JavaScript is disabled in your browser. Please enable JavaScript to view this website.
AB224741

Anti-C18orf22/RBFA antibody

Be the first to review this product! Submit a review

|

(1 Publication)

Rabbit Polyclonal C18orf22/RBFA antibody. Suitable for WB, IHC-P and reacts with Human, Mouse, Rat samples. Cited in 1 publication. Immunogen corresponding to Recombinant Fragment Protein within Human RBFA aa 200 to C-terminus.

View Alternative Names

C18orf22, RBFA

3 Images
Western blot - Anti-C18orf22/RBFA antibody (AB224741)
  • WB

Supplier Data

Western blot - Anti-C18orf22/RBFA antibody (AB224741)

All lanes:

Western blot - Anti-C18orf22/RBFA antibody (ab224741) at 1/500 dilution

Lane 1:

HeLa (human epithelial cell line from cervix adenocarcinoma) whole cell lysate

Lane 2:

A549 (human lung carcinoma cell line) whole cell lysate

Lane 3:

HepG2 (human liver hepatocellular carcinoma cell line) whole cell lysate

Lane 4:

Mouse brain tissue lysate

Lane 5:

Rat heart tissue lysate

Secondary

All lanes:

Goat polyclonal to rabbit IgG at 1/50000 dilution

Predicted band size: 38 kDa

true

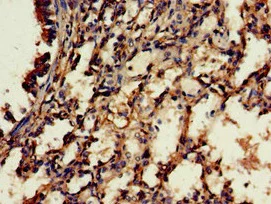
Immunohistochemistry (Formalin/PFA-fixed paraffin-embedded sections) - Anti-C18orf22/RBFA antibody (AB224741)
  • IHC-P

Supplier Data

Immunohistochemistry (Formalin/PFA-fixed paraffin-embedded sections) - Anti-C18orf22/RBFA antibody (AB224741)

Paraffin embedded human ovarian cancer tissue stained for C18orf22/RBFA with ab224741 (1/100 dilution) in immunohistochemical analysis.

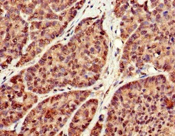
Immunohistochemistry (Formalin/PFA-fixed paraffin-embedded sections) - Anti-C18orf22/RBFA antibody (AB224741)
  • IHC-P

Supplier Data

Immunohistochemistry (Formalin/PFA-fixed paraffin-embedded sections) - Anti-C18orf22/RBFA antibody (AB224741)

Paraffin embedded human lung tissue stained for C18orf22/RBFA with ab224741 (1/100 dilution) in immunohistochemical analysis.

Key facts

Host species

Rabbit

Clonality

Polyclonal

Isotype

IgG

Carrier free

No

Reacts with

Mouse, Rat, Human

Applications

WB, IHC-P

applications

Immunogen

Recombinant Fragment Protein within Human RBFA aa 200 to C-terminus. The exact immunogen used to generate this antibody is proprietary information.

Q8N0V3

Reactivity data

{ "title": "Reactivity Data", "filters": { "stats": ["", "Species", "Dilution Info", "Notes"], "tabs": { "all-applications": {"fullname" : "All Applications", "shortname": "All Applications"}, "WB" : {"fullname" : "Western blot", "shortname":"WB"}, "IHCP" : {"fullname" : "Immunohistochemistry (Formalin/PFA-fixed paraffin-embedded sections)", "shortname":"IHC-P"} }, "product-promise": { "all": "all", "testedAndGuaranteed": "tested", "guaranteed": "expected", "predicted": "predicted", "notRecommended": "not-recommended" } }, "values": { "Human": { "WB-species-checked": "testedAndGuaranteed", "WB-species-dilution-info": "1/500 - 1/5000", "WB-species-notes": "<p></p>", "IHCP-species-checked": "testedAndGuaranteed", "IHCP-species-dilution-info": "1/20 - 1/200", "IHCP-species-notes": "<p></p>" }, "Mouse": { "WB-species-checked": "testedAndGuaranteed", "WB-species-dilution-info": "1/500 - 1/5000", "WB-species-notes": "<p></p>", "IHCP-species-checked": "guaranteed", "IHCP-species-dilution-info": "", "IHCP-species-notes": "" }, "Rat": { "WB-species-checked": "testedAndGuaranteed", "WB-species-dilution-info": "1/500 - 1/5000", "WB-species-notes": "<p></p>", "IHCP-species-checked": "guaranteed", "IHCP-species-dilution-info": "", "IHCP-species-notes": "" } } }

Properties and storage information

Form
Liquid
Purification technique
Affinity purification Protein G
Storage buffer
pH: 7.4 Preservative: 0.03% Proclin 300 Constituents: PBS, 50% Glycerol (glycerin, glycerine)
Shipped at conditions
Blue Ice
Appropriate short-term storage duration
1-2 weeks
Appropriate short-term storage conditions
+4°C
Appropriate long-term storage conditions
-20°C
Aliquoting information
Upon delivery aliquot
Storage information
Avoid freeze / thaw cycle

Supplementary information

This supplementary information is collated from multiple sources and compiled automatically.

C18orf22 also known as RBFA is a mitochondrial ribosome-associated GTPase with a molecular mass of around 30 kDa. It localizes mainly in the mitochondrial matrix and functions in the stabilization and assembly of mitochondrial ribosomal subunits. C18orf22 is expressed in various tissues with a high presence in energy-demanding organs including the heart and skeletal muscle. The protein assists in the effective biogenesis of mitochondrial ribosomes which are essential for protein synthesis within mitochondria.
Biological function summary

C18orf22/RBFA plays an important role in the maturation of mitochondrial ribosomal RNA (rRNA). It is a component of the mitochondrial ribosomal assembly complex interacting modularly with pre-ribosomal particles. Through this interaction C18orf22/RBFA ensures the proper folding and processing of rRNA facilitating correct ribosome biogenesis. This process is important for maintaining the functionality of mitochondrial protein synthesis.

Pathways

C18orf22/RBFA contributes significantly to the mitochondrial translation pathway. It interacts closely with other elements of the ribosomal machinery such as the mitochondrial transcription termination factor mTERF. This protein also intersects with various aspects of the oxidative phosphorylation pathway which is pivotal for ATP production in the cells. C18orf22/RBFA's role within these pathways highlights its importance in cellular energy metabolism.

Mutations or dysregulations in C18orf22/RBFA have been implicated in mitochondrial disorders especially those affecting energy metabolism such as mitochondrial myopathy. There is a connection with proteins like ND4L which plays a role in complex I of the mitochondrial electron transport chain. Furthermore research shows associations of C18orf22/RBFA with neurodegenerative diseases such as Parkinson's disease. These links suggest that dysfunctional C18orf22/RBFA can disrupt proper mitochondrial functions contributing to disease pathogenesis.

Product protocols

For this product, it's our understanding that no specific protocols are required. You can visit:

Publications (1)

Recent publications for all applications. Explore the full list and refine your search

Nucleic acids research 48:8022-8034 PubMed32573735

2020

METTL15 interacts with the assembly intermediate of murine mitochondrial small ribosomal subunit to form m4C840 12S rRNA residue.

Applications

Unspecified application

Species

Unspecified reactive species

Ivan Laptev,Ekaterina Shvetsova,Sergey Levitskii,Marina Serebryakova,Maria Rubtsova,Victor Zgoda,Alexey Bogdanov,Piotr Kamenski,Petr Sergiev,Olga Dontsova
View all publications

Product promise

We are committed to supporting your work with high-quality reagents, and we're here for you every step of the way. In the unlikely event that one of our products does not perform as expected, you're protected by our Product Promise.
For full details, please see our Terms & Conditions

Please note: All products are 'FOR RESEARCH USE ONLY. NOT FOR USE IN DIAGNOSTIC OR THERAPEUTIC PROCEDURES'.

For licensing inquiries, please contact partnerships@abcam.com