JavaScript is disabled in your browser. Please enable JavaScript to view this website.
AB168388

Anti-C11B2/CYP11B2 antibody [EPR10494]

  • BOND RX™ Validated
  • 20ul selling size
  • RabMAb
  • Advanced Validation
  • Recombinant
  • What is this?

Be the first to review this product! Submit a review

|

(7 Publications)

Anti-C11B2/CYP11B2 antibody [EPR10494] (ab168388) is a rabbit monoclonal antibody detecting C11B2/CYP11B2 in Western Blot, IHC-P, mIHC. Suitable for Human.

- Multiplex IHC validated on the Leica BOND® MAX using Opal reagents
- Biophysical QC for unrivalled batch-batch consistency

View Alternative Names

Aldosterone synthase, Aldosterone-synthesizing enzyme, CYPXIB2, Cytochrome P-450Aldo, Cytochrome P-450C18, Steroid 18-hydroxylase, ALDOS, CYP11B2

6 Images
Immunohistochemistry (Formalin/PFA-fixed paraffin-embedded sections) - Anti-C11B2/CYP11B2 antibody [EPR10494] (AB168388)
  • IHC-P

Unknown

Immunohistochemistry (Formalin/PFA-fixed paraffin-embedded sections) - Anti-C11B2/CYP11B2 antibody [EPR10494] (AB168388)

Immunohistochemical analysis of paraffin-embedded Human kidney tissue labeling C11B2/CYP11B2 with ab168388 at 1/100 dilution.

Perform heat mediated antigen retrieval before commencing with IHC staining protocol.

Immunohistochemistry (Formalin/PFA-fixed paraffin-embedded sections) - Anti-C11B2/CYP11B2 antibody [EPR10494] (AB168388)
  • IHC-P

Supplier Data

Immunohistochemistry (Formalin/PFA-fixed paraffin-embedded sections) - Anti-C11B2/CYP11B2 antibody [EPR10494] (AB168388)

ab168388 showing +ve staining in Human heart muscle tissue.

Perform heat mediated antigen retrieval before commencing with IHC staining protocol.

Immunohistochemistry (Formalin/PFA-fixed paraffin-embedded sections) - Anti-C11B2/CYP11B2 antibody [EPR10494] (AB168388)
  • IHC-P

Supplier Data

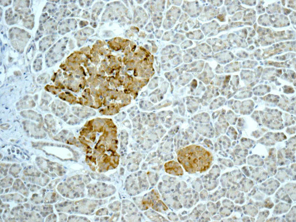
Immunohistochemistry (Formalin/PFA-fixed paraffin-embedded sections) - Anti-C11B2/CYP11B2 antibody [EPR10494] (AB168388)

ab168388 showing +ve staining in Human normal pancreas tissue.

Perform heat mediated antigen retrieval before commencing with IHC staining protocol.

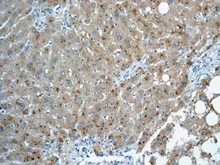
Immunohistochemistry (Formalin/PFA-fixed paraffin-embedded sections) - Anti-C11B2/CYP11B2 antibody [EPR10494] (AB168388)
  • IHC-P

Unknown

Immunohistochemistry (Formalin/PFA-fixed paraffin-embedded sections) - Anti-C11B2/CYP11B2 antibody [EPR10494] (AB168388)

Immunohistochemical analysis of paraffin-embedded Human liver tissue labeling C11B2/CYP11B2 with ab168388 at 1/100 dilution.

Perform heat mediated antigen retrieval before commencing with IHC staining protocol.

Multiplex immunohistochemistry - Anti-C11B2/CYP11B2 antibody [EPR10494] (AB168388)
  • mIHC

Supplier Data

Multiplex immunohistochemistry - Anti-C11B2/CYP11B2 antibody [EPR10494] (AB168388)

Fluorescence multiplex immunohistochemical analysis of human adrenal gland (formalin-fixed paraffin-embedded section). Panel A shows merged staining of anti-PCSK2 stained on adrenal medulla (ab274418; red; Opal™690) at 1 : 2000 (0.263 μg/ml) [Panel B], anti-C11B2/CYP11B2 stained on zona glomerulosa (ab249476; cyan; Opal™520) at 1 : 500 (4.478 μg/ml) [Panel C], and anti-SULT2A1 stained on zona reticularis (ab240333; yellow; Opal™570) at 1 : 500 (4.504 μg/ml) [Panel D] on human adrenal gland. DAPI was used as a nuclear counter stain. Followed by Opal Polymer HRP Ms + Rb secondary antibody. The immunostaining was performed on a Leica Biosystems BOND® RX instrument with an Opal™ 4-color kit. Image acquisition was performed with Leica SP8 confocal microscope. The section was incubated in three rounds of staining : in the order of ab274418, ab249476, and ab240333 for 30 mins at room temperature. Each round was followed by a separate fluorescent tyramide signal amplification system. Heat mediated antigen retrieval with Tris-EDTA buffer (pH 9.0, epitope retrieval solution2) for 20 mins was used. This data was developed using ab249476, the same antibody clone in a different buffer formulation.

Western blot - Anti-C11B2/CYP11B2 antibody [EPR10494] (AB168388)
  • WB

Unknown

Western blot - Anti-C11B2/CYP11B2 antibody [EPR10494] (AB168388)

All lanes:

Western blot - Anti-C11B2/CYP11B2 antibody [EPR10494] (ab168388) at 1/1000 dilution

All lanes:

Human adrenal gland lysate at 10 µg

Secondary

All lanes:

Goat anti-rabbit HRP at 1/2000 dilution

Predicted band size: 58 kDa

false

  • Carrier free

    Anti-C11B2/CYP11B2 antibody [EPR10494] - BSA and Azide free

  • 578 PE

    PE Anti-C11B2/CYP11B2 antibody [EPR10494]

  • 665 Alexa Fluor® 647

    Alexa Fluor® 647 Anti-C11B2/CYP11B2 antibody [EPR10494]

  • 565 Alexa Fluor® 555

    Alexa Fluor® 555 Anti-C11B2/CYP11B2 antibody [EPR10494]

  • 519 Alexa Fluor® 488

    Alexa Fluor® 488 Anti-C11B2/CYP11B2 antibody [EPR10494]

  • 617 Alexa Fluor® 594

    Alexa Fluor® 594 Anti-C11B2/CYP11B2 antibody [EPR10494]

  • 660 APC

    APC Anti-C11B2/CYP11B2 antibody [EPR10494]

  • 775 Alexa Fluor® 750

    Alexa Fluor® 750 Anti-C11B2/CYP11B2 antibody [EPR10494]

Key facts

Host species

Rabbit

Clonality

Monoclonal

Clone number

EPR10494

Isotype

IgG

Carrier free

No

Reacts with

Human

Applications

IHC-P, mIHC, WB

applications

Immunogen

The exact immunogen used to generate this antibody is proprietary information.

Reactivity data

{ "title": "Reactivity Data", "filters": { "stats": ["", "Species", "Dilution Info", "Notes"], "tabs": { "all-applications": {"fullname" : "All Applications", "shortname": "All Applications"}, "mIHC" : {"fullname" : "Multiplex immunohistochemistry", "shortname":"mIHC"}, "IHCP" : {"fullname" : "Immunohistochemistry (Formalin/PFA-fixed paraffin-embedded sections)", "shortname":"IHC-P"}, "ICCIF" : {"fullname" : "Immunocytochemistry/ Immunofluorescence", "shortname":"ICC/IF"}, "WB" : {"fullname" : "Western blot", "shortname":"WB"} }, "product-promise": { "all": "all", "testedAndGuaranteed": "tested", "guaranteed": "expected", "predicted": "predicted", "notRecommended": "not-recommended" } }, "values": { "Human": { "mIHC-species-checked": "testedAndGuaranteed", "mIHC-species-dilution-info": "", "mIHC-species-notes": "<p></p>", "IHCP-species-checked": "testedAndGuaranteed", "IHCP-species-dilution-info": "1/100 - 1/250", "IHCP-species-notes": "<p></p>", "ICCIF-species-checked": "notRecommended", "ICCIF-species-dilution-info": "", "ICCIF-species-notes": "<p></p>", "WB-species-checked": "testedAndGuaranteed", "WB-species-dilution-info": "1/1000 - 1/10000", "WB-species-notes": "<p></p>" } } }

Product details

What is this antibody validated in?
Anti-C11B2/CYP11B2 antibody [EPR10494] (ab168388) is a rabbit recombinant monoclonal antibody and is validated for use in Western Blot (WB), Immunohistochemistry (IHC-P), Multiplex IHC (mIHC) in Human samples.

What is the molecular weight of C11B2/CYP11B2?
Anti-C11B2/CYP11B2 [EPR10494] (ab168388) specifically detects a band for C11B2/CYP11B2 (UniProt: P19099) at a molecular weight of 58kDa.

Trial sizes available!
Test your antibody or perform pre-screening before committing to a larger quantity. Sold in 10µl. Discover our selection of trial-size antibodies.

Other related products
We have a range of other formats of antibody clone [EPR10494] also available for your convenience: ab168388, Carrier free - ab249476, APC - ab319201, PE - ab319349, Alexa Fluor® 488 - ab319483, Alexa Fluor® 647 - ab319596, Alexa Fluor® 594 - ab319700, Alexa Fluor® 555 - ab319842, Alexa Fluor® 750 - ab321160

Species reactivity
Mouse, Rat: We have preliminary internal testing data to indicate this antibody may not react with these species.
Please contact us for more information.

Patented technology
Our RabMAb® technology is a patented hybridoma-based technology for making rabbit monoclonal antibodies. For details on our patents, please refer to RabMAb® patents.

What are the advantages of a recombinant monoclonal antibody?
This product is a recombinant monoclonal antibody, which offers several advantages including:

  • - High batch-to-batch consistency and reproducibility
  • - Improved sensitivity and specificity
  • - Long-term security of supply
  • - Animal-free batch production

For more information, read more on recombinant antibodies.

Properties and storage information

Form
Liquid
Purification technique
Affinity purification Protein A
Storage buffer
pH: 7.2 - 7.4 Constituents: PBS, 40% Glycerol (glycerin, glycerine), 0.05% BSA
Shipped at conditions
Blue Ice
Appropriate short-term storage duration
1-2 weeks
Appropriate short-term storage conditions
+4°C
Appropriate long-term storage conditions
-20°C
Aliquoting information
Upon delivery aliquot

Supplementary information

This supplementary information is collated from multiple sources and compiled automatically.

C11B2 also known as CYP11B2 is a highly specific enzyme that plays an essential role in the biosynthesis of aldosterone. Also referred to as aldosterone synthase this cytochrome P450 family member is encoded by the CYP11B2 gene. It has a molecular mass of approximately 58 kDa. Its expression occurs mainly in the adrenal cortex particularly within the zona glomerulosa cells where it catalyzes the final steps in the production of aldosterone from cholesterol.
Biological function summary

CYP11B2 converts 11-deoxycorticosterone to corticosterone which is then converted to aldosterone. This enzyme functions independently and is not part of any larger protein complexes. It undertakes its role in the mitochondria of adrenal gland cells where it serves as an important factor in the corticosteroid synthesis pathway. Its activity is regulated via several factors including angiotensin II and potassium ion concentration to maintain homeostatic balance within the body.

Pathways

CYP11B2 is an integral part of the steroidogenic pathway specifically within the branch that leads to mineralocorticoid biosynthesis. This pathway involves the conversion of cholesterol to steroid hormones and is closely linked to the renin-angiotensin-aldosterone system (RAAS) which governs blood pressure and fluid balance. Besides its relationship with cholesterol side-chain cleavage enzyme (CYP11A1) CYP11B2 interacts with other proteins like 3-beta-hydroxysteroid dehydrogenase in facilitating steroidogenesis.

Abnormalities in CYP11B2 expression or function can lead to aldosterone-related conditions such as primary aldosteronism and Addison's disease. Primary aldosteronism results from overproduction of aldosterone causing hypertension and electrolyte imbalances while its deficiency contributes to Addison's disease. These disorders can also involve connections with proteins like CYP17A1 which is another key player in steroid biosynthesis and whose disruptions can influence CYP11B2's activity or expression amplifying disease pathology.

Product protocols

For this product, it's our understanding that no specific protocols are required. You can visit:

Target data

A cytochrome P450 monooxygenase that catalyzes the biosynthesis of aldosterone, the main mineralocorticoid in the human body responsible for salt and water homeostasis, thus involved in blood pressure regulation, arterial hypertension, and the development of heart failure (PubMed : 11856349, PubMed : 12530636, PubMed : 1518866, PubMed : 15356073, PubMed : 1594605, PubMed : 1775135, PubMed : 22446688, PubMed : 23322723, PubMed : 9814482, PubMed : 9814506). Catalyzes three sequential oxidative reactions of 11-deoxycorticosterone (21-hydroxyprogesterone), namely 11-beta hydroxylation, followed by two successive oxidations at C18 yielding 18-hydroxy and then 18-oxo intermediates (that would not leave the enzyme active site during the consecutive hydroxylation reactions), ending with the formation of aldosterone (PubMed : 11856349, PubMed : 12530636, PubMed : 1518866, PubMed : 1594605, PubMed : 1775135, PubMed : 22446688, PubMed : 23322723, PubMed : 9814506). Can also produce 18-hydroxycortisol and 18-oxocortisol, derived from successive oxidations of cortisol at C18, normally found at very low levels, but significantly increased in primary aldosteronism, the most common form of secondary hypertension (PubMed : 15356073, PubMed : 9814482). Mechanistically, uses molecular oxygen inserting one oxygen atom into a substrate and reducing the second into a water molecule. Two electrons are provided by NADPH via a two-protein mitochondrial transfer system comprising flavoprotein FDXR (adrenodoxin/ferredoxin reductase) and nonheme iron-sulfur protein FDX1 or FDX2 (adrenodoxin/ferredoxin) (PubMed : 11856349, PubMed : 1594605, PubMed : 23322723, PubMed : 9814506). Could also be involved in the androgen metabolic pathway (Probable).
See full target information Cytochrome P450 11B2, mitochondrial

Publications (7)

Recent publications for all applications. Explore the full list and refine your search

European journal of endocrinology 192:191-201 PubMed39960854

2025

Discordance between adrenal vein sampling and imaging: the role of unilateral cortisol excess.

Applications

Unspecified application

Species

Unspecified reactive species

Megan Grundy,Alexander A Leung,Martin Hyrcza,Janice L Pasieka,Denise Chan,Stefan J Przybojewski,Chi-Bun Benny So,Dennis Orton,Adrian Harvey,Gregory A Kline

Theranostics 14:7281-7291 PubMed39659571

2024

[F]AlF-NOTA-pentixather PET/CT of CXCR4 in patients with suspected primary hyperaldosteronism.

Applications

Unspecified application

Species

Unspecified reactive species

Limeng He,Yan Yang,Xu Cao,Xianjun Zhu,Nan Liu,Xiaoyuan Chen,Jingjing Zhang,Wei Zhang

Journal of anatomy 243:684-689 PubMed37294692

2023

Structure of rosettes in the zona glomerulosa of human adrenal cortex.

Applications

Unspecified application

Species

Unspecified reactive species

Yumin Zhu,Xuefeng Zhang,Changlong Hu

Nature medicine 29:190-202 PubMed36646800

2023

[C]metomidate PET-CT versus adrenal vein sampling for diagnosing surgically curable primary aldosteronism: a prospective, within-patient trial.

Applications

Unspecified application

Species

Unspecified reactive species

Xilin Wu,Russell Senanayake,Emily Goodchild,Waiel A Bashari,Jackie Salsbury,Claudia P Cabrera,Giulia Argentesi,Samuel M O'Toole,Matthew Matson,Brendan Koo,Laila Parvanta,Nick Hilliard,Vasilis Kosmoliaptsis,Alison Marker,Daniel M Berney,Wilson Tan,Roger Foo,Charles A Mein,Eva Wozniak,Emmanuel Savage,Anju Sahdev,Nicholas Bird,Kate Laycock,Istvan Boros,Stefan Hader,Victoria Warnes,Daniel Gillett,Anne Dawnay,Elizabeth Adeyeye,Alessandro Prete,Angela E Taylor,Wiebke Arlt,Anish N Bhuva,Franklin Aigbirhio,Charlotte Manisty,Alasdair McIntosh,Alexander McConnachie,J Kennedy Cruickshank,Heok Cheow,Mark Gurnell,William M Drake,Morris J Brown

Nature genetics 53:1360-1372 PubMed34385710

2021

Somatic mutations of GNA11 and GNAQ in CTNNB1-mutant aldosterone-producing adenomas presenting in puberty, pregnancy or menopause.

Applications

Unspecified application

Species

Unspecified reactive species

Junhua Zhou,Elena A B Azizan,Claudia P Cabrera,Fabio L Fernandes-Rosa,Sheerazed Boulkroun,Giulia Argentesi,Emily Cottrell,Laurence Amar,Xilin Wu,Sam O'Toole,Emily Goodchild,Alison Marker,Russell Senanayake,Sumedha Garg,Tobias Åkerström,Samuel Backman,Suzanne Jordan,Satyamaanasa Polubothu,Daniel M Berney,Anna Gluck,Kate E Lines,Rajesh V Thakker,Antoinette Tuthill,Caroline Joyce,Juan Pablo Kaski,Fiona E Karet Frankl,Lou A Metherell,Ada E D Teo,Mark Gurnell,Laila Parvanta,William M Drake,Eva Wozniak,David Klinzing,Jyn Ling Kuan,Zenia Tiang,Celso E Gomez Sanchez,Per Hellman,Roger S Y Foo,Charles A Mein,Veronica A Kinsler,Peyman Björklund,Helen L Storr,Maria-Christina Zennaro,Morris J Brown

The Journal of endocrinology 244:237-247 PubMed31652415

2019

L- and T-type calcium channels control aldosterone production from human adrenals.

Applications

Unspecified application

Species

Unspecified reactive species

Tingting Yang,Min He,Hailiang Zhang,Paula Q Barrett,Changlong Hu

Circulation. Cardiovascular genetics 8:30-9 PubMed25504670

2014

Variable transcriptional regulation of the human aldosterone synthase gene causes salt-dependent high blood pressure in transgenic mice.

Applications

Unspecified application

Species

Unspecified reactive species

Brahmaraju Mopidevi,Meenakshi K Kaw,Nitin Puri,Madhusudan Ponnala,Sudhir Jain,Anita Rana,Narsimha R Keetha,Sadik A Khuder,Steven N Fiering,Ashok Kumar
View all publications

Product promise

We are committed to supporting your work with high-quality reagents, and we're here for you every step of the way. In the unlikely event that one of our products does not perform as expected, you're protected by our Product Promise.
For full details, please see our Terms & Conditions

Please note: All products are 'FOR RESEARCH USE ONLY. NOT FOR USE IN DIAGNOSTIC OR THERAPEUTIC PROCEDURES'.

For licensing inquiries, please contact partnerships@abcam.com