JavaScript is disabled in your browser. Please enable JavaScript to view this website.
AB235398

Anti-C19orf2 antibody

Be the first to review this product! Submit a review

|

(1 Publication)

Rabbit Polyclonal C19orf2 antibody. Suitable for WB, IHC-P and reacts with Human samples. Cited in 1 publication. Immunogen corresponding to Recombinant Fragment Protein within Human URI1 aa 150-300.

View Alternative Names

C19orf2, NNX3, PPP1R19, RMP, URI, URI1, Unconventional prefoldin RPB5 interactor 1, Protein NNX3, Protein phosphatase 1 regulatory subunit 19, RNA polymerase II subunit 5-mediating protein, RPB5-mediating protein

3 Images
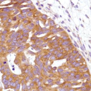
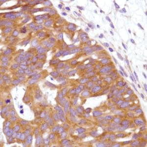
Immunohistochemistry (Formalin/PFA-fixed paraffin-embedded sections) - Anti-C19orf2 antibody (AB235398)
  • IHC-P

Supplier Data

Immunohistochemistry (Formalin/PFA-fixed paraffin-embedded sections) - Anti-C19orf2 antibody (AB235398)

Paraffin-embedded human salivary gland tissue stained for C19orf2 using ab235398 at 1/300 dilution in immunohistochemical analysis.

After dewaxing and hydration, antigen retrieval was mediated by high pressure in a citrate buffer (pH 6.0). Section was blocked with 10% normal goat serum 30min at RT. Then primary antibody (1% BSA) was incubated at 4°C overnight. The primary is detected by a biotinylated secondary antibody and visualized tissue using an HRP conjugated SP system.

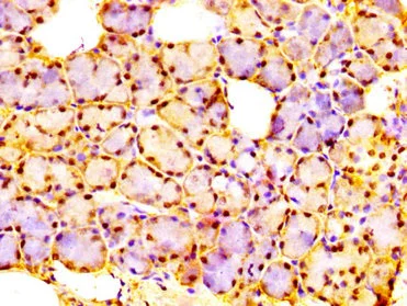
Immunohistochemistry (Formalin/PFA-fixed paraffin-embedded sections) - Anti-C19orf2 antibody (AB235398)
  • IHC-P

Supplier Data

Immunohistochemistry (Formalin/PFA-fixed paraffin-embedded sections) - Anti-C19orf2 antibody (AB235398)

Paraffin-embedded human adrenal gland tissue stained for C19orf2 using ab235398 at 1/300 dilution in immunohistochemical analysis.

After dewaxing and hydration, antigen retrieval was mediated by high pressure in a citrate buffer (pH 6.0). Section was blocked with 10% normal goat serum 30min at RT. Then primary antibody (1% BSA) was incubated at 4°C overnight. The primary is detected by a biotinylated secondary antibody and visualized tissue using an HRP conjugated SP system.

Western blot - Anti-C19orf2 antibody (AB235398)
  • WB

Supplier Data

Western blot - Anti-C19orf2 antibody (AB235398)

All lanes:

Western blot - Anti-C19orf2 antibody (ab235398) at 1/500 dilution

All lanes:

U-87 MG (human glioblastoma-astrocytoma epithelial cell line) whole cell lysate

Secondary

All lanes:

Goat polyclonal to rabbit IgG at 1/50000 dilution

Predicted band size: 60 kDa

false

Key facts

Host species

Rabbit

Clonality

Polyclonal

Isotype

IgG

Carrier free

No

Reacts with

Human

Applications

WB, IHC-P

applications

Immunogen

Recombinant Fragment Protein within Human URI1 aa 150-300. The exact immunogen used to generate this antibody is proprietary information.

O94763

Reactivity data

{ "title": "Reactivity Data", "filters": { "stats": ["", "Species", "Dilution Info", "Notes"], "tabs": { "all-applications": {"fullname" : "All Applications", "shortname": "All Applications"}, "WB" : {"fullname" : "Western blot", "shortname":"WB"}, "IHCP" : {"fullname" : "Immunohistochemistry (Formalin/PFA-fixed paraffin-embedded sections)", "shortname":"IHC-P"} }, "product-promise": { "all": "all", "testedAndGuaranteed": "tested", "guaranteed": "expected", "predicted": "predicted", "notRecommended": "not-recommended" } }, "values": { "Human": { "WB-species-checked": "testedAndGuaranteed", "WB-species-dilution-info": "1/500 - 1/5000", "WB-species-notes": "<p></p>", "IHCP-species-checked": "testedAndGuaranteed", "IHCP-species-dilution-info": "1/100 - 1/300", "IHCP-species-notes": "<p></p>" } } }

Properties and storage information

Form
Liquid
Purification technique
Affinity purification Protein G
Purification notes
Purity >95%.
Storage buffer
pH: 7.4 Preservative: 0.03% Proclin 300 Constituents: PBS, 50% Glycerol (glycerin, glycerine)
Shipped at conditions
Blue Ice
Appropriate short-term storage duration
1-2 weeks
Appropriate short-term storage conditions
+4°C
Appropriate long-term storage conditions
-20°C
Aliquoting information
Upon delivery aliquot
Storage information
Avoid freeze / thaw cycle

Supplementary information

This supplementary information is collated from multiple sources and compiled automatically.

The protein C19orf2 also known as Myeloid Leukemia Single-stranded DNA-binding Protein (MLSBP) has a molecular mass of approximately 25 kDa. This protein is expressed in various tissues with a particularly high presence in myeloid cells. Mechanically C19orf2 binds to single-stranded DNA and RNA due to its presence in the cell nucleus implicating its involvement in nucleic acid interactions and regulation.
Biological function summary

The protein engages in processes concerning genomic stability and the proper function of the DNA repair system. C19orf2 can interact as a part of a larger protein complex involved in recognizing and binding to abnormal DNA structures. This involvement suggests its participation in maintaining genomic integrity especially in myeloid cells which are important for the immune system's defense mechanisms.

Pathways

The C19orf2 protein integrates into the DNA damage response pathway. This pathway includes proteins like ATM and ATR which initiate signals in response to DNA damage. C19orf2 may therefore contribute to modulating these signals ensuring a proper response to genotoxic stress. Additionally C19orf2 plays a role in the myeloid differentiation pathway interacting with factors like PU.1 influencing the maturation and function of myeloid cells.

The dysfunction or aberrant expression of C19orf2 has been linked to acute myeloid leukemia (AML) and other hematopoietic disorders. Structural changes or expression levels of this protein might correlate with the proliferation and survival of leukemic cells. Furthermore C19orf2's relation to DNA repair pathways implicates its relevance in conditions associated with defective DNA repair processes potentially involving proteins like BRCA1 in hereditary breast and ovarian cancer syndromes.

Product protocols

For this product, it's our understanding that no specific protocols are required. You can visit:

Target data

Involved in gene transcription regulation. Acts as a transcriptional repressor in concert with the corepressor UXT to regulate androgen receptor (AR) transcription. May act as a tumor suppressor to repress AR-mediated gene transcription and to inhibit anchorage-independent growth in prostate cancer cells. Required for cell survival in ovarian cancer cells. Together with UXT, associates with chromatin to the NKX3-1 promoter region. Antagonizes transcriptional modulation via hepatitis B virus X protein.. Plays a central role in maintaining S6K1 signaling and BAD phosphorylation under normal growth conditions thereby protecting cells from potential deleterious effects of sustained S6K1 signaling. The URI1-PPP1CC complex acts as a central component of a negative feedback mechanism that counteracts excessive S6K1 survival signaling to BAD in response to growth factors. Mediates inhibition of PPP1CC phosphatase activity in mitochondria. Coordinates the regulation of nutrient-sensitive gene expression availability in a mTOR-dependent manner. Seems to be a scaffolding protein able to assemble a prefoldin-like complex that contains PFDs and proteins with roles in transcription and ubiquitination.
See full target information URI1

Publications (1)

Recent publications for all applications. Explore the full list and refine your search

Aging 14:7416-7442 PubMed36098680

2022

MND1 functions as a potential prognostic biomarker associated with cell cycle and immune infiltration in kidney renal clear cell carcinoma.

Applications

Unspecified application

Species

Unspecified reactive species

Jiayu Fang,Jing Zhen,Yiyang Gong,Yun Ke,Bidong Fu,Yike Jiang,Jing Xie,Yue Liu,Yongqi Ding,Da Huang,Fan Xiao
View all publications

Product promise

We are committed to supporting your work with high-quality reagents, and we're here for you every step of the way. In the unlikely event that one of our products does not perform as expected, you're protected by our Product Promise.
For full details, please see our Terms & Conditions

Please note: All products are 'FOR RESEARCH USE ONLY. NOT FOR USE IN DIAGNOSTIC OR THERAPEUTIC PROCEDURES'.

For licensing inquiries, please contact partnerships@abcam.com