JavaScript is disabled in your browser. Please enable JavaScript to view this website.
AB157242

Anti-C Reactive Protein antibody [Y284] - Low endotoxin, Azide free

Be the first to review this product! Submit a review

|

(0 Publication)

Rabbit Recombinant Monoclonal C Reactive Protein antibody. Carrier free. Suitable for IP, WB, IHC-P and reacts with Human samples.

View Alternative Names

PTX1, CRP, C-reactive protein

5 Images
Immunohistochemistry (Formalin/PFA-fixed paraffin-embedded sections) - Anti-C Reactive Protein antibody [Y284] - Low endotoxin, Azide free (AB157242)
  • IHC-P

Unknown

Immunohistochemistry (Formalin/PFA-fixed paraffin-embedded sections) - Anti-C Reactive Protein antibody [Y284] - Low endotoxin, Azide free (AB157242)

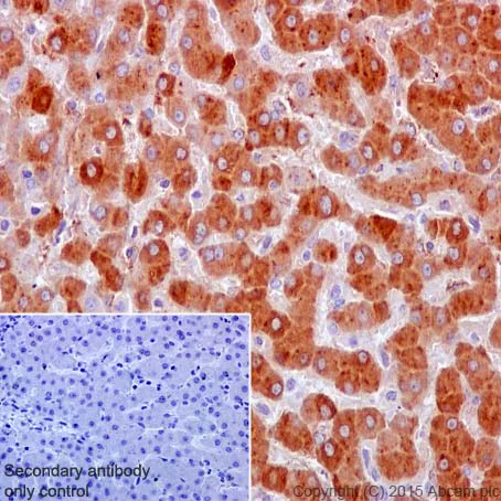
Immunohistochemistry (Formalin/PFA-fixed paraffin-embedded) analysis of human normal liver tissue labelling C Reactive Protein using unpurified ab32412 at a dilution of 1/100.

This data was developed using the same antibody clone in a different buffer formulation containing PBS BSA glycerol and sodium azide (ab32412).

Immunohistochemistry (Formalin/PFA-fixed paraffin-embedded sections) - Anti-C Reactive Protein antibody [Y284] - Low endotoxin, Azide free (AB157242)
  • IHC-P

Unknown

Immunohistochemistry (Formalin/PFA-fixed paraffin-embedded sections) - Anti-C Reactive Protein antibody [Y284] - Low endotoxin, Azide free (AB157242)

Immunohistochemistry (Formalin/PFA-fixed paraffin-embedded sections) analysis of human skeletal muscle tissue labelling C Reactive Protein with purified ab32412 at 1/100. Heat mediated antigen retrieval was performed using Tris/EDTA buffer pH 9. ab97051 a HRP-conjugated goat anti-rabbit IgG (H+L) was used as the secondary antibody (1/500). Negative control using PBS instead of primary antibody. Counterstained with hematoxylin.

This data was developed using the same antibody clone in a different buffer formulation containing PBS BSA glycerol and sodium azide (ab32412).

Immunohistochemistry (Formalin/PFA-fixed paraffin-embedded sections) - Anti-C Reactive Protein antibody [Y284] - Low endotoxin, Azide free (AB157242)
  • IHC-P

Unknown

Immunohistochemistry (Formalin/PFA-fixed paraffin-embedded sections) - Anti-C Reactive Protein antibody [Y284] - Low endotoxin, Azide free (AB157242)

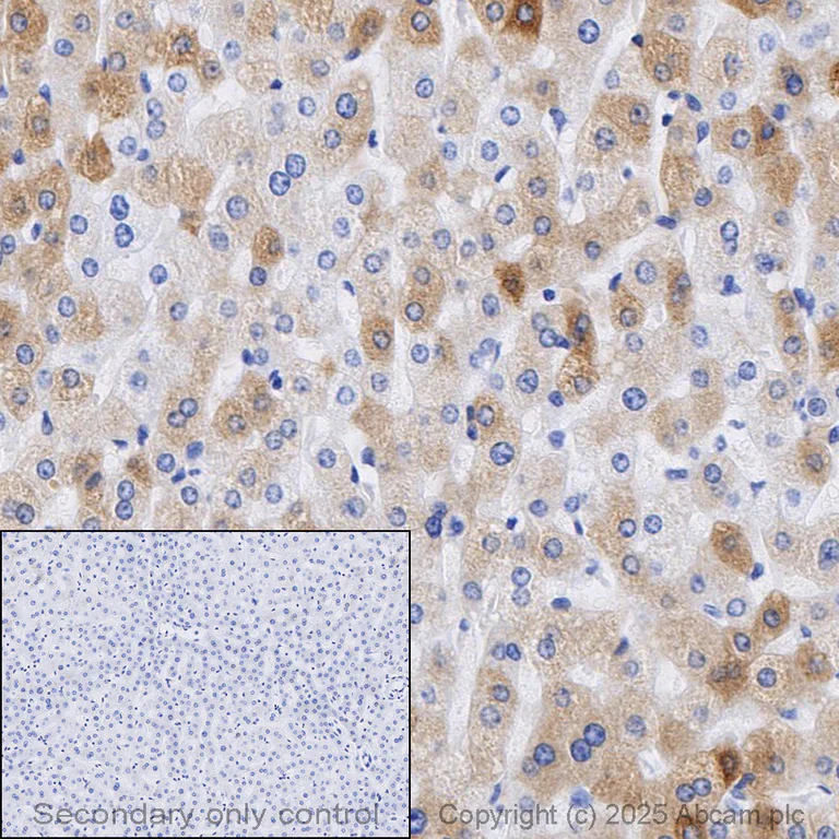
Immunohistochemistry (Formalin/PFA-fixed paraffin-embedded sections) analysis of human liver tissue labelling C Reactive Protein with purified ab32412 at 1/100. Heat mediated antigen retrieval was performed using Tris/EDTA buffer pH 9. ab97051 a HRP-conjugated goat anti-rabbit IgG (H+L) was used as the secondary antibody (1/500). Negative control using PBS instead of primary antibody. Counterstained with hematoxylin.

This data was developed using the same antibody clone in a different buffer formulation containing PBS BSA glycerol and sodium azide (ab32412).

Immunohistochemistry (Formalin/PFA-fixed paraffin-embedded sections) - Anti-C Reactive Protein antibody [Y284] - Low endotoxin, Azide free (AB157242)
  • IHC-P

Lab

Immunohistochemistry (Formalin/PFA-fixed paraffin-embedded sections) - Anti-C Reactive Protein antibody [Y284] - Low endotoxin, Azide free (AB157242)

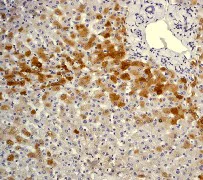
This data was developed using ab32412 the same antibody clone in a different buffer formulation.

Immunohistochemical analysis of formalin fixed paraffin embedded human liver labelling C Reactive Protein with ab32412 at a concentration of 0.01µg/ml. The immunostaining was performed on a Ventana DISCOVERY ULTRA (Roche Tissue Diagnostics) instrument with a OptiView DAB IHC Detection Kit. Heat mediated antigen retrieval was performed with DISCOVERY cell conditioning solution (CC1) 100°C, pH8.5 for 32 mins. ab32412 anti-C Reactive Protein antibody [Y284] was incubated for 16 mins at 37°C. Sections were counterstained with Hematoxylin II. Image inset shows absence of staining in secondary antibody only control.

Customers are encouraged to optimise antigen retrieval conditions, antibody concentration, incubation times and temperature for best results in their own IHC assay workflow (automated and manual).

Immunoprecipitation - Anti-C Reactive Protein antibody [Y284] - Low endotoxin, Azide free (AB157242)
  • IP

Unknown

Immunoprecipitation - Anti-C Reactive Protein antibody [Y284] - Low endotoxin, Azide free (AB157242)

ab32412 (purified) at 1/30 immunoprecipitating C Reactive Protein in HepG2 whole cell lysate.

Lane 1 (input) : HepG2 whole cell lysate (10μg)

Lane 2 (+) : ab32412 + HepG2 whole cell lysate.

Lane 3 (-) : Rabbit monoclonal IgG (ab172730) instead of ab32412 in HepG2 whole cell lysate.

For western blotting, a HRP-conjugated anti-rabbit IgG, specific to the non-reduced form of IgG was used as the secondary antibody (1/1500).

Blocking buffer and concentration : 5% NFDM/TBST.

Diluting buffer and concentration : 5% NFDM /TBST.

This data was developed using the same antibody clone in a different buffer formulation containing PBS, BSA, glycerol, and sodium azide (ab32412).

All lanes:

Immunoprecipitation - Anti-C Reactive Protein antibody [Y284] (<a href='/en-us/products/primary-antibodies/c-reactive-protein-antibody-y284-ab32412'>ab32412</a>)

Predicted band size: 25 kDa

Observed band size: 27 kDa

false

  • 603 Alexa Fluor® 568

    Alexa Fluor® 568 Anti-C Reactive Protein antibody [Y284]

  • Unconjugated

    Anti-C Reactive Protein antibody [Y284]

  • Carrier free

    Anti-C Reactive Protein antibody [Y284] - BSA and Azide free

  • HRP

    HRP Anti-C Reactive Protein antibody [Y284]

  • 665 Alexa Fluor® 647

    Alexa Fluor® 647 Anti-C Reactive Protein antibody [Y284]

  • 617 Alexa Fluor® 594

    Alexa Fluor® 594 Anti-C Reactive Protein antibody [Y284]

  • 565 Alexa Fluor® 555

    Alexa Fluor® 555 Anti-C Reactive Protein antibody [Y284]

  • 519 Alexa Fluor® 488

    Alexa Fluor® 488 Anti-C Reactive Protein antibody [Y284]

  • 775 Alexa Fluor® 750

    Alexa Fluor® 750 Anti-C Reactive Protein antibody [Y284]

Key facts

Host species

Rabbit

Clonality

Monoclonal

Clone number

Y284

Isotype

IgG

Carrier free

Yes

Reacts with

Human

Applications

IP, WB, IHC-P

applications

Immunogen

The exact immunogen used to generate this antibody is proprietary information.

Specificity

This antibody recognises C Reactive Protein. This antibody is predicted to detect the splice isoform 2 as well as isoform 1.

Reactivity data

{ "title": "Reactivity Data", "filters": { "stats": ["", "Species", "Dilution Info", "Notes"], "tabs": { "all-applications": {"fullname" : "All Applications", "shortname": "All Applications"}, "IP" : {"fullname" : "Immunoprecipitation", "shortname":"IP"}, "WB" : {"fullname" : "Western blot", "shortname":"WB"}, "IHCP" : {"fullname" : "Immunohistochemistry (Formalin/PFA-fixed paraffin-embedded sections)", "shortname":"IHC-P"} }, "product-promise": { "all": "all", "testedAndGuaranteed": "tested", "guaranteed": "expected", "predicted": "predicted", "notRecommended": "not-recommended" } }, "values": { "Human": { "IP-species-checked": "testedAndGuaranteed", "IP-species-dilution-info": "", "IP-species-notes": "<p></p>", "WB-species-checked": "guaranteed", "WB-species-dilution-info": "", "WB-species-notes": "<p></p>", "IHCP-species-checked": "testedAndGuaranteed", "IHCP-species-dilution-info": "", "IHCP-species-notes": "<p></p>" } } }

Product details

ab157242 is the carrier-free version of ab32412.

Patented technology
Our RabMAb® technology is a patented hybridoma-based technology for making rabbit monoclonal antibodies. For details on our patents, please refer to RabMAb® patents.

What are the advantages of a recombinant monoclonal antibody?
This product is a recombinant monoclonal antibody, which offers several advantages including:

  • - High batch-to-batch consistency and reproducibility
  • - Improved sensitivity and specificity
  • - Long-term security of supply
  • - Animal-free batch production

For more information, read more on recombinant antibodies.

Conjugation ready
Our carrier-free antibodies are typically supplied in a PBS-only formulation, purified and free of BSA, sodium azide and glycerol. This conjugation-ready format is designed for use with fluorochromes, metal isotopes, oligonucleotides, and enzymes, which makes them ideal for antibody labelling, functional and cell-based assays, flow-based assays (e.g. mass cytometry) and Multiplex Imaging applications.

Use our conjugation kits for antibody conjugates that are ready-to-use in as little as 20 minutes with 1 minute hands-on-time and 100% antibody recovery: available for fluorescent dyes, HRP, biotin and gold.

Compatibility
This product is compatible with the Maxpar® Antibody Labeling Kit from Fluidigm, without the need for antibody preparation. Maxpar® is a trademark of Fluidigm Canada Inc.

What does low endotoxin mean?
Our low endotoxin, azide-free formats have low endotoxin level (1 EU/mg, determined by the TAL assay) and are free from azide, to achieve consistent experimental results in functional assays.

Properties and storage information

Form
Liquid
Purification technique
Affinity purification Protein A
Storage buffer
Constituents: PBS
Shipped at conditions
Blue Ice
Appropriate short-term storage conditions
+4°C
Appropriate long-term storage conditions
+4°C
Storage information
Do Not Freeze

Supplementary information

This supplementary information is collated from multiple sources and compiled automatically.

C-reactive protein (CRP) also known as CRP protein is an acute-phase protein with a molecular mass of approximately 25 kDa. It is primarily synthesized in the liver in response to cytokines. This protein appears in the blood where it binds to phosphocholine expressed on the surface of dead or dying cells. CRP is often used as a biomarker for inflammation in the body and its levels in human and canine (anti CRP used) blood samples are measured using assays like the CRP ELISA test or CRP ELISA kit.
Biological function summary

CRP plays a significant role in the innate immune system by recognizing foreign pathogens and damaged cells. It does not form part of a larger complex but itself can bind to specific ligands initiating the complement cascade. This activation enhances phagocytosis by macrophages contributing to the clearance of necrotic and apoptotic cells. The CRP protein therefore acts as a fast responder in the presence of inflammation making it a useful indicator for monitoring inflammatory diseases.

Pathways

CRP operates predominantly within the acute-phase response pathway. Its production is upregulated by cytokines such as IL-6 which connects it to inflammation-signaling pathways. CRP also interacts with the complement system bridging innate and adaptive immunity. Besides CRP could indirectly influence pathways involving other inflammatory proteins like serum amyloid A and haptoglobin creating a network of responses important for managing inflammation.

Elevated CRP levels are commonly associated with cardiovascular diseases and rheumatoid arthritis. In cardiovascular diseases CRP acts as a marker for atherosclerosis where the protein levels correlate with disease severity. It connects with other proteins involved in inflammatory processes such as fibrinogen to contribute to disease pathology. In rheumatoid arthritis CRP provides insights into disease activity helping in the assessment of treatment responses.

Product protocols

For this product, it's our understanding that no specific protocols are required. You can visit:

Target data

Displays several functions associated with host defense : it promotes agglutination, bacterial capsular swelling, phagocytosis and complement fixation through its calcium-dependent binding to phosphorylcholine. Can interact with DNA and histones and may scavenge nuclear material released from damaged circulating cells.
See full target information CRP

Product promise

We are committed to supporting your work with high-quality reagents, and we're here for you every step of the way. In the unlikely event that one of our products does not perform as expected, you're protected by our Product Promise.
For full details, please see our Terms & Conditions

Please note: All products are 'FOR RESEARCH USE ONLY. NOT FOR USE IN DIAGNOSTIC OR THERAPEUTIC PROCEDURES'.

For licensing inquiries, please contact partnerships@abcam.com