JavaScript is disabled in your browser. Please enable JavaScript to view this website.
AB121903

Anti-C1orf162 antibody

Be the first to review this product! Submit a review

|

(2 Publications)

Rabbit Polyclonal C1orf162 antibody. Suitable for IHC-P and reacts with Human samples. Cited in 2 publications. Immunogen corresponding to Recombinant Fragment Protein within Human C1orf162 aa 1-50.

View Alternative Names

Transmembrane protein C1orf162, C1orf162

3 Images
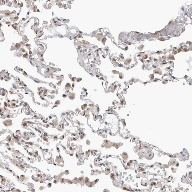
Immunohistochemistry (Formalin/PFA-fixed paraffin-embedded sections) - Anti-C1orf162 antibody (AB121903)
  • IHC-P

Unknown

Immunohistochemistry (Formalin/PFA-fixed paraffin-embedded sections) - Anti-C1orf162 antibody (AB121903)

ab121903 at 1/350 dilution staining C1orf162 in Paraffin-embedded Human lung tissue by Immunohistochemistry.

Immunohistochemistry (Formalin/PFA-fixed paraffin-embedded sections) - Anti-C1orf162 antibody (AB121903)
  • IHC-P

Unknown

Immunohistochemistry (Formalin/PFA-fixed paraffin-embedded sections) - Anti-C1orf162 antibody (AB121903)

ab121903 at 1/350 dilution staining C1orf162 in Paraffin-embedded Human pancreas tissue by Immunohistochemistry.

Immunohistochemistry (Formalin/PFA-fixed paraffin-embedded sections) - Anti-C1orf162 antibody (AB121903)
  • IHC-P

Unknown

Immunohistochemistry (Formalin/PFA-fixed paraffin-embedded sections) - Anti-C1orf162 antibody (AB121903)

ab121903 at 1/350 dilution staining C1orf162 in Paraffin-embedded Human lymphe node tissue by Immunohistochemistry.

Key facts

Host species

Rabbit

Clonality

Polyclonal

Isotype

IgG

Carrier free

No

Reacts with

Human

Applications

IHC-P

applications

Immunogen

Recombinant Fragment Protein within Human C1orf162 aa 1-50. The exact immunogen used to generate this antibody is proprietary information.

Q8NEQ5

Reactivity data

{ "title": "Reactivity Data", "filters": { "stats": ["", "Species", "Dilution Info", "Notes"], "tabs": { "all-applications": {"fullname" : "All Applications", "shortname": "All Applications"}, "IHCP" : {"fullname" : "Immunohistochemistry (Formalin/PFA-fixed paraffin-embedded sections)", "shortname":"IHC-P"} }, "product-promise": { "all": "all", "testedAndGuaranteed": "tested", "guaranteed": "expected", "predicted": "predicted", "notRecommended": "not-recommended" } }, "values": { "Human": { "IHCP-species-checked": "testedAndGuaranteed", "IHCP-species-dilution-info": "1/200 - 1/500", "IHCP-species-notes": "<p></p> Perform heat-mediated antigen retrieval with citrate buffer pH 6 before commencing with IHC staining protocol." } } }

Properties and storage information

Form
Liquid
Purification technique
Affinity purification Immunogen
Storage buffer
pH: 7.2 Preservative: 0.02% Sodium azide Constituents: PBS, 40% Glycerol (glycerin, glycerine)
Shipped at conditions
Blue Ice
Appropriate short-term storage conditions
+4°C
Appropriate long-term storage conditions
-20°C
Aliquoting information
Upon delivery aliquot
Storage information
Avoid freeze / thaw cycle

Supplementary information

This supplementary information is collated from multiple sources and compiled automatically.

C1orf162 also known as chromosome 1 open reading frame 162 is a protein whose exact function at the mechanical level has not been fully characterized. It consists of 146 amino acids resulting in a molecular mass of approximately 16 kDa. Expression of C1orf162 is observed in various tissues but its expression levels and patterns may vary across different cellular contexts. Current scientific data does not provide comprehensive insights into its precise mechanical role necessitating further studies to elucidate its function.
Biological function summary

C1orf162 engages in cellular processes that are yet to be fully understood although it might contribute to fundamental cellular activities. C1orf162 has not been definitively shown to form part of any major protein complexes therefore its biological interactions are still under investigation. Its presence has been detected in various cellular compartments suggesting a versatile role that might become more apparent with further research.

Pathways

C1orf162 has been implicated in a limited range of signaling pathways that require more detailed exploration to validate these associations. Preliminary studies suggest that it might play a niche role in the MAPK/ERK signaling pathway which is important for cell proliferation and differentiation. Potential interaction with other proteins like ERK1/2 could signify a nuanced role in modulating cellular responses but these links require more empirical evidence.

No direct associations with C1orf162 have been conclusively established though research hints at potential relevance in oncology. Certain studies propose a possible linkage between C1orf162 and the development of specific types of cancer potentially through interactions with proteins such as BRAF. Dysfunction in the signaling pathways involving C1orf162 might contribute to aberrant cellular behaviors that underpin malignant processes highlighting the importance of further investigations in this area.

Product protocols

For this product, it's our understanding that no specific protocols are required. You can visit:

Publications (2)

Recent publications for all applications. Explore the full list and refine your search

Cell stress & chaperones 24:991-1003 PubMed31388827

2019

Tanshinone IIA attenuates cardiac microvascular ischemia-reperfusion injury via regulating the SIRT1-PGC1α-mitochondrial apoptosis pathway.

Applications

Unspecified application

Species

Unspecified reactive species

Jiankai Zhong,Haichun Ouyang,Mingming Sun,Jianhua Lu,Yuanlin Zhong,Ying Tan,Yunzhao Hu

Translational oncology 11:1080-1089 PubMed30005210

2018

Characterization of long non-coding RNAs and MEF2C-AS1 identified as a novel biomarker in diffuse gastric cancer.

Applications

Unspecified application

Species

Unspecified reactive species

Tianhang Luo,Jiangman Zhao,Zhengmao Lu,Jianwei Bi,Tao Pang,Hangtian Cui,Biao Yang,Wushuang Li,Yu Wang,Shouxin Wu,Xuchao Xue
View all publications

Product promise

We are committed to supporting your work with high-quality reagents, and we're here for you every step of the way. In the unlikely event that one of our products does not perform as expected, you're protected by our Product Promise.
For full details, please see our Terms & Conditions

Please note: All products are 'FOR RESEARCH USE ONLY. NOT FOR USE IN DIAGNOSTIC OR THERAPEUTIC PROCEDURES'.

For licensing inquiries, please contact partnerships@abcam.com