JavaScript is disabled in your browser. Please enable JavaScript to view this website.
AB314215

Anti-C Peptide antibody [EPR25854-146]

  • BOND RX™ Validated
  • Advanced Validation
  • 20ul selling size
  • RabMAb
  • Recombinant
  • What is this?

Be the first to review this product! Submit a review

|

(0 Publication)

Rabbit Recombinant Monoclonal Insulin antibody. Suitable for IHC-P, Flow Cyt (Intra), I-ELISA, ICC/IF, mIHC and reacts with Mouse, Rat, Recombinant fragment - Mouse, Recombinant fragment - Rat samples.

View Alternative Names

Ins-1, Ins1, Insulin-1

14 Images
Multiplex immunohistochemistry - Anti-C Peptide antibody [EPR25854-146] (AB314215)
  • mIHC

Lab

Multiplex immunohistochemistry - Anti-C Peptide antibody [EPR25854-146] (AB314215)

Multiplex immunohistochemistry analysis of formalin/PFA-fixed paraffin-embedded mouse pancreas tissue staining Chymotrypsin with ab318203 at a 1/6000 dilution, ab317319 anti-Claudin-3 used at 1/2000 dilution and ab314215 anti-C Peptide used at a 1/500 dilution. Opal Polymer HRP Ms + Rb was used as a secondary antibody.

Panel A : merged staining of anti-Chymotrypsin (green; Opal520), anti-Claudin 3 (magenta; Opal690) and anti-C Peptide (gray; Opal570) on mouse pancreas.
Panel B : anti-Chymotrypsin staining exocrine gland in mouse pancreas.
Panel C : anti-Claudin 3 staining cell membrane in mouse pancreas.
Panel D : anti-C Peptide staining islet cells in mouse pancreas.

Nuclear DNA was labeled with DAPI (shown in blue).

The section was incubated in three rounds of staining : in the order of ab318203, ab317319 and ab314215 for 30 mins at room temperature. Each round was followed by a separate fluorescent tyramide signal amplification system.

The immunostaining was performed on a Leica Biosystems BOND® RX instrument with an Opal 4-color kit. Image acquisition was performed with Leica SP8 confocal microscope.

Heat mediated antigen retrieval with Tris-EDTA buffer (pH 9.0, epitope retrieval solution2) for 20 mins.

Immunohistochemistry (Formalin/PFA-fixed paraffin-embedded sections) - Anti-C Peptide antibody [EPR25854-146] (AB314215)
  • IHC-P

Supplier Data

Immunohistochemistry (Formalin/PFA-fixed paraffin-embedded sections) - Anti-C Peptide antibody [EPR25854-146] (AB314215)

Immunohistochemical analysis of paraffin-embedded rat cardiac muscle tissue labeling C-Peptide with ab314215 at 1/2000 (0.272 ug/ml) followed by a ready to use LeicaDS9800 (Bond™ Polymer Refine Detection). Negative control : no staining on rat cardiac muscle. The section was incubated with ab314215 for 10 mins at room temperature. The immunostaining was performed on a Leica Biosystems BOND® RX instrument. Counterstained with Hematoxylin. Secondary antibody only control : Secondary antibody is a ready to use LeicaDS9800 (Bond™ Polymer Refine Detection). Heat mediated antigen retrieval was performed with Tris-EDTA buffer (pH 9.0, Epitope Retrieval Solution2) for 20 mins.

Immunohistochemistry (Formalin/PFA-fixed paraffin-embedded sections) - Anti-C Peptide antibody [EPR25854-146] (AB314215)
  • IHC-P

Supplier Data

Immunohistochemistry (Formalin/PFA-fixed paraffin-embedded sections) - Anti-C Peptide antibody [EPR25854-146] (AB314215)

Immunohistochemical analysis of paraffin-embedded mouse cardiac muscle tissue labeling C-Peptide with ab314215 at 1/500 (1.086 ug/ml) followed by a ready to use LeicaDS9800 (Bond™ Polymer Refine Detection). Negative control : no staining on mouse cardiac muscle. The section was incubated with ab314215 for 10 mins at room temperature. The immunostaining was performed on a Leica Biosystems BOND® RX instrument. Counterstained with Hematoxylin. Secondary antibody only control : Secondary antibody is a ready to use LeicaDS9800 (Bond™ Polymer Refine Detection). Heat mediated antigen retrieval was performed with Tris-EDTA buffer (pH 9.0, Epitope Retrieval Solution2) for 20 mins.

Immunohistochemistry (Formalin/PFA-fixed paraffin-embedded sections) - Anti-C Peptide antibody [EPR25854-146] (AB314215)
  • IHC-P

Supplier Data

Immunohistochemistry (Formalin/PFA-fixed paraffin-embedded sections) - Anti-C Peptide antibody [EPR25854-146] (AB314215)

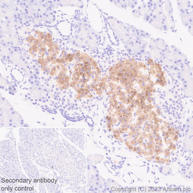
Immunohistochemical analysis of paraffin-embedded mouse pancreas tissue labeling C-Peptide with ab314215 at 1/500 (1.086 ug/ml) followed by a ready to use LeicaDS9800 (Bond™ Polymer Refine Detection). Positive staining on islet of mouse pancreas. The section was incubated with ab314215 for 10 mins at room temperature. The immunostaining was performed on a Leica Biosystems BOND® RX instrument. Counterstained with Hematoxylin. Secondary antibody only control : Secondary antibody is a ready to use LeicaDS9800 (Bond™ Polymer Refine Detection). Heat mediated antigen retrieval was performed with Tris-EDTA buffer (pH 9.0, Epitope Retrieval Solution2) for 20 mins.

Immunohistochemistry (Formalin/PFA-fixed paraffin-embedded sections) - Anti-C Peptide antibody [EPR25854-146] (AB314215)
  • IHC-P

Supplier Data

Immunohistochemistry (Formalin/PFA-fixed paraffin-embedded sections) - Anti-C Peptide antibody [EPR25854-146] (AB314215)

Immunohistochemical analysis of paraffin-embedded rat pancreas tissue labeling C-Peptide with ab314215 at 1/2000 (0.272 ug/ml) followed by a ready to use LeicaDS9800 (Bond™ Polymer Refine Detection). Positive staining on islet of rat pancreas. The section was incubated with ab314215 for 10 mins at room temperature. The immunostaining was performed on a Leica Biosystems BOND® RX instrument. Counterstained with Hematoxylin. Secondary antibody only control : Secondary antibody is a ready to use LeicaDS9800 (Bond™ Polymer Refine Detection). Heat mediated antigen retrieval was performed with Tris-EDTA buffer (pH 9.0, Epitope Retrieval Solution2) for 20 mins.

Immunocytochemistry/ Immunofluorescence - Anti-C Peptide antibody [EPR25854-146] (AB314215)
  • ICC/IF

Supplier Data

Immunocytochemistry/ Immunofluorescence - Anti-C Peptide antibody [EPR25854-146] (AB314215)

Immunofluorescent analysis of 4% Paraformaldehyde-fixed, 0.1% TritonX-100 permeabilized Beta-TC-6 (mouse pancreas insulinoma beta cell) cells labelling C-Peptide with ab314215 at 1/500 (1.086 ug/ml) dilution, followed by ab150081 Goat Anti-Rabbit IgG H&L (Alexa Fluor® 488) preadsorbed antibody at 1/1000 (2 ug/ml) dilution (Green). Confocal image showing cytoplasmic staining in Beta-TC-6 cell line. Negative control : NIH/3T3 (PMID : 23662125). Image was taken with a confocal microscope(Leica-Microsystems, TCS SP8). ab195889 Anti-alpha Tubulin mouse monoclonal antibody - Microtubule Marker (Alexa Fluor® 594) was used to counterstain tubulin at 1/200 (2.5ug/ml)) dilution (Red). The Nuclear counterstain was DAPI (Blue). Secondary antibody only control : Secondary antibody is ab150081 Goat Anti-Rabbit IgG H&L (Alexa Fluor® 488) preadsorbed at 1/1000 (2 ug/ml) dilution.

Flow Cytometry (Intracellular) - Anti-C Peptide antibody [EPR25854-146] (AB314215)
  • Flow Cyt (Intra)

Supplier Data

Flow Cytometry (Intracellular) - Anti-C Peptide antibody [EPR25854-146] (AB314215)

Flow cytometric analysis of 4% paraformaldehyde fixed 90% methanol permeabilized Isotype (Left) / AR42J (rat pancreatic tumor epithelial cell) treated with 100pM HGF and 2nM Activin A for 7days (Middle) / Untreated AR42J (Right) cells labelling C-Peptide with ab314215 at 1/50 dilution (1 ug)/Right compared with a Rabbit monoclonal IgG (ab172730) / Left isotype control and an unlabelled control (cells without incubation with primary antibody and secondary antibody). A Goat Anti-Rabbit IgG (Alexa Fluor® 488, ab150081) at 1/5000 dilution was used as the secondary antibody. PMID : 8756573. According to the literature, about 10% induced cells can express the insulin.

Flow Cytometry (Intracellular) - Anti-C Peptide antibody [EPR25854-146] (AB314215)
  • Flow Cyt (Intra)

Supplier Data

Flow Cytometry (Intracellular) - Anti-C Peptide antibody [EPR25854-146] (AB314215)

Flow cytometric analysis of 4% paraformaldehyde fixed 90% methanol permeabilized NIH/3T3 (mouse embryonic fibroblast, Left) / Beta-TC-6 (mouse pancreas insulinoma beta cell, Right) cells labelling C-Peptide with ab314215 at 1/500 dilution (0.1 ug)/Red (Red) compared with a Rabbit monoclonal IgG (ab172730) (Black) isotype control and an unlabelled control (cells without incubation with primary antibody and secondary antibody) (Blue). A Goat Anti-Rabbit IgG (Alexa Fluor® 488, ab150081) at 1/5000 dilution was used as the secondary antibody. Negative control : NIH/3T3 (PMID : 23662125).

Multiplex immunohistochemistry - Anti-C Peptide antibody [EPR25854-146] (AB314215)
  • mIHC

Lab

Multiplex immunohistochemistry - Anti-C Peptide antibody [EPR25854-146] (AB314215)

Multiplex immunohistochemistry analysis of formalin/PFA-fixed paraffin-embedded ® tissue staining C Peptide with ab314215 at a 1/500 dilution, ab318203 anti-Chymotrypsin used at 1/6000 dilution and ab52625 anti-Cytokeratin 19 used at a 1/6000 dilution.

Opal Polymer HRP Ms + Rb was used as a secondary antibody.

Panel A : merged staining of anti-C Peptide (green; Opal520), anti-Chymotrypsin (magenta; Opal690) and anti-Cytokeratin 19 (gray; Opal570) on rat pancreas.
Panel B : anti-C Peptide staining beta cells in rat pancreas.
Panel C : anti-Chymotrypsin staining exocrine gland in rat pancreas.
Panel D : anti-Cytokeratin 19 staining pancreatic duct in rat pancreas.
Nuclear DNA was labeled with DAPI (shown in blue).

The section was incubated in three rounds of staining : in the order of ab314215, ab318203 and ab52625 for 30 mins at room temperature. Each round was followed by a separate fluorescent tyramide signal amplification system.

The immunostaining was performed on a Leica Biosystems BOND® RX instrument with an Opal 4-color kit. Image acquisition was performed with Leica SP8 confocal microscope.

Heat mediated antigen retrieval with Tris-EDTA buffer (pH 9.0, epitope retrieval solution2) for 20 mins.

Multiplex immunohistochemistry - Anti-C Peptide antibody [EPR25854-146] (AB314215)
  • mIHC

Lab

Multiplex immunohistochemistry - Anti-C Peptide antibody [EPR25854-146] (AB314215)

Multiplex immunohistochemistry analysis of formalin/PFA-fixed paraffin-embedded rat pancreas tissue staining C Peptide with ab314215 at a 1/500 dilution, ab278044 anti-Carboxypeptidase A used at 1/4000 dilution and ab52625 anti-Cytokeratin 19 used at a 1/6000 dilution.

Opal Polymer HRP Ms + Rb was used as a secondary antibody.

Panel A : merged staining of anti-C Peptide (green; Opal520), anti-Carboxypeptidase A (magenta; Opal690) and anti-Cytokeratin 19 (grey; Opal570) on rat pancreas.
Panel B : anti-C Peptide staining beta cells in rat pancreas.
Panel C : anti-Carboxypeptidase A staining exocrine gland in rat pancreas.
Panel D : anti-Cytokeratin 19 staining pancreatic duct in rat pancreas.
Nuclear DNA was labeled with DAPI (shown in blue).

The section was incubated in three rounds of staining : in the order of ab314215, ab278044 and ab52625 for 30 mins at room temperature. Each round was followed by a separate fluorescent tyramide signal amplification system.

The immunostaining was performed on a Leica Biosystems BOND® RX instrument with an Opal 4-color kit. Image acquisition was performed with Leica SP8 confocal microscope.

Heat mediated antigen retrieval with Tris-EDTA buffer (pH 9.0, epitope retrieval solution2) for 20 mins.

Multiplex immunohistochemistry - Anti-C Peptide antibody [EPR25854-146] (AB314215)
  • mIHC

Lab

Multiplex immunohistochemistry - Anti-C Peptide antibody [EPR25854-146] (AB314215)

Multiplex immunohistochemistry analysis of formalin/PFA-fixed paraffin-embedded tissue staining C Peptide with ab314215 at a 1/500 dilution, ab318203 anti-Chymotrypsin used at 1/6000 dilution and ab52625 anti-Cytokeratin 19 used at a 1/6000 dilution.

Opal Polymer HRP Ms + Rb was used as a secondary antibody.

Panel A : merged staining of anti-C Peptide (green; Opal520), anti-Chymotrypsin (magenta; Opal690) and anti-Cytokeratin 19 (grey; Opal570) on mouse pancreas.
Panel B : anti-C Peptide staining beta cells in mouse pancreas.
Panel C : anti-Chymotrypsin staining exocrine gland in mouse pancreas.
Panel D : anti-Cytokeratin 19 staining pancreatic duct in mouse pancreas.
Nuclear DNA was labeled with DAPI (shown in blue).

The section was incubated in three rounds of staining : in the order of ab314215, ab318203 and ab52625 for 30 mins at room temperature. Each round was followed by a separate fluorescent tyramide signal amplification system.

The immunostaining was performed on a Leica Biosystems BOND® RX instrument with an Opal 4-color kit. Image acquisition was performed with Leica SP8 confocal microscope.

Heat mediated antigen retrieval with Tris-EDTA buffer (pH 9.0, epitope retrieval solution2) for 20 mins.

Multiplex immunohistochemistry - Anti-C Peptide antibody [EPR25854-146] (AB314215)
  • mIHC

Lab

Multiplex immunohistochemistry - Anti-C Peptide antibody [EPR25854-146] (AB314215)

Multiplex immunohistochemistry analysis of formalin/PFA-fixed paraffin-embedded rat pancreas tissue staining Chymotrypsin with ab318203 at a 1/6000 dilution, ab317319 anti-Claudin-3 used at 1/2000 dilution and ab314215 anti-C Peptide used at a 1/500 dilution. Opal Polymer HRP Ms + Rb was used as a secondary antibody.

Panel A : merged staining of anti-Chymotrypsin (green; Opal520), anti-Claudin 3 (magenta; Opal690) and anti-C Peptide (gray; Opal570) on rat pancreas.
Panel B : anti-Chymotrypsin staining exocrine gland in rat pancreas.
Panel C : anti-Claudin 3 staining cell membrane in rat pancreas.
Panel D : anti-C Peptide staining islet cells in rat pancreas.

Nuclear DNA was labeled with DAPI (shown in blue).

The section was incubated in three rounds of staining : in the order of ab318203, ab317319 and ab314215 for 30 mins at room temperature. Each round was followed by a separate fluorescent tyramide signal amplification system.

The immunostaining was performed on a Leica Biosystems BOND® RX instrument with an Opal 4-color kit. Image acquisition was performed with Leica SP8 confocal microscope.

Heat mediated antigen retrieval with Tris-EDTA buffer (pH 9.0, epitope retrieval solution2) for 20 mins.

Multiplex immunohistochemistry - Anti-C Peptide antibody [EPR25854-146] (AB314215)
  • mIHC

Lab

Multiplex immunohistochemistry - Anti-C Peptide antibody [EPR25854-146] (AB314215)

Multiplex immunohistochemistry analysis of formalin/PFA-fixed paraffin-embedded rat pancreas tissue staining Carboxypeptidase A with ab278044 at a 1/4000 dilution, ab317319 anti-Claudin-3 used at 1/2000 dilution and ab314215 anti-C Peptide used at a 1/500 dilution. Opal Polymer HRP Ms + Rb was used as a secondary antibody.

Panel A : merged staining of anti-Carboxypeptidase A (green; Opal520), anti-Claudin 3 (magenta; Opal690) and anti-C Peptide (gray; Opal570) on rat pancreas. Panel B : anti-Carboxypeptidase A staining acinar cells in rat pancreas.
Panel C : ant-Claudin 3 staining cell membrane in rat pancreas.
Panel D : ant-C Peptide staining islet cells in rat pancreas.

Nuclear DNA was labeled with DAPI (shown in blue).

The section was incubated in three rounds of staining : in the order of ab278044, ab317319 and ab314215 for 30 mins at room temperature. Each round was followed by a separate fluorescent tyramide signal amplification system.

The immunostaining was performed on a Leica Biosystems BOND® RX instrument with an Opal 4-color kit. Image acquisition was performed with Leica SP8 confocal microscope.

Heat mediated antigen retrieval with Tris-EDTA buffer (pH 9.0, epitope retrieval solution2) for 20 mins.

Indirect ELISA - Anti-C Peptide antibody [EPR25854-146] (AB314215)
  • I-ELISA

Supplier Data

Indirect ELISA - Anti-C Peptide antibody [EPR25854-146] (AB314215)

Indirect ELISA analysis of ab314215 at 500-0 ng/ml. The Secondary antibody used was Alkaline Phosphatase-conjugated AffiniPure Goat Anti-Rabbit IgG (H+L) at 1 : 2500 dilution. Antigen : Rat C-peptide of insulin-1,Rat C-peptide of Insulin-2,Mouse C-peptide of Insulin-1,Rat proinsulin-1, Mouse proinsulin-1. Antigen concentration : 100 ng/ml

  • Carrier free

    Anti-C Peptide antibody [EPR25854-146] - BSA and Azide free

Key facts

Host species

Rabbit

Clonality

Monoclonal

Clone number

EPR25854-146

Isotype

IgG

Carrier free

No

Reacts with

Mouse, Rat

Applications

I-ELISA, ICC/IF, Flow Cyt (Intra), IHC-P, mIHC

applications

Immunogen

The exact immunogen used to generate this antibody is proprietary information.

Specificity

This antibody specifically recognizes the C peptide of both INS1 and INS2, but not proinsulin.

Reactivity data

{ "title": "Reactivity Data", "filters": { "stats": ["", "Species", "Dilution Info", "Notes"], "tabs": { "all-applications": {"fullname" : "All Applications", "shortname": "All Applications"}, "IHCP" : {"fullname" : "Immunohistochemistry (Formalin/PFA-fixed paraffin-embedded sections)", "shortname":"IHC-P"}, "FlowCytIntra" : {"fullname" : "Flow Cytometry (Intracellular)", "shortname":"Flow Cyt (Intra)"}, "IELISA" : {"fullname" : "Indirect ELISA", "shortname":"I-ELISA"}, "ICCIF" : {"fullname" : "Immunocytochemistry/ Immunofluorescence", "shortname":"ICC/IF"}, "mIHC" : {"fullname" : "Multiplex immunohistochemistry", "shortname":"mIHC"} }, "product-promise": { "all": "all", "testedAndGuaranteed": "tested", "guaranteed": "expected", "predicted": "predicted", "notRecommended": "not-recommended" } }, "values": { "Human": { "IHCP-species-checked": "notRecommended", "IHCP-species-dilution-info": "", "IHCP-species-notes": "<p></p>", "FlowCytIntra-species-checked": "notRecommended", "FlowCytIntra-species-dilution-info": "", "FlowCytIntra-species-notes": "", "IELISA-species-checked": "notRecommended", "IELISA-species-dilution-info": "", "IELISA-species-notes": "", "ICCIF-species-checked": "notRecommended", "ICCIF-species-dilution-info": "", "ICCIF-species-notes": "", "mIHC-species-checked": "notRecommended", "mIHC-species-dilution-info": "", "mIHC-species-notes": "" }, "Mouse": { "IHCP-species-checked": "testedAndGuaranteed", "IHCP-species-dilution-info": "1/500", "IHCP-species-notes": "<p></p>", "FlowCytIntra-species-checked": "testedAndGuaranteed", "FlowCytIntra-species-dilution-info": "1/500", "FlowCytIntra-species-notes": "<p></p>", "IELISA-species-checked": "guaranteed", "IELISA-species-dilution-info": "", "IELISA-species-notes": "", "ICCIF-species-checked": "testedAndGuaranteed", "ICCIF-species-dilution-info": "1/500", "ICCIF-species-notes": "<p></p>", "mIHC-species-checked": "testedAndGuaranteed", "mIHC-species-dilution-info": "1/500", "mIHC-species-notes": "<p></p>" }, "Rat": { "IHCP-species-checked": "testedAndGuaranteed", "IHCP-species-dilution-info": "1/2000", "IHCP-species-notes": "<p></p>", "FlowCytIntra-species-checked": "testedAndGuaranteed", "FlowCytIntra-species-dilution-info": "1/50", "FlowCytIntra-species-notes": "<p></p>", "IELISA-species-checked": "guaranteed", "IELISA-species-dilution-info": "", "IELISA-species-notes": "", "ICCIF-species-checked": "guaranteed", "ICCIF-species-dilution-info": "", "ICCIF-species-notes": "", "mIHC-species-checked": "testedAndGuaranteed", "mIHC-species-dilution-info": "1/500", "mIHC-species-notes": "<p></p>" }, "Recombinant fragment - Mouse": { "IHCP-species-checked": "notRecommended", "IHCP-species-dilution-info": "", "IHCP-species-notes": "", "FlowCytIntra-species-checked": "notRecommended", "FlowCytIntra-species-dilution-info": "", "FlowCytIntra-species-notes": "", "IELISA-species-checked": "testedAndGuaranteed", "IELISA-species-dilution-info": "500 ng/mL", "IELISA-species-notes": "<p></p>", "ICCIF-species-checked": "notRecommended", "ICCIF-species-dilution-info": "", "ICCIF-species-notes": "", "mIHC-species-checked": "notRecommended", "mIHC-species-dilution-info": "", "mIHC-species-notes": "" }, "Recombinant fragment - Rat": { "IHCP-species-checked": "notRecommended", "IHCP-species-dilution-info": "", "IHCP-species-notes": "", "FlowCytIntra-species-checked": "notRecommended", "FlowCytIntra-species-dilution-info": "", "FlowCytIntra-species-notes": "", "IELISA-species-checked": "testedAndGuaranteed", "IELISA-species-dilution-info": "500 ng/mL", "IELISA-species-notes": "<p></p>", "ICCIF-species-checked": "notRecommended", "ICCIF-species-dilution-info": "", "ICCIF-species-notes": "", "mIHC-species-checked": "notRecommended", "mIHC-species-dilution-info": "", "mIHC-species-notes": "" } } }

Product details

Patented technology
Our RabMAb® technology is a patented hybridoma-based technology for making rabbit monoclonal antibodies. For details on our patents, please refer to RabMAb® patents.

What are the advantages of a recombinant monoclonal antibody?
This product is a recombinant monoclonal antibody, which offers several advantages including:

  • - High batch-to-batch consistency and reproducibility
  • - Improved sensitivity and specificity
  • - Long-term security of supply
  • - Animal-free batch production

For more information, read more on recombinant antibodies.

Properties and storage information

Form
Liquid
Purification technique
Affinity purification Protein A
Storage buffer
pH: 7.2 - 7.4 Preservative: 0.01% Sodium azide Constituents: PBS, 40% Glycerol (glycerin, glycerine), 0.05% BSA
Shipped at conditions
Blue Ice
Appropriate short-term storage duration
1-2 weeks
Appropriate short-term storage conditions
+4°C
Appropriate long-term storage conditions
-20°C
Aliquoting information
Upon delivery aliquot
Storage information
Avoid freeze / thaw cycle

Supplementary information

This supplementary information is collated from multiple sources and compiled automatically.

C-peptide also known as connecting peptide is a short polypeptide chain consisting of 31 amino acids with a molecular weight of about 3 kDa. It results from enzymatic cleavage during the conversion of proinsulin to insulin and is co-secreted equimolarly with insulin by beta cells of the pancreas. C-peptide does not undergo significant liver metabolism making its levels a meaningful indicator of endogenous insulin production. This peptide is important due to its ability to serve as a biomarker for beta cell function giving insights into the body's insulin production capacity. Commercially available assays for its measurement include C-peptide ELISA and C-peptide ELISA kit important in both clinical and research settings.
Biological function summary

C-peptide plays a role beyond being a mere byproduct of insulin synthesis. Experiments have shown it binds to cell membranes indicating it functions independently and is more than part of the insulin processing complex. Studies suggest C-peptide may have physiological effects such as improving blood flow and possessing anti-inflammatory properties. Its ability to bind likely involves specific interactions that suggest possible receptors a subject of ongoing research. Detection methods like peptide ELISA and peptide test kit further facilitate studying its biological activity and potential therapeutic implications.

Pathways

C-peptide is closely linked to the metabolic insulin signaling pathway. This pathway is integral in glucose homeostasis and involves proteins such as insulin receptor and glucose transporter. Although not directly involved in the receptor-mediated actions of insulin C-peptide's presence alongside insulin shortly after release places it within this critical pathway. Another related pathway includes peptide hormone responses where C-peptide might influence vasodilation or cellular signaling revealing potential avenues for regulating metabolic conditions.

C-peptide is most notably associated with diabetes mellitus specifically type 1 and type 2. Its measurement helps to distinguish between the types of diabetes as it reflects the pancreas's ability to produce insulin. Lower levels often correlate with type 1 diabetes due to autoimmune destruction of beta cells whereas type 2 diabetes may still show normal C-peptide levels as the disease progresses. C-peptide also contributes to diabetic complications through associations with proteins involved in vascular function suggesting its possible role in conditions like diabetic nephropathy and retinopathy.

Product protocols

For this product, it's our understanding that no specific protocols are required. You can visit:

Target data

Insulin decreases blood glucose concentration. It increases cell permeability to monosaccharides, amino acids and fatty acids. It accelerates glycolysis, the pentose phosphate cycle, and glycogen synthesis in liver.
See full target information Ins1

Product promise

We are committed to supporting your work with high-quality reagents, and we're here for you every step of the way. In the unlikely event that one of our products does not perform as expected, you're protected by our Product Promise.
For full details, please see our Terms & Conditions

Please note: All products are 'FOR RESEARCH USE ONLY. NOT FOR USE IN DIAGNOSTIC OR THERAPEUTIC PROCEDURES'.

For licensing inquiries, please contact partnerships@abcam.com