JavaScript is disabled in your browser. Please enable JavaScript to view this website.
AB189922

Anti-C1QA antibody [EPR14634]

Be the first to review this product! Submit a review

|

(10 Publications)

Rabbit Recombinant Monoclonal C1QA antibody. Suitable for WB, IHC-P and reacts with Rat, Human samples. Cited in 10 publications.

View Alternative Names

Complement C1q subcomponent subunit A, C1QA

4 Images
Immunohistochemistry (Formalin/PFA-fixed paraffin-embedded sections) - Anti-C1QA antibody [EPR14634] (AB189922)
  • IHC-P

Supplier Data

Immunohistochemistry (Formalin/PFA-fixed paraffin-embedded sections) - Anti-C1QA antibody [EPR14634] (AB189922)

Immunohistochemical analysis of paraffin-embedded Human kidney tissue labeling C1QA with ab189922 at 1/1000 dilution followed by prediluted HRP Polymer for Rabbit IgG. Counter stained with Hematoxylin.

Perform heat mediated antigen retrieval with Tris/EDTA buffer pH 9.0 before commencing with IHC staining protocol.

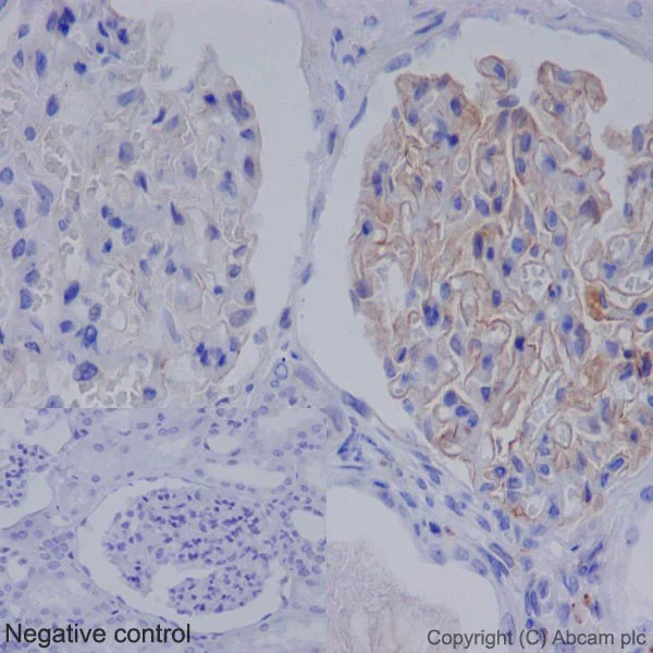
Immunohistochemistry (Formalin/PFA-fixed paraffin-embedded sections) - Anti-C1QA antibody [EPR14634] (AB189922)
  • IHC-P

Supplier Data

Immunohistochemistry (Formalin/PFA-fixed paraffin-embedded sections) - Anti-C1QA antibody [EPR14634] (AB189922)

Immunohistochemical analysis of paraffin-embedded Rat kidney tissue labeling C1QA with ab189922 at 1/1000 dilution followed by prediluted HRP Polymer for Rabbit IgG. Counter stained with Hematoxylin.

Perform heat mediated antigen retrieval with Tris/EDTA buffer pH 9.0 before commencing with IHC staining protocol.

Western blot - Anti-C1QA antibody [EPR14634] (AB189922)
  • WB

Supplier Data

Western blot - Anti-C1QA antibody [EPR14634] (AB189922)

All lanes:

Western blot - Anti-C1QA antibody [EPR14634] (ab189922) at 1/10000 dilution

Lane 1:

Human plasma lysate at 20 µg

Lane 2:

Human serum lysate at 20 µg

Lane 3:

Human spleen tissue lysate at 20 µg

Secondary

All lanes:

Anti-Rabbit IgG (HRP), specific to the non-reduced form of IgG at 1/1000 dilution

Predicted band size: 26 kDa

Observed band size: 26 kDa

false

Western blot - Anti-C1QA antibody [EPR14634] (AB189922)
  • WB

Supplier Data

Western blot - Anti-C1QA antibody [EPR14634] (AB189922)

All lanes:

Western blot - Anti-C1QA antibody [EPR14634] (ab189922) at 1/1000 dilution

Lane 1:

C6 cell lysate at 10 µg

Lane 2:

PC-12 cell lysate at 10 µg

Secondary

All lanes:

Anti-Rabbit IgG (HRP), specific to the non-reduced form of IgG at 1/1000 dilution

Predicted band size: 26 kDa

Observed band size: 26 kDa

false

  • Carrier free

    Anti-C1QA antibody [EPR14634] - BSA and Azide free

Key facts

Host species

Rabbit

Clonality

Monoclonal

Clone number

EPR14634

Isotype

IgG

Carrier free

No

Reacts with

Rat, Human

Applications

WB, IHC-P

applications

Immunogen

The exact immunogen used to generate this antibody is proprietary information.

Reactivity data

{ "title": "Reactivity Data", "filters": { "stats": ["", "Species", "Dilution Info", "Notes"], "tabs": { "all-applications": {"fullname" : "All Applications", "shortname": "All Applications"}, "WB" : {"fullname" : "Western blot", "shortname":"WB"}, "IHCP" : {"fullname" : "Immunohistochemistry (Formalin/PFA-fixed paraffin-embedded sections)", "shortname":"IHC-P"}, "ICCIF" : {"fullname" : "Immunocytochemistry/ Immunofluorescence", "shortname":"ICC/IF"} }, "product-promise": { "all": "all", "testedAndGuaranteed": "tested", "guaranteed": "expected", "predicted": "predicted", "notRecommended": "not-recommended" } }, "values": { "Human": { "WB-species-checked": "testedAndGuaranteed", "WB-species-dilution-info": "1/1000 - 1/10000", "WB-species-notes": "<p></p>", "IHCP-species-checked": "testedAndGuaranteed", "IHCP-species-dilution-info": "1/1000", "IHCP-species-notes": "<p></p>", "ICCIF-species-checked": "notRecommended", "ICCIF-species-dilution-info": "", "ICCIF-species-notes": "<p></p>" }, "Rat": { "WB-species-checked": "testedAndGuaranteed", "WB-species-dilution-info": "1/1000 - 1/10000", "WB-species-notes": "<p></p>", "IHCP-species-checked": "testedAndGuaranteed", "IHCP-species-dilution-info": "1/1000", "IHCP-species-notes": "<p></p>", "ICCIF-species-checked": "notRecommended", "ICCIF-species-dilution-info": "", "ICCIF-species-notes": "<p></p>" } } }

Product details

Patented technology
Our RabMAb® technology is a patented hybridoma-based technology for making rabbit monoclonal antibodies. For details on our patents, please refer to RabMAb® patents.

What are the advantages of a recombinant monoclonal antibody?
This product is a recombinant monoclonal antibody, which offers several advantages including:

  • - High batch-to-batch consistency and reproducibility
  • - Improved sensitivity and specificity
  • - Long-term security of supply
  • - Animal-free batch production

For more information, read more on recombinant antibodies.

Properties and storage information

Form
Liquid
Purification technique
Affinity purification Protein A
Storage buffer
pH: 7.2 - 7.4 Preservative: 0.01% Sodium azide Constituents: PBS, 40% Glycerol (glycerin, glycerine), 0.05% BSA
Shipped at conditions
Blue Ice
Appropriate short-term storage duration
1-2 weeks
Appropriate short-term storage conditions
+4°C
Appropriate long-term storage conditions
-20°C
Aliquoting information
Upon delivery aliquot
Storage information
Avoid freeze / thaw cycle

Supplementary information

This supplementary information is collated from multiple sources and compiled automatically.

The C1QA protein is one part of the complement component 1q (C1q) molecule also called C1Q-A. This protein plays an important role in the immune system. The C1q complex consists of three polypeptide chains: C1QA C1QB and C1QC. C1QA alone has a mass of around 26 kDa. These proteins mainly express in immune cells like macrophages dendritic cells and B cells. It forms part of the extracellular matrix where it participates in immune functions.
Biological function summary

C1QA interacts with pathogens and modified host cells to trigger the complement cascade. This starts the activation of the classical pathway which enhances immune responses. C1QA together with C1QB and C1QC binds to Fc regions of antibodies attached to antigens. This binding leads to the subsequent activation of C1r and C1s proteases facilitating opsonization and clearance of immune complexes and apoptotic cells.

Pathways

The synthesis of C1QA plays an important role in the classical complement pathway and is part of the innate immunity. C1QA collaborates with proteins like C1QB and C1QC in this pathway. This pathway bridges innate and adaptive immunity by assisting in the removal of pathogens and cell debris. It also relates to the coagulation pathway where its activity can influence inflammation and tissue repair processes.

Impaired C1QA function links to conditions like systemic lupus erythematosus (SLE) and rheumatoid arthritis. These diseases often associate with inappropriate activation or regulation of the complement system. C1QA mutations or deficiencies can result in a higher susceptibility to SLE and interactions with C1QB and C1QC are also implicated in this disease. Moreover C1QA influences the pathogenesis of rheumatoid arthritis by modulating inflammation responses.

Product protocols

For this product, it's our understanding that no specific protocols are required. You can visit:

Target data

Core component of the complement C1 complex, a multiprotein complex that initiates the classical pathway of the complement system, a cascade of proteins that leads to phagocytosis and breakdown of pathogens and signaling that strengthens the adaptive immune system (PubMed : 12847249, PubMed : 19006321, PubMed : 24626930, PubMed : 29449492, PubMed : 3258649, PubMed : 34155115, PubMed : 6249812, PubMed : 6776418). The classical complement pathway is initiated by the C1Q subcomplex of the C1 complex, which specifically binds IgG or IgM immunoglobulins complexed with antigens, forming antigen-antibody complexes on the surface of pathogens : C1QA, together with C1QB and C1QC, specifically recognizes and binds the Fc regions of IgG or IgM via its C1q domain (PubMed : 12847249, PubMed : 19006321, PubMed : 24626930, PubMed : 29449492, PubMed : 3258649, PubMed : 6776418). Immunoglobulin-binding activates the proenzyme C1R, which cleaves C1S, initiating the proteolytic cascade of the complement system (PubMed : 29449492). The C1Q subcomplex is activated by a hexamer of IgG complexed with antigens, while it is activated by a pentameric IgM (PubMed : 19706439, PubMed : 24626930, PubMed : 29449492). The C1Q subcomplex also recognizes and binds phosphatidylserine exposed on the surface of cells undergoing programmed cell death, possibly promoting activation of the complement system (PubMed : 18250442).
See full target information C1QA

Publications (10)

Recent publications for all applications. Explore the full list and refine your search

Nature communications 16:5481 PubMed40593590

2025

Single-cell analysis reveals a longitudinal trajectory of meningioma evolution and heterogeneity.

Applications

Unspecified application

Species

Unspecified reactive species

Ji Yoon Lee,Eun Jung Lee,Bo Yeon Seo,Jiwon Kim,Youjin Song,Dayoung Lee,Namsung Moon,Harim Koo,Chul-Kee Park,Min-Sung Kim,Serk In Park,Do-Hyun Nam,Doo-Sik Kong,Jason K Sa

iScience 28:112041 PubMed40092614

2025

Repeated lidocaine exposure induces synaptic and cognitive impairment in aged mice by activating microglia and neurotoxic A1 astrocytes.

Applications

Unspecified application

Species

Unspecified reactive species

Xiaohui Chen,Haiyang Wan,Yongxin Huang,Andi Chen,Xuyang Wu,Yanhua Guo,Jianjie Wei,Pinzhong Chen,Jiangdan Jiang,Xiaochun Zheng

Nature communications 16:1506 PubMed39929829

2025

Enzymatic conversion of blood group B kidney prevents hyperacute antibody-mediated injuries in ABO-incompatible transplantation.

Applications

Unspecified application

Species

Unspecified reactive species

Jun Zeng,Ming Ma,Xiaojuan Jiang,Zhengsheng Rao,Dan Huang,Hao Zhang,Saifu Yin,Rong Bao,Haohan Zhang,Zhiling Wang,Hongwei Gao,Feng Gong,Tao Lin,Keqin Zhang,Turun Song

The EMBO journal 43:5494-5529 PubMed39390219

2024

Transplacental SARS-CoV-2 protein ORF8 binds to complement C1q to trigger fetal inflammation.

Applications

Unspecified application

Species

Unspecified reactive species

Tamiris Azamor,Débora Familiar-Macedo,Gielenny M Salem,Chineme Onwubueke,Ivonne Melano,Lu Bian,Zilton Vasconcelos,Karin Nielsen-Saines,Xianfang Wu,Jae U Jung,Feng Lin,Oluwatosin Goje,Edward Chien,Steve Gordon,Charles B Foster,Hany Aly,Ruth M Farrell,Weiqiang Chen,Suan-Sin Foo

Clinics (Sao Paulo, Brazil) 79:100496 PubMed39332150

2024

Qiliqiangxin capsule alleviates cardiac hypertrophy and cardiac dysfunction by regulating miR-382-5p/ATF3 axis.

Applications

Unspecified application

Species

Unspecified reactive species

Bao Yin,XiaoTong Jiang,XinFeng Chang,ChunHua Song

Nature communications 15:2795 PubMed38555382

2024

Enzymatic conversion of human blood group A kidneys to universal blood group O.

Applications

Unspecified application

Species

Unspecified reactive species

Serena MacMillan,Sarah A Hosgood,Léonie Walker-Panse,Peter Rahfeld,Spence S Macdonald,Jayachandran N Kizhakkedathu,Stephen G Withers,Michael L Nicholson

Translational stroke research 14:572-588 PubMed35821378

2022

Sustained ICP Elevation Is a Driver of Spatial Memory Deficits After Intraventricular Hemorrhage and Leads to Activation of Distinct Microglial Signaling Pathways.

Applications

Unspecified application

Species

Unspecified reactive species

Chloe H Puglisi,Bradley P Ander,Catherine Peterson,Janet A Keiter,Heather Hull,Cameron W Hawk,Venina S Kalistratova,Ali Izadi,Gene G Gurkoff,Frank R Sharp,Ben Waldau

Communications biology 3:575 PubMed33060834

2020

Urinary phosphate-containing nanoparticle contributes to inflammation and kidney injury in a salt-sensitive hypertension rat model.

Applications

Unspecified application

Species

Unspecified reactive species

Qin Wang,Kenichi Ishizawa,Jinping Li,Wataru Fujii,Yoshikazu Nemoto,Osamu Yamazaki,Yoshifuru Tamura,Yutaka Miura,Xuedan Nie,Ryo Abe,Hiroko Segawa,Makoto Kuro-O,Shigeru Shibata

Journal of neuroinflammation 17:8 PubMed31906973

2020

Classical complement cascade initiating C1q protein within neurons in the aged rhesus macaque dorsolateral prefrontal cortex.

Applications

Unspecified application

Species

Unspecified reactive species

Dibyadeep Datta,Shannon N Leslie,Yury M Morozov,Alvaro Duque,Pasko Rakic,Christopher H van Dyck,Angus C Nairn,Amy F T Arnsten

Neuron 102:435-449.e6 PubMed30827729

2019

Microglial Phagocytosis of Newborn Cells Is Induced by Endocannabinoids and Sculpts Sex Differences in Juvenile Rat Social Play.

Applications

Unspecified application

Species

Unspecified reactive species

Jonathan W VanRyzin,Ashley E Marquardt,Kathryn J Argue,Haley A Vecchiarelli,Sydney E Ashton,Sheryl E Arambula,Matthew N Hill,Margaret M McCarthy
View all publications

Product promise

We are committed to supporting your work with high-quality reagents, and we're here for you every step of the way. In the unlikely event that one of our products does not perform as expected, you're protected by our Product Promise.
For full details, please see our Terms & Conditions

Please note: All products are 'FOR RESEARCH USE ONLY. NOT FOR USE IN DIAGNOSTIC OR THERAPEUTIC PROCEDURES'.

For licensing inquiries, please contact partnerships@abcam.com