JavaScript is disabled in your browser. Please enable JavaScript to view this website.
AB313834

Anti-C1 inhibitor antibody [HL1196] - BSA and Azide free

Be the first to review this product! Submit a review

|

(0 Publication)

Rabbit Recombinant Monoclonal SERPING1 antibody. Carrier free. Suitable for WB, ICC/IF and reacts with Human, Mouse, Rat samples. Immunogen corresponding to Recombinant Fragment Protein within Human SERPING1.

View Alternative Names

C1IN, C1NH, SERPING1, Plasma protease C1 inhibitor, C1 Inh, C1Inh, C1 esterase inhibitor, C1-inhibiting factor, Serpin G1

3 Images
Immunocytochemistry/ Immunofluorescence - Anti-C1 inhibitor antibody [HL1196] - BSA and Azide free (AB313834)
  • ICC/IF

Supplier Data

Immunocytochemistry/ Immunofluorescence - Anti-C1 inhibitor antibody [HL1196] - BSA and Azide free (AB313834)

Immunofluorescence analysis of ice-cold MeOH fixed HepG2 cells labelling C1 inhibitor protein using ab313834 at a 1/500 dilution for 10 min (Green). The nuclear counter stain is DAPI (Blue).

Western blot - Anti-C1 inhibitor antibody [HL1196] - BSA and Azide free (AB313834)
  • WB

Supplier Data

Western blot - Anti-C1 inhibitor antibody [HL1196] - BSA and Azide free (AB313834)

All lanes:

Western blot - Anti-C1 inhibitor antibody [HL1196] - BSA and Azide free (ab313834) at 1/10000 dilution

All lanes:

Human plasma at 30 µg

Secondary

All lanes:

HRP-conjugated anti-rabbit IgG antibody

Predicted band size: 55 kDa

false

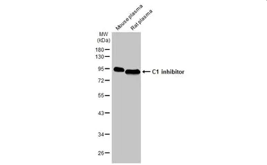
Western blot - Anti-C1 inhibitor antibody [HL1196] - BSA and Azide free (AB313834)
  • WB

Supplier Data

Western blot - Anti-C1 inhibitor antibody [HL1196] - BSA and Azide free (AB313834)

All lanes:

Western blot - Anti-C1 inhibitor antibody [HL1196] - BSA and Azide free (ab313834) at 1/2000 dilution

Lane 1:

Mouse plasma at 30 µg

Lane 2:

Rat plasma at 30 µg

Secondary

All lanes:

HRP-conjugated anti-rabbit IgG antibody

Predicted band size: 55 kDa

false

Key facts

Host species

Rabbit

Clonality

Monoclonal

Clone number

HL1196

Isotype

IgG

Carrier free

Yes

Reacts with

Human, Rat, Mouse

Applications

WB, ICC/IF

applications

Immunogen

Recombinant Fragment Protein within Human SERPING1.

P05155

Reactivity data

{ "title": "Reactivity Data", "filters": { "stats": ["", "Species", "Dilution Info", "Notes"], "tabs": { "all-applications": {"fullname" : "All Applications", "shortname": "All Applications"}, "WB" : {"fullname" : "Western blot", "shortname":"WB"}, "ICCIF" : {"fullname" : "Immunocytochemistry/ Immunofluorescence", "shortname":"ICC/IF"} }, "product-promise": { "all": "all", "testedAndGuaranteed": "tested", "guaranteed": "expected", "predicted": "predicted", "notRecommended": "not-recommended" } }, "values": { "Human": { "WB-species-checked": "testedAndGuaranteed", "WB-species-dilution-info": "1/500 - 1/10000", "WB-species-notes": "<p></p>", "ICCIF-species-checked": "testedAndGuaranteed", "ICCIF-species-dilution-info": "", "ICCIF-species-notes": "<p></p>" }, "Mouse": { "WB-species-checked": "testedAndGuaranteed", "WB-species-dilution-info": "1/500 - 1/10000", "WB-species-notes": "<p></p>", "ICCIF-species-checked": "guaranteed", "ICCIF-species-dilution-info": "", "ICCIF-species-notes": "" }, "Rat": { "WB-species-checked": "testedAndGuaranteed", "WB-species-dilution-info": "1/500 - 1/10000", "WB-species-notes": "<p></p>", "ICCIF-species-checked": "guaranteed", "ICCIF-species-dilution-info": "", "ICCIF-species-notes": "" } } }

Product details

What are the advantages of a recombinant monoclonal antibody?
This product is a recombinant monoclonal antibody, which offers several advantages including:

  • - High batch-to-batch consistency and reproducibility
  • - Improved sensitivity and specificity
  • - Long-term security of supply
  • - Animal-free batch production

For more information, read more on recombinant antibodies.

Conjugation ready
Our carrier-free antibodies are typically supplied in a PBS-only formulation, purified and free of BSA, sodium azide and glycerol. This conjugation-ready format is designed for use with fluorochromes, metal isotopes, oligonucleotides, and enzymes, which makes them ideal for antibody labelling, functional and cell-based assays, flow-based assays (e.g. mass cytometry) and Multiplex Imaging applications.

Use our conjugation kits for antibody conjugates that are ready-to-use in as little as 20 minutes with 1 minute hands-on-time and 100% antibody recovery: available for fluorescent dyes, HRP, biotin and gold.

Properties and storage information

Form
Liquid
Purification technique
Affinity purification Protein A
Storage buffer
pH: 7.4 Constituents: PBS
Shipped at conditions
Blue Ice
Appropriate short-term storage conditions
+4°C
Appropriate long-term storage conditions
+4°C
Aliquoting information
Upon delivery aliquot

Supplementary information

This supplementary information is collated from multiple sources and compiled automatically.

C1 inhibitor also known as C1 esterase inhibitor or C1-INH is a serpin family protein that plays a significant role in inhibiting the complement system. This protein found in human serum has a molecular mass of about 104 kDa. C1 inhibitor is predominantly expressed in the liver and secreted into the bloodstream where it functions to regulate several proteolytic cascades. As a glycoprotein it also contains significant carbohydrate moieties that aid in its stability and function.
Biological function summary

As an inhibitor of the classical pathway of the complement system C1 inhibitor controls the activation of C1 esterase. This interaction prevents the uncontrolled activation of downstream components of the complement cascade which could result in tissue damage. C1 inhibitor also participates in regulating the kallikrein-kinin system preventing excessive inflammation. It achieves these roles not alone but as a part of complexes that interact with other proteins to maintain homeostasis within the immune system.

Pathways

The role of C1 inhibitor intersects with critical inflammatory modulatory pathways such as the complement pathway and the kallikrein-kinin system. These pathways are essential for proper immune response modulation preventing excessive inflammation and maintaining vascular permeability. C1-INH acts alongside proteases like kallikrein and proteins like C4 and C2 within these pathways to regulate the initiation and progression of the immune response during infections or insults.

Inadequate levels or functional defects in C1 inhibitor lead to hereditary angioedema a condition characterized by recurrent episodes of severe swelling. This disease highlights the importance of C1-INH in controlling vascular leakage and inflammation. Moreover C1 inhibitor has been implicated in autoimmune diseases like systemic lupus erythematosus where its regulatory kinetics with proteins such as C1q play a part in managing excessive complement activation. These associations highlight the important protective role of C1 inhibitor in health and disease.

Product protocols

For this product, it's our understanding that no specific protocols are required. You can visit:

Target data

Activation of the C1 complex is under control of the C1-inhibitor. It forms a proteolytically inactive stoichiometric complex with the C1r or C1s proteases. May play a potentially crucial role in regulating important physiological pathways including complement activation, blood coagulation, fibrinolysis and the generation of kinins. Very efficient inhibitor of FXIIa. Inhibits chymotrypsin and kallikrein.
See full target information SERPING1

Additional targets

Serping1,Serping1

Product promise

We are committed to supporting your work with high-quality reagents, and we're here for you every step of the way. In the unlikely event that one of our products does not perform as expected, you're protected by our Product Promise.
For full details, please see our Terms & Conditions

Please note: All products are 'FOR RESEARCH USE ONLY. NOT FOR USE IN DIAGNOSTIC OR THERAPEUTIC PROCEDURES'.

For licensing inquiries, please contact partnerships@abcam.com