JavaScript is disabled in your browser. Please enable JavaScript to view this website.
AB121774

Anti-C1orf112 antibody

Be the first to review this product! Submit a review

|

(2 Publications)

Rabbit Polyclonal C1orf112 antibody. Suitable for IHC-P and reacts with Human samples. Cited in 2 publications. Immunogen corresponding to Recombinant Fragment Protein within Human FIRRM aa 650-800.

View Alternative Names

APOLO1, C1orf112, FIRRM, FIGNL1-interacting regulator of recombination and mitosis, FIDGETIN-like-1 interacting protein, POLO1-associating protein, FLIP

4 Images
Immunohistochemistry (Formalin/PFA-fixed paraffin-embedded sections) - Anti-C1orf112 antibody (AB121774)
  • IHC-P

Supplier Data

Immunohistochemistry (Formalin/PFA-fixed paraffin-embedded sections) - Anti-C1orf112 antibody (AB121774)

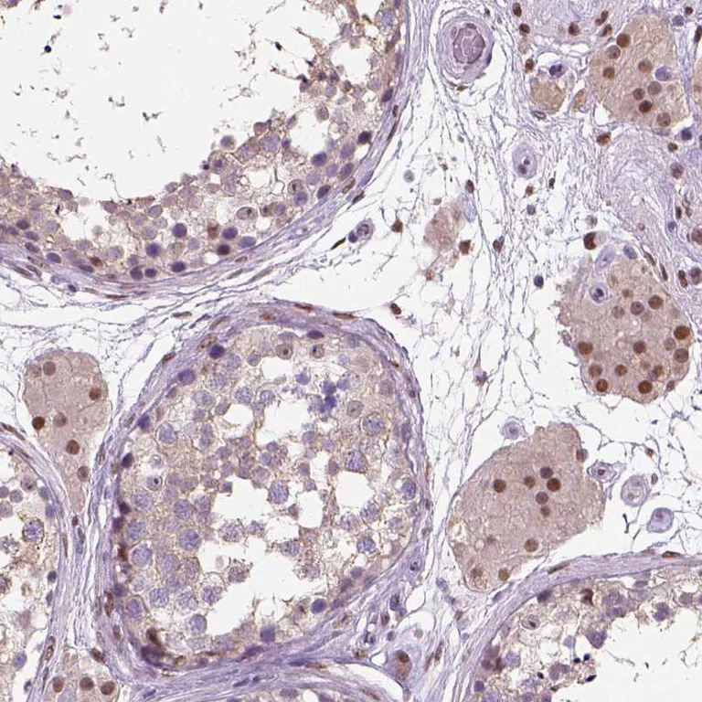
Immunohistochemistry (Formalin/PFA-fixed paraffin-embedded sections) analysis of human testis tissue labelling C1orf11 with ab121774 at 1/500 dilution. Heat mediated antigen retrieval performed with citrate buffer pH 6 before commencing with IHC staining protocol.

Immunohistochemistry (Formalin/PFA-fixed paraffin-embedded sections) - Anti-C1orf112 antibody (AB121774)
  • IHC-P

Supplier Data

Immunohistochemistry (Formalin/PFA-fixed paraffin-embedded sections) - Anti-C1orf112 antibody (AB121774)

Immunohistochemistry (Formalin/PFA-fixed paraffin-embedded sections) analysis of human prostate tissue labelling C1orf11 with ab121774 at 1/500 dilution. Heat mediated antigen retrieval performed with citrate buffer pH 6 before commencing with IHC staining protocol.

Immunohistochemistry (Formalin/PFA-fixed paraffin-embedded sections) - Anti-C1orf112 antibody (AB121774)
  • IHC-P

Supplier Data

Immunohistochemistry (Formalin/PFA-fixed paraffin-embedded sections) - Anti-C1orf112 antibody (AB121774)

Immunohistochemistry (Formalin/PFA-fixed paraffin-embedded sections) analysis of human cervix tissue labelling C1orf11 with ab121774 at 1/500 dilution. Heat mediated antigen retrieval performed with citrate buffer pH 6 before commencing with IHC staining protocol.

Immunohistochemistry (Formalin/PFA-fixed paraffin-embedded sections) - Anti-C1orf112 antibody (AB121774)
  • IHC-P

Supplier Data

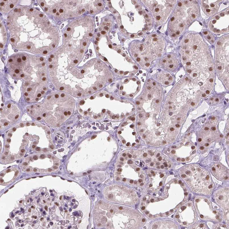
Immunohistochemistry (Formalin/PFA-fixed paraffin-embedded sections) - Anti-C1orf112 antibody (AB121774)

Immunohistochemistry (Formalin/PFA-fixed paraffin-embedded sections) analysis of human kidney tissue labelling C1orf11 with ab121774 at 1/500 dilution. Heat mediated antigen retrieval performed with citrate buffer pH 6 before commencing with IHC staining protocol.

Key facts

Host species

Rabbit

Clonality

Polyclonal

Isotype

IgG

Carrier free

No

Reacts with

Human

Applications

IHC-P

applications

Immunogen

Recombinant Fragment Protein within Human FIRRM aa 650-800. The exact immunogen used to generate this antibody is proprietary information.

Q9NSG2

Reactivity data

{ "title": "Reactivity Data", "filters": { "stats": ["", "Species", "Dilution Info", "Notes"], "tabs": { "all-applications": {"fullname" : "All Applications", "shortname": "All Applications"}, "IHCP" : {"fullname" : "Immunohistochemistry (Formalin/PFA-fixed paraffin-embedded sections)", "shortname":"IHC-P"} }, "product-promise": { "all": "all", "testedAndGuaranteed": "tested", "guaranteed": "expected", "predicted": "predicted", "notRecommended": "not-recommended" } }, "values": { "Human": { "IHCP-species-checked": "testedAndGuaranteed", "IHCP-species-dilution-info": "1/500 - 1/1000", "IHCP-species-notes": "<p></p> Perform heat-mediated antigen retrieval with citrate buffer pH 6 before commencing with IHC staining protocol." } } }

Properties and storage information

Form
Liquid
Purification technique
Affinity purification Immunogen
Storage buffer
pH: 7.2 Preservative: 0.02% Sodium azide Constituents: PBS, 40% Glycerol (glycerin, glycerine)
Shipped at conditions
Blue Ice
Appropriate short-term storage conditions
+4°C
Appropriate long-term storage conditions
-20°C
Aliquoting information
Upon delivery aliquot
Storage information
Avoid freeze / thaw cycle

Supplementary information

This supplementary information is collated from multiple sources and compiled automatically.

C1orf112 also known as Chromosome 1 Open Reading Frame 112 is a protein encoded by the C1orf112 gene with a mass of around 102 kDa. It functions in the mechanical process of cell division particularly during the mitotic phase. C1orf112 is ubiquitously expressed in various tissues with higher expression levels observed in actively dividing cells such as those in the bone marrow and lymph nodes. This expression pattern suggests a role in proliferative cellular environments.
Biological function summary

C1orf112 engages in essential cell cycle regulation and may play a role in ensuring genomic stability. It does not appear to be part of any well-characterized multi-protein complex. However studies suggest it could interact with other mitotic regulators highlighting a potential collaborative mechanism in controlling chromosome segregation. These functions reinforce its role in maintaining normal cell proliferation and genetic fidelity.

Pathways

Roles linked to cell cycle checkpoints and chromatin organization involve C1orf112. It is integrated within the mitotic spindle assembly pathway which is important for proper chromosome alignment and segregation. This protein's interaction with well-known cell cycle regulators like Aurora B kinase suggests a role as a facilitator in coordinating mitosis enhancing its relevance in cell duplication and turnover processes.

Alterations in C1orf112 expression correlate with cancer and chromosomal instability syndromes. It has been proposed that changes in its activity could contribute to oncogenesis possibly through interactions with tumor suppressor proteins such as p53. These interactions implicate C1orf112 in pathways that when disrupted might facilitate uncontrolled cell growth or genomic aberrations seen in certain malignancies.

Product protocols

For this product, it's our understanding that no specific protocols are required. You can visit:

Target data

Regulates PLK1 kinase activity at kinetochores and promotes faithful chromosome segregation in prometaphase by bridging kinase and phosphatase activities (PubMed : 34260926). Phosphorylation of FIRRM by PLK1 negatively regulates its interaction with the phosphatase, PPP1CC, thus creating a negative feedback loop for maintaining proper PLK1 kinase activity during mitosis (PubMed : 34260926). In complex with FIGL1 may regulate homologous recombination (PubMed : 29608566).
See full target information FIRRM

Publications (2)

Recent publications for all applications. Explore the full list and refine your search

Nature communications 15:7015 PubMed39147779

2024

FIGNL1-FIRRM is essential for meiotic recombination and prevents DNA damage-independent RAD51 and DMC1 loading.

Applications

Unspecified application

Species

Unspecified reactive species

Akbar Zainu,Pauline Dupaigne,Soumya Bouchouika,Julien Cau,Julie A J Clément,Pauline Auffret,Virginie Ropars,Jean-Baptiste Charbonnier,Bernard de Massy,Raphael Mercier,Rajeev Kumar,Frédéric Baudat

The EMBO journal 40:e106503 PubMed33934390

2021

The TBC1D31/praja2 complex controls primary ciliogenesis through PKA-directed OFD1 ubiquitylation.

Applications

Unspecified application

Species

Unspecified reactive species

Emanuela Senatore,Francesco Chiuso,Laura Rinaldi,Daniela Intartaglia,Rossella Delle Donne,Emilia Pedone,Bruno Catalanotti,Luciano Pirone,Bianca Fiorillo,Federica Moraca,Giuliana Giamundo,Giovanni Scala,Andrea Raffeiner,Omar Torres-Quesada,Eduard Stefan,Marcel Kwiatkowski,Alienke van Pijkeren,Manuela Morleo,Brunella Franco,Corrado Garbi,Ivan Conte,Antonio Feliciello
View all publications

Product promise

We are committed to supporting your work with high-quality reagents, and we're here for you every step of the way. In the unlikely event that one of our products does not perform as expected, you're protected by our Product Promise.
For full details, please see our Terms & Conditions

Please note: All products are 'FOR RESEARCH USE ONLY. NOT FOR USE IN DIAGNOSTIC OR THERAPEUTIC PROCEDURES'.

For licensing inquiries, please contact partnerships@abcam.com