JavaScript is disabled in your browser. Please enable JavaScript to view this website.
AB122512

Anti-C11orf96 antibody

Be the first to review this product! Submit a review

|

(2 Publications)

Rabbit Polyclonal C11orf96 antibody. Suitable for IHC-P, ICC and reacts with Human samples. Cited in 2 publications. Immunogen corresponding to Recombinant Fragment Protein within Human C11orf96 aa 350 to C-terminus.

View Alternative Names

AG2, C11orf96, Uncharacterized protein C11orf96, Protein Ag2 homolog

5 Images
Immunohistochemistry (Formalin/PFA-fixed paraffin-embedded sections) - Anti-C11orf96 antibody (AB122512)
  • IHC-P

Supplier Data

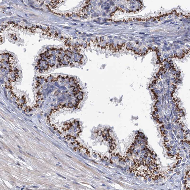
Immunohistochemistry (Formalin/PFA-fixed paraffin-embedded sections) - Anti-C11orf96 antibody (AB122512)

Immunohistochemistry (Formalin/PFA-fixed paraffin-embedded sections) analysis of human prostate tissue labelling C11orf96 with ab122512 at 1/200 dilution. Heat mediated antigen retrieval performed with citrate buffer pH 6 before commencing with IHC staining protocol.

Immunohistochemistry (Formalin/PFA-fixed paraffin-embedded sections) - Anti-C11orf96 antibody (AB122512)
  • IHC-P

Supplier Data

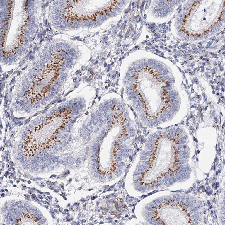
Immunohistochemistry (Formalin/PFA-fixed paraffin-embedded sections) - Anti-C11orf96 antibody (AB122512)

Immunohistochemistry (Formalin/PFA-fixed paraffin-embedded sections) analysis of human small intestine tissue labelling C11orf96 with ab122512 at 1/200 dilution. Heat mediated antigen retrieval performed with citrate buffer pH 6 before commencing with IHC staining protocol.

Immunohistochemistry (Formalin/PFA-fixed paraffin-embedded sections) - Anti-C11orf96 antibody (AB122512)
  • IHC-P

Supplier Data

Immunohistochemistry (Formalin/PFA-fixed paraffin-embedded sections) - Anti-C11orf96 antibody (AB122512)

Immunohistochemistry (Formalin/PFA-fixed paraffin-embedded sections) analysis of human endometrium tissue labelling C11orf96 with ab122512 at 1/200 dilution. Heat mediated antigen retrieval performed with citrate buffer pH 6 before commencing with IHC staining protocol.

Immunohistochemistry (Formalin/PFA-fixed paraffin-embedded sections) - Anti-C11orf96 antibody (AB122512)
  • IHC-P

Supplier Data

Immunohistochemistry (Formalin/PFA-fixed paraffin-embedded sections) - Anti-C11orf96 antibody (AB122512)

Immunohistochemistry (Formalin/PFA-fixed paraffin-embedded sections) analysis of human skeletal muscle tissue labelling C11orf96 with ab122512 at 1/200 dilution. Heat mediated antigen retrieval performed with citrate buffer pH 6 before commencing with IHC staining protocol.

Immunocytochemistry - Anti-C11orf96 antibody (AB122512)
  • ICC

Supplier Data

Immunocytochemistry - Anti-C11orf96 antibody (AB122512)

Immunocytochemistry analysis of SH-SY5Y (human neuroblastoma cell line from bone marrow) cells labelling C11orf96 with ab122512 at 2 μg/mL.

Key facts

Host species

Rabbit

Clonality

Polyclonal

Isotype

IgG

Carrier free

No

Reacts with

Human

Applications

IHC-P, ICC

applications

Immunogen

Recombinant Fragment Protein within Human C11orf96 aa 350 to C-terminus. The exact immunogen used to generate this antibody is proprietary information.

Q7Z7L8

Reactivity data

{ "title": "Reactivity Data", "filters": { "stats": ["", "Species", "Dilution Info", "Notes"], "tabs": { "all-applications": {"fullname" : "All Applications", "shortname": "All Applications"}, "IHCP" : {"fullname" : "Immunohistochemistry (Formalin/PFA-fixed paraffin-embedded sections)", "shortname":"IHC-P"}, "ICC" : {"fullname" : "Immunocytochemistry", "shortname":"ICC"} }, "product-promise": { "all": "all", "testedAndGuaranteed": "tested", "guaranteed": "expected", "predicted": "predicted", "notRecommended": "not-recommended" } }, "values": { "Human": { "IHCP-species-checked": "testedAndGuaranteed", "IHCP-species-dilution-info": "1/200 - 1/500", "IHCP-species-notes": "<p></p> Perform heat-mediated antigen retrieval with citrate buffer pH 6 before commencing with IHC staining protocol.", "ICC-species-checked": "testedAndGuaranteed", "ICC-species-dilution-info": "0.25-2 µg/mL", "ICC-species-notes": "<p></p>" } } }

Properties and storage information

Form
Liquid
Purification technique
Affinity purification Immunogen
Storage buffer
pH: 7.2 Preservative: 0.02% Sodium azide Constituents: PBS, 40% Glycerol (glycerin, glycerine)
Shipped at conditions
Blue Ice
Appropriate short-term storage conditions
+4°C
Appropriate long-term storage conditions
-20°C
Aliquoting information
Upon delivery aliquot
Storage information
Avoid freeze / thaw cycle

Supplementary information

This supplementary information is collated from multiple sources and compiled automatically.

C11orf96 also known as Chromosome 11 Open Reading Frame 96 is a protein-coding gene. The approximate mass of the C11orf96 protein is around 40 kDa. This protein exhibits higher expression levels in tissues such as the brain and heart. The detailed mechanical function of C11orf96 in cellular processes is not yet fully established. However it is categorized within the family of proteins with motifs that suggest potential interactions with other cellular molecules.
Biological function summary

The C11orf96 protein participates in cellular processes that are still under investigation. It may form part of a larger protein complex that influences cellular signaling and regulatory pathways. Its expression pattern hints at involvement in essential biological systems within specific tissues possibly contributing to neural and cardiac functions. Researchers speculate that disruptions in C11orf96 can affect cell signaling mechanisms impacting overall cell homeostasis.

Pathways

Current research suggests C11orf96 might play a role in the Wnt signaling pathway and could be linked to the modulation of gene expression. The Wnt pathway is important for regulating cell growth and development and proteins like beta-catenin may interact more directly within these networks. The specific involvement of C11orf96 in these pathways warrants further validation to define its precise biological contributions alongside these associated proteins.

C11orf96's expression patterns indicate potential links to neural development disorders and cardiac dysfunctions. Disorders such as autism spectrum disorders (ASD) and certain cardiomyopathies have shown associations in preliminary studies. The protein could interact with others like paxillin in the brain which play roles in synaptic connections and neurotransmission suggesting a pathway where disruptions might lead to ASD features. Further exploration is needed to confirm these associations and to identify possible therapeutic targets involving C11orf96.

Product protocols

For this product, it's our understanding that no specific protocols are required. You can visit:

Publications (2)

Recent publications for all applications. Explore the full list and refine your search

Poultry science 104:104500 PubMed39580900

2024

Characterization of the C5H11ORF96 gene in chickens: cloning, tissue distribution and investigation of its potential function in stress response regulation.

Applications

Unspecified application

Species

Unspecified reactive species

Yiping Wan,Jiannan Zhang,Xiao Zhang,Jiliang He,Ningkun Shi,Yuanyou Li,Juan Li,Yajun Wang

Journal of Cancer 15:2260-2275 PubMed38495502

2024

Development and Validation of the novel Cuproptosis- and Immune-related Signature for Predicting Prognosis in Hepatocellular Carcinoma.

Applications

Unspecified application

Species

Unspecified reactive species

Yongping Zhang,Ping Sui,Cheng Zhong,Jiansheng Liu
View all publications

Product promise

We are committed to supporting your work with high-quality reagents, and we're here for you every step of the way. In the unlikely event that one of our products does not perform as expected, you're protected by our Product Promise.
For full details, please see our Terms & Conditions

Please note: All products are 'FOR RESEARCH USE ONLY. NOT FOR USE IN DIAGNOSTIC OR THERAPEUTIC PROCEDURES'.

For licensing inquiries, please contact partnerships@abcam.com