JavaScript is disabled in your browser. Please enable JavaScript to view this website.
AB166897

Anti-C1D antibody [EPR11122]

Be the first to review this product! Submit a review

|

(1 Publication)

Rabbit Recombinant Monoclonal C1D antibody. Suitable for WB, ICC/IF and reacts with Human samples. Cited in 1 publication.

View Alternative Names

Nuclear nucleic acid-binding protein C1D, hC1D, C1D

3 Images
Immunocytochemistry/ Immunofluorescence - Anti-C1D antibody [EPR11122] (AB166897)
  • ICC/IF

Unknown

Immunocytochemistry/ Immunofluorescence - Anti-C1D antibody [EPR11122] (AB166897)

Immunofluorescent analysis of MCF7 cells labeling C1D using ab166897 at 1/100 dilution.

Western blot - Anti-C1D antibody [EPR11122] (AB166897)
  • WB

Supplier Data

Western blot - Anti-C1D antibody [EPR11122] (AB166897)

All lanes:

Western blot - Anti-C1D antibody [EPR11122] (ab166897) at 1/1000 dilution

Lane 1:

Human heart tissue lysate at 20 µg

Lane 2:

Human skeletal muscle tissue lysate at 20 µg

Lane 3:

Human thyroid tissue lysate at 20 µg

Lane 4:

Hela (Human cervix adenocarcinoma epithelial cell) whole cell lysate at 20 µg

Lane 5:

HT-1080 (Human fibrosarcoma epithelial cell) whole cell lysate at 20 µg

Lane 6:

MDA-MB-231 (Human breast adenocarcinoma epithelial cell) whole cell lysate at 20 µg

Lane 7:

MCF-7 (Human breast adenocarcinoma epithelial cell) whole cell lysate at 20 µg

Secondary

All lanes:

Goat Anti-Rabbit IgG (HRP) with minimal cross-reactivity with human IgG at 1/20000 dilution

Predicted band size: 16 kDa

Observed band size: 16 kDa

false

Exposure time: 1s

Western blot - Anti-C1D antibody [EPR11122] (AB166897)
  • WB

Unknown

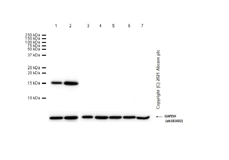
Western blot - Anti-C1D antibody [EPR11122] (AB166897)

All lanes:

Western blot - Anti-C1D antibody [EPR11122] (ab166897) at 1/1000 dilution

Lane 1:

Human fetal heart lysate at 10 µg

Lane 2:

Human skeletal muscle lysate at 10 µg

Secondary

All lanes:

Goat anti-rabbit HRP antibody at 1/2000 dilution

Predicted band size: 16 kDa

false

  • Carrier free

    Anti-C1D antibody [EPR11122] - BSA and Azide free

Key facts

Host species

Rabbit

Clonality

Monoclonal

Clone number

EPR11122

Isotype

IgG

Carrier free

No

Reacts with

Human

Applications

ICC/IF, WB

applications

Immunogen

The exact immunogen used to generate this antibody is proprietary information.

Reactivity data

{ "title": "Reactivity Data", "filters": { "stats": ["", "Species", "Dilution Info", "Notes"], "tabs": { "all-applications": {"fullname" : "All Applications", "shortname": "All Applications"}, "IP" : {"fullname" : "Immunoprecipitation", "shortname":"IP"}, "WB" : {"fullname" : "Western blot", "shortname":"WB"}, "IHCP" : {"fullname" : "Immunohistochemistry (Formalin/PFA-fixed paraffin-embedded sections)", "shortname":"IHC-P"}, "ICCIF" : {"fullname" : "Immunocytochemistry/ Immunofluorescence", "shortname":"ICC/IF"} }, "product-promise": { "all": "all", "testedAndGuaranteed": "tested", "guaranteed": "expected", "predicted": "predicted", "notRecommended": "not-recommended" } }, "values": { "Human": { "IP-species-checked": "notRecommended", "IP-species-dilution-info": "", "IP-species-notes": "<p></p>", "WB-species-checked": "testedAndGuaranteed", "WB-species-dilution-info": "1/1000 - 1/5000", "WB-species-notes": "<p></p>", "IHCP-species-checked": "notRecommended", "IHCP-species-dilution-info": "", "IHCP-species-notes": "<p></p>", "ICCIF-species-checked": "testedAndGuaranteed", "ICCIF-species-dilution-info": "1/100 - 1/250", "ICCIF-species-notes": "<p></p>" }, "Mouse": { "IP-species-checked": "notRecommended", "IP-species-dilution-info": "", "IP-species-notes": "", "WB-species-checked": "predicted", "WB-species-dilution-info": "", "WB-species-notes": "", "IHCP-species-checked": "notRecommended", "IHCP-species-dilution-info": "", "IHCP-species-notes": "", "ICCIF-species-checked": "predicted", "ICCIF-species-dilution-info": "", "ICCIF-species-notes": "" }, "Rat": { "IP-species-checked": "notRecommended", "IP-species-dilution-info": "", "IP-species-notes": "", "WB-species-checked": "predicted", "WB-species-dilution-info": "", "WB-species-notes": "", "IHCP-species-checked": "notRecommended", "IHCP-species-dilution-info": "", "IHCP-species-notes": "", "ICCIF-species-checked": "predicted", "ICCIF-species-dilution-info": "", "ICCIF-species-notes": "" } } }

Product details

Patented technology
Our RabMAb® technology is a patented hybridoma-based technology for making rabbit monoclonal antibodies. For details on our patents, please refer to RabMAb® patents.

What are the advantages of a recombinant monoclonal antibody?
This product is a recombinant monoclonal antibody, which offers several advantages including:

  • - High batch-to-batch consistency and reproducibility
  • - Improved sensitivity and specificity
  • - Long-term security of supply
  • - Animal-free batch production

For more information, read more on recombinant antibodies.

Properties and storage information

Form
Liquid
Purification technique
Affinity purification Protein A
Storage buffer
pH: 7.2 - 7.4 Preservative: 0.01% Sodium azide Constituents: PBS, 40% Glycerol (glycerin, glycerine), 0.05% BSA
Shipped at conditions
Blue Ice
Appropriate short-term storage conditions
+4°C
Appropriate long-term storage conditions
-20°C

Supplementary information

This supplementary information is collated from multiple sources and compiled automatically.

C1D also known as RRP40 or NOL9 is a nuclear phosphoprotein with a molecular mass of approximately 27 kDa. It functions as a component of the exosome complex which is involved in the processing and degradation of RNA. C1D shows high expression levels in the nucleus across various cell types with especially strong presence in hematopoietic tissues. This protein plays a significant role in maintaining RNA stability by binding RNA substrates and directing them for processing or degradation.
Biological function summary

This protein participates in the proper functioning of several complexes such as the nuclear RNA exosome complex. The exosome complex regulates RNA turnover ensuring the quality control by removing aberrant RNA molecules. C1D is essential for RNA maturation processes particularly those required for stable ribosome production and accurate gene expression. It interacts with other proteins involved in RNA processing including various RNases to achieve precise RNA regulation.

Pathways

C1D actively engages in RNA processing and degradation pathways. It works alongside ribonucleoproteins and RNases in the exosomal pathway to manage cellular RNA levels and maintain mRNA surveillance systems. C1D also plays a role in the non-coding RNA processing pathway by interacting with proteins such as EXOSC10 which aids in proper RNA turnover and processing supporting cellular homeostasis.

C1D links to conditions like autoimmune diseases and neurodegenerative disorders. Aberrations in C1D function can contribute to autoimmune conditions due to improper RNA processing which disrupts normal cellular functions and immune responses. Moreover due to its involvement in RNA stability and processing alterations in C1D are associated with neurodegenerative diseases where its interaction with proteins like TDP-43 becomes significant further highlighting its role in maintaining neurological health.

Product protocols

For this product, it's our understanding that no specific protocols are required. You can visit:

Target data

Plays a role in the recruitment of the RNA exosome complex to pre-rRNA to mediate the 3'-5' end processing of the 5.8S rRNA; this function may include MPHOSPH6. Can activate PRKDC not only in the presence of linear DNA but also in the presence of supercoiled DNA. Can induce apoptosis in a p53/TP53 dependent manner. May regulate the TRAX/TSN complex formation. Potentiates transcriptional repression by NR1D1 and THRB (By similarity).
See full target information C1D

Publications (1)

Recent publications for all applications. Explore the full list and refine your search

Science signaling 9:ra15 PubMed26861043

2016

Phosphoproteomic analysis of interacting tumor and endothelial cells identifies regulatory mechanisms of transendothelial migration.

Applications

Unspecified application

Species

Unspecified reactive species

Marie Locard-Paulet,Lindsay Lim,Giulia Veluscek,Kelly McMahon,John Sinclair,Antoinette van Weverwijk,Jonathan D Worboys,Yinyin Yuan,Clare M Isacke,Claus Jørgensen
View all publications

Product promise

We are committed to supporting your work with high-quality reagents, and we're here for you every step of the way. In the unlikely event that one of our products does not perform as expected, you're protected by our Product Promise.
For full details, please see our Terms & Conditions

Please note: All products are 'FOR RESEARCH USE ONLY. NOT FOR USE IN DIAGNOSTIC OR THERAPEUTIC PROCEDURES'.

For licensing inquiries, please contact partnerships@abcam.com