JavaScript is disabled in your browser. Please enable JavaScript to view this website.
AB191400

Anti-C10 antibody [EPR14614]

Be the first to review this product! Submit a review

|

(2 Publications)

Rabbit Recombinant Monoclonal C10 antibody. Suitable for WB, IHC-P and reacts with Recombinant full length protein - Mouse, Mouse, Rat samples. Cited in 2 publications.

View Alternative Names

C10, Scya6, Ccl6, C-C motif chemokine 6, Protein C10, Small-inducible cytokine A6

3 Images
Immunohistochemistry (Formalin/PFA-fixed paraffin-embedded sections) - Anti-C10 antibody [EPR14614] (AB191400)
  • IHC-P

Supplier Data

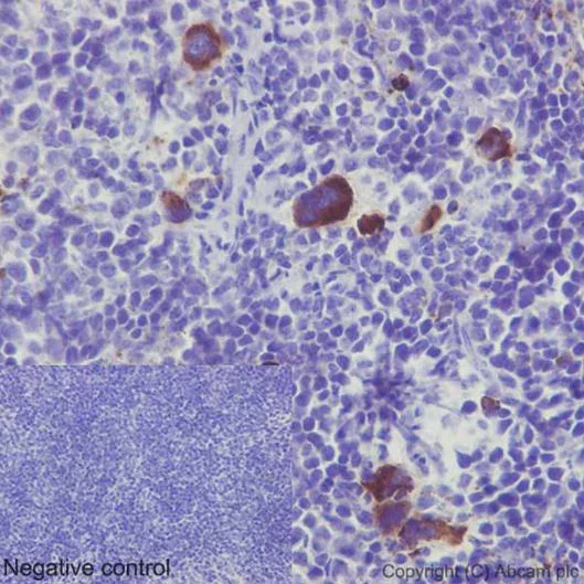
Immunohistochemistry (Formalin/PFA-fixed paraffin-embedded sections) - Anti-C10 antibody [EPR14614] (AB191400)

Immunohistochemical analysis of paraffin-embedded rat spleen tissue labeling C10 with ab191400 at a 1/2000 dilution (0.6μg/ml). Counter stained with hematoxylin. In the negative control PBS was used instead of primary antibody.

Perform heat mediated antigen retrieval with Tris/EDTA buffer pH 9.0 before commencing with IHC staining protocol.

Immunohistochemistry (Formalin/PFA-fixed paraffin-embedded sections) - Anti-C10 antibody [EPR14614] (AB191400)
  • IHC-P

Supplier Data

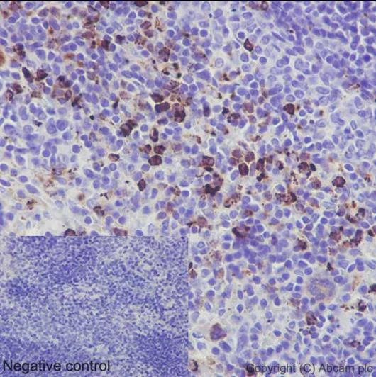
Immunohistochemistry (Formalin/PFA-fixed paraffin-embedded sections) - Anti-C10 antibody [EPR14614] (AB191400)

Immunohistochemical analysis of paraffin-embedded mouse spleen tissue labeling C10 with ab191400 at a 1/2000 dilution (0.6μg/ml). Counter stained with hematoxylin. In the negative control PBS was used instead of primary antibody.

Perform heat mediated antigen retrieval with Tris/EDTA buffer pH 9.0 before commencing with IHC staining protocol.

Western blot - Anti-C10 antibody [EPR14614] (AB191400)
  • WB

Supplier Data

Western blot - Anti-C10 antibody [EPR14614] (AB191400)

All lanes:

Western blot - Anti-C10 antibody [EPR14614] (ab191400) at 1/10000 dilution

All lanes:

Recombinant mouse C10 protein at 20 µg

Secondary

All lanes:

goat anti-rabbit IgG, (H+L), peroxidase conjugated at 1/1000 dilution

Predicted band size: 13 kDa

Observed band size: 13 kDa

true

  • Carrier free

    Anti-C10 antibody [EPR14614] - BSA and Azide free

Key facts

Host species

Rabbit

Clonality

Monoclonal

Clone number

EPR14614

Isotype

IgG

Carrier free

No

Reacts with

Mouse, Rat

Applications

WB, IHC-P

applications

Immunogen

The exact immunogen used to generate this antibody is proprietary information.

Reactivity data

{ "title": "Reactivity Data", "filters": { "stats": ["", "Species", "Dilution Info", "Notes"], "tabs": { "all-applications": {"fullname" : "All Applications", "shortname": "All Applications"}, "WB" : {"fullname" : "Western blot", "shortname":"WB"}, "IHCP" : {"fullname" : "Immunohistochemistry (Formalin/PFA-fixed paraffin-embedded sections)", "shortname":"IHC-P"} }, "product-promise": { "all": "all", "testedAndGuaranteed": "tested", "guaranteed": "expected", "predicted": "predicted", "notRecommended": "not-recommended" } }, "values": { "Mouse": { "WB-species-checked": "guaranteed", "WB-species-dilution-info": "", "WB-species-notes": "", "IHCP-species-checked": "testedAndGuaranteed", "IHCP-species-dilution-info": "1/1000 - 1/2000", "IHCP-species-notes": "<p></p>" }, "Rat": { "WB-species-checked": "guaranteed", "WB-species-dilution-info": "", "WB-species-notes": "", "IHCP-species-checked": "testedAndGuaranteed", "IHCP-species-dilution-info": "1/1000 - 1/2000", "IHCP-species-notes": "<p></p>" }, "Recombinant full length protein - Mouse": { "WB-species-checked": "testedAndGuaranteed", "WB-species-dilution-info": "1/1000 - 1/10000", "WB-species-notes": "<p></p>", "IHCP-species-checked": "notRecommended", "IHCP-species-dilution-info": "", "IHCP-species-notes": "" } } }

Product details

Patented technology
Our RabMAb® technology is a patented hybridoma-based technology for making rabbit monoclonal antibodies. For details on our patents, please refer to RabMAb® patents.

What are the advantages of a recombinant monoclonal antibody?
This product is a recombinant monoclonal antibody, which offers several advantages including:

  • - High batch-to-batch consistency and reproducibility
  • - Improved sensitivity and specificity
  • - Long-term security of supply
  • - Animal-free batch production

For more information, read more on recombinant antibodies.

Properties and storage information

Form
Liquid
Purification technique
Affinity purification Protein A
Storage buffer
pH: 7.2 - 7.4 Preservative: 0.01% Sodium azide Constituents: PBS, 40% Glycerol (glycerin, glycerine), 0.05% BSA
Shipped at conditions
Blue Ice
Appropriate short-term storage duration
1-2 weeks
Appropriate short-term storage conditions
+4°C
Appropriate long-term storage conditions
-20°C
Aliquoting information
Upon delivery aliquot
Storage information
Avoid freeze / thaw cycle

Supplementary information

This supplementary information is collated from multiple sources and compiled automatically.

C10 also known as complement component C10 plays an important role in the immune system by facilitating cell lysis through the membrane attack complex (MAC) assembly. It is part of the complement cascade traditionally involved in destroying pathogens and infected host cells. The protein has a molecular mass of approximately 30 kilodaltons. C10 expression occurs mainly in liver hepatocytes but its product circulates in the bloodstream and can also be found in various body fluids.
Biological function summary

This complement component carries out an essential function in innate immunity by contributing to the execution of cellular apoptosis and pathogen elimination. C10 becomes a part of the larger MAC complex interacting with other complement proteins such as C5b C6 C7 C8 and C9 to form pores on target cell membranes. These pore formations help in creating a passage for ions and molecules leading to osmotic lysis and subsequent cell death integral for immune defense.

Pathways

C10 integrates into the complement activation pathway particularly within the terminal pathway of the complement system. This pathway involves a cascade of protein interactions initiated by different triggers such as antigen-antibody complexes or pathogen surfaces. Related proteins like C3 and C5 facilitate the formation and activation of MAC focusing on pathogen neutralization. C10's mechanistic role ensures the effective completion of this terminal pathway contributing significantly to both classical and alternative complement pathways.

Abnormalities in C10 activity can relate to conditions such as paroxysmal nocturnal hemoglobinuria (PNH) and systemic lupus erythematosus (SLE). In PNH faulty complement regulation due to mutations in complement regulatory proteins like CD55 and CD59 leads to red blood cell destruction where C10's role in MAC formation aggravates hemolysis. In SLE autoantibody production and complement activation create immune complexes that accumulate in organs exacerbating inflammation and tissue damage. Understanding C10's interaction with these proteins provides insight into the therapeutic potential for managing such autoimmune-related conditions.

Product protocols

For this product, it's our understanding that no specific protocols are required. You can visit:

Target data

Chemotactic factor that attracts mostly macrophage, but it can also attract B cells, CD4(+) lymphocytes and eosinophils.
See full target information Ccl6

Publications (2)

Recent publications for all applications. Explore the full list and refine your search

Signal transduction and targeted therapy 6:91 PubMed33640900

2021

Eosinophil-derived chemokine (hCCL15/23, mCCL6) interacts with CCR1 to promote eosinophilic airway inflammation.

Applications

Unspecified application

Species

Unspecified reactive species

Xufei Du,Fei Li,Chao Zhang,Na Li,Huaqiong Huang,Zhehua Shao,Min Zhang,Xueqin Zhan,Yicheng He,Zhenyu Ju,Wen Li,Zhihua Chen,Songmin Ying,Huahao Shen

OncoTargets and therapy 13:5927-5938 PubMed32606802

2020

Quantitative Proteomics Analysis Indicates That Upregulation of lncRNA HULC Promotes Pathogenesis of Glioblastoma Cells.

Applications

Unspecified application

Species

Unspecified reactive species

Yuchen Hu,Shan Ye,Qian Li,Tiantian Yin,Jing Wu,Jie He
View all publications

Product promise

We are committed to supporting your work with high-quality reagents, and we're here for you every step of the way. In the unlikely event that one of our products does not perform as expected, you're protected by our Product Promise.
For full details, please see our Terms & Conditions

Please note: All products are 'FOR RESEARCH USE ONLY. NOT FOR USE IN DIAGNOSTIC OR THERAPEUTIC PROCEDURES'.

For licensing inquiries, please contact partnerships@abcam.com