JavaScript is disabled in your browser. Please enable JavaScript to view this website.
AB309131

Anti-c-Rel antibody [EPR25178-58]

  • 20ul selling size
  • RabMAb
  • Recombinant
  • KO Validated
  • What is this?

Be the first to review this product! Submit a review

|

(0 Publication)

Knockout Tested Rabbit Recombinant Monoclonal c-Rel antibody. Suitable for WB and reacts with Human, Mouse, Rat samples.

View Alternative Names

Proto-oncogene c-Rel, Rel

2 Images
Western blot - Anti-c-Rel antibody [EPR25178-58] (AB309131)
  • WB

Supplier Data

Western blot - Anti-c-Rel antibody [EPR25178-58] (AB309131)

Blocking and diluting buffer and concentration : ½ volume of Odyssey Blocking Buffer (TBS)+ ½ volume of TBS Lysates at 20 µg per lane. The samples were run on a Bis-Tris gel under reducing conditions. Western blot : Anti-c-Rel antibody (ab309131) staining at 1/1000 dilution, shown in green; Mouse anti-GAPDH [6C5] (ab8245) loading control staining at 1/20000 dilution, shown in red. In Western blot, ab309131 was shown to bind specifically to c-Rel. Target of interest was observed at 78 kDa, in wild-type HAP1 cell lysates (lane 1) with no signal observed at this size in c-Rel knockout cell line (lane 2). To generate this image, samples were first run on an SDS-PAGE gel then transferred onto an immobilon-FL PVDF membrane. Membranes were blocked in a fluorescent western blot (TBS-based) blocking solution before incubation with primary antibodies overnight at 4 °C. Blots were washed in TBS-T, incubated with secondary antibodies Goat anti-Rabbit IgG H&L 800CW and Goat anti-Mouse IgG H&L 680RD at 1/20000 dilution for 1 h at room temperature, washed again then imaged. Lysates were freshly made and used for Western blotting immediately to minimize protein degradation.

All lanes:

Western blot - Anti-c-Rel antibody [EPR25178-58] (ab309131) at 1/1000 dilution

Lane 1:

293T cells transfected with a human LTBR expression vector containi a His-tag whole cell lysate

Lane 2:

c-Rel knockout HAP1 cell lysate

Lane 3:

Raji (human burkitt's lymphoma b lymphocyte) whole cell lysate

Lane 4:

HuT-78 (human sezary syndrome cutaneous t lymphocyte) whole cell lysate

Secondary

All lanes:

Goat Anti-Rabbit IgG H&L (800CW) and Goat Anti-Mouse IgG H&L (680RD) at 1/10000 dilution

Observed band size: 78 kDa

false

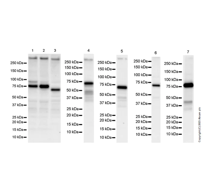
Western blot - Anti-c-Rel antibody [EPR25178-58] (AB309131)
  • WB

Supplier Data

Western blot - Anti-c-Rel antibody [EPR25178-58] (AB309131)

Blocking and diluting buffer and concentration : 5% NFDM/TBST Lysates were freshly made and used for Western blotting immediately to minimize protein degradation. Exposure time : Lanes 1-3 : 26 seconds; Lanes 4-7 : 10 seconds.

All lanes:

Western blot - Anti-c-Rel antibody [EPR25178-58] (ab309131) at 1/1000 dilution

Lane 1:

HeLa (human cervical adenocarcinoma epithelial cell) whole cell lysate at 20 µg

Lane 2:

293T (human embryonic kidney epithelial cell) whole cell lysate at 20 µg

Lane 3:

NIH/3T3 (mouse embryonic fibroblast) whole cell lysate at 20 µg

Lane 4:

Rat thymus tissue lysate at 20 µg

Lane 5:

Mouse thymus tissue lysate at 20 µg

Lane 6:

Neuro-2a (mouse neuroblastoma neuroblast) whole cell lysate at 20 µg

Lane 7:

Raji (human burkitts lymphoma b lymphocyte) whole cell lysate at 20 µg

Secondary

All lanes:

Western blot - Goat Anti-Rabbit IgG H&L (HRP) (<a href='/en-us/products/secondary-antibodies/goat-rabbit-igg-h-l-hrp-ab97051'>ab97051</a>) at 1/20000 dilution

Observed band size: 78 kDa,68 kDa

false

  • Carrier free

    Anti-c-Rel antibody [EPR25178-58] - BSA and Azide free

Key facts

Host species

Rabbit

Clonality

Monoclonal

Clone number

EPR25178-58

Isotype

IgG

Carrier free

No

Reacts with

Human, Mouse, Rat

Applications

WB

applications

Immunogen

The exact immunogen used to generate this antibody is proprietary information.

Reactivity data

{ "title": "Reactivity Data", "filters": { "stats": ["", "Species", "Dilution Info", "Notes"], "tabs": { "all-applications": {"fullname" : "All Applications", "shortname": "All Applications"}, "WB" : {"fullname" : "Western blot", "shortname":"WB"}, "IHCP" : {"fullname" : "Immunohistochemistry (Formalin/PFA-fixed paraffin-embedded sections)", "shortname":"IHC-P"}, "ICCIF" : {"fullname" : "Immunocytochemistry/ Immunofluorescence", "shortname":"ICC/IF"}, "FlowCytIntra" : {"fullname" : "Flow Cytometry (Intracellular)", "shortname":"Flow Cyt (Intra)"}, "IP" : {"fullname" : "Immunoprecipitation", "shortname":"IP"}, "IHCFr" : {"fullname" : "Immunohistochemistry (Frozen sections)", "shortname":"IHC-Fr"} }, "product-promise": { "all": "all", "testedAndGuaranteed": "tested", "guaranteed": "expected", "predicted": "predicted", "notRecommended": "not-recommended" } }, "values": { "Human": { "WB-species-checked": "testedAndGuaranteed", "WB-species-dilution-info": "1/1000", "WB-species-notes": "<p></p>", "IHCP-species-checked": "notRecommended", "IHCP-species-dilution-info": "", "IHCP-species-notes": "<p></p>", "ICCIF-species-checked": "notRecommended", "ICCIF-species-dilution-info": "", "ICCIF-species-notes": "<p></p>", "FlowCytIntra-species-checked": "notRecommended", "FlowCytIntra-species-dilution-info": "", "FlowCytIntra-species-notes": "<p></p>", "IP-species-checked": "notRecommended", "IP-species-dilution-info": "", "IP-species-notes": "<p></p>", "IHCFr-species-checked": "notRecommended", "IHCFr-species-dilution-info": "", "IHCFr-species-notes": "" }, "Mouse": { "WB-species-checked": "testedAndGuaranteed", "WB-species-dilution-info": "1/1000", "WB-species-notes": "<p></p>", "IHCP-species-checked": "notRecommended", "IHCP-species-dilution-info": "", "IHCP-species-notes": "<p></p>", "ICCIF-species-checked": "notRecommended", "ICCIF-species-dilution-info": "", "ICCIF-species-notes": "<p></p>", "FlowCytIntra-species-checked": "notRecommended", "FlowCytIntra-species-dilution-info": "", "FlowCytIntra-species-notes": "<p></p>", "IP-species-checked": "notRecommended", "IP-species-dilution-info": "", "IP-species-notes": "<p></p>", "IHCFr-species-checked": "notRecommended", "IHCFr-species-dilution-info": "", "IHCFr-species-notes": "<p></p>" }, "Rat": { "WB-species-checked": "testedAndGuaranteed", "WB-species-dilution-info": "1/1000", "WB-species-notes": "<p></p>", "IHCP-species-checked": "notRecommended", "IHCP-species-dilution-info": "", "IHCP-species-notes": "<p></p>", "ICCIF-species-checked": "notRecommended", "ICCIF-species-dilution-info": "", "ICCIF-species-notes": "<p></p>", "FlowCytIntra-species-checked": "notRecommended", "FlowCytIntra-species-dilution-info": "", "FlowCytIntra-species-notes": "<p></p>", "IP-species-checked": "notRecommended", "IP-species-dilution-info": "", "IP-species-notes": "<p></p>", "IHCFr-species-checked": "notRecommended", "IHCFr-species-dilution-info": "", "IHCFr-species-notes": "<p></p>" } } }

Product details

Patented technology
Our RabMAb® technology is a patented hybridoma-based technology for making rabbit monoclonal antibodies. For details on our patents, please refer to RabMAb® patents.

What are the advantages of a recombinant monoclonal antibody?
This product is a recombinant monoclonal antibody, which offers several advantages including:

  • - High batch-to-batch consistency and reproducibility
  • - Improved sensitivity and specificity
  • - Long-term security of supply
  • - Animal-free batch production

For more information, read more on recombinant antibodies.

Properties and storage information

Form
Liquid
Purification technique
Affinity purification Protein A
Storage buffer
pH: 7.2 - 7.4 Preservative: 0.01% Sodium azide Constituents: PBS, 40% Glycerol (glycerin, glycerine), 0.05% BSA
Shipped at conditions
Blue Ice
Appropriate short-term storage duration
1-2 weeks
Appropriate short-term storage conditions
+4°C
Appropriate long-term storage conditions
-20°C
Aliquoting information
Upon delivery aliquot
Storage information
Avoid freeze / thaw cycle

Supplementary information

This supplementary information is collated from multiple sources and compiled automatically.

The c-Rel protein also known as REL is a member of the NF-kappaB (nuclear factor kappa-light-chain-enhancer of activated B cells) family of transcription factors. It has a mass of approximately 65 kDa and is expressed in a variety of tissues with high levels seen in immune cells such as T and B lymphocytes. Being a transcription factor c-Rel regulates the expression of genes involved in immune responses cell proliferation and apoptosis. Its activity depends on its ability to translocate to the nucleus where it binds specific DNA sequences to modulate transcription.
Biological function summary

C-Rel functions to regulate immune system processes and is integral in lymphocyte activation. c-Rel functions as part of both homodimer and heterodimer complexes often partnering with other members of the NF-kappaB family to exert its effects. Through these complexes c-Rel influences the transcription of cytokines growth factors and other molecules critical for immune function. The protein’s role extends to influencing the differentiation and survival of lymphocytes instrumental in mounting adequate immune responses.

Pathways

C-Rel plays a significant role in the regulation of the NF-kappaB signaling pathway and the MAPK (mitogen-activated protein kinase) pathway. The NF-kappaB pathway is activated by inflammatory stimuli and stress which leads to the translocation of c-Rel to the nucleus. Here c-Rel regulates genes important for immune and inflammatory responses alongside other proteins like RelA and p50. In conjunction with the MAPK pathway c-Rel contributes to cellular responses to growth signals and stress collaborating with proteins such as JNK (c-Jun N-terminal kinase) and ERK (extracellular signal-regulated kinase).

C-Rel’s dysregulation is associated with autoimmune diseases and lymphoid malignancies. Abnormal c-Rel activity contributes to diseases like rheumatoid arthritis where enhanced expression can lead to excessive inflammation and immune response. In certain lymphomas and leukemias overactive c-Rel promotes uncontrolled cell proliferation and survival. P53 a protein known for its role in tumor suppression may interact with pathways involving c-Rel influencing cancer progression and immune response dynamics. Understanding c-Rel and its interactions offers potential therapeutic targets for these and other related conditions.

Product protocols

For this product, it's our understanding that no specific protocols are required. You can visit:

Target data

Proto-oncogene that may play a role in differentiation and lymphopoiesis. NF-kappa-B is a pleiotropic transcription factor which is present in almost all cell types and is involved in many biological processes such as inflammation, immunity, differentiation, cell growth, tumorigenesis and apoptosis. NF-kappa-B is a homo- or heterodimeric complex formed by the Rel-like domain-containing proteins RELA/p65, RELB, NFKB1/p105, NFKB1/p50, REL and NFKB2/p52. The dimers bind at kappa-B sites in the DNA of their target genes and the individual dimers have distinct preferences for different kappa-B sites that they can bind with distinguishable affinity and specificity. Different dimer combinations act as transcriptional activators or repressors, respectively. NF-kappa-B is controlled by various mechanisms of post-translational modification and subcellular compartmentalization as well as by interactions with other cofactors or corepressors. NF-kappa-B complexes are held in the cytoplasm in an inactive state complexed with members of the NF-kappa-B inhibitor (I-kappa-B) family. In a conventional activation pathway, I-kappa-B is phosphorylated by I-kappa-B kinases (IKKs) in response to different activators, subsequently degraded thus liberating the active NF-kappa-B complex which translocates to the nucleus. The NF-kappa-B heterodimer RELA/p65-c-Rel is a transcriptional activator (By similarity).
See full target information Rel

Product promise

We are committed to supporting your work with high-quality reagents, and we're here for you every step of the way. In the unlikely event that one of our products does not perform as expected, you're protected by our Product Promise.
For full details, please see our Terms & Conditions

Please note: All products are 'FOR RESEARCH USE ONLY. NOT FOR USE IN DIAGNOSTIC OR THERAPEUTIC PROCEDURES'.

For licensing inquiries, please contact partnerships@abcam.com