JavaScript is disabled in your browser. Please enable JavaScript to view this website.
AB32412

Anti-C Reactive Protein antibody [Y284]

5

(6 Reviews)

|

(36 Publications)

Anti-C Reactive Protein antibody [Y284] (ab32412) is a rabbit monoclonal antibody detecting C Reactive Protein in Western Blot, IP, IHC-P. Suitable for Human.

- Biophysical QC for unrivalled batch-batch consistency
- Over 30 publications
- Trusted since 2006

View Alternative Names

PTX1, CRP, C-reactive protein

7 Images
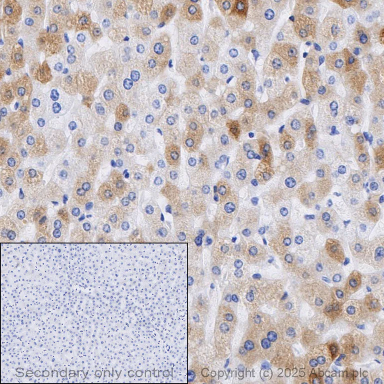
Immunohistochemistry (Formalin/PFA-fixed paraffin-embedded sections) - Anti-C Reactive Protein antibody [Y284] (AB32412)
  • IHC-P

Lab

Immunohistochemistry (Formalin/PFA-fixed paraffin-embedded sections) - Anti-C Reactive Protein antibody [Y284] (AB32412)

Immunohistochemical analysis of formalin fixed paraffin embedded human liver labelling C Reactive Protein with ab32412 at a concentration of 0.01µg/ml. The immunostaining was performed on a Ventana DISCOVERY ULTRA (Roche Tissue Diagnostics) instrument with a OptiView DAB IHC Detection Kit. Heat mediated antigen retrieval was performed with DISCOVERY cell conditioning solution (CC1) 100°C, pH8.5 for 32 mins. ab32412 anti-C Reactive Protein antibody [Y284] was incubated for 16 mins at 37°C. Sections were counterstained with Hematoxylin II. Image inset shows absence of staining in secondary antibody only control.

Customers are encouraged to optimise antigen retrieval conditions, antibody concentration, incubation times and temperature for best results in their own IHC assay workflow (automated and manual).

Western blot - Anti-C Reactive Protein antibody [Y284] (AB32412)
  • WB

Lab

Western blot - Anti-C Reactive Protein antibody [Y284] (AB32412)

Blocking and dilution buffer : 5% NFDM/TBST.

All lanes:

Western blot - Anti-C Reactive Protein antibody [Y284] (ab32412) at 1/2000 dilution

Lane 1:

Human serum at 20 µg

Lane 2:

Human plasma at 20 µg

Secondary

All lanes:

HRP-conjugated anti-rabbit IgG, specific to the non-reduced form of IgG at 1/50000 dilution

Predicted band size: 25 kDa

Observed band size: 27 kDa

false

Immunohistochemistry (Formalin/PFA-fixed paraffin-embedded sections) - Anti-C Reactive Protein antibody [Y284] (AB32412)
  • IHC-P

Unknown

Immunohistochemistry (Formalin/PFA-fixed paraffin-embedded sections) - Anti-C Reactive Protein antibody [Y284] (AB32412)

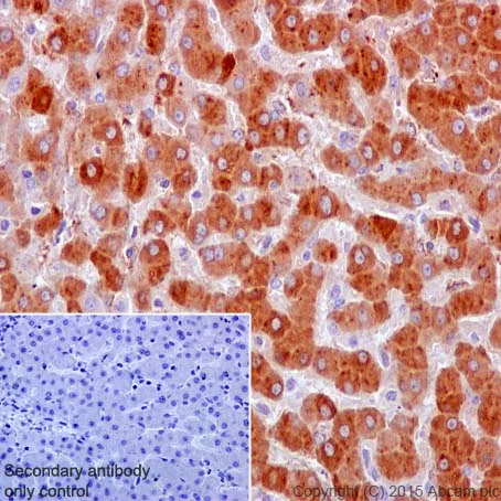
Immunohistochemistry (Formalin/PFA-fixed paraffin-embedded sections) analysis of human liver tissue labelling C Reactive Protein with purified ab32412 at 1/100. Heat mediated antigen retrieval was performed using Tris/EDTA buffer pH 9. ab97051 a HRP-conjugated goat anti-rabbit IgG (H+L) was used as the secondary antibody (1/500). Negative control using PBS instead of primary antibody. Counterstained with hematoxylin.

Immunohistochemistry (Formalin/PFA-fixed paraffin-embedded sections) - Anti-C Reactive Protein antibody [Y284] (AB32412)
  • IHC-P

Unknown

Immunohistochemistry (Formalin/PFA-fixed paraffin-embedded sections) - Anti-C Reactive Protein antibody [Y284] (AB32412)

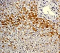
Immunohistochemistry (Formalin/PFA-fixed paraffin-embedded) analysis of human normal liver tissue labelling C Reactive Protein using unpurified ab32412 at a dilution of 1/100.

Immunohistochemistry (Formalin/PFA-fixed paraffin-embedded sections) - Anti-C Reactive Protein antibody [Y284] (AB32412)
  • IHC-P

Unknown

Immunohistochemistry (Formalin/PFA-fixed paraffin-embedded sections) - Anti-C Reactive Protein antibody [Y284] (AB32412)

Immunohistochemistry (Formalin/PFA-fixed paraffin-embedded sections) analysis of human skeletal muscle tissue labelling C Reactive Protein with purified ab32412 at 1/100. Heat mediated antigen retrieval was performed using Tris/EDTA buffer pH 9. ab97051 a HRP-conjugated goat anti-rabbit IgG (H+L) was used as the secondary antibody (1/500). Negative control using PBS instead of primary antibody. Counterstained with hematoxylin.

Immunoprecipitation - Anti-C Reactive Protein antibody [Y284] (AB32412)
  • IP

Unknown

Immunoprecipitation - Anti-C Reactive Protein antibody [Y284] (AB32412)

ab32412 (purified) at 1/30 immunoprecipitating C Reactive Protein in HepG2 (human liver hepatocellular carcinoma cell line) whole cell lysate.

Lane 1 (input) : HepG2 whole cell lysate (10μg)

Lane 2 (+) : ab32412 + HepG2 whole cell lysate.

Lane 3 (-) : Rabbit monoclonal IgG (ab172730) instead of ab32412 in HepG2 whole cell lysate.

For western blotting, a HRP-conjugated anti-rabbit IgG, specific to the non-reduced form of IgG was used as the secondary antibody (1/1500).

Blocking buffer and concentration : 5% NFDM/TBST.

Diluting buffer and concentration : 5% NFDM /TBST.

All lanes:

Immunoprecipitation - Anti-C Reactive Protein antibody [Y284] (ab32412)

Predicted band size: 25 kDa

Observed band size: 27 kDa

false

Western blot - Anti-C Reactive Protein antibody [Y284] (AB32412)
  • WB

Unknown

Western blot - Anti-C Reactive Protein antibody [Y284] (AB32412)

All lanes:

Western blot - Anti-C Reactive Protein antibody [Y284] (ab32412) at 1/1000 dilution

All lanes:

Human serum

Predicted band size: 25 kDa

Observed band size: 27 kDa

false

  • Carrier free

    Anti-C Reactive Protein antibody [Y284] - BSA and Azide free

  • HRP

    HRP Anti-C Reactive Protein antibody [Y284]

  • 665 Alexa Fluor® 647

    Alexa Fluor® 647 Anti-C Reactive Protein antibody [Y284]

  • 603 Alexa Fluor® 568

    Alexa Fluor® 568 Anti-C Reactive Protein antibody [Y284]

  • 565 Alexa Fluor® 555

    Alexa Fluor® 555 Anti-C Reactive Protein antibody [Y284]

  • 617 Alexa Fluor® 594

    Alexa Fluor® 594 Anti-C Reactive Protein antibody [Y284]

  • 519 Alexa Fluor® 488

    Alexa Fluor® 488 Anti-C Reactive Protein antibody [Y284]

  • 775 Alexa Fluor® 750

    Alexa Fluor® 750 Anti-C Reactive Protein antibody [Y284]

Key facts

Host species

Rabbit

Clonality

Monoclonal

Clone number

Y284

Isotype

IgG

Carrier free

No

Reacts with

Human

Applications

IP, WB, IHC-P

applications

Immunogen

The exact immunogen used to generate this antibody is proprietary information.

Epitope

ab32412 reacts with an epitope located in the C terminal region of C Reactive Protein.

Specificity

This antibody recognises C Reactive Protein. This antibody is predicted to detect the splice isoform 2 as well as isoform 1.

Reactivity data

{ "title": "Reactivity Data", "filters": { "stats": ["", "Species", "Dilution Info", "Notes"], "tabs": { "all-applications": {"fullname" : "All Applications", "shortname": "All Applications"}, "IP" : {"fullname" : "Immunoprecipitation", "shortname":"IP"}, "WB" : {"fullname" : "Western blot", "shortname":"WB"}, "ICCIF" : {"fullname" : "Immunocytochemistry/ Immunofluorescence", "shortname":"ICC/IF"}, "IHCP" : {"fullname" : "Immunohistochemistry (Formalin/PFA-fixed paraffin-embedded sections)", "shortname":"IHC-P"} }, "product-promise": { "all": "all", "testedAndGuaranteed": "tested", "guaranteed": "expected", "predicted": "predicted", "notRecommended": "not-recommended" } }, "values": { "Human": { "IP-species-checked": "testedAndGuaranteed", "IP-species-dilution-info": "1/30 - 1/50", "IP-species-notes": "<p></p>", "WB-species-checked": "testedAndGuaranteed", "WB-species-dilution-info": "1/1000 - 1/2000", "WB-species-notes": "<p></p>", "ICCIF-species-checked": "notRecommended", "ICCIF-species-dilution-info": "", "ICCIF-species-notes": "<p></p>", "IHCP-species-checked": "testedAndGuaranteed", "IHCP-species-dilution-info": "1/100 - 1/250", "IHCP-species-notes": "<p></p> Perform heat-mediated antigen retrieval with Tris/EDTA buffer pH 9.0 before commencing with IHC staining protocol." } } }

You may be interested in:

AB99995

Human C Reactive Protein ELISA Kit (CRP)

0

0 Reviews

View product

We recommend this product because it’s often used in the same experiment or related research.

We advise that you always check the datasheet to ensure it fits your experiments, or contact ourtechnical teamfor help.

Product details

Properties and storage information

Form
Liquid
Purification technique
Affinity purification Protein A
Storage buffer
pH: 7.2 - 7.4 Preservative: 0.01% Sodium azide Constituents: 59% PBS, 40% Glycerol (glycerin, glycerine), 0.05% BSA
Shipped at conditions
Blue Ice
Appropriate short-term storage duration
1-2 weeks
Appropriate short-term storage conditions
+4°C
Appropriate long-term storage conditions
-20°C
Aliquoting information
Upon delivery aliquot
Storage information
Avoid freeze / thaw cycle

Supplementary information

This supplementary information is collated from multiple sources and compiled automatically.

C-reactive protein (CRP) also known as CRP protein is an acute-phase protein with a molecular mass of approximately 25 kDa. It is primarily synthesized in the liver in response to cytokines. This protein appears in the blood where it binds to phosphocholine expressed on the surface of dead or dying cells. CRP is often used as a biomarker for inflammation in the body and its levels in human and canine (anti CRP used) blood samples are measured using assays like the CRP ELISA test or CRP ELISA kit.
Biological function summary

CRP plays a significant role in the innate immune system by recognizing foreign pathogens and damaged cells. It does not form part of a larger complex but itself can bind to specific ligands initiating the complement cascade. This activation enhances phagocytosis by macrophages contributing to the clearance of necrotic and apoptotic cells. The CRP protein therefore acts as a fast responder in the presence of inflammation making it a useful indicator for monitoring inflammatory diseases.

Pathways

CRP operates predominantly within the acute-phase response pathway. Its production is upregulated by cytokines such as IL-6 which connects it to inflammation-signaling pathways. CRP also interacts with the complement system bridging innate and adaptive immunity. Besides CRP could indirectly influence pathways involving other inflammatory proteins like serum amyloid A and haptoglobin creating a network of responses important for managing inflammation.

Elevated CRP levels are commonly associated with cardiovascular diseases and rheumatoid arthritis. In cardiovascular diseases CRP acts as a marker for atherosclerosis where the protein levels correlate with disease severity. It connects with other proteins involved in inflammatory processes such as fibrinogen to contribute to disease pathology. In rheumatoid arthritis CRP provides insights into disease activity helping in the assessment of treatment responses.

Product protocols

For this product, it's our understanding that no specific protocols are required. You can visit:

Target data

Displays several functions associated with host defense : it promotes agglutination, bacterial capsular swelling, phagocytosis and complement fixation through its calcium-dependent binding to phosphorylcholine. Can interact with DNA and histones and may scavenge nuclear material released from damaged circulating cells.
See full target information CRP

Publications (36)

Recent publications for all applications. Explore the full list and refine your search

iScience 26:106247 PubMed36926653

2023

Deciduous tooth biomarkers reveal atypical fetal inflammatory regulation in autism spectrum disorder.

Applications

Unspecified application

Species

Unspecified reactive species

Dani Dumitriu,Elena Baldwin,Roozie J J Coenen,Luke A Hammond,Darcy S Peterka,Lynne Heilbrun,Richard E Frye,Raymond Palmer,Hjalmar Nobel Norrman,Anna Fridell,Karl Lundin Remnelius,Johan Isaksson,Christine Austin,Paul Curtin,Sven Bölte,Manish Arora

EBioMedicine 77:103903 PubMed35220044

2022

Alzheimer's disease protease-containing plasma extracellular vesicles transfer to the hippocampus via the choroid plexus.

Applications

Unspecified application

Species

Unspecified reactive species

Jung-Hyun Lee,Christian Ostalecki,Timo Oberstein,Stefan Schierer,Elisabeth Zinser,Martin Eberhardt,Katja Blume,Bianca Plosnita,Lena Stich,Heiko Bruns,Roland Coras,Julio Vera-Gonzales,Manuel Maler,Andreas S Baur

Communications medicine 2:11 PubMed35603298

2022

Genomic analysis of focal nodular hyperplasia with associated hepatocellular carcinoma unveils its malignant potential: a case report.

Applications

Unspecified application

Species

Unspecified reactive species

Caner Ercan,Mairene Coto-Llerena,John Gallon,Lana Fourie,Mattia Marinucci,Gabriel F Hess,Jürg Vosbeck,Stephanie Taha-Mehlitz,Tuyana Boldanova,Marie-Anne Meier,Alexandar Tzankov,Matthias S Matter,Martin H K Hoffmann,Luca Di Tommaso,Markus von Flüe,Charlotte K Y Ng,Markus H Heim,Savas D Soysal,Luigi M Terracciano,Otto Kollmar,Salvatore Piscuoglio

PloS one 16:e0245361 PubMed34428207

2021

CRP immunodeposition and proteomic analysis in abdominal aortic aneurysm.

Applications

Unspecified application

Species

Unspecified reactive species

Eun Na Kim,Jiyoung Yu,Joon Seo Lim,Hwangkyo Jeong,Chong Jai Kim,Jae-Sung Choi,So Ra Kim,Hee-Sung Ahn,Kyunggon Kim,Se Jin Oh

Archives of pathology & laboratory medicine 146:220-226 PubMed34086854

2021

HNF-1β is a More Sensitive and Specific Marker Than C-Reactive Protein for Identifying Biliary Differentiation in Primary Hepatic Carcinomas.

Applications

Unspecified application

Species

Unspecified reactive species

Pallavi A Patil,Tamar Taddei,Dhanpat Jain,Xuchen Zhang

Heliyon 7:e07134 PubMed34056141

2021

Pulmonary stromal expansion and intra-alveolar coagulation are primary causes of COVID-19 death.

Applications

Unspecified application

Species

Unspecified reactive species

Laszlo Szekely,Bela Bozoky,Matyas Bendek,Masih Ostad,Pablo Lavignasse,Lars Haag,Jieyu Wu,Xu Jing,Soham Gupta,Elisa Saccon,Anders Sönnerborg,Yihai Cao,Mikael Björnstedt,Attila Szakos

Redox biology 41:101925 PubMed33714740

2021

Crosslinking of human plasma C-reactive protein to human serum albumin via disulfide bond oxidation.

Applications

Unspecified application

Species

Unspecified reactive species

Shuwen Jiang,Per Hägglund,Luke Carroll,Lars M Rasmussen,Michael J Davies

Redox biology 41:101874 PubMed33601275

2021

Formation of protein cross-links by singlet oxygen-mediated disulfide oxidation.

Applications

Unspecified application

Species

Unspecified reactive species

Shuwen Jiang,Luke Carroll,Michele Mariotti,Per Hägglund,Michael J Davies

Virchows Archiv : an international journal of path : PubMed32583014

2020

Ki-67 "hot spot" digital analysis is useful in the distinction of hepatic adenomas and well-differentiated hepatocellular carcinomas.

Applications

Unspecified application

Species

Unspecified reactive species

Andrea Jones,Trynda N Kroneman,Anthony J Blahnik,Rondell P Graham,Taofic Mounajjed,Michael S Torbenson,Roger K Moreira

PloS one 14:e0216610 PubMed31063484

2019

High serum CRP influences myocardial miRNA profiles in ischemia-reperfusion injury of rat heart.

Applications

Unspecified application

Species

Unspecified reactive species

Eun Na Kim,Chong Jai Kim,So Ra Kim,Jung-A Song,Han Choe,Ki-Bong Kim,Jae-Sung Choi,Se Jin Oh
View all publications

Product promise

We are committed to supporting your work with high-quality reagents, and we're here for you every step of the way. In the unlikely event that one of our products does not perform as expected, you're protected by our Product Promise.
For full details, please see our Terms & Conditions

Associated Products

Select an associated product type
Alternative Product
Primary Antibodies

AB227507

Anti-C Reactive Protein antibody

primary-antibodies

c-reactive-protein-antibody-ab227507

0

(0 reviews)

Alternative Product
Primary Antibodies

AB24462

HRP Anti-C Reactive Protein antibody [C6]

primary-antibodies

hrp-c-reactive-protein-antibody-c6-ab24462

0

(0 reviews)

Alternative Product
Primary Antibodies

AB194206

Anti-C Reactive Protein antibody

primary-antibodies

c-reactive-protein-antibody-ab194206

0

(0 reviews)

Alternative Product
Primary Antibodies

AB34659

FITC Anti-C Reactive Protein antibody

primary-antibodies

fitc-c-reactive-protein-antibody-ab34659

0

(0 reviews)

Alternative Product
Primary Antibodies

AB86246

Biotin Anti-C Reactive Protein antibody

primary-antibodies

biotin-c-reactive-protein-antibody-ab86246

0

(0 reviews)

Alternative Product
Primary Antibodies

AB256492

Anti-C Reactive Protein antibody [EPR22862-10]

primary-antibodies

c-reactive-protein-antibody-epr22862-10-ab256492

5

(2 reviews)

Alternative Product
Primary Antibodies

AB256525

Anti-C Reactive Protein antibody [EPR22868-87]

primary-antibodies

c-reactive-protein-antibody-epr22868-87-ab256525

0

(0 reviews)

Alternative Product
Primary Antibodies

AB51016

Anti-C Reactive Protein antibody [EPR283Y]

primary-antibodies

c-reactive-protein-antibody-epr283y-ab51016

0

(0 reviews)

Alternative Product
Primary Antibodies

AB256546

Anti-C Reactive Protein antibody [EPR22868-87] - BSA and Azide free

primary-antibodies

c-reactive-protein-antibody-epr22868-87-bsa-and-azide-free-ab256546

0

(0 reviews)

Alternative Product
Primary Antibodies

AB136176

Anti-C Reactive Protein antibody [C2]

primary-antibodies

c-reactive-protein-antibody-c2-ab136176

5

(1 reviews)

Alternative Product
Primary Antibodies

AB8278

Anti-C Reactive Protein antibody [C6]

primary-antibodies

c-reactive-protein-antibody-c6-ab8278

0

(0 reviews)

Alternative Product
Primary Antibodies

AB76772

Anti-C Reactive Protein antibody, prediluted

primary-antibodies

c-reactive-protein-antibody-prediluted-ab76772

0

(0 reviews)

Alternative Product
Primary Antibodies

AB65842

Anti-C Reactive Protein antibody - Aminoterminal end

primary-antibodies

c-reactive-protein-antibody-aminoterminal-end-ab65842

5

(2 reviews)

Alternative Product
Primary Antibodies

AB19175

HRP Anti-C Reactive Protein antibody

primary-antibodies

hrp-c-reactive-protein-antibody-ab19175

0

(0 reviews)

Alternative Product
Primary Antibodies

AB207756

Anti-C Reactive Protein antibody [EPR20063]

primary-antibodies

c-reactive-protein-antibody-epr20063-ab207756

0

(0 reviews)

Alternative Version
Primary Antibodies

AB157242

Anti-C Reactive Protein antibody [Y284] - Low endotoxin, Azide free

primary-antibodies

c-reactive-protein-antibody-y284-low-endotoxin-azide-free-ab157242

0

(0 reviews)

Please note: All products are 'FOR RESEARCH USE ONLY. NOT FOR USE IN DIAGNOSTIC OR THERAPEUTIC PROCEDURES'.

For licensing inquiries, please contact partnerships@abcam.com