JavaScript is disabled in your browser. Please enable JavaScript to view this website.
AB30624

Anti-c-Rel (phospho S503) antibody

Be the first to review this product! Submit a review

|

(2 Publications)

Rabbit Polyclonal c-Rel phospho S503 antibody. Suitable for WB, IHC-P and reacts with Human samples. Cited in 2 publications. Immunogen corresponding to Synthetic Peptide within Human REL phospho S503.

View Alternative Names

Proto-oncogene c-Rel, REL

2 Images
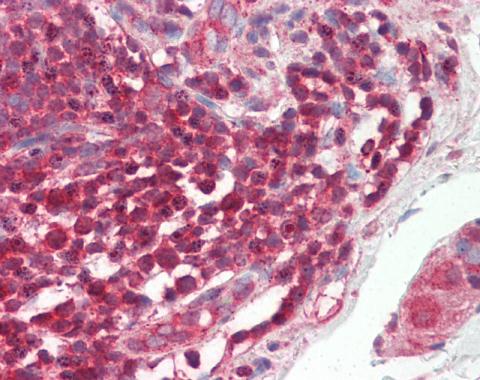
Immunohistochemistry (Formalin/PFA-fixed paraffin-embedded sections) - Anti-c-Rel (phospho S503) antibody (AB30624)
  • IHC-P

Unknown

Immunohistochemistry (Formalin/PFA-fixed paraffin-embedded sections) - Anti-c-Rel (phospho S503) antibody (AB30624)

Immunohistochemical analysis of paraffin embedded breast carcinoma tissue sections, using 1/50 c-Rel (Phospho- Ser503) Antibody (ab30624). Left : untreated sample; Right : sample preincubated with synthesized phosphopeptide (negative control).

Western blot - Anti-c-Rel (phospho S503) antibody (AB30624)
  • WB

Unknown

Western blot - Anti-c-Rel (phospho S503) antibody (AB30624)

All lanes:

Western blot - Anti-c-Rel (phospho S503) antibody (ab30624) at 1/500 dilution

Lane 1:

extracts from MDA-MB-435 cells (5-30ug).

Lane 2:

extracts from MDA-MB-435 cells (5-30ug), preincubated with synthesized peptide (negative control).

Predicted band size: 68 kDa

Observed band size: 60 kDa

false

Key facts

Host species

Rabbit

Clonality

Polyclonal

Isotype

IgG

Carrier free

No

Reacts with

Human

Applications

WB, IHC-P

applications

Immunogen

Synthetic Peptide within Human REL phospho S503. The exact immunogen used to generate this antibody is proprietary information.

Q04864

Reactivity data

{ "title": "Reactivity Data", "filters": { "stats": ["", "Species", "Dilution Info", "Notes"], "tabs": { "all-applications": {"fullname" : "All Applications", "shortname": "All Applications"}, "WB" : {"fullname" : "Western blot", "shortname":"WB"}, "IHCP" : {"fullname" : "Immunohistochemistry (Formalin/PFA-fixed paraffin-embedded sections)", "shortname":"IHC-P"} }, "product-promise": { "all": "all", "testedAndGuaranteed": "tested", "guaranteed": "expected", "predicted": "predicted", "notRecommended": "not-recommended" } }, "values": { "Human": { "WB-species-checked": "testedAndGuaranteed", "WB-species-dilution-info": "1/500 - 1/1000", "WB-species-notes": "<p></p>", "IHCP-species-checked": "testedAndGuaranteed", "IHCP-species-dilution-info": "", "IHCP-species-notes": "<p></p>" } } }

Properties and storage information

Form
Liquid
Purification technique
Affinity purification Immunogen
Purification notes
The antibody against non phosphopeptide was removed by chromatography using non phosphopeptide corresponding to the phosphorylation site.
Storage buffer
pH: 7.4 Preservative: 0.02% Sodium azide Constituents: PBS, 50% Glycerol (glycerin, glycerine), 0.87% Sodium chloride
Shipped at conditions
Blue Ice
Appropriate short-term storage conditions
+4°C
Appropriate long-term storage conditions
-20°C
Aliquoting information
Upon delivery aliquot
Storage information
Avoid freeze / thaw cycle

Supplementary information

This supplementary information is collated from multiple sources and compiled automatically.

The c-Rel protein also known as REL is a member of the NF-kappaB (nuclear factor kappa-light-chain-enhancer of activated B cells) family of transcription factors. It has a mass of approximately 65 kDa and is expressed in a variety of tissues with high levels seen in immune cells such as T and B lymphocytes. Being a transcription factor c-Rel regulates the expression of genes involved in immune responses cell proliferation and apoptosis. Its activity depends on its ability to translocate to the nucleus where it binds specific DNA sequences to modulate transcription.
Biological function summary

C-Rel functions to regulate immune system processes and is integral in lymphocyte activation. c-Rel functions as part of both homodimer and heterodimer complexes often partnering with other members of the NF-kappaB family to exert its effects. Through these complexes c-Rel influences the transcription of cytokines growth factors and other molecules critical for immune function. The protein’s role extends to influencing the differentiation and survival of lymphocytes instrumental in mounting adequate immune responses.

Pathways

C-Rel plays a significant role in the regulation of the NF-kappaB signaling pathway and the MAPK (mitogen-activated protein kinase) pathway. The NF-kappaB pathway is activated by inflammatory stimuli and stress which leads to the translocation of c-Rel to the nucleus. Here c-Rel regulates genes important for immune and inflammatory responses alongside other proteins like RelA and p50. In conjunction with the MAPK pathway c-Rel contributes to cellular responses to growth signals and stress collaborating with proteins such as JNK (c-Jun N-terminal kinase) and ERK (extracellular signal-regulated kinase).

C-Rel’s dysregulation is associated with autoimmune diseases and lymphoid malignancies. Abnormal c-Rel activity contributes to diseases like rheumatoid arthritis where enhanced expression can lead to excessive inflammation and immune response. In certain lymphomas and leukemias overactive c-Rel promotes uncontrolled cell proliferation and survival. P53 a protein known for its role in tumor suppression may interact with pathways involving c-Rel influencing cancer progression and immune response dynamics. Understanding c-Rel and its interactions offers potential therapeutic targets for these and other related conditions.

Product protocols

For this product, it's our understanding that no specific protocols are required. You can visit:

Target data

Proto-oncogene that may play a role in differentiation and lymphopoiesis. NF-kappa-B is a pleiotropic transcription factor which is present in almost all cell types and is involved in many biological processed such as inflammation, immunity, differentiation, cell growth, tumorigenesis and apoptosis. NF-kappa-B is a homo- or heterodimeric complex formed by the Rel-like domain-containing proteins RELA/p65, RELB, NFKB1/p105, NFKB1/p50, REL and NFKB2/p52. The dimers bind at kappa-B sites in the DNA of their target genes and the individual dimers have distinct preferences for different kappa-B sites that they can bind with distinguishable affinity and specificity. Different dimer combinations act as transcriptional activators or repressors, respectively. NF-kappa-B is controlled by various mechanisms of post-translational modification and subcellular compartmentalization as well as by interactions with other cofactors or corepressors. NF-kappa-B complexes are held in the cytoplasm in an inactive state complexed with members of the NF-kappa-B inhibitor (I-kappa-B) family. In a conventional activation pathway, I-kappa-B is phosphorylated by I-kappa-B kinases (IKKs) in response to different activators, subsequently degraded thus liberating the active NF-kappa-B complex which translocates to the nucleus. The NF-kappa-B heterodimer RELA/p65-c-Rel is a transcriptional activator.
See full target information REL phospho S503

Publications (2)

Recent publications for all applications. Explore the full list and refine your search

Molecular therapy oncolytics 27:61-72 PubMed36284716

2022

Azelnidipine inhibits esophageal squamous cell carcinoma proliferation and by targeting MEK1/2.

Applications

Unspecified application

Species

Unspecified reactive species

Lili Zhao,Yuhan Zhang,Ang Li,Xuebo Lu,Mingzhu Li,Qiang Yuan,Ning Yang,Xiaokun Zhao,Xin Li,Yanan Jiang,Kangdong Liu

Journal of experimental & clinical cancer research : CR 40:253 PubMed34380537

2021

Phosphorylation of NF-κBp65 drives inflammation-mediated hepatocellular carcinogenesis and is a novel therapeutic target.

Applications

Unspecified application

Species

Unspecified reactive species

Xuan Xu,Yiming Lei,Lingjun Chen,Haoxiong Zhou,Huiling Liu,Jie Jiang,Yidong Yang,Bin Wu
View all publications

Product promise

We are committed to supporting your work with high-quality reagents, and we're here for you every step of the way. In the unlikely event that one of our products does not perform as expected, you're protected by our Product Promise.
For full details, please see our Terms & Conditions

Please note: All products are 'FOR RESEARCH USE ONLY. NOT FOR USE IN DIAGNOSTIC OR THERAPEUTIC PROCEDURES'.

For licensing inquiries, please contact partnerships@abcam.com