 48 kDa

false

Western blot - Anti-c-Myc antibody [Y69] - ChIP Grade - BSA and Azide free (AB168727)
  • WB

Lab

Western blot - Anti-c-Myc antibody [Y69] - ChIP Grade - BSA and Azide free (AB168727)

Blocking buffer : 5% NFDM/TBST.

All lanes:

Western blot - Anti-c-Myc antibody [Y69] - ChIP Grade (<a href='/en-us/products/primary-antibodies/c-myc-antibody-y69-chip-grade-ab32072'>ab32072</a>) at 1/1000 dilution

Lane 1:

HeLa (Human cervix adenocarcinoma epithelial cell) whole cell lysate at 20 µg

Lane 2:

MDA-MB-231 (Human breast adenocarcinoma epithelial cell) whole cell lysate at 20 µg

Lane 3:

DLD-1 (human colorectal adenocarcinoma epithelial cell) whole cell lysate at 20 µg

Lane 4:

HepG2 (Human hepatocellular carcinoma epithelial cell) whole cell lysate at 20 µg

Lane 5:

A549 (Human lung carcinoma epithelial cell) whole cell lysate at 20 µg

Lane 6:

HCT 116 (Human colorectal carcinoma epithelial cell) whole cell lysate at 20 µg

Secondary

All lanes:

Western blot - Goat Anti-Rabbit IgG H&L (HRP) (<a href='/en-us/products/secondary-antibodies/goat-rabbit-igg-h-l-hrp-ab97051'>ab97051</a>) at 1/20000 dilution

Observed band size: 45 kDa,57 kDa

false

Exposure time: 20s

ChIC/CUT&RUN sequencing - Anti-c-Myc antibody [Y69] - ChIP Grade - BSA and Azide free (AB168727)
  • ChIC/CUT&RUN-seq

Supplier Data

ChIC/CUT&RUN sequencing - Anti-c-Myc antibody [Y69] - ChIP Grade - BSA and Azide free (AB168727)

This data was developed using the same antibody clone in a different buffer formulation containing PBS, BSA, glycerol, and sodium azide (ab32072).

CUT&RUN profiling with c-Myc antibody demonstrates robust genome-wide enrichment in wild-type (WT) cells, which is markedly diminished in MYC knockout (KO) cells. Heatmaps of genome-wide signal flanking annotated transcription start sites (TSSs, +/- 2 kbp) display CUT&RUN data generated using the CUTANA™ CUT&RUN Kit (EpiCypher 14-1048) with c-Myc antibody (Abcam ab32072, 0.5 µg). 500,000 HEK293T WT or KO (Abcam ab256500) cells were used per reaction. IgG antibody was included as a negative control to assess non-specific background. Libraries were prepared using the CUTANA™ CUT&RUN Library Prep Kit (EpiCypher 14-1001). Sequencing was performed with paired-end 50 bp reads, and data were processed on CUTANA™ Cloud (cloud.epicypher.com) by alignment to the hg38 genome. Heatmaps were generated using deepTools (Ramнrez et al., Nucleic Acids Res. 2014; PMID : 24799436). Row-linked data are ranked by intensity relative to c-Myc WT, with red indicating high localized enrichment and blue denoting background. Validated antibodies show genome-wide enrichment above IgG background consistent with c-Myc binding in WT cells and near complete loss of signal in KO cells.

ChIC/CUT&RUN sequencing - Anti-c-Myc antibody [Y69] - ChIP Grade - BSA and Azide free (AB168727)
  • ChIC/CUT&RUN-seq

Supplier Data

ChIC/CUT&RUN sequencing - Anti-c-Myc antibody [Y69] - ChIP Grade - BSA and Azide free (AB168727)

This data was developed using the same antibody clone in a different buffer formulation containing PBS, BSA, glycerol, and sodium azide (ab32072).

CUT&RUN profiling with c-Myc antibody reveals the expected genomic enrichment pattern in wild-type (WT) cells, which is substantially reduced in MYC knockout (KO) cells. Representative genome browser tracks show CUT&RUN data generated using the CUTANA™ CUT&RUN Kit (EpiCypher 14-1048) with c-Myc antibody (Abcam ab32072, 0.5 µg). 500,000 HEK293T WT or KO (Abcam ab256500) cells were used per reaction. IgG, H3K4me3, and H3K27me3 antibodies were included as controls to assess non-specific background, active promoters, and repressed chromatin, respectively. Libraries were prepared using the CUTANA™ CUT&RUN Library Prep Kit (EpiCypher 14-1001). Sequencing was performed with paired-end 50 bp reads, and data were processed on CUTANA™ Cloud (cloud.epicypher.com) by alignment to the hg38 genome. Images were generated using Integrative Genomics Viewer (IGV, Broad Institute).

Key facts

Host species

Rabbit

Clonality

Monoclonal

Clone number

Y69

Isotype

IgG

Carrier free

Yes

Reacts with

Mouse, Rat, Human

Applications

ICC/IF, WB, IP, IHC-P, Flow Cyt (Intra), ChIC/CUT&RUN-seq, ChIP-seq

applications

Immunogen

The exact immunogen used to generate this antibody is proprietary information.

Specificity

This antibody is specific for endogenous c-Myc. It does not detect Myc tag. Expression levels of the target protein vary with sample type and some optimization may be required.

Please see documentation for further information on positive controls (Chinese version)

Reactivity data

{ "title": "Reactivity Data", "filters": { "stats": ["", "Species", "Dilution Info", "Notes"], "tabs": { "all-applications": {"fullname" : "All Applications", "shortname": "All Applications"}, "ICCIF" : {"fullname" : "Immunocytochemistry/ Immunofluorescence", "shortname":"ICC/IF"}, "WB" : {"fullname" : "Western blot", "shortname":"WB"}, "FlowCytIntra" : {"fullname" : "Flow Cytometry (Intracellular)", "shortname":"Flow Cyt (Intra)"}, "IHCP" : {"fullname" : "Immunohistochemistry (Formalin/PFA-fixed paraffin-embedded sections)", "shortname":"IHC-P"}, "ChICCUTRUNseq" : {"fullname" : "ChIC/CUT&RUN sequencing", "shortname":"ChIC/CUT&RUN-seq"}, "ChIPseq" : {"fullname" : "ChIP-sequencing", "shortname":"ChIP-seq"}, "IP" : {"fullname" : "Immunoprecipitation", "shortname":"IP"} }, "product-promise": { "all": "all", "testedAndGuaranteed": "tested", "guaranteed": "expected", "predicted": "predicted", "notRecommended": "not-recommended" } }, "values": { "Human": { "ICCIF-species-checked": "testedAndGuaranteed", "ICCIF-species-dilution-info": "", "ICCIF-species-notes": "<p>Please refer to the original abID, <a href='/en-us/products/primary-antibodies/c-myc-antibody-y69-chip-grade-ab32072'>ab32072</a>, for information on recommended dilutions.</p>", "WB-species-checked": "testedAndGuaranteed", "WB-species-dilution-info": "", "WB-species-notes": "<p>Please refer to the original abID, <a href='/en-us/products/primary-antibodies/c-myc-antibody-y69-chip-grade-ab32072'>ab32072</a>, for information on recommended dilutions.</p>", "FlowCytIntra-species-checked": "testedAndGuaranteed", "FlowCytIntra-species-dilution-info": "", "FlowCytIntra-species-notes": "<p>Please refer to the original abID, <a href='/en-us/products/primary-antibodies/c-myc-antibody-y69-chip-grade-ab32072'>ab32072</a>, for information on recommended dilutions.</p>", "IHCP-species-checked": "testedAndGuaranteed", "IHCP-species-dilution-info": "", "IHCP-species-notes": "<p>Please refer to the original abID, <a href='/en-us/products/primary-antibodies/c-myc-antibody-y69-chip-grade-ab32072'>ab32072</a>, for information on recommended dilutions.</p> Perform heat-mediated antigen retrieval before commencing with IHC staining protocol.", "ChICCUTRUNseq-species-checked": "testedAndGuaranteed", "ChICCUTRUNseq-species-dilution-info": "", "ChICCUTRUNseq-species-notes": "<p></p>", "ChIPseq-species-checked": "testedAndGuaranteed", "ChIPseq-species-dilution-info": "", "ChIPseq-species-notes": "<p></p>", "IP-species-checked": "guaranteed", "IP-species-dilution-info": "", "IP-species-notes": "<p>Please refer to the original abID, <a href='/en-us/products/primary-antibodies/c-myc-antibody-y69-chip-grade-ab32072'>ab32072</a>, for information on recommended dilutions.</p>" }, "Mouse": { "ICCIF-species-checked": "guaranteed", "ICCIF-species-dilution-info": "", "ICCIF-species-notes": "", "WB-species-checked": "testedAndGuaranteed", "WB-species-dilution-info": "", "WB-species-notes": "<p>Please refer to the original abID, <a href='/en-us/products/primary-antibodies/c-myc-antibody-y69-chip-grade-ab32072'>ab32072</a>, for information on recommended dilutions.</p>", "FlowCytIntra-species-checked": "guaranteed", "FlowCytIntra-species-dilution-info": "", "FlowCytIntra-species-notes": "", "IHCP-species-checked": "testedAndGuaranteed", "IHCP-species-dilution-info": "", "IHCP-species-notes": "<p>Please refer to the original abID, <a href='/en-us/products/primary-antibodies/c-myc-antibody-y69-chip-grade-ab32072'>ab32072</a>, for information on recommended dilutions.</p> Perform heat-mediated antigen retrieval before commencing with IHC staining protocol.", "ChICCUTRUNseq-species-checked": "guaranteed", "ChICCUTRUNseq-species-dilution-info": "", "ChICCUTRUNseq-species-notes": "", "ChIPseq-species-checked": "guaranteed", "ChIPseq-species-dilution-info": "", "ChIPseq-species-notes": "", "IP-species-checked": "predicted", "IP-species-dilution-info": "", "IP-species-notes": "" }, "Rat": { "ICCIF-species-checked": "guaranteed", "ICCIF-species-dilution-info": "", "ICCIF-species-notes": "", "WB-species-checked": "testedAndGuaranteed", "WB-species-dilution-info": "", "WB-species-notes": "<p>Please refer to the original abID, <a href='/en-us/products/primary-antibodies/c-myc-antibody-y69-chip-grade-ab32072'>ab32072</a>, for information on recommended dilutions.</p>", "FlowCytIntra-species-checked": "guaranteed", "FlowCytIntra-species-dilution-info": "", "FlowCytIntra-species-notes": "", "IHCP-species-checked": "guaranteed", "IHCP-species-dilution-info": "", "IHCP-species-notes": "", "ChICCUTRUNseq-species-checked": "guaranteed", "ChICCUTRUNseq-species-dilution-info": "", "ChICCUTRUNseq-species-notes": "", "ChIPseq-species-checked": "guaranteed", "ChIPseq-species-dilution-info": "", "ChIPseq-species-notes": "", "IP-species-checked": "predicted", "IP-species-dilution-info": "", "IP-species-notes": "" } } }

Product details

What is this antibody validated in?
Anti-c-Myc antibody [Y69] - ChIP Grade - BSA and Azide free (ab168727) is a rabbit recombinant monoclonal antibody and is validated for use in Western Blot (WB), Flow Cytometry (Intra), Flow Cytometry (Flow Cyt), Immunoprecipitation (IP), Immunohistochemistry (IHC-P), Immunocytochemistry/immunofluorescence (ICC/IF), ChIP in Human, Mouse, Rat samples.

What is the molecular weight of c-Myc?
Anti-c-Myc [Y69] - ChIP Grade - BSA and Azide free (ab168727) specifically detects a band for c-Myc (UniProt: P01106) at a molecular weight of 48kDa.

Reviewed by scientists
Anti-c-Myc [Y69] - ChIP Grade - BSA and Azide free (ab168727) has over 10 independent reviews from customers.

Specificity confirmed
The specificity of Anti-c-Myc antibody [Y69] - ChIP Grade - BSA and Azide free (ab168727) has been confirmed by Flow Cytometry testing in MYC Knockout HEK-293 cell line, ab256500.

Other related products
We have a range of other formats of antibody clone [Y69] also available for your convenience: ab32072, Carrier free - ab168727, Alexa Fluor® 488 - ab190026, Alexa Fluor® 647 - ab190560, Alexa Fluor® 594 - ab201775, Alexa Fluor® 555 - ab201780, HRP - ab205818, FITC - ab223913

Patented technology
Our RabMAb® technology is a patented hybridoma-based technology for making rabbit monoclonal antibodies. For details on our patents, please refer to RabMAb® patents.

What are the advantages of a recombinant monoclonal antibody?
This product is a recombinant monoclonal antibody, which offers several advantages including:

  • - High batch-to-batch consistency and reproducibility
  • - Improved sensitivity and specificity
  • - Long-term security of supply
  • - Animal-free batch production

For more information, read more on recombinant antibodies.

Conjugation ready
Our carrier-free antibodies are typically supplied in a PBS-only formulation, purified and free of BSA, sodium azide and glycerol. This conjugation-ready format is designed for use with fluorochromes, metal isotopes, oligonucleotides, and enzymes, which makes them ideal for antibody labelling, functional and cell-based assays, flow-based assays (e.g. mass cytometry) and Multiplex Imaging applications.

Use our conjugation kits for antibody conjugates that are ready-to-use in as little as 20 minutes with 1 minute hands-on-time and 100% antibody recovery: available for fluorescent dyes, HRP, biotin and gold.

Compatibility
This product is compatible with the Maxpar® Antibody Labeling Kit from Fluidigm, without the need for antibody preparation. Maxpar® is a trademark of Fluidigm Canada Inc.

Properties and storage information

Form
Liquid
Purification technique
Affinity purification Protein A
Storage buffer
Constituents: PBS
Shipped at conditions
Blue Ice
Appropriate short-term storage conditions
+4°C
Appropriate long-term storage conditions
+4°C
Storage information
Do Not Freeze

Supplementary information

This supplementary information is collated from multiple sources and compiled automatically.

C-Myc also known simply as Myc or MYC protein is a transcription factor with significant roles in cellular processes. Its estimated molecular weight is approximately 62 kDa. This protein is expressed in various tissues and cell types including common use in HEK (human embryonic kidney) cells for research. c-Myc functions by regulating transcription of genes involved in cell cycle progression apoptosis and cellular transformation.
Biological function summary

C-Myc is involved in regulating cell growth and proliferation. It forms part of the Myc/Max complex which binds to DNA to regulate gene expression. This activity affects cellular metabolism ribosome biogenesis and cell cycle entry emphasizing its regulation of cellular energy and stress response. Its expression levels critically govern normal cellular functions and homeostasis.

Pathways

C-Myc plays an important role in the cell cycle pathway and apoptosis regulation. Specifically c-Myc is associated with the Wnt signaling pathway which influences cellular proliferation and differentiation. It also interacts with other proteins like Cyclin D1 influencing cell cycle control. These interactions ensure c-Myc's involvement in regulating key processes related to cell proliferation and stability.

C-Myc is tightly linked to cancer such as Burkitt's lymphoma and colon cancer. In these conditions c-Myc overexpression contributes to uncontrolled cell proliferation. Additionally c-Myc is associated with other oncogenic proteins like BCL2 in tumorigenesis highlighting its pivotal role in cancer development and progression. Understanding c-Myc's involvement in these diseases aids in the development of targeted therapeutic strategies.

Product protocols

For this product, it's our understanding that no specific protocols are required. You can visit:

Target data

Transcription factor that binds DNA in a non-specific manner, yet also specifically recognizes the core sequence 5'-CAC[GA]TG-3' (PubMed : 24940000, PubMed : 25956029). Activates the transcription of growth-related genes (PubMed : 24940000, PubMed : 25956029). Binds to the VEGFA promoter, promoting VEGFA production and subsequent sprouting angiogenesis (PubMed : 24940000, PubMed : 25956029). Regulator of somatic reprogramming, controls self-renewal of embryonic stem cells (By similarity). Functions with TAF6L to activate target gene expression through RNA polymerase II pause release (By similarity). Positively regulates transcription of HNRNPA1, HNRNPA2 and PTBP1 which in turn regulate splicing of pyruvate kinase PKM by binding repressively to sequences flanking PKM exon 9, inhibiting exon 9 inclusion and resulting in exon 10 inclusion and production of the PKM M2 isoform (PubMed : 20010808).
See full target information MYC

Publications (13)

Recent publications for all applications. Explore the full list and refine your search

Cell & bioscience 14:19 PubMed38311785

2024

Tunable PhenoCycler imaging of the murine pre-clinical tumour microenvironments.

Applications

Unspecified application

Species

Unspecified reactive species

Madelyn J Abraham,Christophe Goncalves,Paige McCallum,Vrinda Gupta,Samuel E J Preston,Fan Huang,Hsiang Chou,Natascha Gagnon,Nathalie A Johnson,Wilson H Miller,Koren K Mann,Sonia V Del Rincon

Biology direct 18:1 PubMed36631876

2023

M2 macrophage-derived exosomal miR-193b-3p promotes progression and glutamine uptake of pancreatic cancer by targeting TRIM62.

Applications

Unspecified application

Species

Unspecified reactive species

Ke Zhang,Yu-Jie Li,Lin-Jia Peng,Hui-Feng Gao,Lu-Ming Liu,Hao Chen

Cellular & molecular biology letters 27:107 PubMed36474192

2022

MF-094 nanodelivery inhibits oral squamous cell carcinoma by targeting USP30.

Applications

Unspecified application

Species

Unspecified reactive species

Xinyu Zhang,Yong Han,Shuli Liu,Bing Guo,Shengming Xu,Yue He,Liu Liu

Bioengineered 13:12876-12887 PubMed35609318

2022

MicroRNA-582-3p targeting ribonucleotide reductase regulatory subunit M2 inhibits the tumorigenesis of hepatocellular carcinoma by regulating the Wnt/β-catenin signaling pathway.

Applications

Unspecified application

Species

Unspecified reactive species

Hui Xu,Bin Li

Molecular cell 82:140-158.e12 PubMed34890565

2021

MYC assembles and stimulates topoisomerases 1 and 2 in a "topoisome".

Applications

Unspecified application

Species

Unspecified reactive species

Subhendu K Das,Vladislav Kuzin,Donald P Cameron,Suzanne Sanford,Rajiv Kumar Jha,Zuqin Nie,Marta Trullols Rosello,Ronald Holewinski,Thorkell Andresson,Jan Wisniewski,Toyoaki Natsume,David H Price,Brian A Lewis,Fedor Kouzine,David Levens,Laura Baranello

Neural regeneration research 17:401-408 PubMed34269216

2021

miR-103-3p targets Ndel1 to regulate neural stem cell proliferation and differentiation.

Applications

Unspecified application

Species

Unspecified reactive species

Wen Li,Shan-Shan Wang,Bo-Quan Shan,Jian-Bing Qin,He-Yan Zhao,Mei-Ling Tian,Hui He,Xiang Cheng,Xin-Hua Zhang,Guo-Hua Jin

Journal for immunotherapy of cancer 9: PubMed34016720

2021

Druggable epigenetic suppression of interferon-induced chemokine expression linked to amplification in neuroblastoma.

Applications

Unspecified application

Species

Unspecified reactive species

Johanna A Seier,Julia Reinhardt,Kritika Saraf,Susanna S Ng,Julian P Layer,Dillon Corvino,Kristina Althoff,Frank A Giordano,Alexander Schramm,Matthias Fischer,Michael Hölzel

Cancer biology & therapy 22:149-163 PubMed33618612

2021

Silencing of LINC00284 inhibits cell proliferation and migration in oral squamous cell carcinoma by the miR-211-3p/MAFG axis and FUS/KAZN axis.

Applications

Unspecified application

Species

Unspecified reactive species

Dayong Yan,Fuhua Wu,Caixia Peng,Mei Wang

Hematological oncology 39:243-253 PubMed33283885

2020

Hsa_circ_0002483 regulates miR-758-3p/MYC axis to promote acute myeloid leukemia progression.

Applications

Unspecified application

Species

Unspecified reactive species

Yi Xiao,Xi Ming,Jiaying Wu

Molecular medicine reports 22:687-696 PubMed32468065

2020

Long non‑coding RNA NNT‑AS1 knockdown represses the progression of gastric cancer via modulating the miR‑142‑5p/SOX4/Wnt/β‑catenin signaling pathway.

Applications

Unspecified application

Species

Unspecified reactive species

Jianfeng Zhang,Kai Zhang,Yingkui Hou
View all publications
websiteProtocolBooklet
zh
chicCutRunSequencingBooklet
en

Product promise

We are committed to supporting your work with high-quality reagents, and we're here for you every step of the way. In the unlikely event that one of our products does not perform as expected, you're protected by our Product Promise.
For full details, please see our Terms & Conditions

Please note: All products are 'FOR RESEARCH USE ONLY. NOT FOR USE IN DIAGNOSTIC OR THERAPEUTIC PROCEDURES'.

For licensing inquiries, please contact partnerships@abcam.com