JavaScript is disabled in your browser. Please enable JavaScript to view this website.
AB263020

Anti-C Reactive Protein antibody [EPR22862-10] - BSA and Azide free

Be the first to review this product! Submit a review

|

(0 Publication)

Rabbit Recombinant Monoclonal C Reactive Protein antibody. Carrier free. Suitable for WB, IHC-P and reacts with Human samples.

View Alternative Names

PTX1, CRP, C-reactive protein

2 Images
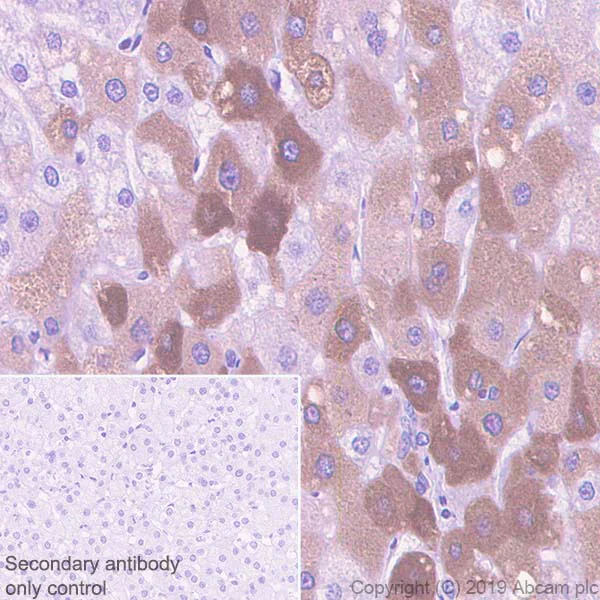
Immunohistochemistry (Formalin/PFA-fixed paraffin-embedded sections) - Anti-C Reactive Protein antibody [EPR22862-10] - BSA and Azide free (AB263020)
  • IHC-P

Unknown

Immunohistochemistry (Formalin/PFA-fixed paraffin-embedded sections) - Anti-C Reactive Protein antibody [EPR22862-10] - BSA and Azide free (AB263020)

Immunohistochemical analysis of paraffin-embedded Human liver tissue labeling C Reactive Protein with ab256492 at 1/2000 dilution followed by a ready to use Rabbit specific IHC polymer detection kit HRP/DAB (ab209101). Positive staining in human liver (PMID : 25812732, 30056637). The section was incubated with ab256492 for 15 mins at room temperature. The immunostaining was performed on a Leica Biosystems BOND® RX instrument. Counterstained with Hematoxylin.

Secondary antibody only control : Secondary antibody is a ready to use Rabbit specific IHC polymer detection kit HRP/DAB (ab209101).

Heat mediated antigen retrieval with Tris-EDTA buffer (pH 9.0, epitope retrieval solution 2) for 20 mins.

This data was developed using the same antibody clone in a different buffer formulation containing PBS, BSA, glycerol, and sodium azide (ab256492).

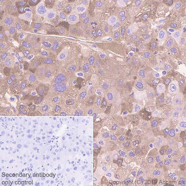
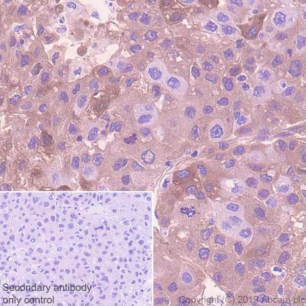
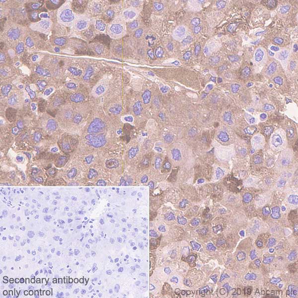
Immunohistochemistry (Formalin/PFA-fixed paraffin-embedded sections) - Anti-C Reactive Protein antibody [EPR22862-10] - BSA and Azide free (AB263020)
  • IHC-P

Unknown

Immunohistochemistry (Formalin/PFA-fixed paraffin-embedded sections) - Anti-C Reactive Protein antibody [EPR22862-10] - BSA and Azide free (AB263020)

Immunohistochemical analysis of paraffin-embedded Human liver cancer tissue labeling C Reactive Protein with ab256492 at 1/2000 dilution followed by a ready to use Rabbit specific IHC polymer detection kit HRP/DAB (ab209101). Positive staining in human liver cancer (PMID : 25812732, 30056637) is observed. The section was incubated with ab256492 for 15 mins at room temperature. The immunostaining was performed on a Leica Biosystems BOND® RX instrument. Counterstained with Hematoxylin.

Secondary antibody only control : Secondary antibody is a ready to use Rabbit specific IHC polymer detection kit HRP/DAB (ab209101).

Heat mediated antigen retrieval with Tris-EDTA buffer (pH 9.0, epitope retrieval solution 2) for 20 mins.

This data was developed using the same antibody clone in a different buffer formulation containing PBS, BSA, glycerol, and sodium azide (ab256492).

  • Unconjugated

    Anti-C Reactive Protein antibody [EPR22862-10]

Key facts

Host species

Rabbit

Clonality

Monoclonal

Clone number

EPR22862-10

Isotype

IgG

Carrier free

Yes

Reacts with

Human

Applications

IHC-P, WB

applications

Immunogen

The exact immunogen used to generate this antibody is proprietary information.

Reactivity data

{ "title": "Reactivity Data", "filters": { "stats": ["", "Species", "Dilution Info", "Notes"], "tabs": { "all-applications": {"fullname" : "All Applications", "shortname": "All Applications"}, "IP" : {"fullname" : "Immunoprecipitation", "shortname":"IP"}, "WB" : {"fullname" : "Western blot", "shortname":"WB"}, "IHCP" : {"fullname" : "Immunohistochemistry (Formalin/PFA-fixed paraffin-embedded sections)", "shortname":"IHC-P"} }, "product-promise": { "all": "all", "testedAndGuaranteed": "tested", "guaranteed": "expected", "predicted": "predicted", "notRecommended": "not-recommended" } }, "values": { "Human": { "IP-species-checked": "notRecommended", "IP-species-dilution-info": "", "IP-species-notes": "<p></p>", "WB-species-checked": "guaranteed", "WB-species-dilution-info": "", "WB-species-notes": "<p></p>", "IHCP-species-checked": "testedAndGuaranteed", "IHCP-species-dilution-info": "", "IHCP-species-notes": "<p></p>" } } }

Product details

ab263020 is the carrier-free version of ab256492.

Patented technology
Our RabMAb® technology is a patented hybridoma-based technology for making rabbit monoclonal antibodies. For details on our patents, please refer to RabMAb® patents.

What are the advantages of a recombinant monoclonal antibody?
This product is a recombinant monoclonal antibody, which offers several advantages including:

  • - High batch-to-batch consistency and reproducibility
  • - Improved sensitivity and specificity
  • - Long-term security of supply
  • - Animal-free batch production

For more information, read more on recombinant antibodies.

Conjugation ready
Our carrier-free antibodies are typically supplied in a PBS-only formulation, purified and free of BSA, sodium azide and glycerol. This conjugation-ready format is designed for use with fluorochromes, metal isotopes, oligonucleotides, and enzymes, which makes them ideal for antibody labelling, functional and cell-based assays, flow-based assays (e.g. mass cytometry) and Multiplex Imaging applications.

Use our conjugation kits for antibody conjugates that are ready-to-use in as little as 20 minutes with 1 minute hands-on-time and 100% antibody recovery: available for fluorescent dyes, HRP, biotin and gold.

Compatibility
This product is compatible with the Maxpar® Antibody Labeling Kit from Fluidigm, without the need for antibody preparation. Maxpar® is a trademark of Fluidigm Canada Inc.

Properties and storage information

Form
Liquid
Purification technique
Affinity purification Protein A
Storage buffer
pH: 7.2 - 7.4 Constituents: PBS
Shipped at conditions
Blue Ice
Appropriate short-term storage conditions
+4°C
Appropriate long-term storage conditions
+4°C
Storage information
Do Not Freeze

Supplementary information

This supplementary information is collated from multiple sources and compiled automatically.

C-reactive protein (CRP) also known as CRP protein is an acute-phase protein with a molecular mass of approximately 25 kDa. It is primarily synthesized in the liver in response to cytokines. This protein appears in the blood where it binds to phosphocholine expressed on the surface of dead or dying cells. CRP is often used as a biomarker for inflammation in the body and its levels in human and canine (anti CRP used) blood samples are measured using assays like the CRP ELISA test or CRP ELISA kit.
Biological function summary

CRP plays a significant role in the innate immune system by recognizing foreign pathogens and damaged cells. It does not form part of a larger complex but itself can bind to specific ligands initiating the complement cascade. This activation enhances phagocytosis by macrophages contributing to the clearance of necrotic and apoptotic cells. The CRP protein therefore acts as a fast responder in the presence of inflammation making it a useful indicator for monitoring inflammatory diseases.

Pathways

CRP operates predominantly within the acute-phase response pathway. Its production is upregulated by cytokines such as IL-6 which connects it to inflammation-signaling pathways. CRP also interacts with the complement system bridging innate and adaptive immunity. Besides CRP could indirectly influence pathways involving other inflammatory proteins like serum amyloid A and haptoglobin creating a network of responses important for managing inflammation.

Elevated CRP levels are commonly associated with cardiovascular diseases and rheumatoid arthritis. In cardiovascular diseases CRP acts as a marker for atherosclerosis where the protein levels correlate with disease severity. It connects with other proteins involved in inflammatory processes such as fibrinogen to contribute to disease pathology. In rheumatoid arthritis CRP provides insights into disease activity helping in the assessment of treatment responses.

Product protocols

For this product, it's our understanding that no specific protocols are required. You can visit:

Target data

Displays several functions associated with host defense : it promotes agglutination, bacterial capsular swelling, phagocytosis and complement fixation through its calcium-dependent binding to phosphorylcholine. Can interact with DNA and histones and may scavenge nuclear material released from damaged circulating cells.
See full target information CRP

Product promise

We are committed to supporting your work with high-quality reagents, and we're here for you every step of the way. In the unlikely event that one of our products does not perform as expected, you're protected by our Product Promise.
For full details, please see our Terms & Conditions

Please note: All products are 'FOR RESEARCH USE ONLY. NOT FOR USE IN DIAGNOSTIC OR THERAPEUTIC PROCEDURES'.

For licensing inquiries, please contact partnerships@abcam.com