JavaScript is disabled in your browser. Please enable JavaScript to view this website.
AB323850

Anti-C12orf35 antibody [EPR28486-77]

  • RabMAb
  • Recombinant
  • 20ul selling size
  • KO Validated
  • What is this?

Be the first to review this product! Submit a review

|

(0 Publication)

Rabbit Recombinant Monoclonal C12orf35 antibody. Suitable for WB and reacts with Mouse samples.

View Alternative Names

Kiaa1551, C12orf35, Retroelement silencing factor 1

4 Images
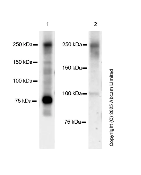
Western blot - Anti-C12orf35 antibody [EPR28486-77] (AB323850)
  • WB

Supplier Data

Western blot - Anti-C12orf35 antibody [EPR28486-77] (AB323850)

Blocking and diluting buffer and concentration : 5% NFDM/TBST.

To minimize protein degradation, cells/tissues were lysed immediately after harvest and run directly on a gel.

The identity of the lower MW band at approximately 75 kDa (in lane 1) is unknown.

Exposure time : Lane 1 : 81 seconds, Lane 2 : 180 seconds

All lanes:

Western blot - Anti-C12orf35 antibody [EPR28486-77] (ab323850) at 1/1000 dilution

Lane 1:

ES-D3 [D3] (mouse blastocyst-derived embryonic stem cell) treated with 10 uM MG-132 for 24 hours whole cell lysate at 20 µg

Lane 2:

Mouse ovary tissue lysate at 40 µg

Secondary

All lanes:

Western blot - Goat Anti-Rabbit IgG H&L (HRP) (<a href='/en-us/products/secondary-antibodies/goat-rabbit-igg-h-l-hrp-ab97051'>ab97051</a>) at 1/20000 dilution

Observed band size: 250 kDa

false

Western blot - Anti-C12orf35 antibody [EPR28486-77] (AB323850)
  • WB

Supplier Data

Western blot - Anti-C12orf35 antibody [EPR28486-77] (AB323850)

Blocking and diluting buffer and concentration : 5% NFDM/TBST.

To minimize protein degradation, tissues were lysed immediately after harvest and run directly on a gel.

The identity of the bands between 20 kDa and 60 kDa are unknown.

All lanes:

Western blot - Anti-C12orf35 antibody [EPR28486-77] (ab323850) at 1/1000 dilution

All lanes:

Mouse E18 brain tissue lysate at 50 µg

Secondary

All lanes:

Western blot - Goat Anti-Rabbit IgG H&L (HRP) (<a href='/en-us/products/secondary-antibodies/goat-rabbit-igg-h-l-hrp-ab97051'>ab97051</a>) at 1/20000 dilution

Observed band size: 250 kDa

false

Exposure time: 59s

Western blot - Anti-C12orf35 antibody [EPR28486-77] (AB323850)
  • WB

Supplier Data

Western blot - Anti-C12orf35 antibody [EPR28486-77] (AB323850)

Blocking and diluting buffer and concentration : 5% NFDM/TBST.

To minimize protein degradation, tissues were lysed immediately after harvest and run directly on a gel.

All lanes:

Western blot - Anti-C12orf35 antibody [EPR28486-77] (ab323850) at 1/1000 dilution

Lane 1:

Mouse testis tissue lysate at 50 µg

Lane 2:

Mouse lung tissue lysate at 50 µg

Lane 3:

Mouse E15 brain tissue lysate at 50 µg

Secondary

All lanes:

Western blot - Goat Anti-Rabbit IgG H&L (HRP) (<a href='/en-us/products/secondary-antibodies/goat-rabbit-igg-h-l-hrp-ab97051'>ab97051</a>) at 1/20000 dilution

Observed band size: 250 kDa

false

Exposure time: 180s

Western blot - Anti-C12orf35 antibody [EPR28486-77] (AB323850)
  • WB

Collaborator

Western blot - Anti-C12orf35 antibody [EPR28486-77] (AB323850)

Blocking and diluting buffer and concentration : 5% NFDM/TBST.

This image was kindly provided by an anonymous collaborator.

The identity of the bands between 20 kDa and 60 kDa are unknown.

In Western blot, Anti-GAPDH antibody [EPR16891] - Loading Control (ab181602) staining at 1/200000 dilution.

All lanes:

Western blot - Anti-C12orf35 antibody [EPR28486-77] (ab323850) at 1/1000 dilution

Lane 1:

Wild-type mouse kidney tissue lysate

Lane 2:

RESF1 knockout mouse kidney tissue lysate

Observed band size: 250 kDa,36 kDa

false

Key facts

Host species

Rabbit

Clonality

Monoclonal

Clone number

EPR28486-77

Isotype

IgG

Carrier free

No

Reacts with

Mouse

Applications

WB

applications

Immunogen

The exact immunogen used to generate this antibody is proprietary information.

Reactivity data

{ "title": "Reactivity Data", "filters": { "stats": ["", "Species", "Dilution Info", "Notes"], "tabs": { "all-applications": {"fullname" : "All Applications", "shortname": "All Applications"}, "WB" : {"fullname" : "Western blot", "shortname":"WB"}, "IP" : {"fullname" : "Immunoprecipitation", "shortname":"IP"}, "IHCP" : {"fullname" : "Immunohistochemistry (Formalin/PFA-fixed paraffin-embedded sections)", "shortname":"IHC-P"}, "ICCIF" : {"fullname" : "Immunocytochemistry/ Immunofluorescence", "shortname":"ICC/IF"} }, "product-promise": { "all": "all", "testedAndGuaranteed": "tested", "guaranteed": "expected", "predicted": "predicted", "notRecommended": "not-recommended" } }, "values": { "Human": { "WB-species-checked": "notRecommended", "WB-species-dilution-info": "", "WB-species-notes": "<p></p>", "IP-species-checked": "notRecommended", "IP-species-dilution-info": "", "IP-species-notes": "<p></p>", "IHCP-species-checked": "notRecommended", "IHCP-species-dilution-info": "", "IHCP-species-notes": "<p></p>", "ICCIF-species-checked": "notRecommended", "ICCIF-species-dilution-info": "", "ICCIF-species-notes": "<p></p>" }, "Mouse": { "WB-species-checked": "testedAndGuaranteed", "WB-species-dilution-info": "1/1000", "WB-species-notes": "<p></p>", "IP-species-checked": "notRecommended", "IP-species-dilution-info": "", "IP-species-notes": "<p></p>", "IHCP-species-checked": "notRecommended", "IHCP-species-dilution-info": "", "IHCP-species-notes": "<p></p>", "ICCIF-species-checked": "notRecommended", "ICCIF-species-dilution-info": "", "ICCIF-species-notes": "" } } }

Product details

Patented technology
Our RabMAb® technology is a patented hybridoma-based technology for making rabbit monoclonal antibodies. For details on our patents, please refer to RabMAb® patents.

What are the advantages of a recombinant monoclonal antibody?
This product is a recombinant monoclonal antibody, which offers several advantages including:

  • - High batch-to-batch consistency and reproducibility
  • - Improved sensitivity and specificity
  • - Long-term security of supply
  • - Animal-free batch production

For more information, read more on recombinant antibodies.

Properties and storage information

Form
Liquid
Purification technique
Affinity purification Protein A
Storage buffer
pH: 7.2 - 7.4 Preservative: 0.01% Sodium azide Constituents: PBS, 40% Glycerol (glycerin, glycerine), 0.05% BSA
Shipped at conditions
Blue Ice
Appropriate short-term storage duration
1-2 weeks
Appropriate short-term storage conditions
+4°C
Appropriate long-term storage conditions
-20°C
Aliquoting information
Upon delivery aliquot
Storage information
Avoid freeze / thaw cycle

Product protocols

For this product, it's our understanding that no specific protocols are required. You can visit:

Target data

Plays a role in the regulation of imprinted gene expression, regulates repressive epigenetic modifications associated with SETDB1. Required for the recruitment or accumulation of SETDB1 to the endogenous retroviruses (ERVs) and maintenance of repressive chromatin configuration, contributing to a subset of the SETDB1-dependent ERV silencing in embryonic stem cells.
See full target information Resf1

Product promise

We are committed to supporting your work with high-quality reagents, and we're here for you every step of the way. In the unlikely event that one of our products does not perform as expected, you're protected by our Product Promise.
For full details, please see our Terms & Conditions

Please note: All products are 'FOR RESEARCH USE ONLY. NOT FOR USE IN DIAGNOSTIC OR THERAPEUTIC PROCEDURES'.

For licensing inquiries, please contact partnerships@abcam.com