JavaScript is disabled in your browser. Please enable JavaScript to view this website.
AB275039

Anti-C10 antibody [EPR23475-105] - BSA and Azide free

Be the first to review this product! Submit a review

|

(0 Publication)

Rabbit Recombinant Monoclonal C10 antibody. Carrier free. Suitable for IP, IHC-Fr, Flow Cyt (Intra), IHC-P and reacts with Mouse, Rat samples.

View Alternative Names

C10, Scya6, Ccl6, C-C motif chemokine 6, Protein C10, Small-inducible cytokine A6

7 Images
Immunohistochemistry (Frozen sections) - Anti-C10 antibody [EPR23475-105] - BSA and Azide free (AB275039)
  • IHC-Fr

Unknown

Immunohistochemistry (Frozen sections) - Anti-C10 antibody [EPR23475-105] - BSA and Azide free (AB275039)

This data was developed using ab275025, the same antibody clone in a different buffer formulation.

Immunohistochemical analysis of 4% PFA-fixed, 0.2% Triton X-100 permeabilized frozen Mouse colon tissue labeling C10 with ab275025 at 1/500 dilution followed by ab150077 Goat Anti-Rabbit IgG H&L (Alexa Fluor® 488) at 1/1000 (2 ug/ml) dilution (Green). Positive staining on mouse colon (PMID : 7579352). The nuclear counterstain was DAPI (Blue).

Secondary antibody control : Secondary antibody is ab150077 Goat Anti-Rabbit IgG H&L (Alexa Fluor® 488)at 1/1000 (2 ug/ml) dilution.

Immunohistochemistry (Formalin/PFA-fixed paraffin-embedded sections) - Anti-C10 antibody [EPR23475-105] - BSA and Azide free (AB275039)
  • IHC-P

Unknown

Immunohistochemistry (Formalin/PFA-fixed paraffin-embedded sections) - Anti-C10 antibody [EPR23475-105] - BSA and Azide free (AB275039)

This data was developed using ab275025, the same antibody clone in a different buffer formulation.

Immunohistochemical analysis of paraffin-embedded Mouse lung tissue labeling C10 with ab275025 at 1/500 dilution followed by a ready to use Rabbit specific IHC polymer detection kit HRP/DAB (ab209101). Postive staining on mouse lung (PMID : 14734772). The section was incubated with ab275025 for 30 mins at room temperature. The immunostaining was performed on a Leica Biosystems BOND® RX instrument. Counterstained with Hematoxylin.

Secondary antibody only control : Secondary antibody is a ready to use Rabbit specific IHC polymer detection kit HRP/DAB (ab209101).

Heat mediated antigen retrieval with Tris-EDTA buffer (pH 9.0, epitope retrieval solution2) for 20 mins.

Immunohistochemistry (Frozen sections) - Anti-C10 antibody [EPR23475-105] - BSA and Azide free (AB275039)
  • IHC-Fr

Unknown

Immunohistochemistry (Frozen sections) - Anti-C10 antibody [EPR23475-105] - BSA and Azide free (AB275039)

This data was developed using ab275025, the same antibody clone in a different buffer formulation.

Immunohistochemical analysis of 4% PFA-fixed, 0.2% Triton X-100 permeabilized frozen Mouse small intestine tissue labeling C10 with ab275025 at 1/500 dilution followed by ab150077 Goat Anti-Rabbit IgG H&L (Alexa Fluor® 488) at 1/1000 (2 ug/ml) dilution (Green). Positive staining on mouse small intestine (PMID : 7579352). The nuclear counterstain was DAPI (Blue).

Secondary antibody control : Secondary antibody is ab150077 Goat Anti-Rabbit IgG H&L (Alexa Fluor® 488) at 1/1000 (2 ug/ml) dilution.

Immunohistochemistry (Formalin/PFA-fixed paraffin-embedded sections) - Anti-C10 antibody [EPR23475-105] - BSA and Azide free (AB275039)
  • IHC-P

Unknown

Immunohistochemistry (Formalin/PFA-fixed paraffin-embedded sections) - Anti-C10 antibody [EPR23475-105] - BSA and Azide free (AB275039)

This data was developed using ab275025, the same antibody clone in a different buffer formulation.

Immunohistochemical analysis of paraffin-embedded Mouse spleen tissue labeling C10 with ab275025 at 1/500 dilution followed by a ready to use Rabbit specific IHC polymer detection kit HRP/DAB (ab209101). Postive staining on mouse spleen (PMID : 15770051). The section was incubated with ab275025 for 30 mins at room temperature. The immunostaining was performed on a Leica Biosystems BOND® RX instrument. Counterstained with Hematoxylin.

Secondary antibody only control : Secondary antibody is a ready to use Rabbit specific IHC polymer detection kit HRP/DAB (ab209101).

Heat mediated antigen retrieval with Tris-EDTA buffer (pH 9.0, epitope retrieval solution2) for 20 mins.

Flow Cytometry (Intracellular) - Anti-C10 antibody [EPR23475-105] - BSA and Azide free (AB275039)
  • Flow Cyt (Intra)

Unknown

Flow Cytometry (Intracellular) - Anti-C10 antibody [EPR23475-105] - BSA and Azide free (AB275039)

This data was developed using ab275025, the same antibody clone in a different buffer formulation.

Intracellular flow cytometric analysis of 4% paraformaldehyde fixed, 90% methanol permeabilized P388D1 (Mouse lymphoma monocyte; macrophage) (treated with 1ug/ml lipopolysaccharide (LPS) for 4h then add 300ng/ml Brefeldin A for 16h) (Red) / Untreated control (Green) cells labelling C10 with ab275025 at 1/500 dilution (0.1ug) compared with a Rabbit monoclonal IgG (ab172730) isotype control (Black) and an unlabelled control (cells without incubation with primary antibody and secondary antibody) (Blue).

A Goat anti rabbit IgG (Alexa Fluor®488, ab150077) at 1/2000 dilution was used as the secondary antibody.

Immunoprecipitation - Anti-C10 antibody [EPR23475-105] - BSA and Azide free (AB275039)
  • IP

Unknown

Immunoprecipitation - Anti-C10 antibody [EPR23475-105] - BSA and Azide free (AB275039)

This data was developed using ab275025, the same antibody clone in a different buffer formulation.

C10 was immunoprecipitated from 0.35 mg Mouse small intestine tissue lysate with ab275025 at 1/30 dilution (2ug in 0.35mg lysates). Western blot was performed on the immunoprecipitate using ab275025 at 1/500 dilution. VeriBlot for IP Detection Reagent (HRP)(ab131366) was used at 1/1000 dilution.

Lane 1 : Mouse small intestine tissue lysate 10 ug

Lane 2 : ab275025 IP in Mouse small intestine tissue lysate

Lane 3 : Rabbit monoclonal IgG (ab172730) instead of ab275025 in mouse small intestine tissue lysate

Blocking and dilution buffer and concentration : 5% NFDM/TBST.

Exposure time : 3 minutes.

The expression profile observed is consistent with what has been described in the literature (PMID : 19812544).

All lanes:

Immunoprecipitation - Anti-C10 antibody [EPR23475-105] (<a href='/en-us/products/primary-antibodies/c10-antibody-epr23475-105-ab275025'>ab275025</a>)

Predicted band size: 13 kDa

Observed band size: 13 kDa

false

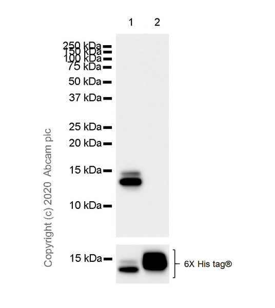
Western blot - Anti-C10 antibody [EPR23475-105] - BSA and Azide free (AB275039)
  • WB

Unknown

Western blot - Anti-C10 antibody [EPR23475-105] - BSA and Azide free (AB275039)

This data was developed using ab275025, the same antibody clone in a different buffer formulation.

Blocking and dilution buffer : 5% NFDM/TBST.

Exposure time : 8 seconds.

This product does not recognize CCL9.

All lanes:

Western blot - Anti-C10 antibody [EPR23475-105] (<a href='/en-us/products/primary-antibodies/c10-antibody-epr23475-105-ab275025'>ab275025</a>) at 1/1000 dilution

Lane 1:

His-tagged mouse C10 recombinant protein, 20ng

Lane 2:

His-tagged mouse MIP-1 gamma (CCL9) recombinant protein (aa 22-122), 50ng

Secondary

All lanes:

Goat Anti-Rabbit IgG, (H+L), Peroxidase conjugated (<a href='/en-us/products/secondary-antibodies/goat-rabbit-igg-h-l-hrp-ab97051'>ab97051</a>) at 1/100000 dilution

Predicted band size: 13 kDa

false

Key facts

Host species

Rabbit

Clonality

Monoclonal

Clone number

EPR23475-105

Isotype

IgG

Carrier free

Yes

Reacts with

Mouse, Rat

Applications

IP, IHC-Fr, Flow Cyt (Intra), IHC-P

applications

Immunogen

The exact immunogen used to generate this antibody is proprietary information.

Reactivity data

{ "title": "Reactivity Data", "filters": { "stats": ["", "Species", "Dilution Info", "Notes"], "tabs": { "all-applications": {"fullname" : "All Applications", "shortname": "All Applications"}, "IP" : {"fullname" : "Immunoprecipitation", "shortname":"IP"}, "WB" : {"fullname" : "Western blot", "shortname":"WB"}, "IHCFr" : {"fullname" : "Immunohistochemistry (Frozen sections)", "shortname":"IHC-Fr"}, "FlowCytIntra" : {"fullname" : "Flow Cytometry (Intracellular)", "shortname":"Flow Cyt (Intra)"}, "IHCP" : {"fullname" : "Immunohistochemistry (Formalin/PFA-fixed paraffin-embedded sections)", "shortname":"IHC-P"}, "ICCIF" : {"fullname" : "Immunocytochemistry/ Immunofluorescence", "shortname":"ICC/IF"} }, "product-promise": { "all": "all", "testedAndGuaranteed": "tested", "guaranteed": "expected", "predicted": "predicted", "notRecommended": "not-recommended" } }, "values": { "Human": { "IP-species-checked": "notRecommended", "IP-species-dilution-info": "", "IP-species-notes": "", "WB-species-checked": "notRecommended", "WB-species-dilution-info": "", "WB-species-notes": "<p>Does not give a signal with endogenous expression samples.</p>", "IHCFr-species-checked": "notRecommended", "IHCFr-species-dilution-info": "", "IHCFr-species-notes": "", "FlowCytIntra-species-checked": "notRecommended", "FlowCytIntra-species-dilution-info": "", "FlowCytIntra-species-notes": "", "IHCP-species-checked": "notRecommended", "IHCP-species-dilution-info": "", "IHCP-species-notes": "<p></p>", "ICCIF-species-checked": "notRecommended", "ICCIF-species-dilution-info": "", "ICCIF-species-notes": "" }, "Mouse": { "IP-species-checked": "testedAndGuaranteed", "IP-species-dilution-info": "", "IP-species-notes": "<p></p>", "WB-species-checked": "notRecommended", "WB-species-dilution-info": "", "WB-species-notes": "<p>Does not give a signal with endogenous expression samples.</p>", "IHCFr-species-checked": "testedAndGuaranteed", "IHCFr-species-dilution-info": "", "IHCFr-species-notes": "<p>Heat mediated antigen retrieval using sodium citrate buffer (10mM citrate pH 6.0 + 0.05% Tween-20).</p>", "FlowCytIntra-species-checked": "testedAndGuaranteed", "FlowCytIntra-species-dilution-info": "", "FlowCytIntra-species-notes": "<p></p>", "IHCP-species-checked": "testedAndGuaranteed", "IHCP-species-dilution-info": "", "IHCP-species-notes": "<p></p>", "ICCIF-species-checked": "notRecommended", "ICCIF-species-dilution-info": "", "ICCIF-species-notes": "<p></p>" }, "Rat": { "IP-species-checked": "guaranteed", "IP-species-dilution-info": "", "IP-species-notes": "<p></p>", "WB-species-checked": "notRecommended", "WB-species-dilution-info": "", "WB-species-notes": "<p>Does not give a signal with endogenous expression samples.</p>", "IHCFr-species-checked": "notRecommended", "IHCFr-species-dilution-info": "", "IHCFr-species-notes": "<p>Heat mediated antigen retrieval using sodium citrate buffer (10mM citrate pH 6.0 + 0.05% Tween-20).</p>", "FlowCytIntra-species-checked": "guaranteed", "FlowCytIntra-species-dilution-info": "", "FlowCytIntra-species-notes": "<p></p>", "IHCP-species-checked": "notRecommended", "IHCP-species-dilution-info": "", "IHCP-species-notes": "<p></p>", "ICCIF-species-checked": "notRecommended", "ICCIF-species-dilution-info": "", "ICCIF-species-notes": "" } } }

Product details

ab275039 is the carrier-free version of ab275025.

Patented technology
Our RabMAb® technology is a patented hybridoma-based technology for making rabbit monoclonal antibodies. For details on our patents, please refer to RabMAb® patents.

What are the advantages of a recombinant monoclonal antibody?
This product is a recombinant monoclonal antibody, which offers several advantages including:

  • - High batch-to-batch consistency and reproducibility
  • - Improved sensitivity and specificity
  • - Long-term security of supply
  • - Animal-free batch production

For more information, read more on recombinant antibodies.

Conjugation ready
Our carrier-free antibodies are typically supplied in a PBS-only formulation, purified and free of BSA, sodium azide and glycerol. This conjugation-ready format is designed for use with fluorochromes, metal isotopes, oligonucleotides, and enzymes, which makes them ideal for antibody labelling, functional and cell-based assays, flow-based assays (e.g. mass cytometry) and Multiplex Imaging applications.

Use our conjugation kits for antibody conjugates that are ready-to-use in as little as 20 minutes with 1 minute hands-on-time and 100% antibody recovery: available for fluorescent dyes, HRP, biotin and gold.

Compatibility
This product is compatible with the Maxpar® Antibody Labeling Kit from Fluidigm, without the need for antibody preparation. Maxpar® is a trademark of Fluidigm Canada Inc.

Properties and storage information

Form
Liquid
Purification technique
Affinity purification Protein A
Storage buffer
Constituents: PBS
Shipped at conditions
Blue Ice
Appropriate short-term storage conditions
+4°C
Appropriate long-term storage conditions
+4°C
Storage information
Do Not Freeze

Supplementary information

This supplementary information is collated from multiple sources and compiled automatically.

C10 also known as complement component C10 plays an important role in the immune system by facilitating cell lysis through the membrane attack complex (MAC) assembly. It is part of the complement cascade traditionally involved in destroying pathogens and infected host cells. The protein has a molecular mass of approximately 30 kilodaltons. C10 expression occurs mainly in liver hepatocytes but its product circulates in the bloodstream and can also be found in various body fluids.
Biological function summary

This complement component carries out an essential function in innate immunity by contributing to the execution of cellular apoptosis and pathogen elimination. C10 becomes a part of the larger MAC complex interacting with other complement proteins such as C5b C6 C7 C8 and C9 to form pores on target cell membranes. These pore formations help in creating a passage for ions and molecules leading to osmotic lysis and subsequent cell death integral for immune defense.

Pathways

C10 integrates into the complement activation pathway particularly within the terminal pathway of the complement system. This pathway involves a cascade of protein interactions initiated by different triggers such as antigen-antibody complexes or pathogen surfaces. Related proteins like C3 and C5 facilitate the formation and activation of MAC focusing on pathogen neutralization. C10's mechanistic role ensures the effective completion of this terminal pathway contributing significantly to both classical and alternative complement pathways.

Abnormalities in C10 activity can relate to conditions such as paroxysmal nocturnal hemoglobinuria (PNH) and systemic lupus erythematosus (SLE). In PNH faulty complement regulation due to mutations in complement regulatory proteins like CD55 and CD59 leads to red blood cell destruction where C10's role in MAC formation aggravates hemolysis. In SLE autoantibody production and complement activation create immune complexes that accumulate in organs exacerbating inflammation and tissue damage. Understanding C10's interaction with these proteins provides insight into the therapeutic potential for managing such autoimmune-related conditions.

Product protocols

For this product, it's our understanding that no specific protocols are required. You can visit:

Target data

Chemotactic factor that attracts mostly macrophage, but it can also attract B cells, CD4(+) lymphocytes and eosinophils.
See full target information Ccl6

Product promise

We are committed to supporting your work with high-quality reagents, and we're here for you every step of the way. In the unlikely event that one of our products does not perform as expected, you're protected by our Product Promise.
For full details, please see our Terms & Conditions

Please note: All products are 'FOR RESEARCH USE ONLY. NOT FOR USE IN DIAGNOSTIC OR THERAPEUTIC PROCEDURES'.

For licensing inquiries, please contact partnerships@abcam.com