JavaScript is disabled in your browser. Please enable JavaScript to view this website.
AB122511

Anti-C1orf86 antibody

Be the first to review this product! Submit a review

|

(1 Publication)

Rabbit Polyclonal C1orf86 antibody. Suitable for IHC-P, ICC/IF and reacts with Human samples. Cited in 1 publication. Immunogen corresponding to Recombinant Fragment Protein within Human FAAP20 aa 100 to C-terminus.

View Alternative Names

C1orf86, FP7162, FAAP20, Fanconi anemia core complex-associated protein 20, FANCA-associated protein of 20 kDa, Fanconi anemia-associated protein of 20 kDa

2 Images
Immunocytochemistry/ Immunofluorescence - Anti-C1orf86 antibody (AB122511)
  • ICC/IF

Unknown

Immunocytochemistry/ Immunofluorescence - Anti-C1orf86 antibody (AB122511)

Immunofluorescent staining of Human cell line U-2 OS shows positivity in nucleus but not nucleoli. Recommended concentration of ab122511 1-4 µg/ml. Cells treated with PFA/Triton X-100.

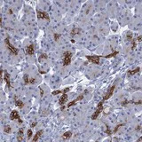
Immunohistochemistry (Formalin/PFA-fixed paraffin-embedded sections) - Anti-C1orf86 antibody (AB122511)
  • IHC-P

Unknown

Immunohistochemistry (Formalin/PFA-fixed paraffin-embedded sections) - Anti-C1orf86 antibody (AB122511)

ab122511 at 1/75 dilution staining C1orf86 in Paraffin-embedded Human Pancreas tissue by Immunohistochemistry.

Key facts

Host species

Rabbit

Clonality

Polyclonal

Isotype

IgG

Carrier free

No

Reacts with

Human

Applications

IHC-P, ICC/IF

applications

Immunogen

Recombinant Fragment Protein within Human FAAP20 aa 100 to C-terminus. The exact immunogen used to generate this antibody is proprietary information.

Q6NZ36

Reactivity data

{ "title": "Reactivity Data", "filters": { "stats": ["", "Species", "Dilution Info", "Notes"], "tabs": { "all-applications": {"fullname" : "All Applications", "shortname": "All Applications"}, "IHCP" : {"fullname" : "Immunohistochemistry (Formalin/PFA-fixed paraffin-embedded sections)", "shortname":"IHC-P"}, "ICCIF" : {"fullname" : "Immunocytochemistry/ Immunofluorescence", "shortname":"ICC/IF"} }, "product-promise": { "all": "all", "testedAndGuaranteed": "tested", "guaranteed": "expected", "predicted": "predicted", "notRecommended": "not-recommended" } }, "values": { "Human": { "IHCP-species-checked": "testedAndGuaranteed", "IHCP-species-dilution-info": "1/50 - 1/200", "IHCP-species-notes": "<p></p> Perform heat-mediated antigen retrieval with citrate buffer pH 6 before commencing with IHC staining protocol.", "ICCIF-species-checked": "testedAndGuaranteed", "ICCIF-species-dilution-info": "0.25-2 µg/mL", "ICCIF-species-notes": "<p></p>" } } }

Properties and storage information

Form
Liquid
Purification technique
Affinity purification Immunogen
Storage buffer
pH: 7.2 Preservative: 0.02% Sodium azide Constituents: PBS, 40% Glycerol (glycerin, glycerine)
Shipped at conditions
Blue Ice
Appropriate short-term storage conditions
+4°C
Appropriate long-term storage conditions
-20°C
Aliquoting information
Upon delivery aliquot
Storage information
Avoid freeze / thaw cycle

Product protocols

For this product, it's our understanding that no specific protocols are required. You can visit:

Target data

Component of the Fanconi anemia (FA) complex required to recruit the FA complex to DNA interstrand cross-links (ICLs) and promote ICLs repair. Following DNA damage recognizes and binds 'Lys-63'-linked ubiquitin generated by RNF8 at ICLs and recruits other components of the FA complex. Promotes translesion synthesis via interaction with REV1.
See full target information FAAP20

Publications (1)

Recent publications for all applications. Explore the full list and refine your search

Journal of Cancer 15:2260-2275 PubMed38495502

2024

Development and Validation of the novel Cuproptosis- and Immune-related Signature for Predicting Prognosis in Hepatocellular Carcinoma.

Applications

Unspecified application

Species

Unspecified reactive species

Yongping Zhang,Ping Sui,Cheng Zhong,Jiansheng Liu
View all publications

Product promise

We are committed to supporting your work with high-quality reagents, and we're here for you every step of the way. In the unlikely event that one of our products does not perform as expected, you're protected by our Product Promise.
For full details, please see our Terms & Conditions

Please note: All products are 'FOR RESEARCH USE ONLY. NOT FOR USE IN DIAGNOSTIC OR THERAPEUTIC PROCEDURES'.

For licensing inquiries, please contact partnerships@abcam.com